Revision 3

#91137

Store at -20C

CST Logo
Orders:

877-616-CELL (2355)

[email protected]

Support:

877-678-TECH (8324)

3 Trask Lane | Danvers | Massachusetts | 01923 | USA

For Research Use Only. Not for Use in Diagnostic Procedures.

Applications:
W, IP

Reactivity:
H M R

Sensitivity:
Endogenous

MW (kDa):
45-55, 19

Source/Isotype:
Rabbit IgG

UniProt ID:
#Q96RD7

Entrez-Gene Id:
24145

Product Usage Information

Application Dilution
Western Blotting 1:1000
Immunoprecipitation 1:100

Storage

Supplied in 10 mM sodium HEPES (pH 7.5), 150 mM NaCl, 100 µg/ml BSA, 50% glycerol and less than 0.02% sodium azide. Store at –20°C. Do not aliquot the antibody.

Specificity/Sensitivity

Pannexin-1 (D9M1C) Rabbit Monoclonal Antibody recognizes endogenous levels of total pannexin-1 protein. This antibody detects an amino-terminal pannexin-1 fragment produced by caspase cleavage.

Source / Purification

Monoclonal antibody is produced by immunizing animals with a synthetic peptide corresponding to residues near the amino terminus of human pannexin-1 protein.

Background

The pannexin family (pannexin-1, -2, and -3; PANX1-3) of gap junction proteins has homology to the invertebrate innexins and display distinct expression patterns (1). Pannexin-1 is widely expressed, with highest expression in the heart, brain, skeletal muscle, testis, and ovary (1,2). Pannexin-2 is predominately expressed in the brain (1,2) and pannexin-3 is found within the skin and connective tissues (1,3). Connexin family gap junction proteins form hemichannels that align adjacent cells, creating functional intercellular channels that are permeable to ions and small molecules. In contrast, pannexin proteins may not function as gap junction proteins since pannexins on adjacent cells may not align to form complete channels (3). These pannexin “hemichannels” may play a role in inflammation, apoptosis, and neuronal signaling by allowing permeability of ions, ATP, and potentially other small molecules into the extracellular space (4-6). Pannexin-1 can be activated by effector caspases (caspase-3 and -7), which leads to release of signal molecules that promote phagocytosis of apoptotic cells (7).

Species Reactivity

Species reactivity is determined by testing in at least one approved application (e.g., western blot).

Western Blot Buffer

IMPORTANT: For western blots, incubate membrane with diluted primary antibody in 5% w/v BSA, 1X TBS, 0.1% Tween® 20 at 4°C with gentle shaking, overnight.

Applications Key

W: Western Blotting IP: Immunoprecipitation

Cross-Reactivity Key

H: Human M: Mouse R: Rat

Trademarks and Patents

Cell Signaling Technology is a trademark of Cell Signaling Technology, Inc.

All other trademarks are the property of their respective owners. Visit cellsignal.com/trademarks for more information.

Limited Uses

Except as otherwise expressly agreed in a writing signed by a legally authorized representative of CST, the following terms apply to Products provided by CST, its affiliates or its distributors. Any Customer's terms and conditions that are in addition to, or different from, those contained herein, unless separately accepted in writing by a legally authorized representative of CST, are rejected and are of no force or effect.

Products are labeled with For Research Use Only or a similar labeling statement and have not been approved, cleared, or licensed by the FDA or other regulatory foreign or domestic entity, for any purpose. Customer shall not use any Product for any diagnostic or therapeutic purpose, or otherwise in any manner that conflicts with its labeling statement. Products sold or licensed by CST are provided for Customer as the end-user and solely for research and development uses. Any use of Product for diagnostic, prophylactic or therapeutic purposes, or any purchase of Product for resale (alone or as a component) or other commercial purpose, requires a separate license from CST. Customer shall (a) not sell, license, loan, donate or otherwise transfer or make available any Product to any third party, whether alone or in combination with other materials, or use the Products to manufacture any commercial products, (b) not copy, modify, reverse engineer, decompile, disassemble or otherwise attempt to discover the underlying structure or technology of the Products, or use the Products for the purpose of developing any products or services that would compete with CST products or services, (c) not alter or remove from the Products any trademarks, trade names, logos, patent or copyright notices or markings, (d) use the Products solely in accordance with CST Product Terms of Sale and any applicable documentation, and (e) comply with any license, terms of service or similar agreement with respect to any third party products or services used by Customer in connection with the Products.

Orders: 877-616-CELL (2355) [email protected] Support: 877-678-TECH (8324) [email protected] Web: cellsignal.com
For Research Use Only. Not for Use in Diagnostic Procedures.

Revision 3

Cell Signaling Technology Logo
Western blot analysis of extracts from various cell lines using Pannexin-1 (D9M1C) Rabbit mAb.
Western Blotting Image 1: Pannexin-1 (D9M1C) Rabbit Monoclonal Antibody
Western blot analysis of extracts from 293T cells, mock transfected (-) or transfected with a construct expressing full-length human pannexin-1 protein (hPANX1; +), using Pannexin-1 (D9M1C) Rabbit mAb.
Western Blotting Image 2: Pannexin-1 (D9M1C) Rabbit Monoclonal Antibody
Western blot analysis of extracts from Jurkat cells, untreated (-) or treated with Etoposide #2200 (25 μM, overnight; +), using Pannexin-1 (D9M1C) Rabbit mAb.
Western Blotting Image 3: Pannexin-1 (D9M1C) Rabbit Monoclonal Antibody
Orders: 877-616-CELL (2355) [email protected] Support: 877-678-TECH (8324) [email protected] Web: cellsignal.com
For Research Use Only. Not for Use in Diagnostic Procedures.

Revision 3

Cell Signaling Technology Logo
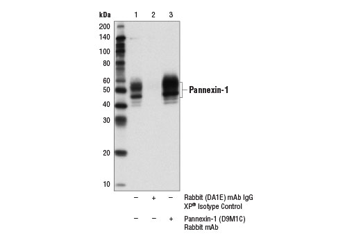
Immunoprecipitation of pannexin-1 from PANC-1 cell extracts. Lane is 10% input, lane 2 is Rabbit (DA1E) mAb IgG XP® Isotype Control #3900, and lane 3 is Pannexin-1 (D9M1C) Rabbit mAb. Western blot was performed using Pannexin-1 (D9M1C) Rabbit mAb. A conformation specific secondary antibody was used to avoid reactivity with IgG heavy chain.
Immunoprecipitation Image 1: Pannexin-1 (D9M1C) Rabbit Monoclonal Antibody
Orders: 877-616-CELL (2355) [email protected] Support: 877-678-TECH (8324) [email protected] Web: cellsignal.com
For Research Use Only. Not for Use in Diagnostic Procedures.