Revision 1

#76879

Store at -20C

Pericyte Antibody Sampler Kit

1 Kit

(8 x 20 microliters)

CST Logo
Orders:

877-616-CELL (2355)

[email protected]

Support:

877-678-TECH (8324)

3 Trask Lane | Danvers | Massachusetts | 01923 | USA

For Research Use Only. Not for Use in Diagnostic Procedures.

Product Includes Product # Quantity Mol. Wt Isotype/Source
PDGF Receptor beta (28E1) Rabbit Monoclonal Antibody316920 µl190 kDaRabbit IgG
alpha-Smooth Muscle Actin (D4K9N) Rabbit Monoclonal Antibody1924520 µl42 kDaRabbit IgG
Desmin (D93F5) Rabbit Monoclonal Antibody533220 µl53 kDaRabbit IgG
MCAM (E3F3E) Rabbit Monoclonal Antibody8170120 µl120 kDaRabbit IgG
CD13/APN (D6V1W) Rabbit Monoclonal Antibody3272020 µl160 kDaRabbit IgG
CD31 (PECAM-1) (D8V9E) Rabbit Monoclonal Antibody7769920 µl135 kDaRabbit IgG
CD31 (PECAM-1) (89C2) Mouse Monoclonal Antibody352820 µl130 kDaMouse IgG1
NG2/CSPG4 (E3B3G) Rabbit Monoclonal Antibody4391620 µl250, 450 kDaRabbit IgG
Anti-rabbit IgG, HRP-linked Antibody7074100 µlGoat
Anti-mouse IgG, HRP-linked Antibody7076100 µlHorse

Please visit cellsignal.com for individual component applications, species cross-reactivity, dilutions, protocols, and additional product information.

Description

The Pericyte Antibody Sampler Kit provides an economical means to detect and evaluate blood-brain barrier integrity by western blot. This kit includes enough primary antibodies to perform two western blot experiments per primary antibody.

Storage

Supplied in 10 mM sodium HEPES (pH 7.5), 150 mM NaCl, 100 µg/mL BSA, 50% glycerol, and less than 0.02% sodium azide. Store at –20°C. Do not aliquot the antibody.

Background

The antibodies in this kit serve to detect and evaluate blood-brain barrier (BBB) integrity in the brain. The BBB is formed by microvascular endothelial cells (ECs) lining the cerebral capillaries penetrating the brain and spinal cord of most mammals, providing a biological barrier at the blood to brain interface effectively separating the brain from the rest of the body (1). Pericytes are essential constituents of the brain capillary; their close association with ECs allows the exchange of ions, metabolites, second messengers, and ribonucleic acids between the two cell types (1). Pericyte markers include smooth muscle actin, desmin, or platelet-derived growth factor receptor β (PDGFR-β). Pericytes and ECs are in close communication with each other, for example, via the PDGF-β signaling pathway (2).

The cytoskeleton consists of three types of cytosolic fibers: microfilaments (actin filaments), intermediate filaments, and microtubules. Actin proteins are major components of the eukaryotic cytoskeleton. At least six vertebrate actin isoforms have been identified. The cytoplasmic β- and γ-actin proteins are referred to as “non-muscle” actin proteins as they are predominantly expressed in non-muscle cells where they control cell structure and motility (3). The α-cardiac and α-skeletal actin proteins are expressed in striated cardiac and skeletal muscles, respectively. The smooth muscle α-actin and γ-actin proteins are found primarily in vascular smooth muscle and enteric smooth muscle, respectively. The α-smooth muscle actin (ACTA2) is also known as aortic smooth muscle actin. These actin isoforms regulate the contractile potential of muscle cells (4).

The intermediate filament desmin is a myogenic marker expressed in early development that forms a network of filaments extending across the myofibril and surrounding Z discs. The desmin cytoskeleton provides a connection among myofibrils, organelles, and the cytoskeleton (5). Melanoma cell adhesion molecule (MCAM, MUC18, CD146) is a marker protein seen in vascular endothelial cells, activated T lymphocytes, smooth muscle, and bone marrow stromal cells. Endothelial MCAM within the BBB acts as adhesion receptors that permit lymphocytes to transmigrate across the barrier and produce inflammatory lesions (6). MCAM also functions as a co-receptor for PDGFR-β on pericytes to regulate pericyte-EC interactions (7).

CD31 (Platelet Endothelial Cell Adhesion Molecule-1: PECAM-1), a member of the Ig superfamily of cell adhesion molecules, is expressed by circulating platelets, monocytes, neutrophils, some T cells, and endothelial cells and modulates cell adhesion, endothelial cell migration, and angiogenesis. CD31 serves as a scaffold for various signaling molecules and is a possible gate-keeper receptor in the inflammatory blood–brain axis (8).

Aminopeptidase N (APN, CD13) is a metalloprotease expressed on myeloid cells, pericytes, fibroblasts, epithelial and endothelial cells, as well as on tumor cells, and stem cells. APN/CD13 acts as an adhesion molecule that modulates inflammatory immune cell trafficking, resulting in injury progression (9).

The chondroitin sulfate proteoglycan NG2 is a type I membrane protein expressed by subpopulations of glia, including oligodendroglial precursor cells and a variety of tumor cells (10). Although NG2 is not expressed in adult central nervous system (CNS) pericytes, it is an early marker of pericyte activation during CNS development and pathological conditions. Thus, upon CNS injury, NG2-reactive pericytes are found along microvessels, where they act as sensors for inflammation and support the immunosurveillance and effector function of extravasated neutrophils and macrophages (11).

Trademarks and Patents

Cell Signaling Technology is a trademark of Cell Signaling Technology, Inc.

All other trademarks are the property of their respective owners. Visit cellsignal.com/trademarks for more information.

