Revision 3

#38439

Store at -20C

CST Logo
Orders:

877-616-CELL (2355)

[email protected]

Support:

877-678-TECH (8324)

3 Trask Lane | Danvers | Massachusetts | 01923 | USA

For Research Use Only. Not for Use in Diagnostic Procedures.

Applications:
W, IHC-Bond, IHC-P

Reactivity:
H M R Mk

Sensitivity:
Endogenous

MW (kDa):
205

Source/Isotype:
Rabbit IgG

UniProt ID:
#Q86U86

Entrez-Gene Id:
55193

Product Usage Information

Application Dilution
Western Blotting 1:1000
IHC Leica Bond 1:400 - 1:1600
Immunohistochemistry (Paraffin) 1:400 - 1:1600

Storage

Supplied in 10 mM sodium HEPES (pH 7.5), 150 mM NaCl, 100 µg/ml BSA, 50% glycerol and less than 0.02% sodium azide. Store at –20°C. Do not aliquot the antibody.

For a carrier free (BSA and azide free) version of this product see product #68379.

Specificity/Sensitivity

PBRM1/BAF180 (D4L9X) Rabbit Monoclonal Antibody recognizes endogenous levels of total PBRM1/BAF180 protein. Reactivity for immunohistochemistry is human only.

Source / Purification

Monoclonal antibody is produced by immunizing animals with recombinant protein specific to the amino terminus of human PBRM1/BAF180 protein.

Background

ATP-dependent chromatin remodeling complexes play an essential role in the regulation of various nuclear processes, such as gene expression, DNA replication, and repair (1,2). The SWI/SNF chromatin remodeling complex consists of more than 10 subunits with a single molecule of the ATPase catalytic subunit BRM or BRG1, but not both. The activities of these two subunits drive the disruption of histone-DNA contacts that lead to changes in accessibility of crucial regulatory elements within chromatin (2-5). The BRM/BRG1 containing SWI/SNF complexes are recruited to target promoters by transcription factors, such as nuclear receptors, p53, RB, and BRCA1 to regulate gene activation, cell growth, the cell cycle, and differentiation processes (1,6-9).

PBRM1/BAF180 is a unique member of the SWI/SNF complex PBAF, which binds to kinetochores in mitotic chromatin (10,11). PBAF is involved in nuclear receptor-mediated transcription and retinoic acid driven gene activation (12,13). PBRM1/BAF180 has been shown to be a potent tumor suppressor, as it is the second-most mutated gene in renal carcinomas (14). Mutations of PBRM1/BAF180 have also been shown to be involved in breast cancer, and low expression relates to poorer prognosis (15,16). PBRM1/BAF180 is phosphorylated at Ser948 by ATM during DNA damage, which is important for transcriptional silencing and repair around double-stranded breaks (17).

Species Reactivity

Species reactivity is determined by testing in at least one approved application (e.g., western blot).

Western Blot Buffer

IMPORTANT: For western blots, incubate membrane with diluted primary antibody in 5% w/v BSA, 1X TBS, 0.1% Tween® 20 at 4°C with gentle shaking, overnight.

Applications Key

W: Western Blotting IHC-Bond: IHC Leica Bond IHC-P: Immunohistochemistry (Paraffin)

Cross-Reactivity Key

H: Human M: Mouse R: Rat Mk: Monkey

Trademarks and Patents

Cell Signaling Technology is a trademark of Cell Signaling Technology, Inc.

CST is a registered trademark of Cell Signaling Technology, Inc.

SignalStain is a registered trademark of Cell Signaling Technology, Inc.

All other trademarks are the property of their respective owners. Visit cellsignal.com/trademarks for more information.

Limited Uses

Except as otherwise expressly agreed in a writing signed by a legally authorized representative of CST, the following terms apply to Products provided by CST, its affiliates or its distributors. Any Customer's terms and conditions that are in addition to, or different from, those contained herein, unless separately accepted in writing by a legally authorized representative of CST, are rejected and are of no force or effect.

