Revision 8

#84651

Store at -20C

CST Logo
Orders:

877-616-CELL (2355)

[email protected]

Support:

877-678-TECH (8324)

3 Trask Lane | Danvers | Massachusetts | 01923 | USA

For Research Use Only. Not for Use in Diagnostic Procedures.

Applications:
W, IP, IHC-Bond, IHC-P, IF-F, IF-IC, FC-FP

Reactivity:
M

Sensitivity:
Endogenous

MW (kDa):
40-75

Source/Isotype:
Rabbit IgG

UniProt ID:
#Q02242

Entrez-Gene Id:
18566

Product Usage Information

Application Dilution
Western Blotting 1:1000
Immunoprecipitation 1:200
IHC Leica Bond 1:50 - 1:200
Immunohistochemistry (Paraffin) 1:100 - 1:400
Immunofluorescence (Frozen) 1:100 - 1:400
Immunofluorescence (Immunocytochemistry) 1:100 - 1:400
Flow Cytometry (Fixed/Permeabilized) 1:100 - 1:400

Storage

Supplied in 10 mM sodium HEPES (pH 7.5), 150 mM NaCl, 100 µg/ml BSA, 50% glycerol and less than 0.02% sodium azide. Store at –20°C. Do not aliquot the antibody.

For a carrier free (BSA and azide free) version of this product see product #55789.

Specificity/Sensitivity

PD-1 (Intracellular Domain) (D7D5W) Rabbit Monoclonal Antibody recognizes endogenous levels of total PD-1 protein.

Species predicted to react based on 100% sequence homology

Rat, Hamster

Source / Purification

Monoclonal antibody is produced by immunizing animals with a synthetic peptide corresponding to residues surrounding Ala242 of mouse PD-1 protein.

Background

The programmed cell death 1 protein (PD-1, PDCD1, CD279) is a member of the CD28 family of immunoreceptors that regulate T cell activation and immune responses (1-3). The PD-1 protein contains an extracellular Ig V domain, a transmembrane domain, and a cytoplasmic tail that includes an immunoreceptor tyrosine-based inhibitory motif (ITIM) and an immunoreceptor tyrosine-based switch motif (ITSM). PD-1 is activated by the cell surface ligands PD-L1 and PD-L2 (4). Upon activation, PD-1 ITIM and ITSM phosphorylation leads to the recruitment of the protein tyrosine phosphatases SHP-1 and SHP-2, which suppress TCR signaling (5-7). In addition to activated T cells, PD-1 is expressed in activated B cells and monocytes, although its function in these cell types has not been fully characterized (8). The PD-1 pathway plays an important role in immune tolerance (3); however, research studies show that cancer cells often adopt this pathway to escape immune surveillance (9). Consequently, blockade of PD-1 and its ligands is proving to be a sound strategy for neoplastic intervention (10).

Species Reactivity

Species reactivity is determined by testing in at least one approved application (e.g., western blot).

Western Blot Buffer

IMPORTANT: For western blots, incubate membrane with diluted primary antibody in 5% w/v BSA, 1X TBS, 0.1% Tween® 20 at 4°C with gentle shaking, overnight.

Applications Key

W: Western Blotting IP: Immunoprecipitation IHC-Bond: IHC Leica Bond IHC-P: Immunohistochemistry (Paraffin) IF-F: Immunofluorescence (Frozen) IF-IC: Immunofluorescence (Immunocytochemistry) FC-FP: Flow Cytometry (Fixed/Permeabilized)

Cross-Reactivity Key

M: Mouse

Trademarks and Patents

Cell Signaling Technology is a trademark of Cell Signaling Technology, Inc.

SignalStain is a registered trademark of Cell Signaling Technology, Inc.

All other trademarks are the property of their respective owners. Visit cellsignal.com/trademarks for more information.

Limited Uses

Except as otherwise expressly agreed in a writing signed by a legally authorized representative of CST, the following terms apply to Products provided by CST, its affiliates or its distributors. Any Customer's terms and conditions that are in addition to, or different from, those contained herein, unless separately accepted in writing by a legally authorized representative of CST, are rejected and are of no force or effect.

Products are labeled with For Research Use Only or a similar labeling statement and have not been approved, cleared, or licensed by the FDA or other regulatory foreign or domestic entity, for any purpose. Customer shall not use any Product for any diagnostic or therapeutic purpose, or otherwise in any manner that conflicts with its labeling statement. Products sold or licensed by CST are provided for Customer as the end-user and solely for research and development uses. Any use of Product for diagnostic, prophylactic or therapeutic purposes, or any purchase of Product for resale (alone or as a component) or other commercial purpose, requires a separate license from CST. Customer shall (a) not sell, license, loan, donate or otherwise transfer or make available any Product to any third party, whether alone or in combination with other materials, or use the Products to manufacture any commercial products, (b) not copy, modify, reverse engineer, decompile, disassemble or otherwise attempt to discover the underlying structure or technology of the Products, or use the Products for the purpose of developing any products or services that would compete with CST products or services, (c) not alter or remove from the Products any trademarks, trade names, logos, patent or copyright notices or markings, (d) use the Products solely in accordance with CST Product Terms of Sale and any applicable documentation, and (e) comply with any license, terms of service or similar agreement with respect to any third party products or services used by Customer in connection with the Products.