Limited Uses

Except as otherwise expressly agreed in a writing signed by a legally authorized representative of CST, the following terms apply to Products provided by CST, its affiliates or its distributors. Any Customer's terms and conditions that are in addition to, or different from, those contained herein, unless separately accepted in writing by a legally authorized representative of CST, are rejected and are of no force or effect.

Products are labeled with For Research Use Only or a similar labeling statement and have not been approved, cleared, or licensed by the FDA or other regulatory foreign or domestic entity, for any purpose. Customer shall not use any Product for any diagnostic or therapeutic purpose, or otherwise in any manner that conflicts with its labeling statement. Products sold or licensed by CST are provided for Customer as the end-user and solely for research and development uses. Any use of Product for diagnostic, prophylactic or therapeutic purposes, or any purchase of Product for resale (alone or as a component) or other commercial purpose, requires a separate license from CST. Customer shall (a) not sell, license, loan, donate or otherwise transfer or make available any Product to any third party, whether alone or in combination with other materials, or use the Products to manufacture any commercial products, (b) not copy, modify, reverse engineer, decompile, disassemble or otherwise attempt to discover the underlying structure or technology of the Products, or use the Products for the purpose of developing any products or services that would compete with CST products or services, (c) not alter or remove from the Products any trademarks, trade names, logos, patent or copyright notices or markings, (d) use the Products solely in accordance with CST Product Terms of Sale and any applicable documentation, and (e) comply with any license, terms of service or similar agreement with respect to any third party products or services used by Customer in connection with the Products.

Orders: 877-616-CELL (2355) [email protected] Support: 877-678-TECH (8324) [email protected] Web: cellsignal.com
For Research Use Only. Not for Use in Diagnostic Procedures.

Revision 1

Cell Signaling Technology Logo
Immunohistochemical analysis of paraffin-embedded human endometrioid carcinoma using alpha-Smooth Muscle Actin (D4K9N) XP® Rabbit mAb performed on the Leica® Bond™ Rx.
undefined Image 1: Pericyte Antibody Sampler Kit
Western blotting analysis of extracts from various human, mouse, and rat tissues using α-Smooth Muscle Actin (D4K9N) XP® Rabbit mAb (upper) and GAPDH #5174 (lower). As expected, skeletal muscle samples are negative for α-smooth muscle actin.
undefined Image 2: Pericyte Antibody Sampler Kit
Western blot analysis of extracts from various cell lines, using PDGF Receptor β (28E1) Rabbit mAb.
undefined Image 3: Pericyte Antibody Sampler Kit
Orders: 877-616-CELL (2355) [email protected] Support: 877-678-TECH (8324) [email protected] Web: cellsignal.com
For Research Use Only. Not for Use in Diagnostic Procedures.

Revision 1

Cell Signaling Technology Logo
Western blot analysis of extracts from OVCAR8, SK-MEL-2, mouse kidney, and rat liver using CD13/APN (D6V1W) Rabbit mAb (upper) and α-Actinin (D6F6) XP® Rabbit mAb #6487 (lower).
undefined Image 4: Pericyte Antibody Sampler Kit
Western blot analysis of extracts from HUVEC cells using CD31 (PECAM-1) (89C2) Mouse mAb.
undefined Image 5: Pericyte Antibody Sampler Kit
Western blot analysis of extracts from various cell lines using NG2/CSPG4 (E3B3G) XP® Rabbit mAb (upper) and α-Actinin (D6F6) XP® Rabbit mAb #6487 (lower). As expected, NG2/CSPG4 protein is not expressed in MCF7 cells.
undefined Image 6: Pericyte Antibody Sampler Kit
Orders: 877-616-CELL (2355) [email protected] Support: 877-678-TECH (8324) [email protected] Web: cellsignal.com
For Research Use Only. Not for Use in Diagnostic Procedures.

Revision 1

Cell Signaling Technology Logo
Western blot analysis of extracts from C2C12 cells, rat heart and human heart using Desmin (D93F5) XP® Rabbit mAb.
undefined Image 7: Pericyte Antibody Sampler Kit
After the primary antibody is bound to the target protein, a complex with HRP-linked secondary antibody is formed. The LumiGLO® is added and emits light during enzyme catalyzed decomposition.
undefined Image 8: Pericyte Antibody Sampler Kit
After the primary antibody is bound to the target protein, a complex with HRP-linked secondary antibody is formed. The LumiGLO* is added and emits light during enzyme catalyzed decomposition.
undefined Image 9: Pericyte Antibody Sampler Kit
Orders: 877-616-CELL (2355) [email protected] Support: 877-678-TECH (8324) [email protected] Web: cellsignal.com
For Research Use Only. Not for Use in Diagnostic Procedures.

