Revision 5

#13856

Store at -20C

CST Logo
Orders:

877-616-CELL (2355)

[email protected]

Support:

877-678-TECH (8324)

3 Trask Lane | Danvers | Massachusetts | 01923 | USA

For Research Use Only. Not for Use in Diagnostic Procedures.

Applications:
W, IP, IHC-P, IF-IC

Reactivity:
H M R Mk

Sensitivity:
Endogenous

MW (kDa):
25

Source/Isotype:
Rabbit IgG

UniProt ID:
#O00264

Entrez-Gene Id:
10857

Product Usage Information

Application Dilution
Western Blotting 1:1000
Immunoprecipitation 1:50
Immunohistochemistry (Paraffin) 1:100 - 1:400
Immunofluorescence (Immunocytochemistry) 1:200

Storage

Supplied in 10 mM sodium HEPES (pH 7.5), 150 mM NaCl, 100 µg/ml BSA, 50% glycerol and less than 0.02% sodium azide. Store at –20°C. Do not aliquot the antibody.

For a carrier free (BSA and azide free) version of this product see product #39776.

Specificity/Sensitivity

PGRMC1 (D6M5M) Rabbit Monoclonal Antibody recognizes endogenous levels of total PGRMC1 protein. This antibody does not cross-react with PGRMC2 protein.

Source / Purification

Monoclonal antibody is produced by immunizing animals with a synthetic peptide corresponding to residues near the amino terminus of human PGRMC1 protein.

Background

The progesterone receptor membrane component 1 (PGRMC1, Hpr6.6) was originally identified as a component of a progesterone-binding protein complex that also contains plasminogen activator inhibitor 1 RNA binding protein (PAIRBP1, SERBP1) (1,2). The structure of PGRMC1 protein includes a single transmembrane region and a carboxy-terminal cytochrome b5 heme-binding domain (3,4). Research studies confirm that PGRMC1 binds heme as well as binding and regulating cytochrome P450 enzymes responsible for the metabolism of clinical drugs and endogenous signaling molecules (5-7). While early research studies were equivocal on the ability of PGRMC1 to bind progesterone, studies using PGRMC1-fusion proteins clearly demonstrate that PGRMC1 binds progesterone with high affinity (2,8). Studies detailing expression of PGRMC1 in granulosa cells suggest that PGRMC1 mediates the anti-apoptotic actions of progesterone and that this protein is part of a signal transduction pathway that regulates granulosa cell function (9).

Species Reactivity

Species reactivity is determined by testing in at least one approved application (e.g., western blot).

Western Blot Buffer

IMPORTANT: For western blots, incubate membrane with diluted primary antibody in 5% w/v BSA, 1X TBS, 0.1% Tween® 20 at 4°C with gentle shaking, overnight.

Applications Key

W: Western Blotting IP: Immunoprecipitation IHC-P: Immunohistochemistry (Paraffin) IF-IC: Immunofluorescence (Immunocytochemistry)

Cross-Reactivity Key

H: Human M: Mouse R: Rat Mk: Monkey

Trademarks and Patents

Cell Signaling Technology is a trademark of Cell Signaling Technology, Inc.

SignalStain is a registered trademark of Cell Signaling Technology, Inc.

All other trademarks are the property of their respective owners. Visit cellsignal.com/trademarks for more information.

Limited Uses

Except as otherwise expressly agreed in a writing signed by a legally authorized representative of CST, the following terms apply to Products provided by CST, its affiliates or its distributors. Any Customer's terms and conditions that are in addition to, or different from, those contained herein, unless separately accepted in writing by a legally authorized representative of CST, are rejected and are of no force or effect.

Products are labeled with For Research Use Only or a similar labeling statement and have not been approved, cleared, or licensed by the FDA or other regulatory foreign or domestic entity, for any purpose. Customer shall not use any Product for any diagnostic or therapeutic purpose, or otherwise in any manner that conflicts with its labeling statement. Products sold or licensed by CST are provided for Customer as the end-user and solely for research and development uses. Any use of Product for diagnostic, prophylactic or therapeutic purposes, or any purchase of Product for resale (alone or as a component) or other commercial purpose, requires a separate license from CST. Customer shall (a) not sell, license, loan, donate or otherwise transfer or make available any Product to any third party, whether alone or in combination with other materials, or use the Products to manufacture any commercial products, (b) not copy, modify, reverse engineer, decompile, disassemble or otherwise attempt to discover the underlying structure or technology of the Products, or use the Products for the purpose of developing any products or services that would compete with CST products or services, (c) not alter or remove from the Products any trademarks, trade names, logos, patent or copyright notices or markings, (d) use the Products solely in accordance with CST Product Terms of Sale and any applicable documentation, and (e) comply with any license, terms of service or similar agreement with respect to any third party products or services used by Customer in connection with the Products.

