Revision 6

#20302

Store at -20C

CST Logo
Orders:

877-616-CELL (2355)

[email protected]

Support:

877-678-TECH (8324)

3 Trask Lane | Danvers | Massachusetts | 01923 | USA

For Research Use Only. Not for Use in Diagnostic Procedures.

Applications:
W, IP, IHC-P

Reactivity:
H

Sensitivity:
Endogenous

MW (kDa):
90

Source/Isotype:
Rabbit IgG

UniProt ID:
#Q15063

Entrez-Gene Id:
10631

Product Usage Information

Application Dilution
Western Blotting 1:1000
Immunoprecipitation 1:100
Immunohistochemistry (Paraffin) 1:100 - 1:400

Storage

Supplied in 10 mM sodium HEPES (pH 7.5), 150 mM NaCl, 100 µg/mL BSA, 50% glycerol, and less than 0.02% sodium azide. Store at –20°C. Do not aliquot the antibody.

For a carrier free (BSA and azide free) version of this product see product #79950.

Specificity/Sensitivity

Periostin (E5F2S) Rabbit Monoclonal Antibody recognizes endogenous levels of total human periostin protein. This antibody also recognizes an unknown weak signal around 40 kDa.

Source / Purification

Monoclonal antibody is produced by immunizing animals with a synthetic peptide corresponding to residues surrounding Ser395 of human periostin protein.

Background

Periostin (POSTN, OSF2) is a secretory matricellular protein that belongs to the fasciclin family. The protein has multiple functional domains that interact with different extracellular matrix (ECM) components (1-2). The N-terminal EMI domain of periostin interacts with fibronectin as well as collagens and lysyl oxidase. The middle part of the protein consists of four FAS 1 (fasciclin) domains which are responsible for the protein association with tenascin-C and CCN3. The C-terminal CTD domain assumes an inhibitory effect on FAS1 domain function. Lastly, the C-terminal HBD domain mediates proteoglycan association (1-2). Periostin has been shown to mediate important cellular processes such as ECM stemness, mechanical stress response, collagen cross-linking and fibrogenesis, cell proliferation, survival, and adhesion (1-3). It is an important modulator in multiple disease developments and has been frequently used as a biomarker for cancer, fibrosis, inflammation, and tissue wound healing (4-7).

Species Reactivity

Species reactivity is determined by testing in at least one approved application (e.g., western blot).

Western Blot Buffer

IMPORTANT: For western blots, incubate membrane with diluted primary antibody in 5% w/v BSA, 1X TBS, 0.1% Tween® 20 at 4°C with gentle shaking, overnight.

Applications Key

W: Western Blotting IP: Immunoprecipitation IHC-P: Immunohistochemistry (Paraffin)

Cross-Reactivity Key

H: Human

Trademarks and Patents

Cell Signaling Technology is a trademark of Cell Signaling Technology, Inc.

SignalStain is a registered trademark of Cell Signaling Technology, Inc.

All other trademarks are the property of their respective owners. Visit cellsignal.com/trademarks for more information.

Limited Uses

Except as otherwise expressly agreed in a writing signed by a legally authorized representative of CST, the following terms apply to Products provided by CST, its affiliates or its distributors. Any Customer's terms and conditions that are in addition to, or different from, those contained herein, unless separately accepted in writing by a legally authorized representative of CST, are rejected and are of no force or effect.

Products are labeled with For Research Use Only or a similar labeling statement and have not been approved, cleared, or licensed by the FDA or other regulatory foreign or domestic entity, for any purpose. Customer shall not use any Product for any diagnostic or therapeutic purpose, or otherwise in any manner that conflicts with its labeling statement. Products sold or licensed by CST are provided for Customer as the end-user and solely for research and development uses. Any use of Product for diagnostic, prophylactic or therapeutic purposes, or any purchase of Product for resale (alone or as a component) or other commercial purpose, requires a separate license from CST. Customer shall (a) not sell, license, loan, donate or otherwise transfer or make available any Product to any third party, whether alone or in combination with other materials, or use the Products to manufacture any commercial products, (b) not copy, modify, reverse engineer, decompile, disassemble or otherwise attempt to discover the underlying structure or technology of the Products, or use the Products for the purpose of developing any products or services that would compete with CST products or services, (c) not alter or remove from the Products any trademarks, trade names, logos, patent or copyright notices or markings, (d) use the Products solely in accordance with CST Product Terms of Sale and any applicable documentation, and (e) comply with any license, terms of service or similar agreement with respect to any third party products or services used by Customer in connection with the Products.

Orders: 877-616-CELL (2355) [email protected] Support: 877-678-TECH (8324) [email protected] Web: cellsignal.com
For Research Use Only. Not for Use in Diagnostic Procedures.