Revision 1

Cell Signaling Technology Logo
Western blot analysis of extracts from 32D (CD31/PECAM-1 positive) and 3T3 (CD31/PECAM-1 negative) cells using CD31 (PECAM-1) (D8V9E) XP® Rabbit mAb (upper) and β-Actin (D6A8) Rabbit mAb #8457 (lower).
undefined Image 10: Pericyte Antibody Sampler Kit
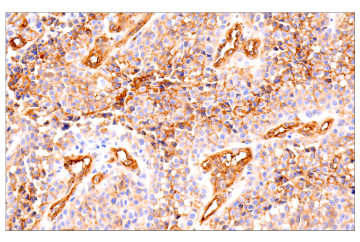
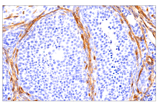
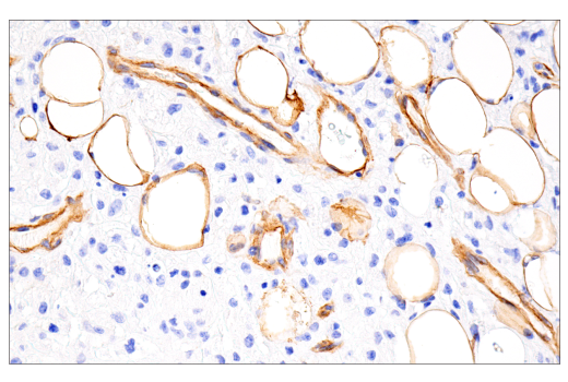
Immunohistochemical analysis of paraffin-embedded human renal cell carcinoma using MCAM (E3F3E) XP® Rabbit mAb performed on the Leica® BOND™ Rx.
undefined Image 11: Pericyte Antibody Sampler Kit
Flow cytometric analysis of LNCaP cells (blue, negative) and SK-MEL-28 cells (green, positive) using MCAM (E3F3E) XP® Rabbit mAb (solid lines) or concentration-matched Rabbit (DA1E) mAb IgG XP® Isotype Control #3900 (dashed lines). Anti-rabbit IgG (H+L), F(ab')2 Fragment (Alexa Fluor® 488 Conjugate) #4412 was used as a secondary antibody.
undefined Image 12: Pericyte Antibody Sampler Kit
Orders: 877-616-CELL (2355) [email protected] Support: 877-678-TECH (8324) [email protected] Web: cellsignal.com
For Research Use Only. Not for Use in Diagnostic Procedures.

Revision 1

Cell Signaling Technology Logo
Confocal immunofluorescent analysis of SK-MEL-28 cells (left, positive) or LNCaP cells (right, negative) using MCAM (E3F3E) XP® Rabbit mAb (green), DyLight™ 554 Phalloidin #13054 (red), and ProLong® Gold Antifade Reagent with DAPI #8961 (blue).
undefined Image 13: Pericyte Antibody Sampler Kit
Immunoprecipitation of α-smooth muscle actin from mouse colon tissue extracts. Lane 1 is 10% input, lane 2 is Rabbit (DA1E) mAb IgG XP® Isotype Control #3900, and lane 3 is α-Smooth Muscle Actin (D4K9N) XP® Rabbit mAb. Western blot analysis was performed using α-Smooth Muscle Actin (D4K9N) XP® Rabbit mAb.
undefined Image 14: Pericyte Antibody Sampler Kit
Immunohistochemical analysis of paraffin-embedded human appendix using α-Smooth Muscle Actin (D4K9N) XP® Rabbit mAb.
undefined Image 15: Pericyte Antibody Sampler Kit
Orders: 877-616-CELL (2355) [email protected] Support: 877-678-TECH (8324) [email protected] Web: cellsignal.com
For Research Use Only. Not for Use in Diagnostic Procedures.

Revision 1

Cell Signaling Technology Logo
Immunohistochemical analysis of paraffin-embedded human colon carcinoma using PDGF Receptor β (28E1) Rabbit mAb.
undefined Image 16: Pericyte Antibody Sampler Kit
Immunoprecipitation of CD13/APN from PANC-1 cell extracts. Lane 1 is 10% input, lane 2 is Rabbit (DA1E) mAb IgG XP® Isotype Control #3900, and lane 3 is CD13/APN (D6V1W) Rabbit mAb. Western blot analysis was performed using CD13/APN (D6V1W) Rabbit mAb.
undefined Image 17: Pericyte Antibody Sampler Kit
Immunohistochemical analysis of paraffin-embedded human smooth muscle using CD31 (PECAM-1) (89C2) Mouse mAb.
undefined Image 18: Pericyte Antibody Sampler Kit
Orders: 877-616-CELL (2355) [email protected] Support: 877-678-TECH (8324) [email protected] Web: cellsignal.com
For Research Use Only. Not for Use in Diagnostic Procedures.

Revision 1

Cell Signaling Technology Logo
Western blot analysis of extracts from 293T cells, mock transfected (-) or transfected with a construct expressing Myc/DDK-tagged full-length human NG2/CSPG4 protein (hNG2/CSPG4-Myc/DDK; +), using NG2/CSPG4 (E3B3G) XP® Rabbit mAb (upper), DYKDDDDK Tag Antibody #2368 (middle), and α-Actinin (D6F6) XP® Rabbit mAb #6487 (lower).
undefined Image 19: Pericyte Antibody Sampler Kit
Confocal immunofluorescent analysis of mouse skeletal muscle using Desmin (D93F5) XP® Rabbit mAb (green). Actin filaments were labeled with DyLight™ 554 Phalloidin #13054 (red). Samples were mounted in ProLong® Gold Antifade Reagent with DAPI #8961 (blue).
undefined Image 20: Pericyte Antibody Sampler Kit
Immunohistochemical analysis of paraffin-embedded mouse small intestine using CD31 (PECAM-1) (D8V9E) XP® Rabbit mAb performed on the Leica® BOND™ Rx.
undefined Image 21: Pericyte Antibody Sampler Kit
Orders: 877-616-CELL (2355) [email protected] Support: 877-678-TECH (8324) [email protected] Web: cellsignal.com
For Research Use Only. Not for Use in Diagnostic Procedures.

Revision 1

Cell Signaling Technology Logo
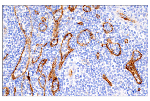
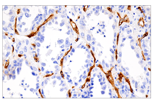
Immunohistochemical analysis of paraffin-embedded human B-cell non-Hodgkin lymphoma using MCAM (E3F3E) XP® Rabbit mAb performed on the Leica® BOND™ Rx.
undefined Image 22: Pericyte Antibody Sampler Kit
Immunohistochemical analysis of paraffin-embedded human ductal carcinoma of the breast using α-Smooth Muscle Actin (D4K9N) XP® Rabbit mAb.
undefined Image 23: Pericyte Antibody Sampler Kit
Immunohistochemical analysis of paraffin-embedded human glioblastoma using PDGF Receptor β (28E1) Rabbit mAb.
undefined Image 24: Pericyte Antibody Sampler Kit
Orders: 877-616-CELL (2355) [email protected] Support: 877-678-TECH (8324) [email protected] Web: cellsignal.com
For Research Use Only. Not for Use in Diagnostic Procedures.

