Revision 7

#92340

Store at -20C

CST Logo
Orders:

877-616-CELL (2355)

[email protected]

Support:

877-678-TECH (8324)

3 Trask Lane | Danvers | Massachusetts | 01923 | USA

For Research Use Only. Not for Use in Diagnostic Procedures.

Applications:
W, IF-IC, FC-FP

Reactivity:
H M R

Sensitivity:
Endogenous

MW (kDa):
65

Source/Isotype:
Rabbit IgG

UniProt ID:
#Q6ZNE5

Entrez-Gene Id:
22863

Product Usage Information

Application Dilution
Western Blotting 1:1000
Immunofluorescence (Immunocytochemistry) 1:400 - 1:800
Flow Cytometry (Fixed/Permeabilized) 1:400 - 1:1600

Storage

Supplied in 10 mM sodium HEPES (pH 7.5), 150 mM NaCl, 100 µg/ml BSA, 50% glycerol and less than 0.02% sodium azide. Store at –20°C. Do not aliquot the antibody.

For a carrier free (BSA and azide free) version of this product see product #41411.

Specificity/Sensitivity

Phospho-Atg14 (Ser29) (D4B8M) Rabbit Monoclonal Antibody recognizes endogenous levels of Atg14 protein only when phosphorylated at Ser29.

Source / Purification

Monoclonal antibody is produced by immunizing animals with a synthetic phospho-peptide corresponding to residues surrounding Ser29 of human Atg14 protein.

Background

Autophagy is a catabolic process for the autophagosomic-lysosomal degradation of bulk cytoplasmic contents (1,2). Autophagy is generally activated by conditions of nutrient deprivation but is also associated with a number of physiological processes including development, differentiation, neurodegeneration, infection, and cancer (3). The molecular machinery of autophagy was largely discovered in yeast and is directed by a number of autophagy-related (Atg) genes. These proteins are involved in the formation of autophagosomes, cytoplasmic vacuoles that are delivered to lysosomes for degradation. The class III type phosphoinositide 3-kinase (PI3K) Vps34 regulates vacuolar trafficking and autophagy (4,5). Multiple proteins associate with Vps34, including p105/Vps15, Beclin-1, UVRAG, Atg14, and Rubicon, to determine Vps34 function (6-12). Atg14 and Rubicon were identified based on their ability to bind to Beclin-1 and participate in unique complexes with opposing functions (9-12). Rubicon, which localizes to the endosome and lysosome, inhibits Vps34 lipid kinase activity; knockdown of Rubicon enhances autophagy and endocytic trafficking (11,12). In contrast, Atg14 localizes to autophagosomes, isolation membranes and ER, and can enhance Vps34 activity. Knockdown of Atg14 inhibits starvation-induced autophagy (11,12).

The serine/threonine kinase ULK1 phosphorylates Atg14 at Ser29 to promote autophagsome formation (13).

Species Reactivity

Species reactivity is determined by testing in at least one approved application (e.g., western blot).

Western Blot Buffer

IMPORTANT: For western blots, incubate membrane with diluted primary antibody in 5% w/v BSA, 1X TBS, 0.1% Tween® 20 at 4°C with gentle shaking, overnight.

Applications Key

W: Western Blotting IF-IC: Immunofluorescence (Immunocytochemistry) FC-FP: Flow Cytometry (Fixed/Permeabilized)

Cross-Reactivity Key

H: Human M: Mouse R: Rat

Trademarks and Patents

Cell Signaling Technology is a trademark of Cell Signaling Technology, Inc.

All other trademarks are the property of their respective owners. Visit cellsignal.com/trademarks for more information.

Limited Uses

Except as otherwise expressly agreed in a writing signed by a legally authorized representative of CST, the following terms apply to Products provided by CST, its affiliates or its distributors. Any Customer's terms and conditions that are in addition to, or different from, those contained herein, unless separately accepted in writing by a legally authorized representative of CST, are rejected and are of no force or effect.

