Revision 5

#27934

Store at -20C

CST Logo
Orders:

877-616-CELL (2355)

[email protected]

Support:

877-678-TECH (8324)

3 Trask Lane | Danvers | Massachusetts | 01923 | USA

For Research Use Only. Not for Use in Diagnostic Procedures.

Applications:
W, IP, IHC-P

Reactivity:
H M R

Sensitivity:
Endogenous

MW (kDa):
65, 75

Source/Isotype:
Rabbit IgG

UniProt ID:
#P17544, #P15336

Entrez-Gene Id:
11016, 1386

Product Usage Information

Application Dilution
Western Blotting 1:1000
Immunoprecipitation 1:100
Immunohistochemistry (Paraffin) 1:400 - 1:1600

Storage

Supplied in 10 mM sodium HEPES (pH 7.5), 150 mM NaCl, 100 µg/ml BSA, 50% glycerol and less than 0.02% sodium azide. Store at –20°C. Do not aliquot the antibody.

Specificity/Sensitivity

Phospho-ATF-2 (Thr71)/ATF-7 (Thr53) (E4A5G) Rabbit Monoclonal Antibody detects endogenous levels of ATF-2 and ATF-7 only when phosphorylated at threonine 71 and threonine 53, respectively.

Source / Purification

Monoclonal antibody is produced by immunizing animals with a synthetic phosphopeptide corresponding to residues surrounding Thr71 of human ATF-2 protein.

Background

The transcription factor ATF-2 (also called CRE-BP1) binds to both AP-1 and CRE DNA response elements and is a member of the ATF/CREB family of leucine zipper proteins (1). ATF-2 interacts with a variety of viral oncoproteins and cellular tumor suppressors and is a target of the SAPK/JNK and p38 MAP kinase signaling pathways (2-4). Various forms of cellular stress, including genotoxic agents, inflammatory cytokines, and UV irradiation, stimulate the transcriptional activity of ATF-2. Cellular stress activates ATF-2 by phosphorylation of Thr69 and Thr71 (2-4). Both SAPK and p38 MAPK have been shown to phosphorylate ATF-2 at these sites in vitro and in cells transfected with ATF-2. Mutations of these sites result in the loss of stress-induced transcription by ATF-2 (2-4). In addition, mutations at these sites reduce the ability of E1A and Rb to stimulate gene expression via ATF-2 (2).
ATF-7 is another member of the ATF/CREB family of leucine zipper proteins (5). Similarly, Thr51 and Thr53 (corresponding to Thr69 and Thr71 of ATF-2, respectively) can be phosphorylated under different conditions (6,7).

Species Reactivity

Species reactivity is determined by testing in at least one approved application (e.g., western blot).

Western Blot Buffer

IMPORTANT: For western blots, incubate membrane with diluted primary antibody in 5% w/v nonfat dry milk, 1X TBS, 0.1% Tween® 20 at 4°C with gentle shaking, overnight.

Applications Key

W: Western Blotting IP: Immunoprecipitation IHC-P: Immunohistochemistry (Paraffin)

Cross-Reactivity Key

H: Human M: Mouse R: Rat

Trademarks and Patents

Cell Signaling Technology is a trademark of Cell Signaling Technology, Inc.

SignalStain is a registered trademark of Cell Signaling Technology, Inc.

All other trademarks are the property of their respective owners. Visit cellsignal.com/trademarks for more information.

Limited Uses

Except as otherwise expressly agreed in a writing signed by a legally authorized representative of CST, the following terms apply to Products provided by CST, its affiliates or its distributors. Any Customer's terms and conditions that are in addition to, or different from, those contained herein, unless separately accepted in writing by a legally authorized representative of CST, are rejected and are of no force or effect.

Products are labeled with For Research Use Only or a similar labeling statement and have not been approved, cleared, or licensed by the FDA or other regulatory foreign or domestic entity, for any purpose. Customer shall not use any Product for any diagnostic or therapeutic purpose, or otherwise in any manner that conflicts with its labeling statement. Products sold or licensed by CST are provided for Customer as the end-user and solely for research and development uses. Any use of Product for diagnostic, prophylactic or therapeutic purposes, or any purchase of Product for resale (alone or as a component) or other commercial purpose, requires a separate license from CST. Customer shall (a) not sell, license, loan, donate or otherwise transfer or make available any Product to any third party, whether alone or in combination with other materials, or use the Products to manufacture any commercial products, (b) not copy, modify, reverse engineer, decompile, disassemble or otherwise attempt to discover the underlying structure or technology of the Products, or use the Products for the purpose of developing any products or services that would compete with CST products or services, (c) not alter or remove from the Products any trademarks, trade names, logos, patent or copyright notices or markings, (d) use the Products solely in accordance with CST Product Terms of Sale and any applicable documentation, and (e) comply with any license, terms of service or similar agreement with respect to any third party products or services used by Customer in connection with the Products.

Orders: 877-616-CELL (2355) [email protected] Support: 877-678-TECH (8324) [email protected] Web: cellsignal.com
For Research Use Only. Not for Use in Diagnostic Procedures.

