Revision 4

#65090

Store at +4C

CST Logo
Orders:

877-616-CELL (2355)

[email protected]

Support:

877-678-TECH (8324)

3 Trask Lane | Danvers | Massachusetts | 01923 | USA

For Research Use Only. Not for Use in Diagnostic Procedures.

Applications:
IHC-P

Reactivity:
H

Sensitivity:
Endogenous

Source/Isotype:
Mouse IgG1

UniProt ID:
#P14222

Entrez-Gene Id:
5551

Product Usage Information

Application Dilution
Immunohistochemistry (Paraffin) 1:100 - 1:400

Storage

Supplied in a Tris-based buffer with 1% BSA and less than 0.1% sodium azide. Stable for 24 months when stored at 4°C. Do not aliquot the antibody.

Specificity/Sensitivity

Perforin (IHC646) Mouse Monoclonal Antibody recognizes endogenous levels of total perforin protein.

Source / Purification

Monoclonal antibody is produced by immunizing animals with a recombinant protein fragment corresponding to human perforin protein.

Background

Granzymes are a family of serine proteases expressed by cytotoxic T lymphocytes and natural killer (NK) cells and are key components of immune responses to pathogens and transformed cells (1). Granzymes are synthesized as zymogens and are processed into mature enzymes by cleavage of a leader sequence. They are released by exocytosis in lysosome-like granules containing perforin, a membrane pore-forming protein. Granzyme B has the strongest apoptotic activity of all the granzymes as a result of its caspase-like ability to cleave substrates at aspartic acid residues thereby activating procaspases directly and cleaving downstream caspase substrates (2,3).

Perforin is a pore-forming protein that facilitates the entry of cytotoxic serine proteases, such as granzymes, into target cells (4). Perforin is primarily expressed in cytotoxic T lymphocytes and NK cells.

Species Reactivity

Species reactivity is determined by testing in at least one approved application (e.g., western blot).

Applications Key

IHC-P: Immunohistochemistry (Paraffin)

Cross-Reactivity Key

H: Human

Trademarks and Patents

Cell Signaling Technology is a trademark of Cell Signaling Technology, Inc.

KARPAS cell line source: Dr. Abraham Karpas at the University of Cambridge.

All other trademarks are the property of their respective owners. Visit cellsignal.com/trademarks for more information.

Limited Uses

Except as otherwise expressly agreed in a writing signed by a legally authorized representative of CST, the following terms apply to Products provided by CST, its affiliates or its distributors. Any Customer's terms and conditions that are in addition to, or different from, those contained herein, unless separately accepted in writing by a legally authorized representative of CST, are rejected and are of no force or effect.

Products are labeled with For Research Use Only or a similar labeling statement and have not been approved, cleared, or licensed by the FDA or other regulatory foreign or domestic entity, for any purpose. Customer shall not use any Product for any diagnostic or therapeutic purpose, or otherwise in any manner that conflicts with its labeling statement. Products sold or licensed by CST are provided for Customer as the end-user and solely for research and development uses. Any use of Product for diagnostic, prophylactic or therapeutic purposes, or any purchase of Product for resale (alone or as a component) or other commercial purpose, requires a separate license from CST. Customer shall (a) not sell, license, loan, donate or otherwise transfer or make available any Product to any third party, whether alone or in combination with other materials, or use the Products to manufacture any commercial products, (b) not copy, modify, reverse engineer, decompile, disassemble or otherwise attempt to discover the underlying structure or technology of the Products, or use the Products for the purpose of developing any products or services that would compete with CST products or services, (c) not alter or remove from the Products any trademarks, trade names, logos, patent or copyright notices or markings, (d) use the Products solely in accordance with CST Product Terms of Sale and any applicable documentation, and (e) comply with any license, terms of service or similar agreement with respect to any third party products or services used by Customer in connection with the Products.