Revision 1

Cell Signaling Technology Logo
Immunohistochemical analysis of paraffin-embedded normal human kidney using CD13/APN (D6V1W) Rabbit mAb.
undefined Image 25: Pericyte Antibody Sampler Kit
Immunohistochemical analysis of paraffin-embedded HUVEC pellets using CD31 (PECAM-1) (89C2) Mouse mAb.
undefined Image 26: Pericyte Antibody Sampler Kit
Western blot analysis of extracts from HeLa cells, either wild-type (+/+) or CSPG4 knockout (-/-), using NG2/CSPG4 (E3B3G) XP® Rabbit mAb (upper) and α-Actinin (D6F6) XP® Rabbit mAb #6487 (lower).
undefined Image 27: Pericyte Antibody Sampler Kit
Orders: 877-616-CELL (2355) [email protected] Support: 877-678-TECH (8324) [email protected] Web: cellsignal.com
For Research Use Only. Not for Use in Diagnostic Procedures.

Revision 1

Cell Signaling Technology Logo
Confocal immunofluorescent analysis of choroid plexus in mouse brain using Desmin (D93F5) XP® Rabbit mAb (green). After blocking free secondary antibody binding sites with Rabbit (DA1E) mAb IgG XP® Isotype Control #3900, the tissue was then labeled using Ras (E4K9L) Rabbit mAb (Alexa Fluor® 647 Conjugate) #37182 (red). Samples were mounted in ProLong® Gold Antifade Reagent with DAPI #8961 (blue).
undefined Image 28: Pericyte Antibody Sampler Kit
Immunoprecipitation of MCAM protein from SK-MEL-28 cell extracts. Lane 1 is 10% input, lane 2 is Rabbit (DA1E) mAb IgG XP® Isotype Control #3900, and lane 3 is MCAM (E3F3E) XP® Rabbit mAb. Western blot analysis was performed using MCAM (E3F3E) XP® Rabbit mAb. Anti-rabbit IgG, HRP-linked Antibody #7074 was used as a secondary antibody.
undefined Image 29: Pericyte Antibody Sampler Kit
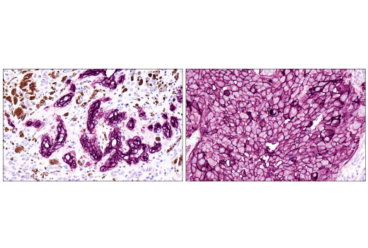
Immunohistochemical analysis of two different cases of paraffin-embedded human melanoma using MCAM (E3F3E) XP® Rabbit mAb. Note the use of the SignalStain® Vivid Purple Peroxidase Substrate Kit #96632.
undefined Image 30: Pericyte Antibody Sampler Kit
Orders: 877-616-CELL (2355) [email protected] Support: 877-678-TECH (8324) [email protected] Web: cellsignal.com
For Research Use Only. Not for Use in Diagnostic Procedures.

Revision 1

Cell Signaling Technology Logo
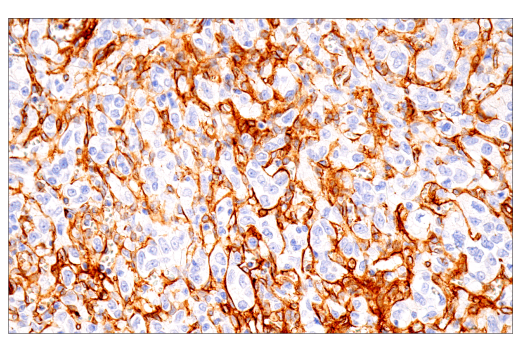
Immunohistochemical analysis of paraffin-embedded human colon carcinoma using α-Smooth Muscle Actin (D4K9N) XP® Rabbit mAb.
undefined Image 31: Pericyte Antibody Sampler Kit
Immunohistochemical analysis of paraffin-embedded U-87MG cells, showing membrane localization, using PDGF Receptor β (28E1) Rabbit mAb.
undefined Image 32: Pericyte Antibody Sampler Kit
Immunohistochemical analysis of paraffin-embedded human lung carcinoma using CD13/APN (D6V1W) Rabbit mAb.
undefined Image 33: Pericyte Antibody Sampler Kit
Orders: 877-616-CELL (2355) [email protected] Support: 877-678-TECH (8324) [email protected] Web: cellsignal.com
For Research Use Only. Not for Use in Diagnostic Procedures.

Revision 1

Cell Signaling Technology Logo
Immunohistochemical analysis of paraffin-embedded human clear cell carcinoma using CD31 (PECAM-1) (89C2) Mouse mAb.
undefined Image 34: Pericyte Antibody Sampler Kit
Immunohistochemical analysis of paraffin-embedded human colon carcinoma using NG2/CSPG4 (E3B3G) XP® Rabbit mAb.
undefined Image 35: Pericyte Antibody Sampler Kit
Confocal immunofluorescent analysis of mouse liver at low (left) or high magnification (right) using Desmin (D93F5) XP® Rabbit mAb (green). After blocking free secondary antibody binding sites with Rabbit (DA1E) mAb IgG XP® Isotype Control #3900, the tissue was then labeled using Ras (E4K9L) Rabbit mAb (Alexa Fluor® 647 Conjugate) #37182 (red). Samples were mounted in ProLong® Gold Antifade Reagent with DAPI #8961 (blue).
undefined Image 36: Pericyte Antibody Sampler Kit
Orders: 877-616-CELL (2355) [email protected] Support: 877-678-TECH (8324) [email protected] Web: cellsignal.com
For Research Use Only. Not for Use in Diagnostic Procedures.

