Revision 4

#9535

Store at -20C

CST Logo
Orders:

877-616-CELL (2355)

[email protected]

Support:

877-678-TECH (8324)

3 Trask Lane | Danvers | Massachusetts | 01923 | USA

For Research Use Only. Not for Use in Diagnostic Procedures.

Applications:
W, IP, IHC-P, IF-IC, eCLIP

Reactivity:
H M R Mk

Sensitivity:
Endogenous

MW (kDa):
60

Source/Isotype:
Rabbit IgG

UniProt ID:
#Q53EL6

Entrez-Gene Id:
27250

Product Usage Information

Application Dilution
Western Blotting 1:1000
Immunoprecipitation 1:50
Immunohistochemistry (Paraffin) 1:200
Immunofluorescence (Immunocytochemistry) 1:600
eCLIP 1:200
For more information about the RBP-eCLIP service please visit Eclipsebio.

Storage

Supplied in 10 mM sodium HEPES (pH 7.5), 150 mM NaCl, 100 µg/ml BSA, 50% glycerol and less than 0.02% sodium azide. Store at –20°C. Do not aliquot the antibody.

Specificity/Sensitivity

PDCD4 (D29C6) Rabbit Monoclonal Antibody detects endogenous levels of total PDCD4 protein.

Source / Purification

Monoclonal antibody is produced by immunizing animals with a synthetic peptide corresponding to human PDCD4 protein.

Background

PDCD4 (programmed cell death protein 4) was identified as a suppressor of neoplastic transformation (1). It interacts with eukaryotic initiation factors eIF4AI and eIF4AII (2). PDCD4 colocalizes with eIF4A in the cytoplasm and inhibits the activity of eIF4A as an ATP-dependent RNA helicase (2). PDCD4 inhibits cap-dependent translation (2). Upon stimulation by mitogens, PDCD4 is phosphorylated on Ser67 by S6K1 kinase and then degraded through the ubiquitin pathway leading to enhanced translation and cell growth (3).

Species Reactivity

Species reactivity is determined by testing in at least one approved application (e.g., western blot).

Western Blot Buffer

IMPORTANT: For western blots, incubate membrane with diluted primary antibody in 5% w/v BSA, 1X TBS, 0.1% Tween® 20 at 4°C with gentle shaking, overnight.

Applications Key

W: Western Blotting IP: Immunoprecipitation IHC-P: Immunohistochemistry (Paraffin) IF-IC: Immunofluorescence (Immunocytochemistry) eCLIP: eCLIP

Cross-Reactivity Key

H: Human M: Mouse R: Rat Mk: Monkey

Trademarks and Patents

Cell Signaling Technology is a trademark of Cell Signaling Technology, Inc.

All other trademarks are the property of their respective owners. Visit cellsignal.com/trademarks for more information.

Limited Uses

Except as otherwise expressly agreed in a writing signed by a legally authorized representative of CST, the following terms apply to Products provided by CST, its affiliates or its distributors. Any Customer's terms and conditions that are in addition to, or different from, those contained herein, unless separately accepted in writing by a legally authorized representative of CST, are rejected and are of no force or effect.

Products are labeled with For Research Use Only or a similar labeling statement and have not been approved, cleared, or licensed by the FDA or other regulatory foreign or domestic entity, for any purpose. Customer shall not use any Product for any diagnostic or therapeutic purpose, or otherwise in any manner that conflicts with its labeling statement. Products sold or licensed by CST are provided for Customer as the end-user and solely for research and development uses. Any use of Product for diagnostic, prophylactic or therapeutic purposes, or any purchase of Product for resale (alone or as a component) or other commercial purpose, requires a separate license from CST. Customer shall (a) not sell, license, loan, donate or otherwise transfer or make available any Product to any third party, whether alone or in combination with other materials, or use the Products to manufacture any commercial products, (b) not copy, modify, reverse engineer, decompile, disassemble or otherwise attempt to discover the underlying structure or technology of the Products, or use the Products for the purpose of developing any products or services that would compete with CST products or services, (c) not alter or remove from the Products any trademarks, trade names, logos, patent or copyright notices or markings, (d) use the Products solely in accordance with CST Product Terms of Sale and any applicable documentation, and (e) comply with any license, terms of service or similar agreement with respect to any third party products or services used by Customer in connection with the Products.

Orders: 877-616-CELL (2355) [email protected] Support: 877-678-TECH (8324) [email protected] Web: cellsignal.com
For Research Use Only. Not for Use in Diagnostic Procedures.

Revision 4

Cell Signaling Technology Logo
Western blot analysis of extracts from various cell types using PDCD4 (D29C6) XP® Rabbit mAb.
Western Blotting Image 1: PDCD4 (D29C6) Rabbit Monoclonal Antibody
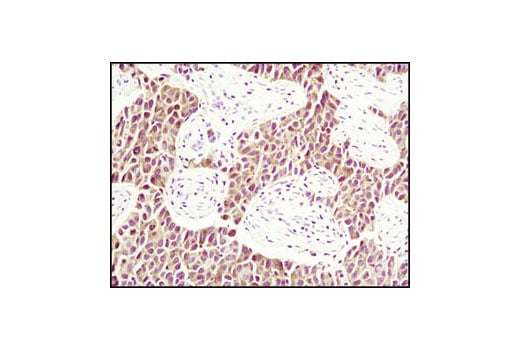
Immunohistochemical analysis of paraffin-embedded human breast carcinoma using PDCD4 (D29C6) XP® Rabbit mAb.
Immunohistochemistry Image 1: PDCD4 (D29C6) Rabbit Monoclonal Antibody
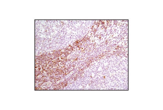
Immunohistochemical analysis of paraffin-embedded human tonsil using PDCD4 (D29C6) XP® Rabbit mAb.
Immunohistochemistry Image 2: PDCD4 (D29C6) Rabbit Monoclonal Antibody
Orders: 877-616-CELL (2355) [email protected] Support: 877-678-TECH (8324) [email protected] Web: cellsignal.com
For Research Use Only. Not for Use in Diagnostic Procedures.

Revision 4

Cell Signaling Technology Logo
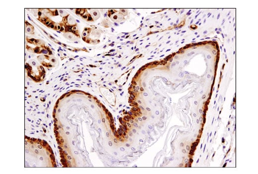
Immunohistochemical analysis of paraffin-embedded mouse forestomach using PDCD4 (D29C6) XP® Rabbit mAb.
Immunohistochemistry Image 3: PDCD4 (D29C6) Rabbit Monoclonal Antibody
Confocal immunofluorescent analysis of HeLa cells, untreated (left) or serum-starved (right), using PDCD4 (D29C6) XP® Rabbit mAb (green). Actin filaments have been labeled with DY-554 phalloidin (red).
Immunofluorescence Image 1: PDCD4 (D29C6) Rabbit Monoclonal Antibody
Enhanced cross-linking and immunoprecipitation (eCLIP) was performed with RNA from K-562 cells and PDCD4 (D29C6) XP® Rabbit mAb using a protocol based on the RBP-eCLIP Kit from EclipseBio. The figure shows binding across the RANBP1 transcript. Data is kindly provided by the laboratory of Dr. Gene Yeo and used with permission.
eCLIP Image 1: PDCD4 (D29C6) Rabbit Monoclonal Antibody
Orders: 877-616-CELL (2355) [email protected] Support: 877-678-TECH (8324) [email protected] Web: cellsignal.com
For Research Use Only. Not for Use in Diagnostic Procedures.