Orders: 877-616-CELL (2355) [email protected] Support: 877-678-TECH (8324) [email protected] Web: cellsignal.com
For Research Use Only. Not for Use in Diagnostic Procedures.

Revision 4

Cell Signaling Technology Logo
Immunohistochemical analysis of paraffin-embedded normal human spleen using Perforin (IHC646) Mouse mAb.
Immunohistochemistry Image 1: Perforin (IHC646) Mouse Monoclonal Antibody
Immunohistochemical analysis of paraffin-embedded human non-small cell lung carcinoma using Perforin (IHC646) Mouse mAb.
Immunohistochemistry Image 2: Perforin (IHC646) Mouse Monoclonal Antibody
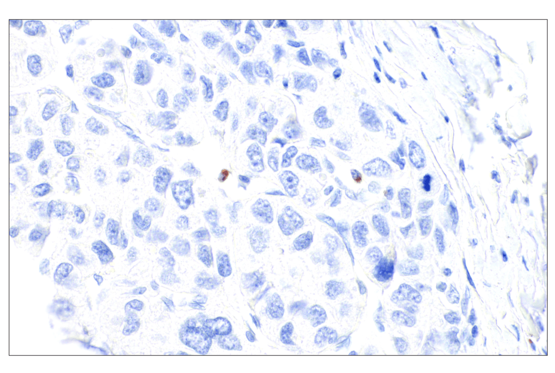
Immunohistochemical analysis of paraffin-embedded human non-Hodgkin lymphoma using Perforin (IHC646) Mouse mAb.
Immunohistochemistry Image 3: Perforin (IHC646) Mouse Monoclonal Antibody
Orders: 877-616-CELL (2355) [email protected] Support: 877-678-TECH (8324) [email protected] Web: cellsignal.com
For Research Use Only. Not for Use in Diagnostic Procedures.