Revision 1

Cell Signaling Technology Logo
Immunohistochemical analysis of paraffin-embedded mouse kidney using CD31 (PECAM-1) (D8V9E) XP® Rabbit mAb.
undefined Image 37: Pericyte Antibody Sampler Kit
Immunohistochemical analysis of paraffin-embedded human melanoma using MCAM (E3F3E) XP® Rabbit mAb.
undefined Image 38: Pericyte Antibody Sampler Kit
Immunohistochemical analysis of paraffin-embedded human non-small cell lung carcinoma using α-Smooth Muscle Actin (D4K9N) XP® Rabbit mAb.
undefined Image 39: Pericyte Antibody Sampler Kit
Orders: 877-616-CELL (2355) [email protected] Support: 877-678-TECH (8324) [email protected] Web: cellsignal.com
For Research Use Only. Not for Use in Diagnostic Procedures.

Revision 1

Cell Signaling Technology Logo
Immunohistochemical analysis of paraffin-embedded PANC-1 (left) and HEK-293 (right) cell pellets using CD13/APN (D6V1W) Rabbit mAb.
undefined Image 40: Pericyte Antibody Sampler Kit
Immunohistochemical analysis of paraffin-embedded human capillary hemangioma using CD31 (PECAM-1) (89C2) Mouse mAb.
undefined Image 41: Pericyte Antibody Sampler Kit
Immunohistochemical analysis of paraffin-embedded human oral squamous cell carcinoma using NG2/CSPG4 (E3B3G) XP® Rabbit mAb.
undefined Image 42: Pericyte Antibody Sampler Kit
Orders: 877-616-CELL (2355) [email protected] Support: 877-678-TECH (8324) [email protected] Web: cellsignal.com
For Research Use Only. Not for Use in Diagnostic Procedures.

Revision 1

Cell Signaling Technology Logo
Confocal immunofluorescent analysis of mouse pancreas using Desmin (D93F5) XP® Rabbit mAb (green). After blocking free secondary antibody binding sites with Rabbit (DA1E) mAb IgG XP® Isotype Control #3900, the tissue was then labeled using Ras (E4K9L) Rabbit mAb (Alexa Fluor® 647 Conjugate) #37182 (red). Samples were mounted in ProLong® Gold Antifade Reagent with DAPI #8961 (blue).
undefined Image 43: Pericyte Antibody Sampler Kit
Immunohistochemical analysis of paraffin-embedded mouse liver using CD31 (PECAM-1) (D8V9E) XP® Rabbit mAb.
undefined Image 44: Pericyte Antibody Sampler Kit
Immunohistochemical analysis of paraffin-embedded human non-Hodgkin lymphoma using MCAM (E3F3E) XP® Rabbit mAb.
undefined Image 45: Pericyte Antibody Sampler Kit
Orders: 877-616-CELL (2355) [email protected] Support: 877-678-TECH (8324) [email protected] Web: cellsignal.com
For Research Use Only. Not for Use in Diagnostic Procedures.

Revision 1

Cell Signaling Technology Logo
Immunohistochemical analysis of paraffin-embedded human prostate carcinoma using α-Smooth Muscle Actin (D4K9N) XP® Rabbit mAb.
undefined Image 46: Pericyte Antibody Sampler Kit
Confocal immunofluorescent analysis of NIH/3T3 cells, serum-starved (left) or PDGF-treated (right), using PDGF Receptor beta (28E1) Rabbit mAb (green). Blue pseudocolor = DRAQ5® #4084 (fluorescent DNA dye).
undefined Image 47: Pericyte Antibody Sampler Kit
Confocal immunofluorescent analysis of PANC-1 (left) or HEK293 (right) cells using CD13/APN (D6V1W) Rabbit mAb (green). Blue pseudocolor = DRAQ5® #4084 (fluorescent DNA dye).
undefined Image 48: Pericyte Antibody Sampler Kit
Orders: 877-616-CELL (2355) [email protected] Support: 877-678-TECH (8324) [email protected] Web: cellsignal.com
For Research Use Only. Not for Use in Diagnostic Procedures.

Revision 1

Cell Signaling Technology Logo
Immunohistochemical analysis of paraffin-embedded human urothelial carcinoma using CD31 (PECAM-1) (89C2) Mouse mAb.
undefined Image 49: Pericyte Antibody Sampler Kit
Immunohistochemical analysis of paraffin-embedded human renal cell carcinoma using NG2/CSPG4 (E3B3G) XP® Rabbit mAb.
undefined Image 50: Pericyte Antibody Sampler Kit
Immunohistochemical analysis of paraffin-embedded A2058 xenograft using CD31 (PECAM-1) (D8V9E) XP® Rabbit mAb.
undefined Image 51: Pericyte Antibody Sampler Kit
Orders: 877-616-CELL (2355) [email protected] Support: 877-678-TECH (8324) [email protected] Web: cellsignal.com
For Research Use Only. Not for Use in Diagnostic Procedures.

Revision 1

Cell Signaling Technology Logo
Immunohistochemical analysis of paraffin-embedded human T-cell lymphoma using MCAM (E3F3E) XP® Rabbit mAb.
undefined Image 52: Pericyte Antibody Sampler Kit
Immunohistochemical analysis of paraffin-embedded mouse small intestine using α-Smooth Muscle Actin (D4K9N) XP® Rabbit mAb.
undefined Image 53: Pericyte Antibody Sampler Kit
Flow cytometric analysis of peripheral blood using CD13/APN (D6V1W) Rabbit mAb (blue) compared to concentration-matched Rabbit (DA1E) mAb IgG XP® Isotype Control #3900 (red). Anti-Rabbit IgG (H+L), F(ab')2Fragment (Alexa Fluor® 488 Conjugate) #4412 was used a secondary antibody.
undefined Image 54: Pericyte Antibody Sampler Kit
Orders: 877-616-CELL (2355) [email protected] Support: 877-678-TECH (8324) [email protected] Web: cellsignal.com
For Research Use Only. Not for Use in Diagnostic Procedures.