Orders: 877-616-CELL (2355) [email protected] Support: 877-678-TECH (8324) [email protected] Web: cellsignal.com
For Research Use Only. Not for Use in Diagnostic Procedures.

Revision 5

Cell Signaling Technology Logo
Western blot analysis of extracts from various cell lines using PGRMC1 (D6M5M) XP® Rabbit mAb.
Western Blotting Image 1: PGRMC1 (D6M5M) Rabbit Monoclonal Antibody
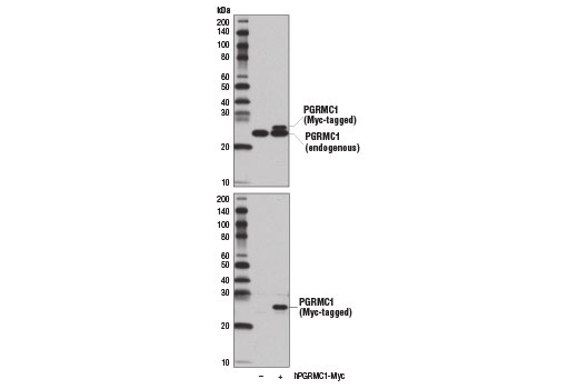
Western blot analysis of extracts from 293T cells, mock transfected (-) or transfected with a construct expressing Myc-tagged full-length human PGRMC1 protein (hPGRMC1-Myc; +), using PGRMC1 (D6M5M) XP® Rabbit mAb (upper) and Myc-Tag (71D10) Rabbit mAb #2278 (lower).
Western Blotting Image 2: PGRMC1 (D6M5M) Rabbit Monoclonal Antibody
Immunoprecipitation of PGRMC1 from MCF7 cell extracts using Rabbit (DA1E) mAb IgG XP® Isotype Control #3900 (lane 2) or PGRMC1 (D6M5M) XP® Rabbit mAb (lane 3). Lane 1 is 10% input. Western blot analysis was performed using PGRMC1 (D6M5M) XP® Rabbit mAb.
Immunoprecipitation Image 1: PGRMC1 (D6M5M) Rabbit Monoclonal Antibody
Orders: 877-616-CELL (2355) [email protected] Support: 877-678-TECH (8324) [email protected] Web: cellsignal.com
For Research Use Only. Not for Use in Diagnostic Procedures.

Revision 5

Cell Signaling Technology Logo
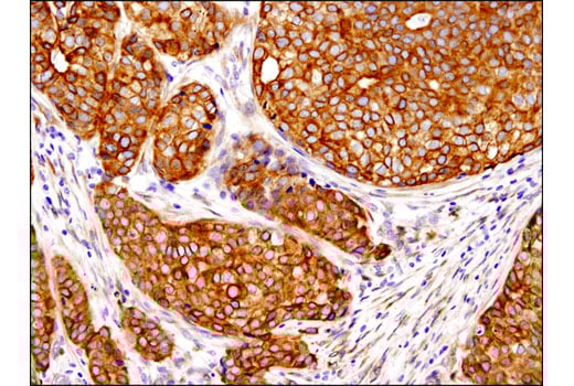
Immunohistochemical analysis of paraffin-embedded human breast adenocarcinoma using PGRMC1 (D6M5M) XP® Rabbit mAb.
Immunohistochemistry Image 1: PGRMC1 (D6M5M) Rabbit Monoclonal Antibody
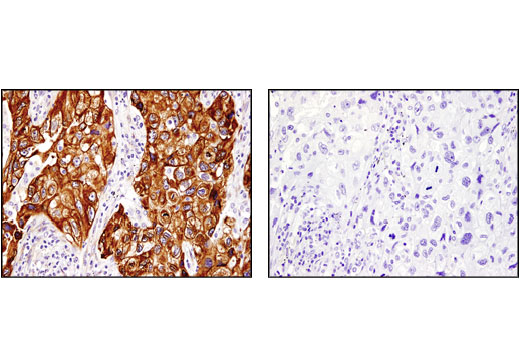
Immunohistochemical analysis of paraffin-embedded human lung non-small cell carcinoma using PGRMC1 (D6M5M) XP® Rabbit mAb in the presence of control peptide (left) or antigen-specific peptide (right).
Immunohistochemistry Image 2: PGRMC1 (D6M5M) Rabbit Monoclonal Antibody
Confocal immunofluorescent analysis of 293T cells using PGRMC1 (D6M5M) XP® Rabbit mAb (green) and β-Actin (8H10D10) Mouse mAb #3700 (red). Blue pseudocolor= DRAQ5® #4084 (fluorescent DNA dye).
Immunofluorescence Image 1: PGRMC1 (D6M5M) Rabbit Monoclonal Antibody
Orders: 877-616-CELL (2355) [email protected] Support: 877-678-TECH (8324) [email protected] Web: cellsignal.com
For Research Use Only. Not for Use in Diagnostic Procedures.