Revision 4

Cell Signaling Technology Logo
Immunohistochemical analysis of paraffin-embedded human renal cell carcinoma using Perforin (IHC646) Mouse mAb.
Immunohistochemistry Image 4: Perforin (IHC646) Mouse Monoclonal Antibody
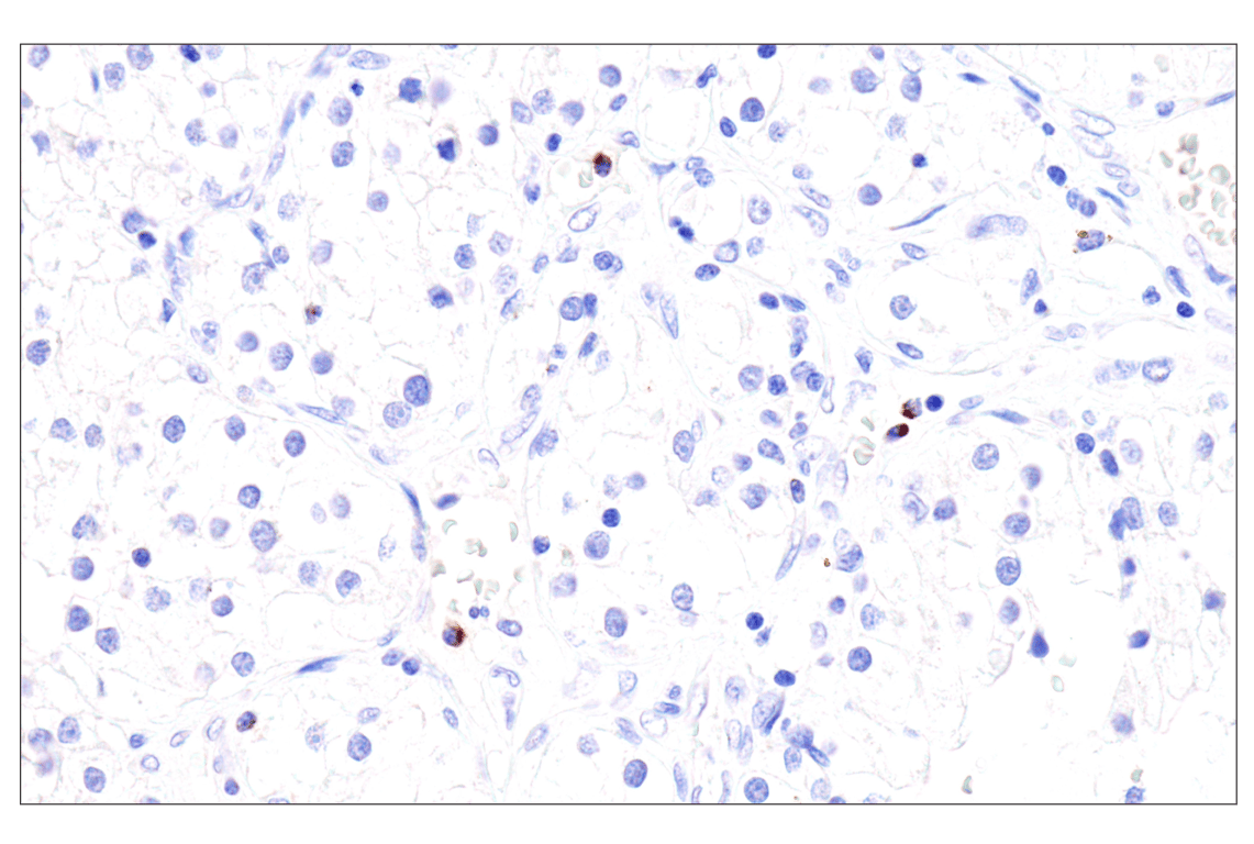
Immunohistochemical analysis of paraffin-embedded human hepatocellular carcinoma using Perforin (IHC646) Mouse mAb.
Immunohistochemistry Image 5: Perforin (IHC646) Mouse Monoclonal Antibody
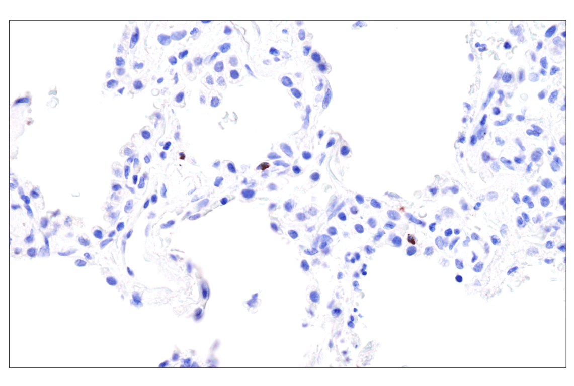
Immunohistochemical analysis of paraffin-embedded normal human lung adjacent to pulmonary sarcoma using Perforin (IHC646) Mouse mAb.
Immunohistochemistry Image 6: Perforin (IHC646) Mouse Monoclonal Antibody
Orders: 877-616-CELL (2355) [email protected] Support: 877-678-TECH (8324) [email protected] Web: cellsignal.com
For Research Use Only. Not for Use in Diagnostic Procedures.

Revision 4

Cell Signaling Technology Logo
Immunohistochemical analysis of paraffin-embedded normal human spleen using Perforin (IHC646) Mouse mAb (left) compared to concentration-matched Mouse (G3A1) mAb IgG1 Isotype Control #5415 (right).
Immunohistochemistry Image 7: Perforin (IHC646) Mouse Monoclonal Antibody
Immunohistochemical analysis of paraffin-embedded Ramos cell pellet (left, positive) or KARPAS 299 cell pellet (right, negative) using Perforin (IHC646) Mouse mAb.
Immunohistochemistry Image 8: Perforin (IHC646) Mouse Monoclonal Antibody
Orders: 877-616-CELL (2355) [email protected] Support: 877-678-TECH (8324) [email protected] Web: cellsignal.com
For Research Use Only. Not for Use in Diagnostic Procedures.