Revision 1

Cell Signaling Technology Logo
Immunohistochemical analysis of paraffin-embedded human colon adenocarcinoma using CD31 (PECAM-1) (89C2) Mouse mAb.
undefined Image 55: Pericyte Antibody Sampler Kit
Immunohistochemical analysis of paraffin-embedded human gastrointestinal stromal tumor (left), normal liver (middle), or normal lung (right), using NG2/CSPG4 (E3B3G) XP® Rabbit mAb (top) or NG2/CSPG4 Rabbit mAb (bottom). These two antibodies detect independent, unique epitopes on human NG2/CSPG4. The similar staining patterns obtained with both antibodies help to confirm the specificity of the staining.
undefined Image 56: Pericyte Antibody Sampler Kit
Confocal immunofluorescent analysis of C2C12 cells (left, positive) or Neuro-2a cells (right, negative), using Desmin (D93F5) XP® Rabbit mAb (green). Actin filaments were labeled with DyLight™ 554 Phalloidin #13054 (red). Samples were mounted in ProLong® Gold Antifade Reagent with DAPI #8961 (blue).
undefined Image 57: Pericyte Antibody Sampler Kit
Orders: 877-616-CELL (2355) [email protected] Support: 877-678-TECH (8324) [email protected] Web: cellsignal.com
For Research Use Only. Not for Use in Diagnostic Procedures.

Revision 1

Cell Signaling Technology Logo
Immunohistochemical analysis of paraffin-embedded human tumors: mucoepidermoid carcinoma (left), colon carcinoma (middle), or renal cell carcinoma (right) using MCAM (E3F3E) XP® Rabbit mAb (top) or MCAM Mouse mAb (bottom). These two antibodies detect unique, non-overlapping epitopes on human MCAM. The similar staining patterns obtained with both antibodies help to confirm the specificity of the staining.
undefined Image 58: Pericyte Antibody Sampler Kit
Immunohistochemical analysis of paraffin-embedded mouse skeletal muscle using α-Smooth Muscle Actin (D4K9N) XP® Rabbit mAb.
undefined Image 59: Pericyte Antibody Sampler Kit
Immunohistochemical analysis of paraffin-embedded human non-small cell lung carcinoma using CD31 (PECAM-1) (89C2) Mouse mAb.
undefined Image 60: Pericyte Antibody Sampler Kit
Orders: 877-616-CELL (2355) [email protected] Support: 877-678-TECH (8324) [email protected] Web: cellsignal.com
For Research Use Only. Not for Use in Diagnostic Procedures.

Revision 1

Cell Signaling Technology Logo
Immunohistochemical analysis of paraffin-embedded normal human kidney using NG2/CSPG4 (E3B3G) XP® Rabbit mAb.
undefined Image 61: Pericyte Antibody Sampler Kit
Immunohistochemical analysis of paraffin-embedded normal human tissues: colon (left), kidney (middle), or uterus (right) using MCAM (E3F3E) XP® Rabbit mAb (top) or MCAM Mouse mAb (bottom). These two antibodies detect unique, non-overlapping epitopes on human MCAM. The similar staining patterns obtained with both antibodies help to confirm the specificity of the staining.
undefined Image 62: Pericyte Antibody Sampler Kit
Immunohistochemical analysis of paraffin-embedded rhesus monkey kidney using alpha-Smooth Muscle Actin (D4K9N) XP® Rabbit mAb.
undefined Image 63: Pericyte Antibody Sampler Kit
Orders: 877-616-CELL (2355) [email protected] Support: 877-678-TECH (8324) [email protected] Web: cellsignal.com
For Research Use Only. Not for Use in Diagnostic Procedures.

Revision 1

Cell Signaling Technology Logo
Immunohistochemical analysis of paraffin-embedded human T-cell lymphoma using CD31 (PECAM-1) (89C2) Mouse mAb.
undefined Image 64: Pericyte Antibody Sampler Kit
Immunohistochemical analysis of paraffin-embedded human B-cell non-Hodgkin's lymphoma using NG2/CSPG4 (E3B3G) XP® Rabbit mAb.
undefined Image 65: Pericyte Antibody Sampler Kit
Immunohistochemical analysis of paraffin-embedded human non-small cell lung carcinoma using MCAM (E3F3E) XP® Rabbit mAb.
undefined Image 66: Pericyte Antibody Sampler Kit
Orders: 877-616-CELL (2355) [email protected] Support: 877-678-TECH (8324) [email protected] Web: cellsignal.com
For Research Use Only. Not for Use in Diagnostic Procedures.

Revision 1

Cell Signaling Technology Logo
Immunohistochemical analysis of paraffin-embedded rhesus monkey spleen using alpha-Smooth Muscle Actin (D4K9N) XP® Rabbit mAb.
undefined Image 67: Pericyte Antibody Sampler Kit
Confocal immunofluorescent analysis of HUVEC (left) and HeLa cells (right) using CD31 (PECAM-1) (89C2) Mouse mAb (green). Actin filaments have been labeled with DY-554 phalloidin (red). Blue pseudocolor = DRAQ5™ (fluorescent DNA dye).
undefined Image 68: Pericyte Antibody Sampler Kit
Immunohistochemical analysis of paraffin-embedded A-375 cell pellet (left, positive) or MCF7 cell pellet (right, negative) using NG2/CSPG4 (E3B3G) XP® Rabbit mAb.
undefined Image 69: Pericyte Antibody Sampler Kit
Orders: 877-616-CELL (2355) [email protected] Support: 877-678-TECH (8324) [email protected] Web: cellsignal.com
For Research Use Only. Not for Use in Diagnostic Procedures.

