Revision 13

#13684

Store at -20C

CST Logo
Orders:

877-616-CELL (2355)

[email protected]

Support:

877-678-TECH (8324)

3 Trask Lane | Danvers | Massachusetts | 01923 | USA

For Research Use Only. Not for Use in Diagnostic Procedures.

Applications:
W, IP, IHC-Bond, IHC-P, FC-FP

Reactivity:
H

Sensitivity:
Endogenous

MW (kDa):
40-50

Source/Isotype:
Rabbit IgG

UniProt ID:
#Q9NZQ7

Entrez-Gene Id:
29126

Product Usage Information

Application Dilution
Western Blotting 1:1000
Immunoprecipitation 1:50
IHC Leica Bond 1:200 - 1:800
Immunohistochemistry (Paraffin) 1:100 - 1:400
Flow Cytometry (Fixed/Permeabilized) 1:200 - 1:800

Storage

Supplied in 10 mM sodium HEPES (pH 7.5), 150 mM NaCl, 100 µg/ml BSA, 50% glycerol and less than 0.02% sodium azide. Store at –20°C. Do not aliquot the antibody.

For a carrier free (BSA and azide free) version of this product see product #85164.

Specificity/Sensitivity

PD-L1 (E1L3N) Rabbit Monoclonal Antibody recognizes endogenous levels of total PD-L1 protein.

Source / Purification

Monoclonal antibody is produced by immunizing animals with a synthetic peptide corresponding to residues near the carboxy terminus of human PD-L1 protein.

Background

Programmed cell death 1 ligand 1 (PD-L1, B7-H1, CD274) is a member of the B7 family of cell surface ligands that regulate T cell activation and immune responses. The PD-L1 ligand binds the PD-1 transmembrane receptor and inhibits T cell activation. PD-L1 was discovered following a search for novel B7 protein homologs and was later shown to be expressed by antigen presenting cells, activated T cells, and tissues including placenta, heart, and lung (1-3). Similar in structure to related B7 family members, PD-L1 protein contains extracellular IgV and IgC domains and a short, cytoplasmic region. Research studies demonstrate that PD-L1 is expressed in several tumor types, including melanoma, ovary, colon, lung, breast, and renal cell carcinomas (4-6). Expression of PD-L1 in cancer is associated with tumor-infiltrating lymphocytes, which mediate PD-L1 expression through the release of interferon gamma (7). Additional research links PD-L1 expression to cancers associated with viral infections (8,9).

Species Reactivity

Species reactivity is determined by testing in at least one approved application (e.g., western blot).

Western Blot Buffer

IMPORTANT: For western blots, incubate membrane with diluted primary antibody in 5% w/v nonfat dry milk, 1X TBS, 0.1% Tween® 20 at 4°C with gentle shaking, overnight.

Applications Key

W: Western Blotting IP: Immunoprecipitation IHC-Bond: IHC Leica Bond IHC-P: Immunohistochemistry (Paraffin) FC-FP: Flow Cytometry (Fixed/Permeabilized)

Cross-Reactivity Key

H: Human

Trademarks and Patents

Cell Signaling Technology is a trademark of Cell Signaling Technology, Inc.

Alexa Fluor is a registered trademark of Life Technologies Corporation.

All other trademarks are the property of their respective owners. Visit cellsignal.com/trademarks for more information.

Limited Uses

Except as otherwise expressly agreed in a writing signed by a legally authorized representative of CST, the following terms apply to Products provided by CST, its affiliates or its distributors. Any Customer's terms and conditions that are in addition to, or different from, those contained herein, unless separately accepted in writing by a legally authorized representative of CST, are rejected and are of no force or effect.

Products are labeled with For Research Use Only or a similar labeling statement and have not been approved, cleared, or licensed by the FDA or other regulatory foreign or domestic entity, for any purpose. Customer shall not use any Product for any diagnostic or therapeutic purpose, or otherwise in any manner that conflicts with its labeling statement. Products sold or licensed by CST are provided for Customer as the end-user and solely for research and development uses. Any use of Product for diagnostic, prophylactic or therapeutic purposes, or any purchase of Product for resale (alone or as a component) or other commercial purpose, requires a separate license from CST. Customer shall (a) not sell, license, loan, donate or otherwise transfer or make available any Product to any third party, whether alone or in combination with other materials, or use the Products to manufacture any commercial products, (b) not copy, modify, reverse engineer, decompile, disassemble or otherwise attempt to discover the underlying structure or technology of the Products, or use the Products for the purpose of developing any products or services that would compete with CST products or services, (c) not alter or remove from the Products any trademarks, trade names, logos, patent or copyright notices or markings, (d) use the Products solely in accordance with CST Product Terms of Sale and any applicable documentation, and (e) comply with any license, terms of service or similar agreement with respect to any third party products or services used by Customer in connection with the Products.

