Revision 1

#19386

Store at -20C

CST Logo
Orders:

877-616-CELL (2355)

[email protected]

Support:

877-678-TECH (8324)

3 Trask Lane | Danvers | Massachusetts | 01923 | USA

For Research Use Only. Not for Use in Diagnostic Procedures.

Applications:
W, IP

Reactivity:
H M R

Sensitivity:
Endogenous

MW (kDa):
48

Source/Isotype:
Rabbit

UniProt ID:
#Q9Y4P1

Entrez-Gene Id:
23192

Product Usage Information

Application Dilution
Western Blotting 1:1000
Immunoprecipitation 1:50

Storage

Supplied in 10 mM sodium HEPES (pH 7.5), 150 mM NaCl, 100 µg/ml BSA and 50% glycerol. Store at –20°C. Do not aliquot the antibody.

Specificity/Sensitivity

Phospho-Atg4B (Ser383) Antibody recognizes endogenous levels of Atg4B protein only when phosphorylated at Ser383.

Source / Purification

Polyclonal antibodies are produced by immunizing animals with a synthetic phospho-peptide corresponding to residues surrounding Ser383 of human Atg4B protein. Antibodies are purified by protein A and peptide affinity chromatography.

Background

Autophagy is a catabolic process for the autophagosomic-lysosomal degradation of bulk cytoplasmic contents. Control of autophagy was largely discovered in yeast and involves proteins encoded by a set of autophagy-related genes (Atg) (1). Formation of autophagic vesicles requires a pair of essential ubiquitin-like conjugation systems, Atg12-Atg5 and Atg8-phosphatidylethanolamine (Atg8-PE), which are widely conserved in eukaryotes (2). Numerous mammalian counterparts to yeast Atg proteins have been described, including three Atg8 proteins (GATE-16, GABARAP, and LC3) and four Atg4 homologs (Atg4A/autophagin-2, Atg4B/autophagin-1, Atg4C/autophagin-3, and Atg4D/autophagin-4) (3-5). The cysteine protease Atg4 is pivotal to autophagosome membrane generation and regulation. Atg4 primes the Atg8 homolog for lipidation by cleaving its carboxy terminus and exposing its glycine residue for E1-like enzyme Atg7. The Atg8 homolog is transferred to the E2-like enzyme Atg3 before forming the Atg8-PE conjugate. During later stages of autophagy, Atg4 can reverse this lipidation event by cleaving PE, thereby recycling the Atg8 homolog (6).
Phosphorylation of Atg4B by MST4 increases its activity and autophagic flux (7).

Species Reactivity

Species reactivity is determined by testing in at least one approved application (e.g., western blot).

Western Blot Buffer

IMPORTANT: For western blots, incubate membrane with diluted primary antibody in 5% w/v BSA, 1X TBS, 0.1% Tween® 20 at 4°C with gentle shaking, overnight.

Applications Key

W: Western Blotting IP: Immunoprecipitation

Cross-Reactivity Key

H: Human M: Mouse R: Rat

Trademarks and Patents

Cell Signaling Technology is a trademark of Cell Signaling Technology, Inc.

All other trademarks are the property of their respective owners. Visit cellsignal.com/trademarks for more information.

Limited Uses

Except as otherwise expressly agreed in a writing signed by a legally authorized representative of CST, the following terms apply to Products provided by CST, its affiliates or its distributors. Any Customer's terms and conditions that are in addition to, or different from, those contained herein, unless separately accepted in writing by a legally authorized representative of CST, are rejected and are of no force or effect.

Products are labeled with For Research Use Only or a similar labeling statement and have not been approved, cleared, or licensed by the FDA or other regulatory foreign or domestic entity, for any purpose. Customer shall not use any Product for any diagnostic or therapeutic purpose, or otherwise in any manner that conflicts with its labeling statement. Products sold or licensed by CST are provided for Customer as the end-user and solely for research and development uses. Any use of Product for diagnostic, prophylactic or therapeutic purposes, or any purchase of Product for resale (alone or as a component) or other commercial purpose, requires a separate license from CST. Customer shall (a) not sell, license, loan, donate or otherwise transfer or make available any Product to any third party, whether alone or in combination with other materials, or use the Products to manufacture any commercial products, (b) not copy, modify, reverse engineer, decompile, disassemble or otherwise attempt to discover the underlying structure or technology of the Products, or use the Products for the purpose of developing any products or services that would compete with CST products or services, (c) not alter or remove from the Products any trademarks, trade names, logos, patent or copyright notices or markings, (d) use the Products solely in accordance with CST Product Terms of Sale and any applicable documentation, and (e) comply with any license, terms of service or similar agreement with respect to any third party products or services used by Customer in connection with the Products.

Orders: 877-616-CELL (2355) [email protected] Support: 877-678-TECH (8324) [email protected] Web: cellsignal.com
For Research Use Only. Not for Use in Diagnostic Procedures.

Revision 1

Cell Signaling Technology Logo
Western blot analysis of extracts from SK-MEL-28 and K-562 cells. Lysates were treated with (+) or without (-) Lambda Phosphatase (λ-Phosphatase) and Calf Intestinal Phosphatase (CIP). Western blot analysis was performed using Phospho-Atg4B (Ser383) Antibody (upper), Atg4B (D1G2R) Rabbit mAb #13507 (middle), or β-Actin (D6A8) Rabbit mAb #8457 (lower).
Western Blotting Image 1: Phospho-Atg4B (Ser383) Antibody
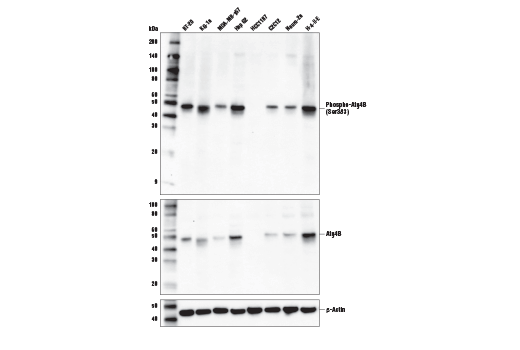
Western blot analysis of extracts from various cell lines using Phospho-Atg4B (Ser383) Antibody (upper), Atg4B (D1G2R) Rabbit mAb #13507 (middle), or β-Actin (D6A8) Rabbit mAb #8457 (lower).
Western Blotting Image 2: Phospho-Atg4B (Ser383) Antibody
Immunoprecipitation of Phospho-Atg4B (Ser383) from K-562 cell extracts. Lane 1 is 10% input, lane 2 is Normal Rabbit IgG #2729, and lane 3 is Phospho-Atg4B (Ser383) Antibody. Western blot analysis was performed using Phospho-Atg4B (Ser383) Antibody. Mouse anti-Rabbit IgG (Conformation Specific) (L27A9) mAb (HRP Conjugate) #5127 was used as a secondary antibody.
Immunoprecipitation Image 1: Phospho-Atg4B (Ser383) Antibody
Orders: 877-616-CELL (2355) [email protected] Support: 877-678-TECH (8324) [email protected] Web: cellsignal.com
For Research Use Only. Not for Use in Diagnostic Procedures.