Revision 1

Cell Signaling Technology Logo
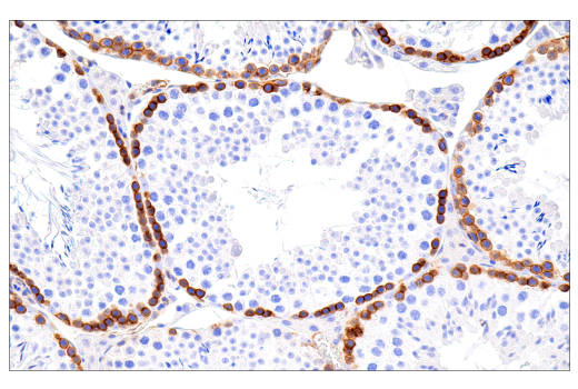
Immunohistochemical analysis of paraffin-embedded normal mouse testis using MCAM (E3F3E) XP® Rabbit mAb.
undefined Image 70: Pericyte Antibody Sampler Kit
Confocal immunofluorescent analysis of mouse small intestine (left) and skeletal muscle (right) using α-Smooth Muscle Actin (D4K9N) XP® Rabbit mAb (green). Actin filaments were labeled with DyLight™ 554 Phalloidin #13054 (red). Blue pseudocolor = DRAQ5® #4084 (fluorescent DNA dye).
undefined Image 71: Pericyte Antibody Sampler Kit
Immunohistochemical analysis of paraffin-embedded rat colon using alpha-Smooth Muscle Actin (D4K9N) XP® Rabbit mAb.
undefined Image 72: Pericyte Antibody Sampler Kit
Orders: 877-616-CELL (2355) [email protected] Support: 877-678-TECH (8324) [email protected] Web: cellsignal.com
For Research Use Only. Not for Use in Diagnostic Procedures.

Revision 1

Cell Signaling Technology Logo
Confocal immunofluorescent analysis of A-375 cells (left, positive) or MCF7 cells (right, negative) using NG2/CSPG4 (E3B3G) XP® Rabbit mAb (green) and β-Actin (8H10D10) Mouse mAb #3700 (red). Sections were mounted in ProLong® Gold Antifade Reagent with DAPI #8961 (blue).
undefined Image 73: Pericyte Antibody Sampler Kit
Immunohistochemical analysis of paraffin-embedded normal mouse lung using MCAM (E3F3E) XP® Rabbit mAb.
undefined Image 74: Pericyte Antibody Sampler Kit

Immunohistochemical analysis of paraffin-embedded rat brain using alpha-Smooth Muscle Actin (D4K9N) XP® Rabbit mAb.

undefined Image 75: Pericyte Antibody Sampler Kit
Orders: 877-616-CELL (2355) [email protected] Support: 877-678-TECH (8324) [email protected] Web: cellsignal.com
For Research Use Only. Not for Use in Diagnostic Procedures.

Revision 1

Cell Signaling Technology Logo
Immunohistochemical analysis of paraffin-embedded normal mouse ovary using MCAM (E3F3E) XP® Rabbit mAb.
undefined Image 76: Pericyte Antibody Sampler Kit
Immunohistochemical analysis of paraffin-embedded Syrian hamster ovary using alpha-Smooth Muscle Actin (D4K9N) XP® Rabbit mAb.
undefined Image 77: Pericyte Antibody Sampler Kit
Immunoprecipitation of CD31 from HUVEC cell extracts. Lane 1 is 10% input, lane 2 is precipitated with Mouse (G3A1) mAb IgG1 Isotype Control #5415, and lane 3 is CD31 (PECAM-1) (89C2) Mouse mAb. Western blot was performed using CD31 (PECAM-1) (89C2) Mouse mAb.
undefined Image 78: Pericyte Antibody Sampler Kit
Orders: 877-616-CELL (2355) [email protected] Support: 877-678-TECH (8324) [email protected] Web: cellsignal.com
For Research Use Only. Not for Use in Diagnostic Procedures.

Revision 1

Cell Signaling Technology Logo
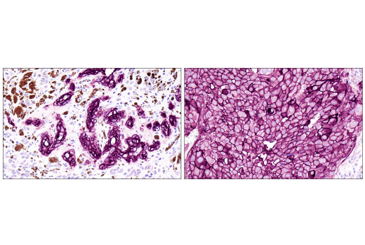
Immunohistochemical analysis of paraffin-embedded human colon carcinoma using MCAM (E3F3E) XP® Rabbit mAb (left) compared to concentration-matched Rabbit (DA1E) mAb IgG XP® Isotype Control #3900 (right).
undefined Image 79: Pericyte Antibody Sampler Kit
Immunohistochemical analysis of paraffin-embedded Syrian hamster uterus using alpha-Smooth Muscle Actin (D4K9N) XP® Rabbit mAb.
undefined Image 80: Pericyte Antibody Sampler Kit
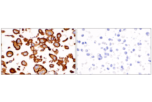
Immunohistochemical analysis of paraffin-embedded SK-MEL-28 cell pellet (left, positive) or Colo 205 cell pellet (right, negative) using MCAM (E3F3E) XP® Rabbit mAb.
undefined Image 81: Pericyte Antibody Sampler Kit
Orders: 877-616-CELL (2355) [email protected] Support: 877-678-TECH (8324) [email protected] Web: cellsignal.com
For Research Use Only. Not for Use in Diagnostic Procedures.

