Revision 7

#93009

Store at -20C

CST Logo
Orders:

877-616-CELL (2355)

[email protected]

Support:

877-678-TECH (8324)

3 Trask Lane | Danvers | Massachusetts | 01923 | USA

For Research Use Only. Not for Use in Diagnostic Procedures.

Applications:
W, IHC-P, IF-IC, FC-FP

Reactivity:
H M Mk

Sensitivity:
Endogenous

MW (kDa):
45

Source/Isotype:
Rabbit IgG

UniProt ID:
#Q02548

Entrez-Gene Id:
5079

Product Usage Information

This product is the carrier free version of product #12709. All data were generated using the same antibody clone in the standard formulation which contains BSA and glycerol.

This formulation is ideal for use with technologies requiring specialized or custom antibody labeling, including fluorophores, metals, lanthanides, and oligonucleotides. It is not recommended for ChIP, ChIP-seq, CUT&RUN, or CUT&Tag assays. If you require a carrier-free formulation for chromatin profiling, please contact us. Optimal dilutions/concentrations should be determined by the end user.

BSA and Azide Free antibodies are quality control tested by size exclusion chromatography (SEC) to determine antibody integrity.

Formulation

Supplied in 1X PBS (10 mM Na2HPO4, 3 mM KCl, 2 mM KH2PO4, and 140 mM NaCl (pH 7.8)). BSA and Azide Free.

For standard formulation of this product see product #12709.

Storage

Store at -20°C. This product will freeze at -20°C so it is recommended to aliquot into single-use vials to avoid multiple freeze/thaw cycles. A slight precipitate may be present and can be dissolved by gently vortexing. This will not interfere with antibody performance.

Specificity/Sensitivity

PAX5 (D7H5X) Rabbit Monoclonal Antibody (BSA and Azide Free) recognizes endogenous levels of total PAX5 protein.

Source / Purification

Monoclonal antibody is produced by immunizing animals with recombinant protein specific to the carboxy terminus of human PAX5 protein.

Background

Paired box (PAX) proteins are a family of transcription factors that play important and diverse roles in animal development (1). Nine PAX proteins (PAX1-9) have been described in humans and other mammals. They are defined by the presence of an amino-terminal "paired" domain, consisting of two helix-turn-helix motifs, with DNA binding activity (2). PAX proteins are classified into four structurally distinct subgroups (I-IV) based on the absence or presence of a carboxy-terminal homeodomain and a central octapeptide region. Subgroup I (PAX1 and 9) contains the octapeptide but lacks the homeodomain; subgroup II (PAX2, 5, and 8) contains the octapeptide and a truncated homeodomain; subgroup III (PAX3 and 7) contains the octapeptide and a complete homeodomain; and subgroup IV (PAX4 and 6) contains a complete homeodomain but lacks the octapeptide region (2). PAX proteins play critically important roles in development by regulating transcriptional networks responsible for embryonic patterning and organogenesis (3); a subset of PAX proteins also maintain functional importance during postnatal development (4). Research studies have implicated genetic mutations that result in aberrant expression of PAX genes in a number of cancer subtypes (1-3), with members of subgroups II and III identified as potential mediators of tumor progression (2).

PAX5, also known as B cell-specific activator protein (BSAP), was originally identified as a DNA-binding protein with affinity for both immunoglobulin heavy-chain and kappa light-chain loci (5). PAX5 is unique within the PAX family in being the only member with reported expression in the hematopoietic system. PAX5 is required to promote differentiation of common lymphoid progenitors (CLPs) into B cells (5,6); it is also required for the continued maintenance of B cell identity following differentiation (7). Disruptions to the expression of PAX5 have consequently been linked with lymphoid cancer development (8).

Species Reactivity

Species reactivity is determined by testing in at least one approved application (e.g., western blot).