Orders: 877-616-CELL (2355) [email protected] Support: 877-678-TECH (8324) [email protected] Web: cellsignal.com
For Research Use Only. Not for Use in Diagnostic Procedures.

Revision 8

Cell Signaling Technology Logo
Western blot analysis of extracts from EL4, CTLL-2, and NIH/3T3 using PD-1 (Intracellular Domain) (D7D5W) XP® Rabbit mAb (upper) and β-actin (D6A8) Rabbit mAb #8457 (lower).
Western Blotting Image 1: PD-1 (Intracellular Domain) (D7D5W) Rabbit Monoclonal Antibody
Immunoprecipitation of PD-1 protein from EL4 cell extracts. Lane 1 is 10% input, lane 2 is Rabbit (DA1E) mAb IgG XP® Isotype Control #3900, and lane 3 is PD-1 (Intracellular Domain) (D7D5W) XP® Rabbit mAb. Western blot analysis was performed using PD-1 (Intracellular Domain) (D7D5W) XP® Rabbit mAb.
Immunoprecipitation Image 1: PD-1 (Intracellular Domain) (D7D5W) Rabbit Monoclonal Antibody
Immunohistochemical analysis of paraffin-embedded mouse LL/2 syngeneic tumor using PD-1 (Intracellular Domain) (D7D5W) XP® Rabbit mAb performed on the Leica® Bond™ Rx.
Immunohistochemistry Image 1: PD-1 (Intracellular Domain) (D7D5W) Rabbit Monoclonal Antibody
Orders: 877-616-CELL (2355) [email protected] Support: 877-678-TECH (8324) [email protected] Web: cellsignal.com
For Research Use Only. Not for Use in Diagnostic Procedures.

Revision 8

Cell Signaling Technology Logo
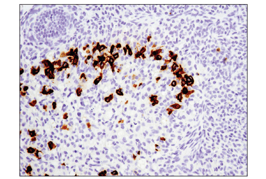
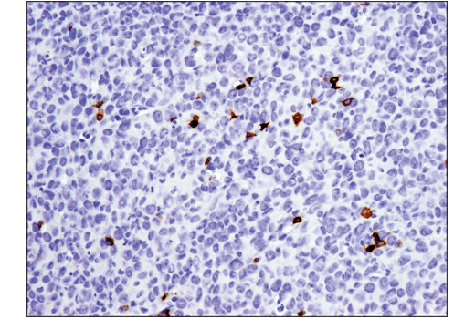
Immunohistochemical analysis of paraffin-embedded 4T1 mammary tumor using PD-1 (Intracellular Domain) (D7D5W) XP® Rabbit mAb.
Immunohistochemistry Image 1: PD-1 (Intracellular Domain) (D7D5W) Rabbit Monoclonal Antibody
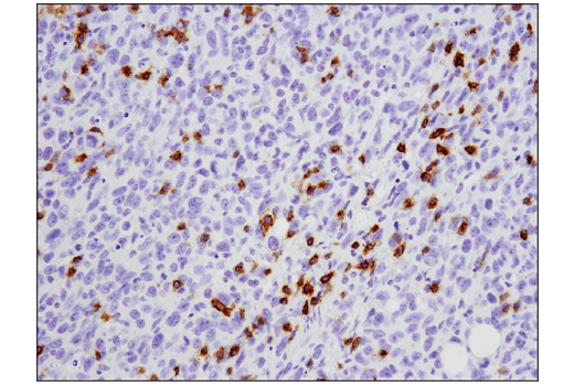
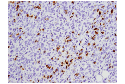
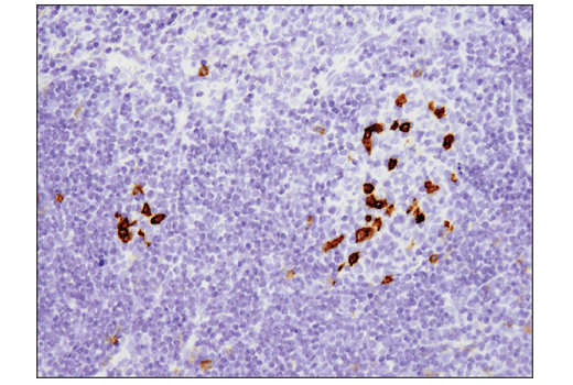
Immunohistochemical analysis of paraffin-embedded mouse spleen using PD-1 (Intracellular Domain) (D7D5W) XP® Rabbit mAb.
Immunohistochemistry Image 2: PD-1 (Intracellular Domain) (D7D5W) Rabbit Monoclonal Antibody
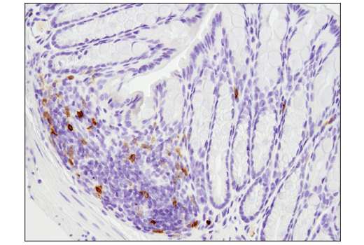
Immunohistochemical analysis of paraffin-embedded mouse colon using PD-1 (Intracellular Domain) (D7D5W) XP® Rabbit mAb.
Immunohistochemistry Image 3: PD-1 (Intracellular Domain) (D7D5W) Rabbit Monoclonal Antibody
Orders: 877-616-CELL (2355) [email protected] Support: 877-678-TECH (8324) [email protected] Web: cellsignal.com
For Research Use Only. Not for Use in Diagnostic Procedures.

