Revision 1

#45596

Store at -20C

CST Logo
Orders:

877-616-CELL (2355)

[email protected]

Support:

877-678-TECH (8324)

3 Trask Lane | Danvers | Massachusetts | 01923 | USA

For Research Use Only. Not for Use in Diagnostic Procedures.

Applications:
IHC-P, IF-IC

Reactivity:
H M R Mk

Sensitivity:
Endogenous

Source/Isotype:
Mouse IgG1 kappa

UniProt ID:
#P07237

Entrez-Gene Id:
5034

Product Usage Information

Application Dilution
Immunohistochemistry (Paraffin) 1:400 - 1:1600
Immunofluorescence (Immunocytochemistry) 1:100 - 1:400

Storage

Supplied in 10 mM sodium HEPES (pH 7.5), 150 mM NaCl, 100 µg/ml BSA, 50% glycerol and less than 0.02% sodium azide. Store at –20°C. Do not aliquot the antibody.

Specificity/Sensitivity

PDI (E7O2R) Mouse Monoclonal Antibody recognizes endogenous levels of total PDI protein.

Source / Purification

Monoclonal antibody is produced by immunizing animals with a synthetic peptide corresponding to residues surrounding Glu332 of human PDI protein.

Background

During their synthesis, secretory proteins translocate into the endoplasmic reticulum (ER) where they are post-translationally modified and properly folded. To reach their native conformation, many secretory proteins require the formation of intra- or inter-molecular disulfide bonds (1). This process is called oxidative protein folding. Protein disulfide isomerase (PDI) catalyzes the formation and isomerization of these disulfide bonds (2). Studies on mechanisms of oxidative folding suggest that molecular oxygen oxidizes the ER-protein Ero1, which in turn oxidizes PDI through disulfide exchange (3). This event is then followed by PDI-catalyzed disulfide bond formation in folding proteins (3).

Species Reactivity

Species reactivity is determined by testing in at least one approved application (e.g., western blot).

Applications Key

IHC-P: Immunohistochemistry (Paraffin) IF-IC: Immunofluorescence (Immunocytochemistry)

Cross-Reactivity Key

H: Human M: Mouse R: Rat Mk: Monkey

Trademarks and Patents

Cell Signaling Technology is a trademark of Cell Signaling Technology, Inc.

SignalStain is a registered trademark of Cell Signaling Technology, Inc.

All other trademarks are the property of their respective owners. Visit cellsignal.com/trademarks for more information.

Limited Uses

Except as otherwise expressly agreed in a writing signed by a legally authorized representative of CST, the following terms apply to Products provided by CST, its affiliates or its distributors. Any Customer's terms and conditions that are in addition to, or different from, those contained herein, unless separately accepted in writing by a legally authorized representative of CST, are rejected and are of no force or effect.

Products are labeled with For Research Use Only or a similar labeling statement and have not been approved, cleared, or licensed by the FDA or other regulatory foreign or domestic entity, for any purpose. Customer shall not use any Product for any diagnostic or therapeutic purpose, or otherwise in any manner that conflicts with its labeling statement. Products sold or licensed by CST are provided for Customer as the end-user and solely for research and development uses. Any use of Product for diagnostic, prophylactic or therapeutic purposes, or any purchase of Product for resale (alone or as a component) or other commercial purpose, requires a separate license from CST. Customer shall (a) not sell, license, loan, donate or otherwise transfer or make available any Product to any third party, whether alone or in combination with other materials, or use the Products to manufacture any commercial products, (b) not copy, modify, reverse engineer, decompile, disassemble or otherwise attempt to discover the underlying structure or technology of the Products, or use the Products for the purpose of developing any products or services that would compete with CST products or services, (c) not alter or remove from the Products any trademarks, trade names, logos, patent or copyright notices or markings, (d) use the Products solely in accordance with CST Product Terms of Sale and any applicable documentation, and (e) comply with any license, terms of service or similar agreement with respect to any third party products or services used by Customer in connection with the Products.

Orders: 877-616-CELL (2355) [email protected] Support: 877-678-TECH (8324) [email protected] Web: cellsignal.com
For Research Use Only. Not for Use in Diagnostic Procedures.