Products are labeled with For Research Use Only or a similar labeling statement and have not been approved, cleared, or licensed by the FDA or other regulatory foreign or domestic entity, for any purpose. Customer shall not use any Product for any diagnostic or therapeutic purpose, or otherwise in any manner that conflicts with its labeling statement. Products sold or licensed by CST are provided for Customer as the end-user and solely for research and development uses. Any use of Product for diagnostic, prophylactic or therapeutic purposes, or any purchase of Product for resale (alone or as a component) or other commercial purpose, requires a separate license from CST. Customer shall (a) not sell, license, loan, donate or otherwise transfer or make available any Product to any third party, whether alone or in combination with other materials, or use the Products to manufacture any commercial products, (b) not copy, modify, reverse engineer, decompile, disassemble or otherwise attempt to discover the underlying structure or technology of the Products, or use the Products for the purpose of developing any products or services that would compete with CST products or services, (c) not alter or remove from the Products any trademarks, trade names, logos, patent or copyright notices or markings, (d) use the Products solely in accordance with CST Product Terms of Sale and any applicable documentation, and (e) comply with any license, terms of service or similar agreement with respect to any third party products or services used by Customer in connection with the Products.

Orders: 877-616-CELL (2355) [email protected] Support: 877-678-TECH (8324) [email protected] Web: cellsignal.com
For Research Use Only. Not for Use in Diagnostic Procedures.

Revision 3

Cell Signaling Technology Logo
Western blot analysis of extracts from various cell lines using PBRM1/BAF180 (D4L9X) Rabbit mAb (upper) or α-Actinin (D6F6) XP® Rabbit mAb #6487 (lower). As expected, HCC1143 cells are negative for PBRM1/BAF180 expression.
Western Blotting Image 1: PBRM1/BAF180 (D4L9X) Rabbit Monoclonal Antibody
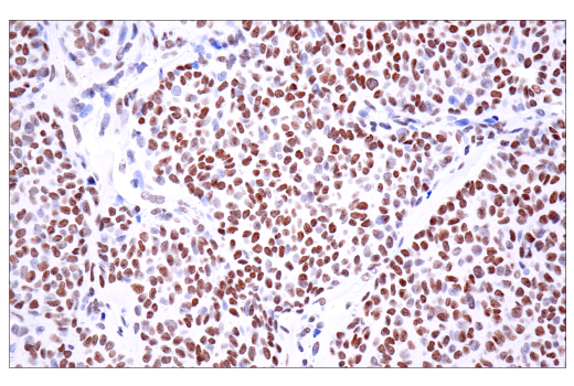
Immunohistochemical analysis of paraffin-embedded human endometrioid adenocarcinoma using PBRM1/BAF180 (D4L9X) Rabbit mAb performed on the Leica® BOND™ Rx.
Immunohistochemistry Image 1: PBRM1/BAF180 (D4L9X) Rabbit Monoclonal Antibody
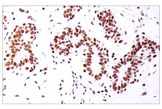
Immunohistochemical analysis of paraffin-embedded human colon carcinoma using PBRM1/BAF180 (D4L9X) Rabbit mAb performed on the Leica® BOND™ Rx.
Immunohistochemistry Image 2: PBRM1/BAF180 (D4L9X) Rabbit Monoclonal Antibody
Orders: 877-616-CELL (2355) [email protected] Support: 877-678-TECH (8324) [email protected] Web: cellsignal.com
For Research Use Only. Not for Use in Diagnostic Procedures.