Orders: 877-616-CELL (2355) [email protected] Support: 877-678-TECH (8324) [email protected] Web: cellsignal.com
For Research Use Only. Not for Use in Diagnostic Procedures.

Revision 13

Cell Signaling Technology Logo
Western blot analysis of extracts from KARPAS-299, SUP-M2, and PC-3 cells using PD-L1 (E1L3N®) XP® Rabbit mAb (upper) and β-Actin (D6A8) Rabbit mAb #8457 (lower).
Western Blotting Image 1: PD-L1 (E1L3N) Rabbit Monoclonal Antibody
Western blot analysis of extracts from A549 cells, IFN-γ treated (100 ng/mL, 48 hr; +) or untreated (-), using PD-L1 (E1L3N®) XP® Rabbit mAb (upper) or β-Actin (D6A8) Rabbit mAb #8457 (lower).
Western Blotting Image 2: PD-L1 (E1L3N) Rabbit Monoclonal Antibody
Immunoprecipitation of PD-L1 protein from KARPAS-299 extracts. Lane 1 is 10% input, lane 2 is Rabbit (DA1E) mAb IgG XP® Isotype Control #3900, and lane 3 is PD-L1 (E1L3N®) XP® Rabbit mAb. Western blot analysis was performed using PD-L1 (405.9A11) Mouse mAb #29122. Anti-mouse IgG, HRP-linked Antibody #7076 was used as a secondary antibody.
Immunoprecipitation Image 1: PD-L1 (E1L3N) Rabbit Monoclonal Antibody
Orders: 877-616-CELL (2355) [email protected] Support: 877-678-TECH (8324) [email protected] Web: cellsignal.com
For Research Use Only. Not for Use in Diagnostic Procedures.

Revision 13

Cell Signaling Technology Logo
Immunohistochemical analysis of paraffin-embedded human non-small cell lung carcinoma using PD-L1 (E1L3N®) XP® Rabbit mAb performed on the Leica® BOND™ Rx.
Immunohistochemistry Image 1: PD-L1 (E1L3N) Rabbit Monoclonal Antibody
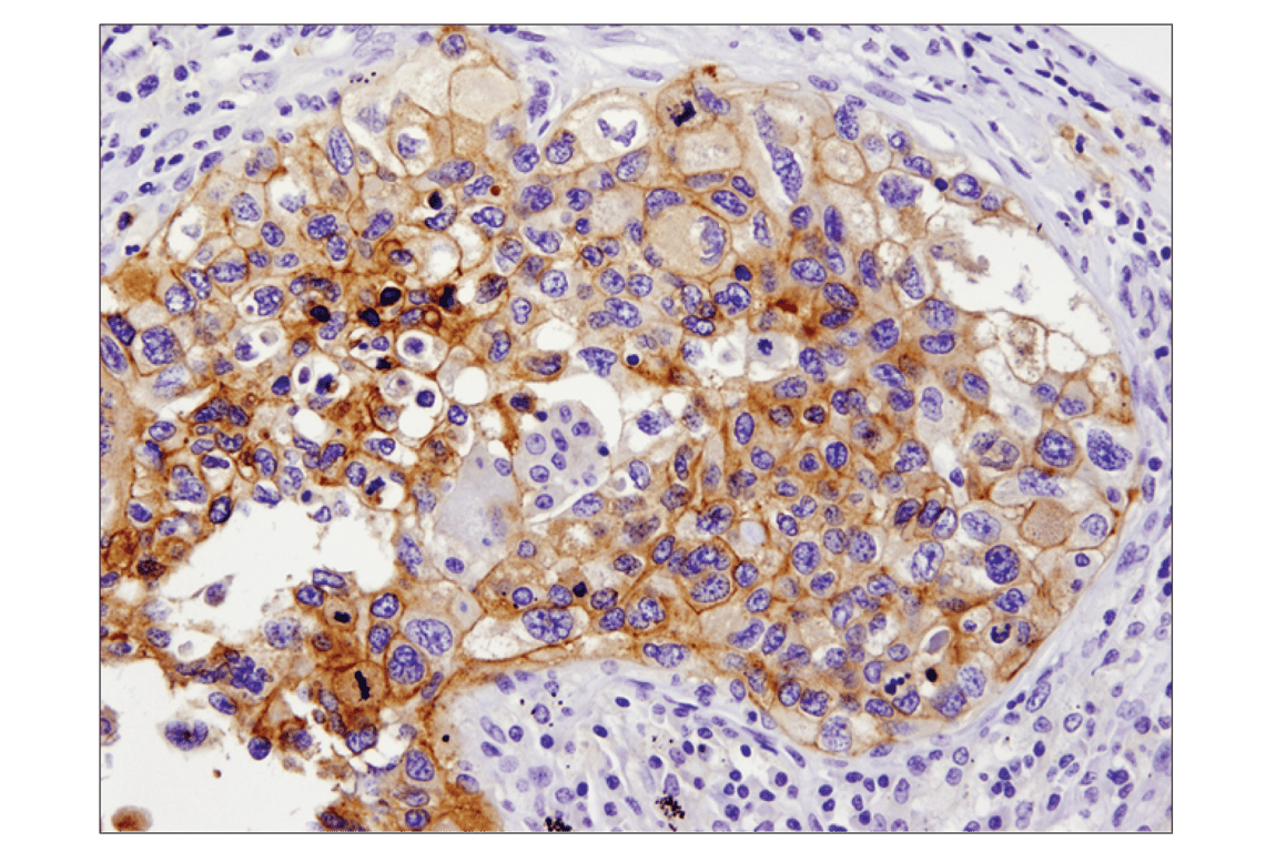
Immunohistochemical analysis of paraffin-embedded human lung carcinoma using PD-L1 (E1L3N®) XP® Rabbit mAb.
Immunohistochemistry Image 1: PD-L1 (E1L3N) Rabbit Monoclonal Antibody
Immunohistochemical analysis of paraffin-embedded human placenta using PD-L1 (E1L3N®) XP® Rabbit mAb in the presence of control peptide (left) or antigen-specific peptide (right).
Immunohistochemistry Image 2: PD-L1 (E1L3N) Rabbit Monoclonal Antibody
Orders: 877-616-CELL (2355) [email protected] Support: 877-678-TECH (8324) [email protected] Web: cellsignal.com
For Research Use Only. Not for Use in Diagnostic Procedures.