Revision 5

Cell Signaling Technology Logo
Western blot analysis of extracts from HeLa and NIH/3T3 cells, untreated (-) or treated with Anisomycin #2222 (25 μg/ml, 30 min; +), using Phospho-ATF-2 (Thr71)/ATF-7 (Thr53) (E4A5G) XP® Rabbit mAb (upper), ATF-2/ATF-7 (A9G1M) Rabbit mAb #82870 (middle), or β-Actin (D6A8) Rabbit mAb #8457 (lower).
Western Blotting Image 1: Phospho-ATF-2 (Thr71)/ATF-7 (Thr53) (E4A5G) Rabbit Monoclonal Antibody
Western blot analysis of extracts from HeLa cells, mock transfected (-) or transfected with constructs expressing Myc-tagged full-length human ATF-2 protein (hATF-2-Myc; +) or Myc-tagged full-length human ATF-7 protein (hATF-7-Myc; +), using Phospho-ATF-2 (Thr71)/ATF-7 (Thr53) (E4A5G) XP® Rabbit mAb (upper), Myc-Tag (71D10) Rabbit mAb #2278 (middle), and β-Actin (D6A8) Rabbit mAb #8457 (lower).
Western Blotting Image 2: Phospho-ATF-2 (Thr71)/ATF-7 (Thr53) (E4A5G) Rabbit Monoclonal Antibody
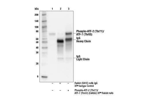
Immunoprecipitation of Phospho-ATF-2 (Thr71)/ATF-7 (Thr53) protein from HeLa cell extracts treated with Anisomycin #2222 (25 μg/ml, 30 min). Lane 1 is 10% input, lane 2 is Rabbit (DA1E) mAb IgG XP® Isotype Control #3900, and lane 3 isPhospho-ATF-2 (Thr71)/ATF-7 (Thr53) (E4A5G) XP® Rabbit mAb. Western blot analysis was performed using Phospho-ATF-2 (Thr71)/ATF-7 (Thr53) (E4A5G) XP® Rabbit mAb.
Immunoprecipitation Image 1: Phospho-ATF-2 (Thr71)/ATF-7 (Thr53) (E4A5G) Rabbit Monoclonal Antibody
Orders: 877-616-CELL (2355) [email protected] Support: 877-678-TECH (8324) [email protected] Web: cellsignal.com
For Research Use Only. Not for Use in Diagnostic Procedures.

Revision 5

Cell Signaling Technology Logo
Immunohistochemical analysis of paraffin-embedded HeLa cell pellet, untreated (left) or UV-treated (right), using Phospho-ATF-2 (Thr71)/ATF-7 (Thr53) (E4A5G) XP® Rabbit mAb.
Immunohistochemistry Image 1: Phospho-ATF-2 (Thr71)/ATF-7 (Thr53) (E4A5G) Rabbit Monoclonal Antibody
Immunohistochemical analysis of paraffin-embedded human urothelial carcinoma, untreated (left) or lambda phosphatase treated (right), using Phospho-ATF-2 (Thr71)/ATF-7 (Thr53) (E4A5G) XP® Rabbit mAb.
Immunohistochemistry Image 2: Phospho-ATF-2 (Thr71)/ATF-7 (Thr53) (E4A5G) Rabbit Monoclonal Antibody
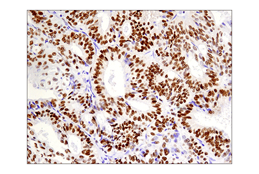
Immunohistochemical analysis of paraffin-embedded human colon carcinoma using Phospho-ATF-2 (Thr71)/ATF-7 (Thr53) (E4A5G) XP® Rabbit mAb.
Immunohistochemistry Image 3: Phospho-ATF-2 (Thr71)/ATF-7 (Thr53) (E4A5G) Rabbit Monoclonal Antibody
Orders: 877-616-CELL (2355) [email protected] Support: 877-678-TECH (8324) [email protected] Web: cellsignal.com
For Research Use Only. Not for Use in Diagnostic Procedures.