Revision 8

Cell Signaling Technology Logo
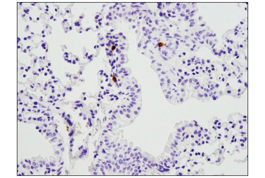
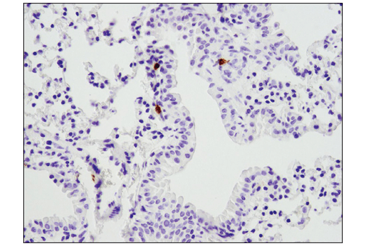
Immunohistochemical analysis of paraffin-embedded mouse lung using PD-1 (Intracellular Domain) (D7D5W) XP® Rabbit mAb.
Immunohistochemistry Image 4: PD-1 (Intracellular Domain) (D7D5W) Rabbit Monoclonal Antibody
Immunohistochemical analysis of paraffin-embedded mouse ovary using PD-1 (Intracellular Domain) (D7D5W) XP® Rabbit mAb.
Immunohistochemistry Image 5: PD-1 (Intracellular Domain) (D7D5W) Rabbit Monoclonal Antibody
Multiplex immunohistochemical analysis of paraffin-embedded mouse LL2 syngeneic tumor tissue using PD-1 (Intracellular Domain) (D7D5W) XP® rabbit mAb (green), F4/80 (D2S9R) XP® rabbit mAb #70076 (orange), PD-L1 (D5V3B) rabbit mAb #64988 (yellow), CD3ε (D4V8L) rabbit mAb #99940 (red), CD8α (D4W2Z) XP® rabbit mAb #98941 (magenta) and pan keratin (C11) mouse mAb #4279 (cyan).
Immunohistochemistry Image 6: PD-1 (Intracellular Domain) (D7D5W) Rabbit Monoclonal Antibody
Orders: 877-616-CELL (2355) [email protected] Support: 877-678-TECH (8324) [email protected] Web: cellsignal.com
For Research Use Only. Not for Use in Diagnostic Procedures.

Revision 8

Cell Signaling Technology Logo
Confocal immunofluorescent analysis of fixed frozen CT26 syngeneic tumor labeled with PD-1 (Intracellular Domain) (D7D5W) Rabbit Monoclonal Antibody (red), F4/80 (BM8.1) Rat Monoclonal Antibody #71299 (green), and ProLong Gold Antifade Reagent with DAPI #8961 (blue).
Immunofluorescence Image 1: PD-1 (Intracellular Domain) (D7D5W) Rabbit Monoclonal Antibody
Confocal immunofluorescent analysis of fixed frozen mouse spleen labeled with PD-1 (Intracellular Domain) (D7D5W) Rabbit Monoclonal Antibody (red), F4/80 (BM8.1) Rat Monoclonal Antibody #71299 (green), and ProLong Gold Antifade Reagent with DAPI #8961 (blue).
Immunofluorescence Image 2: PD-1 (Intracellular Domain) (D7D5W) Rabbit Monoclonal Antibody
Confocal immunofluorescent analysis of EL4 cells (positive, left) and NIH/3T3 cells (negative, right) using PD-1 (Intracellular Domain) (D7D5W) XP® Rabbit mAb (green). Blue pseudocolor = DRAQ5® #4084 (fluorescent DNA dye).
Immunofluorescence Image 1: PD-1 (Intracellular Domain) (D7D5W) Rabbit Monoclonal Antibody
Orders: 877-616-CELL (2355) [email protected] Support: 877-678-TECH (8324) [email protected] Web: cellsignal.com
For Research Use Only. Not for Use in Diagnostic Procedures.

Revision 8

Cell Signaling Technology Logo
Flow cytometric analysis of CTLL-2 cells (blue) and EL4 cells (green) using PD-1 (Intracellular Domain) (D7D5W) XP® Rabbit mAb (solid lines) or a concentration-matched Rabbit (DA1E) mAb IgG XP® Isotype Control #3900 (dashed lines). Anti-rabbit IgG (H+L), F(ab')2 Fragment (Alexa Fluor® 488 Conjugate) #4412 was used as a secondary antibody.
Flow Cytometry Image 1: PD-1 (Intracellular Domain) (D7D5W) Rabbit Monoclonal Antibody
Orders: 877-616-CELL (2355) [email protected] Support: 877-678-TECH (8324) [email protected] Web: cellsignal.com
For Research Use Only. Not for Use in Diagnostic Procedures.