Revision 6

Cell Signaling Technology Logo
Western blot analysis of extracts from Hs 578T and AN3-CA cells using Periostin (E5F2S) Rabbit mAb (upper) or GAPDH (D16H11) XP® Rabbit mAb #5174 (lower). Negative expression of periostin protein in AN3-CA cells is consistent with the predicted expression pattern.
Western Blotting Image 1: Periostin (E5F2S) Rabbit Monoclonal Antibody
Western blot analysis of extracts from various cell lines using Periostin (E5F2S) Rabbit mAb (upper) or GAPDH (D16H11) XP® Rabbit mAb #5174 (lower). Negative expression of periostin protein in SW620 cells is consistent with the predicted expression pattern.
Western Blotting Image 2: Periostin (E5F2S) Rabbit Monoclonal Antibody
Immunoprecipitation of periostin protein from Hs 578T cell extracts. Lane 1 is 10% input, lane 2 is Rabbit (DA1E) mAb IgG XP® Isotype Control #3900, and lane 3 is Periostin (E5F2S) Rabbit mAb. Western blot analysis was performed using Periostin (E5F2S) Rabbit mAb. Anti-rabbit IgG, HRP-linked Antibody #7074 was used as the secondary antibody.
Immunoprecipitation Image 1: Periostin (E5F2S) Rabbit Monoclonal Antibody
Orders: 877-616-CELL (2355) [email protected] Support: 877-678-TECH (8324) [email protected] Web: cellsignal.com
For Research Use Only. Not for Use in Diagnostic Procedures.

Revision 6

Cell Signaling Technology Logo
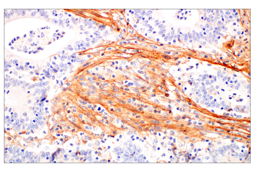
Immunohistochemical analysis of paraffin-embedded human prostate adenocarcinoma using Periostin (E5F2S) Rabbit mAb.
Immunohistochemistry Image 1: Periostin (E5F2S) Rabbit Monoclonal Antibody
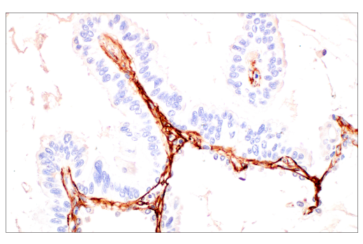
Immunohistochemical analysis of paraffin-embedded human esophageal adenocarcinoma using Periostin (E5F2S) Rabbit mAb.
Immunohistochemistry Image 2: Periostin (E5F2S) Rabbit Monoclonal Antibody
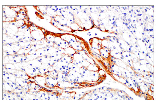
Immunohistochemical analysis of paraffin-embedded human lung adenocarcinoma using Periostin (E5F2S) Rabbit mAb.
Immunohistochemistry Image 3: Periostin (E5F2S) Rabbit Monoclonal Antibody
Orders: 877-616-CELL (2355) [email protected] Support: 877-678-TECH (8324) [email protected] Web: cellsignal.com
For Research Use Only. Not for Use in Diagnostic Procedures.

Revision 6

Cell Signaling Technology Logo
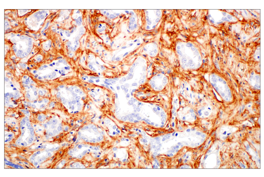
Immunohistochemical analysis of paraffin-embedded human renal cell carcinoma using Periostin (E5F2S) Rabbit mAb.
Immunohistochemistry Image 4: Periostin (E5F2S) Rabbit Monoclonal Antibody
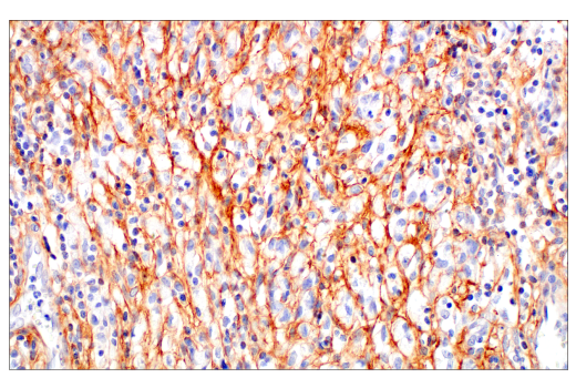
Immunohistochemical analysis of paraffin-embedded human colon adenocarcinoma using Periostin (E5F2S) Rabbit mAb.
Immunohistochemistry Image 5: Periostin (E5F2S) Rabbit Monoclonal Antibody
Immunohistochemical analysis of paraffin-embedded 293T cell pellet, untransfected (left) or periostin-transfected (right), using Periostin (E5F2S) Rabbit mAb. 
Immunohistochemistry Image 6: Periostin (E5F2S) Rabbit Monoclonal Antibody
Orders: 877-616-CELL (2355) [email protected] Support: 877-678-TECH (8324) [email protected] Web: cellsignal.com
For Research Use Only. Not for Use in Diagnostic Procedures.

Revision 6

Cell Signaling Technology Logo
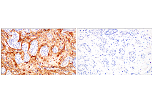
Immunohistochemical analysis of paraffin-embedded human breast carcinoma using Periostin (E5F2S) Rabbit mAb (left) compared to concentration-matched Rabbit (DA1E) mAb IgG XP® Isotype Control #3900 (right). 
Immunohistochemistry Image 7: Periostin (E5F2S) Rabbit Monoclonal Antibody
Immunohistochemical analysis of paraffin-embedded Hs 578T cell pellet (left, positive) or AN3-CA cell pellet (right, negative) using Periostin (E5F2S) Rabbit mAb. 
Immunohistochemistry Image 8: Periostin (E5F2S) Rabbit Monoclonal Antibody
Orders: 877-616-CELL (2355) [email protected] Support: 877-678-TECH (8324) [email protected] Web: cellsignal.com
For Research Use Only. Not for Use in Diagnostic Procedures.