Revision 5

Cell Signaling Technology Logo
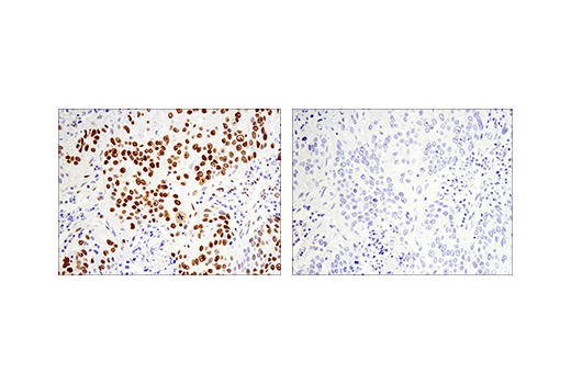
Immunohistochemical analysis of paraffin-embedded human squamous cell lung carcinoma using Phospho-ATF-2 (Thr71)/ATF-7 (Thr53) (E4A5G) XP® Rabbit mAb (left) compared to concentration-matched Rabbit (DA1E) mAb IgG XP® Isotype Control #3900 (right).
Immunohistochemistry Image 4: Phospho-ATF-2 (Thr71)/ATF-7 (Thr53) (E4A5G) Rabbit Monoclonal Antibody
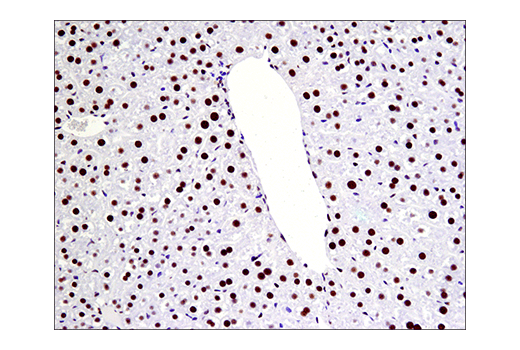
Immunohistochemical analysis of paraffin-embedded mouse liver using Phospho-ATF-2 (Thr71)/ATF-7 (Thr53) (E4A5G) XP® Rabbit mAb.
Immunohistochemistry Image 5: Phospho-ATF-2 (Thr71)/ATF-7 (Thr53) (E4A5G) Rabbit Monoclonal Antibody
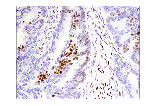
Immunohistochemical analysis of paraffin-embedded mouse oviduct using Phospho-ATF-2 (Thr71)/ATF-7 (Thr53) (E4A5G) XP® Rabbit mAb.
Immunohistochemistry Image 6: Phospho-ATF-2 (Thr71)/ATF-7 (Thr53) (E4A5G) Rabbit Monoclonal Antibody
Orders: 877-616-CELL (2355) [email protected] Support: 877-678-TECH (8324) [email protected] Web: cellsignal.com
For Research Use Only. Not for Use in Diagnostic Procedures.

Revision 5

Cell Signaling Technology Logo
Immunohistochemical analysis of paraffin-embedded human ovarian serous carcinoma using Phospho-ATF-2 (Thr71)/ATF-7 (Thr53) (E4A5G) XP® Rabbit mAb.
Immunohistochemistry Image 7: Phospho-ATF-2 (Thr71)/ATF-7 (Thr53) (E4A5G) Rabbit Monoclonal Antibody
Immunohistochemical analysis of paraffin-embedded human endometrioid adenocarcinoma using Phospho-ATF-2 (Thr71)/ATF-7 (Thr53) (E4A5G) XP® Rabbit mAb.
Immunohistochemistry Image 8: Phospho-ATF-2 (Thr71)/ATF-7 (Thr53) (E4A5G) Rabbit Monoclonal Antibody
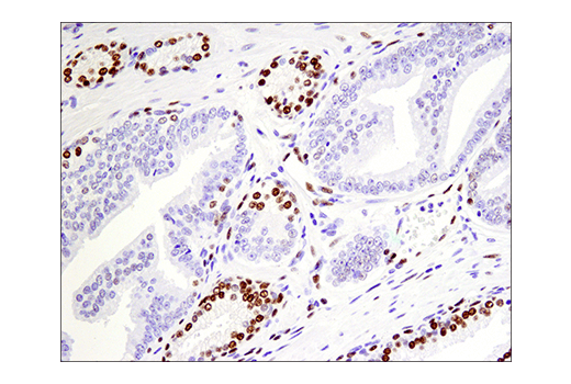
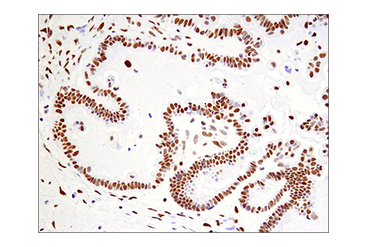
Immunohistochemical analysis of paraffin-embedded human prostate carcinoma using Phospho-ATF-2 (Thr71)/ATF-7 (Thr53) (E4A5G) XP® Rabbit mAb.
Immunohistochemistry Image 9: Phospho-ATF-2 (Thr71)/ATF-7 (Thr53) (E4A5G) Rabbit Monoclonal Antibody
Orders: 877-616-CELL (2355) [email protected] Support: 877-678-TECH (8324) [email protected] Web: cellsignal.com
For Research Use Only. Not for Use in Diagnostic Procedures.

Revision 5

Cell Signaling Technology Logo
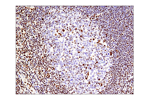
Immunohistochemical analysis of paraffin-embedded human tonsil using Phospho-ATF-2 (Thr71)/ATF-7 (Thr53) (E4A5G) XP® Rabbit mAb.
Immunohistochemistry Image 10: Phospho-ATF-2 (Thr71)/ATF-7 (Thr53) (E4A5G) Rabbit Monoclonal Antibody
Orders: 877-616-CELL (2355) [email protected] Support: 877-678-TECH (8324) [email protected] Web: cellsignal.com
For Research Use Only. Not for Use in Diagnostic Procedures.