Applications Key

W: Western Blotting IHC-P: Immunohistochemistry (Paraffin) IF-IC: Immunofluorescence (Immunocytochemistry) FC-FP: Flow Cytometry (Fixed/Permeabilized)

Cross-Reactivity Key

H: Human M: Mouse Mk: Monkey

Trademarks and Patents

Cell Signaling Technology is a trademark of Cell Signaling Technology, Inc.

All other trademarks are the property of their respective owners. Visit cellsignal.com/trademarks for more information.

Limited Uses

Except as otherwise expressly agreed in a writing signed by a legally authorized representative of CST, the following terms apply to Products provided by CST, its affiliates or its distributors. Any Customer's terms and conditions that are in addition to, or different from, those contained herein, unless separately accepted in writing by a legally authorized representative of CST, are rejected and are of no force or effect.

Products are labeled with For Research Use Only or a similar labeling statement and have not been approved, cleared, or licensed by the FDA or other regulatory foreign or domestic entity, for any purpose. Customer shall not use any Product for any diagnostic or therapeutic purpose, or otherwise in any manner that conflicts with its labeling statement. Products sold or licensed by CST are provided for Customer as the end-user and solely for research and development uses. Any use of Product for diagnostic, prophylactic or therapeutic purposes, or any purchase of Product for resale (alone or as a component) or other commercial purpose, requires a separate license from CST. Customer shall (a) not sell, license, loan, donate or otherwise transfer or make available any Product to any third party, whether alone or in combination with other materials, or use the Products to manufacture any commercial products, (b) not copy, modify, reverse engineer, decompile, disassemble or otherwise attempt to discover the underlying structure or technology of the Products, or use the Products for the purpose of developing any products or services that would compete with CST products or services, (c) not alter or remove from the Products any trademarks, trade names, logos, patent or copyright notices or markings, (d) use the Products solely in accordance with CST Product Terms of Sale and any applicable documentation, and (e) comply with any license, terms of service or similar agreement with respect to any third party products or services used by Customer in connection with the Products.

Orders: 877-616-CELL (2355) [email protected] Support: 877-678-TECH (8324) [email protected] Web: cellsignal.com
For Research Use Only. Not for Use in Diagnostic Procedures.

Revision 7

Cell Signaling Technology Logo
Western blot analysis of extracts from various cell lines using PAX5 (D7H5X) XP® Rabbit mAb (upper) and β-actin (D6A8) Rabbit mAb #8457 (lower). Data were generated using the standard formulation of this product.
Western Blotting Image 1: PAX5 (D7H5X) Rabbit Monoclonal Antibody (BSA and Azide Free)
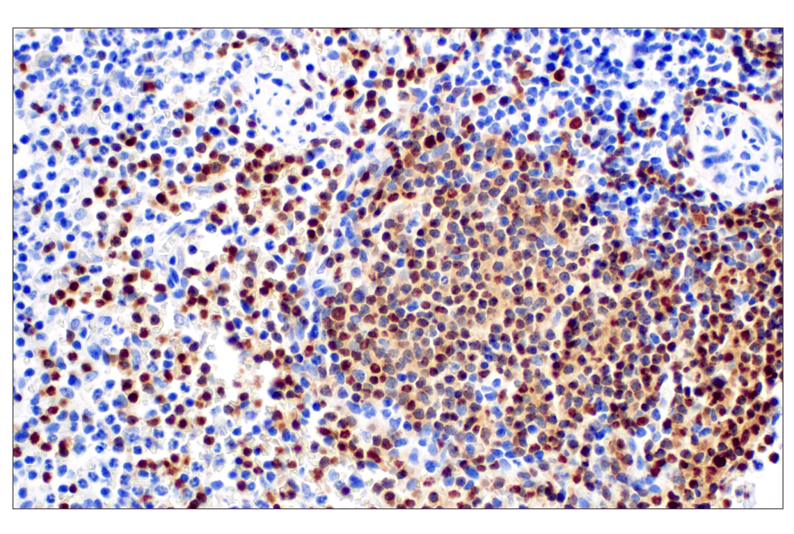
Immunohistochemical analysis of paraffin-embedded human tonsil using PAX5 (D7H5X) XP® Rabbit mAb. Data were generated using the standard formulation of this product.
Immunohistochemistry Image 1: PAX5 (D7H5X) Rabbit Monoclonal Antibody (BSA and Azide Free)
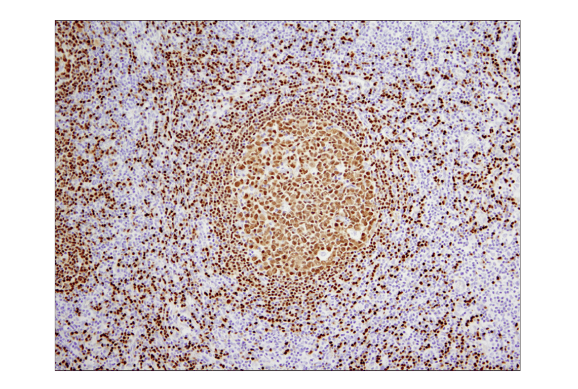
Immunohistochemical analysis of paraffin-embedded mouse spleen using PAX5 (D7H5X) XP® Rabbit mAb. Data were generated using the standard formulation of this product.
Immunohistochemistry Image 2: PAX5 (D7H5X) Rabbit Monoclonal Antibody (BSA and Azide Free)
Orders: 877-616-CELL (2355) [email protected] Support: 877-678-TECH (8324) [email protected] Web: cellsignal.com
For Research Use Only. Not for Use in Diagnostic Procedures.