Products are labeled with For Research Use Only or a similar labeling statement and have not been approved, cleared, or licensed by the FDA or other regulatory foreign or domestic entity, for any purpose. Customer shall not use any Product for any diagnostic or therapeutic purpose, or otherwise in any manner that conflicts with its labeling statement. Products sold or licensed by CST are provided for Customer as the end-user and solely for research and development uses. Any use of Product for diagnostic, prophylactic or therapeutic purposes, or any purchase of Product for resale (alone or as a component) or other commercial purpose, requires a separate license from CST. Customer shall (a) not sell, license, loan, donate or otherwise transfer or make available any Product to any third party, whether alone or in combination with other materials, or use the Products to manufacture any commercial products, (b) not copy, modify, reverse engineer, decompile, disassemble or otherwise attempt to discover the underlying structure or technology of the Products, or use the Products for the purpose of developing any products or services that would compete with CST products or services, (c) not alter or remove from the Products any trademarks, trade names, logos, patent or copyright notices or markings, (d) use the Products solely in accordance with CST Product Terms of Sale and any applicable documentation, and (e) comply with any license, terms of service or similar agreement with respect to any third party products or services used by Customer in connection with the Products.

Orders: 877-616-CELL (2355) [email protected] Support: 877-678-TECH (8324) [email protected] Web: cellsignal.com
For Research Use Only. Not for Use in Diagnostic Procedures.

Revision 7

Cell Signaling Technology Logo
Western blot analysis of extracts from 293T cells, mock transfected (-) or transfected with constructs expressing GFP-tagged human Atg14 protein (hAtg14-GFP; +) or mouse ULK1 protein (mULK1; +), using Phospho-Atg14 (Ser29) (D4B8M) Rabbit mAb (upper), Atg14 (D1A1N) Rabbit mAb (middle), or β-Actin (D6A8) Rabbit mAb #8457 (lower).
Western Blotting Image 1: Phospho-Atg14 (Ser29) (D4B8M) Rabbit Monoclonal Antibody
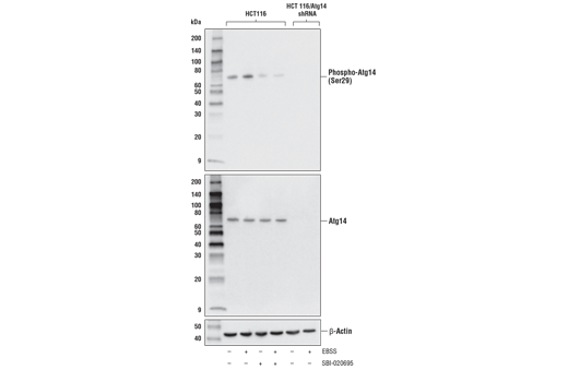
Western blot analysis of extracts from HCT 116 and HCT 116/Atg14 shRNA knockout cells, untreated (-) or starved using Earle's Balanced Salt Solution (EBSS, 2 hr; +) and the ULK1 inhibitor SBI-0206965 #29089 (50 μM, 2 hr; +) as indicated, using Phospho-Atg14 (Ser29) (D4B8M) Rabbit mAb (upper), Atg14 (D1A1N) Rabbit mAb #96752 (middle), or β-Actin (D6A8) Rabbit mAb (lower). HCT 116/Atg14 shRNA knockout cells were kindly provided by Dr. Do-Hyung Kim, University of Minnesota, Minneapolis, MN.
Western Blotting Image 2: Phospho-Atg14 (Ser29) (D4B8M) Rabbit Monoclonal Antibody
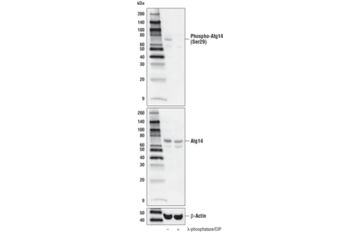
Western blot analysis of extracts from HCT 116 cells, untreated (-) or treated with lambda-phosphatase and calf intestinal phosphatase (λ-phosphatase/CIP; +), using Phospho-Atg14 (Ser29) (D4B8M) Rabbit mAb (upper), Atg14 (D1A1N) Rabbit mAb #96752 (middle), and β-Actin (D6A8) Rabbit mAb #8457 (lower).
Western Blotting Image 3: Phospho-Atg14 (Ser29) (D4B8M) Rabbit Monoclonal Antibody
Orders: 877-616-CELL (2355) [email protected] Support: 877-678-TECH (8324) [email protected] Web: cellsignal.com
For Research Use Only. Not for Use in Diagnostic Procedures.