Revision 13

Cell Signaling Technology Logo
Immunohistochemical analysis of paraffin-embedded Karpas-299 (left) or PC-3 (right) cell pellets using PD-L1 (E1L3N®) XP® Rabbit mAb.
Immunohistochemistry Image 3: PD-L1 (E1L3N) Rabbit Monoclonal Antibody
Multiplex immunohistochemical analysis of paraffin-embedded human ovarian carcinoma using PD-L1 (E1L3N®) XP® rabbit mAb (red), CD8α (C8/144B) mouse mAb #70306 (magenta), B7-H4 (D1M8I) XP® rabbit mAb #14572 (green), FoxP3 (D2W8E™) rabbit mAb #98377 (yellow), and Pan-keratin (C11) mouse mAb #4545 (cyan).
Immunohistochemistry Image 4: PD-L1 (E1L3N) Rabbit Monoclonal Antibody
Multiplex immunohistochemical analysis of paraffin-embedded human ovarian carcinoma using PD-L1 (E1L3N®) XP® rabbit mAb (red), PD-L2 (D7U8C™) XP® rabbit mAb (magenta) #82723, Arginase-1 (D4E3M™) XP® rabbit mAb #93668 (green), IDO (D5J4E™) rabbit mAb #86630 (yellow), CD68 (D4B9C) XP® rabbit mAb #76437 (orange), and Pan-keratin (C11) mouse mAb #4545 (cyan).
Immunohistochemistry Image 5: PD-L1 (E1L3N) Rabbit Monoclonal Antibody
Orders: 877-616-CELL (2355) [email protected] Support: 877-678-TECH (8324) [email protected] Web: cellsignal.com
For Research Use Only. Not for Use in Diagnostic Procedures.

Revision 13

Cell Signaling Technology Logo
Multiplex immunohistochemical analysis of paraffin-embedded human breast carcinoma using PD-L1 (E1L3N®) XP® rabbit mAb (red), PD-1 (D4W2J) XP® rabbit mAb #86163 (green), LAG3 (D2G4O™) XP® rabbit mAb #15372 (magenta), TIM-3 (D5D5R™) XP® rabbit mAb #45208 (yellow), CD8α (C8/144B) mouse mAb #70306 (orange), and Pan-keratin (C11) mouse mAb #4545 (cyan).
Immunohistochemistry Image 6: PD-L1 (E1L3N) Rabbit Monoclonal Antibody
Flow cytometric analysis of Ramos cells (blue, negative) and Sup-M2 cells (green, positive) using PD-L1 (E1L3N®) XP® Rabbit mAb (solid lines) or concentration-matched Rabbit (DA1E) mAb IgG XP® Isotype Control #3900 (dashed lines). Anti-rabbit IgG (H+L), F(ab')2 Fragment (Alexa Fluor® 488 Conjugate) #4412 was used as a secondary antibody.
Flow Cytometry Image 1: PD-L1 (E1L3N) Rabbit Monoclonal Antibody
Orders: 877-616-CELL (2355) [email protected] Support: 877-678-TECH (8324) [email protected] Web: cellsignal.com
For Research Use Only. Not for Use in Diagnostic Procedures.