Revision 7

Cell Signaling Technology Logo
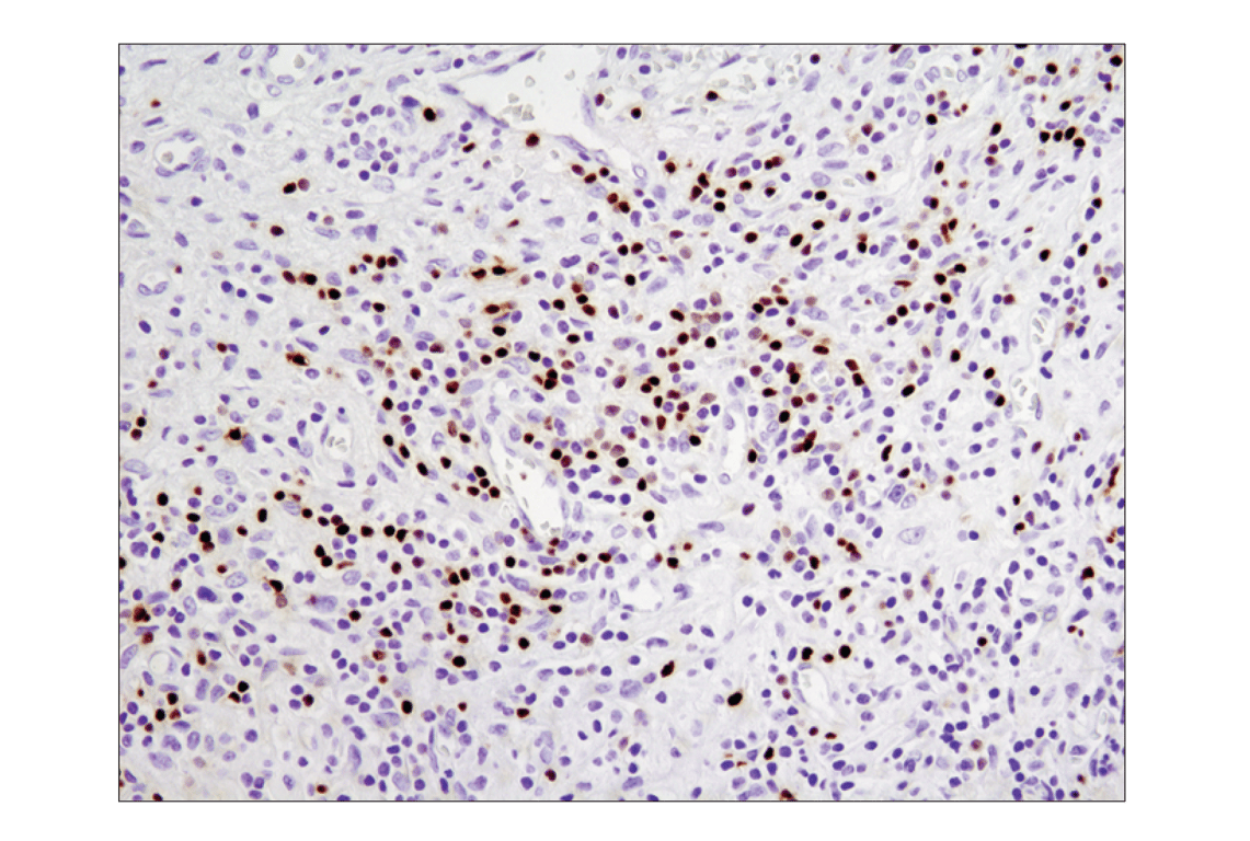
Immunohistochemical analysis of paraffin-embedded human ovarian carcinoma using PAX5 (D7H5X) XP® Rabbit mAb. Note staining of B cells. Data were generated using the standard formulation of this product.
Immunohistochemistry Image 3: PAX5 (D7H5X) Rabbit Monoclonal Antibody (BSA and Azide Free)
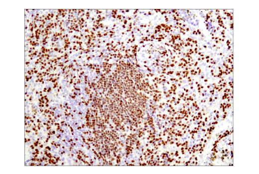
Immunohistochemical analysis of paraffin-embedded rhesus monkey spleen using PAX5 (D7H5X) XP® Rabbit mAb. Data were generated using the standard formulation of this product.
Immunohistochemistry Image 4: PAX5 (D7H5X) Rabbit Monoclonal Antibody (BSA and Azide Free)
Immunohistochemical analysis of paraffin-embedded cell pellets, Ramos (positive, left) or HeLa (negative, right), using PAX5 (D7H5X) XP® Rabbit mAb. Data were generated using the standard formulation of this product.
Immunohistochemistry Image 5: PAX5 (D7H5X) Rabbit Monoclonal Antibody (BSA and Azide Free)
Orders: 877-616-CELL (2355) [email protected] Support: 877-678-TECH (8324) [email protected] Web: cellsignal.com
For Research Use Only. Not for Use in Diagnostic Procedures.

