Revision 4

#96986

Store at -20C

CST Logo
Orders:

877-616-CELL (2355)

[email protected]

Support:

877-678-TECH (8324)

3 Trask Lane | Danvers | Massachusetts | 01923 | USA

For Research Use Only. Not for Use in Diagnostic Procedures.

Applications:
W, IP, IHC-P

Reactivity:
H M R

Sensitivity:
Endogenous

MW (kDa):
160

Source/Isotype:
Rabbit IgG

UniProt ID:
#Q8IZL8

Entrez-Gene Id:
27043

Product Usage Information

Application Dilution
Western Blotting 1:1000
Immunoprecipitation 1:200
Immunohistochemistry (Paraffin) 1:100

Storage

Supplied in 10 mM sodium HEPES (pH 7.5), 150 mM NaCl, 100 µg/ml BSA, 50% glycerol and less than 0.02% sodium azide. Store at –20°C. Do not aliquot the antibody.

For a carrier free (BSA and azide free) version of this product see product #75586.

Specificity/Sensitivity

PELP1 (D5Q4W) Rabbit Monoclonal Antibody recognizes endogenous levels of total PELP1 protein.

Source / Purification

Monoclonal antibody is produced by immunizing animals with a synthetic peptide corresponding to residues surrounding Gly966 of human PELP1 protein.

Background

The transcription factor proline, glutamic acid, and leucine rich protein 1 (PELP1, MNAR) mediates cell signaling through direct interaction with hormone nuclear receptors to regulate target gene transcription. This versatile protein also regulates gene expression by participating in chromatin remodeling, and acts as a cytoplasmic scaffold protein to mediate growth factor and hormone signaling (1). Following its original description as an estrogen receptor α (ERα) coactivator (2), additional research showed that PELP1 corepresses multiple nuclear hormone receptors and transcriptional regulators, including progesterone receptor, glucocorticoid receptor, AP1, and Stat3 (3). PELP1 also acts cooperatively with the secondary coactivator CARM1 at ERα target gene promoters to increase ERα-mediated transactivation (4). The PELP1 protein contains several leucine-rich repeats, important for interaction with nuclear receptors, and a carboxy-terminal glutamic acid-rich domain responsible for histone protein interaction (2). The glutamic acid-rich region of PELP1 binds to hypoacetylated histones H3 and H4 to block interaction between histone proteins and acetyltransferases. This interaction maintains histones in a hypoacetylated state and suppresses serum-response gene activation. Interaction between PELP1 and ERα relieves this repression and promotes acetylation of histone proteins (3).

Research studies demonstrate altered regulation of PELP1 in several distinct hormone-dependent cancers, such as ovarian, breast, and prostate cancers (5-7). As a result, PELP1 may be a promising prognostic marker for hormone-dependent cancers, and inhibiting PELP1 expression or activity may prove beneficial in disrupting hormonal cancer initiation, progression, and metastasis (8).

Species Reactivity

Species reactivity is determined by testing in at least one approved application (e.g., western blot).

Western Blot Buffer

IMPORTANT: For western blots, incubate membrane with diluted primary antibody in 5% w/v BSA, 1X TBS, 0.1% Tween® 20 at 4°C with gentle shaking, overnight.

Applications Key

W: Western Blotting IP: Immunoprecipitation IHC-P: Immunohistochemistry (Paraffin)

Cross-Reactivity Key

H: Human M: Mouse R: Rat

Trademarks and Patents

Cell Signaling Technology is a trademark of Cell Signaling Technology, Inc.

SignalStain is a registered trademark of Cell Signaling Technology, Inc.

All other trademarks are the property of their respective owners. Visit cellsignal.com/trademarks for more information.

Limited Uses

Except as otherwise expressly agreed in a writing signed by a legally authorized representative of CST, the following terms apply to Products provided by CST, its affiliates or its distributors. Any Customer's terms and conditions that are in addition to, or different from, those contained herein, unless separately accepted in writing by a legally authorized representative of CST, are rejected and are of no force or effect.