Revision 7

Cell Signaling Technology Logo
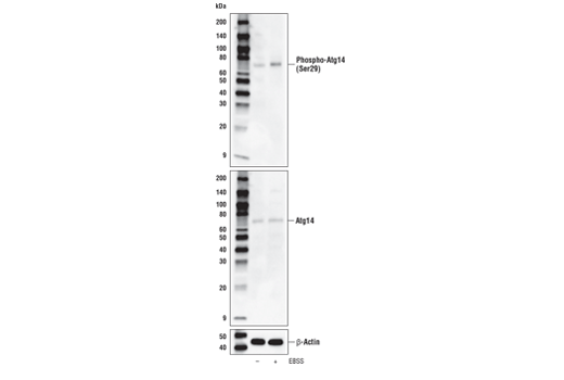
Western blot analysis of extracts from Saos-2 cells, untreated (-) or starved using Earle's Balanced Salt Solution (EBSS, 2 hr), using Phospho-Atg14 (Ser29) (D4B8M) Rabbit mAb (upper), Atg14 (D1A1N) Rabbit mAb #96752 (middle), and β-Actin (D6A8) Rabbit mAb #8457 (lower).
Western Blotting Image 4: Phospho-Atg14 (Ser29) (D4B8M) Rabbit Monoclonal Antibody
Confocal immunofluorescent analysis of HCT 116 Atg14 wild-type cells, untreated (left, low-expressing) or treated with Torin 1 #14379 (250 nM, 2 hr; middle-left, high-expressing), HCT 116/Atg14 shRNA knockout cells treated with Torin 1 (middle-right, negative), or HCT 116 Atg14 wild-type cells post-processed with λ-phosphatase (2 hr; right, negative), using Phospho-Atg14 (Ser29) (D4B8M) Rabbit mAb (green). Samples were mounted in ProLong® Gold Antifade Reagent with DAPI #8961 (blue). HCT 116/Atg14 shRNA knockout cells were kindly provided by Dr. Do-Hyung Kim, University of Minnesota, Minneapolis, MN.
Immunofluorescence Image 1: Phospho-Atg14 (Ser29) (D4B8M) Rabbit Monoclonal Antibody
Flow cytometric analysis of HCT 116/Atg14 shRNA knockout cells treated with Torin 1 #14379 (250 nM, 18 hr; blue, lower-expressing) and HCT 116 wild-type cells treated with Torin 1 (green, higher-expressing) using Phospho-Atg14 (Ser29) (D4B8M) Rabbit mAb (solid lines) or a concentration-matched Rabbit (DA1E) mAb IgG XP® Isotype Control #3900 (dashed lines). Anti-rabbit IgG (H+L), F(ab')2 Fragment (Alexa Fluor® 488 Conjugate) #4412 was used as a secondary antibody. HCT 116/Atg14 shRNA knockout cells were kindly provided by Dr. Do-Hyung Kim, University of Minnesota, Minneapolis, MN.
Flow Cytometry Image 1: Phospho-Atg14 (Ser29) (D4B8M) Rabbit Monoclonal Antibody
Orders: 877-616-CELL (2355) [email protected] Support: 877-678-TECH (8324) [email protected] Web: cellsignal.com
For Research Use Only. Not for Use in Diagnostic Procedures.