Revision 3

Cell Signaling Technology Logo
Immunohistochemical analysis of paraffin-embedded normal human breast using PBRM1/BAF180 (D4L9X) Rabbit mAb.
Immunohistochemistry Image 1: PBRM1/BAF180 (D4L9X) Rabbit Monoclonal Antibody
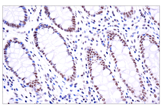
Immunohistochemical analysis of paraffin-embedded normal human colon using PBRM1/BAF180 (D4L9X) Rabbit mAb.
Immunohistochemistry Image 2: PBRM1/BAF180 (D4L9X) Rabbit Monoclonal Antibody
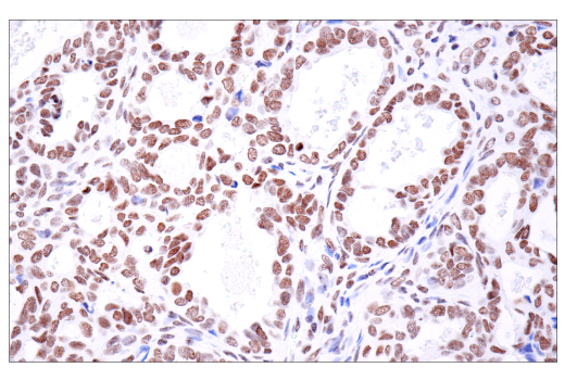
Immunohistochemical analysis of paraffin-embedded human squamous cell carcinoma of the tonsil using PBRM1/BAF180 (D4L9X) Rabbit mAb.
Immunohistochemistry Image 3: PBRM1/BAF180 (D4L9X) Rabbit Monoclonal Antibody
Orders: 877-616-CELL (2355) [email protected] Support: 877-678-TECH (8324) [email protected] Web: cellsignal.com
For Research Use Only. Not for Use in Diagnostic Procedures.

Revision 3

Cell Signaling Technology Logo
Immunohistochemical analysis of paraffin-embedded human ovarian clear cell carcinoma using PBRM1/BAF180 (D4L9X) Rabbit mAb.
Immunohistochemistry Image 4: PBRM1/BAF180 (D4L9X) Rabbit Monoclonal Antibody
Immunohistochemical analysis of paraffin-embedded human granulosa cell tumor of the ovary using PBRM1/BAF180 (D4L9X) Rabbit mAb.
Immunohistochemistry Image 5: PBRM1/BAF180 (D4L9X) Rabbit Monoclonal Antibody
Immunohistochemical analysis of paraffin-embedded Jurkat cell pellet (left, positive) or HCC1143 cell pellet (right, negative) using PBRM1/BAF180 (D4L9X) Rabbit mAb.
Immunohistochemistry Image 6: PBRM1/BAF180 (D4L9X) Rabbit Monoclonal Antibody
Orders: 877-616-CELL (2355) [email protected] Support: 877-678-TECH (8324) [email protected] Web: cellsignal.com
For Research Use Only. Not for Use in Diagnostic Procedures.

Revision 3

Cell Signaling Technology Logo
Immunohistochemical analysis of paraffin-embedded normal human testis using PBRM1/BAF180 (D4L9X) Rabbit mAb.
Immunohistochemistry Image 7: PBRM1/BAF180 (D4L9X) Rabbit Monoclonal Antibody
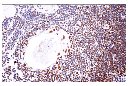
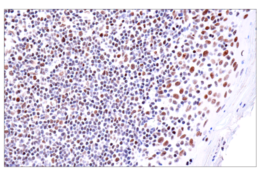
Immunohistochemical analysis of paraffin-embedded normal human thymus using PBRM1/BAF180 (D4L9X) Rabbit mAb.
Immunohistochemistry Image 8: PBRM1/BAF180 (D4L9X) Rabbit Monoclonal Antibody
Immunohistochemical analysis of paraffin-embedded normal human thyroid using PBRM1/BAF180 (D4L9X) Rabbit mAb.
Immunohistochemistry Image 9: PBRM1/BAF180 (D4L9X) Rabbit Monoclonal Antibody
Orders: 877-616-CELL (2355) [email protected] Support: 877-678-TECH (8324) [email protected] Web: cellsignal.com
For Research Use Only. Not for Use in Diagnostic Procedures.