Products are labeled with For Research Use Only or a similar labeling statement and have not been approved, cleared, or licensed by the FDA or other regulatory foreign or domestic entity, for any purpose. Customer shall not use any Product for any diagnostic or therapeutic purpose, or otherwise in any manner that conflicts with its labeling statement. Products sold or licensed by CST are provided for Customer as the end-user and solely for research and development uses. Any use of Product for diagnostic, prophylactic or therapeutic purposes, or any purchase of Product for resale (alone or as a component) or other commercial purpose, requires a separate license from CST. Customer shall (a) not sell, license, loan, donate or otherwise transfer or make available any Product to any third party, whether alone or in combination with other materials, or use the Products to manufacture any commercial products, (b) not copy, modify, reverse engineer, decompile, disassemble or otherwise attempt to discover the underlying structure or technology of the Products, or use the Products for the purpose of developing any products or services that would compete with CST products or services, (c) not alter or remove from the Products any trademarks, trade names, logos, patent or copyright notices or markings, (d) use the Products solely in accordance with CST Product Terms of Sale and any applicable documentation, and (e) comply with any license, terms of service or similar agreement with respect to any third party products or services used by Customer in connection with the Products.

Orders: 877-616-CELL (2355) [email protected] Support: 877-678-TECH (8324) [email protected] Web: cellsignal.com
For Research Use Only. Not for Use in Diagnostic Procedures.

Revision 4

Cell Signaling Technology Logo
Western blot analysis of extracts from various cell lines using PELP1 (D5Q4W) Rabbit mAb.
Western Blotting Image 1: PELP1 (D5Q4W) Rabbit Monoclonal Antibody
Immunoprecipitation of PELP1 from SW620 cell extracts. Lane 1 is 10% input, lane 2 is Rabbit (DA1E) mAb IgG XP® Isotype Control #3900, and lane 3 is PELP1 (D5Q4W) Rabbit mAb. Western blot analysis was performed using PELP1 (D5Q4W) Rabbit mAb.
Immunoprecipitation Image 1: PELP1 (D5Q4W) Rabbit Monoclonal Antibody
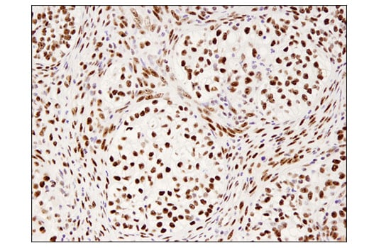
Immunohistochemical analysis of paraffin-embedded human colon carcinoma using PELP1 (D5Q4W) Rabbit mAb.
Immunohistochemistry Image 1: PELP1 (D5Q4W) Rabbit Monoclonal Antibody
Orders: 877-616-CELL (2355) [email protected] Support: 877-678-TECH (8324) [email protected] Web: cellsignal.com
For Research Use Only. Not for Use in Diagnostic Procedures.

Revision 4

Cell Signaling Technology Logo
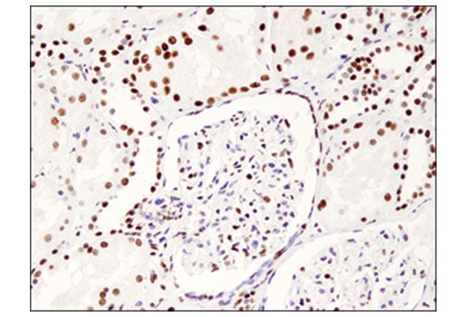
Immunohistochemical analysis of paraffin-embedded human kidney using PELP1 (D5Q4W) Rabbit mAb.
Immunohistochemistry Image 2: PELP1 (D5Q4W) Rabbit Monoclonal Antibody
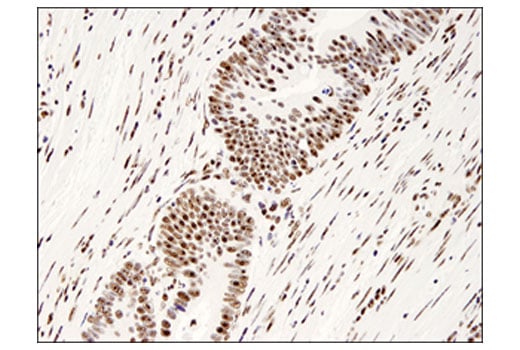
Immunohistochemical analysis of paraffin-embedded human ovarian carcinoma using PELP1 (D5Q4W) Rabbit mAb.
Immunohistochemistry Image 3: PELP1 (D5Q4W) Rabbit Monoclonal Antibody
Orders: 877-616-CELL (2355) [email protected] Support: 877-678-TECH (8324) [email protected] Web: cellsignal.com
For Research Use Only. Not for Use in Diagnostic Procedures.