Revision 1

Cell Signaling Technology Logo
Simple Western™ analysis of extracts (1 mg/mL) from Human Colon tissue using α-Smooth Muscle Actin (D4K9N) XP® Rabbit mAb #19245. The virtual lane view (left) shows a single target band (as indicated) at 1:10 and 1:50 dilutions of primary antibody. The corresponding electropherogram view (right) plots chemiluminescence by molecular weight along the capillary at 1:10 (blue line) and 1:50 (green line) dilutions of primary antibody. This experiment was performed under reducing conditions on the Jess™ Simple Western instrument from ProteinSimple, a BioTechne brand, using the 12-230 kDa separation module.
undefined Image 82: Pericyte Antibody Sampler Kit
Simple Western™ analysis of lysates (0.1 mg/mL) from 3T3 cells using PDGF Receptor β (28E1) Rabbit mAb #3169. The virtual lane view (left) shows a single target band (as indicated) at 1:10 and 1:50 dilutions of primary antibody. The corresponding electropherogram view (right) plots chemiluminescence by molecular weight along the capillary at 1:10 (blue line) and 1:50 (green line) dilutions of primary antibody. This experiment was performed under reducing conditions on the Jess™ Simple Western instrument from ProteinSimple, a BioTechne brand, using the 12-230 kDa separation module.
undefined Image 83: Pericyte Antibody Sampler Kit
Confocal immunofluorescent analysis of fixed frozen mouse cerebellum labeled with PDGF Receptor β (28E1) Rabbit mAb (green, left), β3-Tubulin (E9F3E) Mouse mAb #45058 (red, right), and DAPI #4083 (blue, right).
undefined Image 84: Pericyte Antibody Sampler Kit
Orders: 877-616-CELL (2355) [email protected] Support: 877-678-TECH (8324) [email protected] Web: cellsignal.com
For Research Use Only. Not for Use in Diagnostic Procedures.

Revision 1

Cell Signaling Technology Logo
Confocal immunofluorescent analysis of fixed frozen mouse cerebral cortex labeled with PDGF Receptor β (28E1) Rabbit mAb (green, left), β3-Tubulin (E9F3E) Mouse mAb #45058 (red, right), and DAPI #4083 (blue, right).
undefined Image 85: Pericyte Antibody Sampler Kit
Simple WesternTM analysis of lysates (1.0 mg/mL) from A172 using NG2/CSPG4 (E3B3G) XP® Rabbit mAb #43916.  The virtual lane view (left) shows a single target band (as indicated) at 1:10 and 1:50 dilutions of primary antibody.  The corresponding electropherogram view (right) plots chemiluminescence by molecular weight along the capillary at 1:10 (blue line) and 1:50 (green line) dilutions of primary antibody.  This experiment was performed under reducing conditions on the JessTM Simple Western instrument from ProteinSimple, a BioTechne brand, using the 66-440 kDa separation module.
undefined Image 86: Pericyte Antibody Sampler Kit
Simple Western™️ analysis of lysates (0.1mg/mL) from 32D cells using CD31 (PECAM-1) (D8V9E) Rabbit mAb #77699. The virtual lane view (left) shows the target band (as indicated) at 1:10 and 1:50 dilutions of primary antibody. The corresponding electropherogram view (right) plots chemiluminescence by molecular weight along the capillary at 1:10 (blue line) and 1:50 (green line) dilutions of primary antibody. This experiment was performed under reducing conditions on the Jess™️ Simple Western instrument from ProteinSimple, a BioTechne brand, using the 66 – 440 kDa separation module.
undefined Image 87: Pericyte Antibody Sampler Kit
Orders: 877-616-CELL (2355) [email protected] Support: 877-678-TECH (8324) [email protected] Web: cellsignal.com
For Research Use Only. Not for Use in Diagnostic Procedures.

Revision 1

Cell Signaling Technology Logo
Western blot analysis of extracts from various cell lines using MCAM (E3F3E) XP® Rabbit mAb (upper) and GAPDH (D16H11) XP® Rabbit mAb #5174 (lower). The absence of MCAM protein in LNCaP and Colo 205 cells is consistent with mRNA expression profiles reported in public bioinformatic databases, confirming specificity of the antibody for MCAM.
undefined Image 88: Pericyte Antibody Sampler Kit
Confocal immunofluorescent analysis of fixed frozen mouse colon using MCAM (E3F3E) XP® Rabbit mAb (red). Free secondary binding sites were then blocked with Rabbit (DA1E) mAb IgG XP® Isotype Control #3900 prior to colabeling with LYVE-1 (E3L3V) Rabbit mAb (Alexa Fluor® 488 Conjugate) #69240 (green) and ProLong Gold Antifade Reagent with DAPI #8961 (blue).
undefined Image 89: Pericyte Antibody Sampler Kit
Confocal immunofluorescent analysis of fixed frozen mouse liver using MCAM (E3F3E) XP® Rabbit mAb (red). Free secondary binding sites were then blocked with Rabbit (DA1E) mAb IgG XP® Isotype Control #3900 prior to colabeling with LYVE-1 (E3L3V) Rabbit mAb (Alexa Fluor® 488 Conjugate) #69240 (green) and ProLong Gold Antifade Reagent with DAPI #8961 (blue).
undefined Image 90: Pericyte Antibody Sampler Kit
Orders: 877-616-CELL (2355) [email protected] Support: 877-678-TECH (8324) [email protected] Web: cellsignal.com
For Research Use Only. Not for Use in Diagnostic Procedures.

Revision 1

Cell Signaling Technology Logo
Confocal immunofluorescent analysis of fixed frozen mouse lung using MCAM (E3F3E) XP® Rabbit mAb (red). Free secondary binding sites were then blocked with Rabbit (DA1E) mAb IgG XP® Isotype Control #3900 prior to colabeling with LYVE-1 (E3L3V) Rabbit mAb (Alexa Fluor® 488 Conjugate) #69240 (green) and ProLong Gold Antifade Reagent with DAPI #8961 (blue).
undefined Image 91: Pericyte Antibody Sampler Kit
Orders: 877-616-CELL (2355) [email protected] Support: 877-678-TECH (8324) [email protected] Web: cellsignal.com
For Research Use Only. Not for Use in Diagnostic Procedures.