Revision 1

Cell Signaling Technology Logo
Immunohistochemical analysis of paraffin-embedded human ductal breast carcinoma using PDI (E7O2R) Mouse mAb.
Immunohistochemistry Image 1: PDI (E7O2R) Mouse Monoclonal Antibody
Immunohistochemical analysis of paraffin-embedded human colon carcinoma using PDI (E7O2R) Mouse mAb (left) compared to concentration-matched Mouse (G3A1) mAb IgG1 Isotype Control #5415 (right).
Immunohistochemistry Image 2: PDI (E7O2R) Mouse Monoclonal Antibody
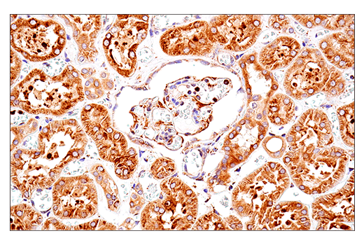
Immunohistochemical analysis of paraffin-embedded normal human kidney using PDI (E7O2R) Mouse mAb.
Immunohistochemistry Image 3: PDI (E7O2R) Mouse Monoclonal Antibody
Orders: 877-616-CELL (2355) [email protected] Support: 877-678-TECH (8324) [email protected] Web: cellsignal.com
For Research Use Only. Not for Use in Diagnostic Procedures.

Revision 1

Cell Signaling Technology Logo
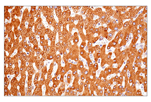
Immunohistochemical analysis of paraffin-embedded normal human liver using PDI (E7O2R) Mouse mAb.
Immunohistochemistry Image 4: PDI (E7O2R) Mouse Monoclonal Antibody
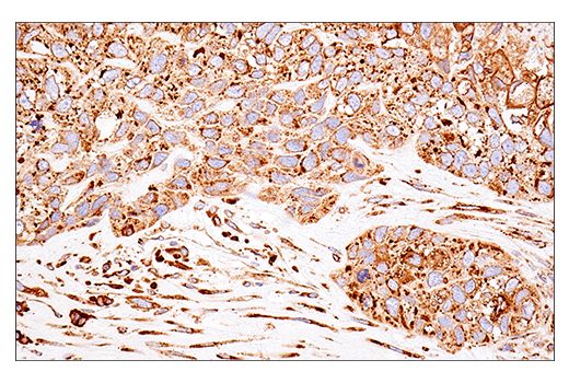
Immunohistochemical analysis of paraffin-embedded human squamous cell lung carcinoma using PDI (E7O2R) Mouse mAb.
Immunohistochemistry Image 5: PDI (E7O2R) Mouse Monoclonal Antibody
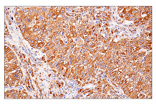
Immunohistochemical analysis of paraffin-embedded human non-small cell lung carcinoma using PDI (E7O2R) Mouse mAb.
Immunohistochemistry Image 6: PDI (E7O2R) Mouse Monoclonal Antibody
Orders: 877-616-CELL (2355) [email protected] Support: 877-678-TECH (8324) [email protected] Web: cellsignal.com
For Research Use Only. Not for Use in Diagnostic Procedures.

Revision 1

Cell Signaling Technology Logo
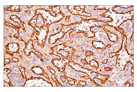
Immunohistochemical analysis of paraffin-embedded human prostate carcinoma using PDI (E7O2R) Mouse mAb.
Immunohistochemistry Image 7: PDI (E7O2R) Mouse Monoclonal Antibody
Immunohistochemical analysis of paraffin-embedded normal human spleen using PDI (E7O2R) Mouse mAb.
Immunohistochemistry Image 8: PDI (E7O2R) Mouse Monoclonal Antibody
Confocal immunofluorescent analysis of HeLa cells using PDI (E7O2R) Mouse mAb (green) and β-Actin (13E5) Rabbit mAb #4970 (red). Samples were mounted in ProLong® Gold Antifade Reagent with DAPI #8961 (blue).
Immunofluorescence Image 1: PDI (E7O2R) Mouse Monoclonal Antibody
Orders: 877-616-CELL (2355) [email protected] Support: 877-678-TECH (8324) [email protected] Web: cellsignal.com
For Research Use Only. Not for Use in Diagnostic Procedures.