Revision 7

Cell Signaling Technology Logo
Confocal immunofluorescent analysis of Ramos cells (left, positive) and Jurkat cells (right, negative) using PAX5 (D7H5X) XP® Rabbit mAb (green), DyLight™ 554 Phalloidin #13054 (red), and DRAQ5® #4084 (fluorescent DNA dye). Data were generated using the standard formulation of this product.
Immunofluorescence Image 1: PAX5 (D7H5X) Rabbit Monoclonal Antibody (BSA and Azide Free)
Flow cytometric analysis of human peripheral blood mononuclear cells using PAX5 (D7H5X) XP® Rabbit mAb (right) and co-stained with CD19 (SJ25C1) Mouse mAb (APC Conjugate), compared to concentration-matched Rabbit (DA1E) mAb IgG XP® Isotype Control #3900 (left). Anti-rabbit IgG (H+L), F(ab')2 Fragment (Alexa Fluor® 488 Conjugate) #4412 was used as a secondary antibody. Data were generated using the standard formulation of this product.
Flow Cytometry Image 1: PAX5 (D7H5X) Rabbit Monoclonal Antibody (BSA and Azide Free)
Orders: 877-616-CELL (2355) [email protected] Support: 877-678-TECH (8324) [email protected] Web: cellsignal.com
For Research Use Only. Not for Use in Diagnostic Procedures.