Revision 1

#86455

Store at -20C

CST Logo
Orders:

877-616-CELL (2355)

[email protected]

Support:

877-678-TECH (8324)

3 Trask Lane | Danvers | Massachusetts | 01923 | USA

For Research Use Only. Not for Use in Diagnostic Procedures.

Applications:
W

Reactivity:
H

Sensitivity:
Endogenous

MW (kDa):
60

Source/Isotype:
Rabbit

UniProt ID:
#Q14457

Entrez-Gene Id:
8678

Product Usage Information

Application Dilution
Western Blotting 1:1000

Storage

Supplied in 10 mM sodium HEPES (pH 7.5), 150 mM NaCl, 100 µg/ml BSA and 50% glycerol. Store at –20°C. Do not aliquot the antibody.

Specificity/Sensitivity

Phospho-Beclin-1 (Ser90) Antibody recognizes endogenous levels of Beclin-1 protein only when phosphorylated at Ser90. This antibody may not react with Beclin-1 when dually phosphorylated at Ser90 and Ser93. Background bands of unknown origin were detected at 100, 35, and 10 kDa in some cell lines.

Source / Purification

Polyclonal antibodies are produced by immunizing animals with a synthetic phospho-peptide corresponding to residues surrounding Ser90 of human Beclin-1 protein. Antibodies are purified by protein A and peptide affinity chromatography.

Background

Autophagy is a catabolic process for the autophagosomic-lysosomal degradation of proteins activated in response to nutrient deprivation and in neurodegenerative conditions (1). One of the proteins critical to this process is Beclin-1, the mammalian orthologue of the yeast autophagy protein Apg6/Vps30 (2). Beclin-1 can complement defects in yeast autophagy caused by loss of Apg6 and can also stimulate autophagy when overexpressed in mammalian cells (3). Mammalian Beclin-1 was originally isolated in a yeast two-hybrid screen for Bcl-2 interacting proteins and has been shown to interact with Bcl-2 and Bcl-xL, but not with Bax or Bak (4). While Beclin-1 is generally ubiquitously expressed, research studies have shown it is monoallelically deleted in 40-75% of sporadic human breast and ovarian cancers (5). Beclin-1 is localized within cytoplasmic structures including the mitochondria, although overexpression of Beclin-1 reveals some nuclear staining and CRM1-dependent nuclear export (6). Investigators have demonstrated that Beclin-1-/- mice die early in embryogenesis and Beclin-1-/+ mice have a high incidence of spontaneous tumors. Stem cells from the null mice demonstrate an altered autophagic response, although responses to apoptosis appeared normal (7). Researchers have also found that overexpression of Beclin-1 in virally infected neurons in vivo resulted in significant protection against Sindbis virus-induced disease and neuronal apoptosis (4).
Several studies have indicated that autophagy is enhanced by phosphorylation of Beclin-1 at Ser90 triggered by stress-responsive kinases including MAPKAPK-2/MAPKAPK-3, DAPK3, and CaMKII (8-10).

Species Reactivity

Species reactivity is determined by testing in at least one approved application (e.g., western blot).

Western Blot Buffer

IMPORTANT: For western blots, incubate membrane with diluted primary antibody in 5% w/v BSA, 1X TBS, 0.1% Tween® 20 at 4°C with gentle shaking, overnight.

Applications Key

W: Western Blotting

Cross-Reactivity Key

H: Human

Trademarks and Patents

Cell Signaling Technology is a trademark of Cell Signaling Technology, Inc.

All other trademarks are the property of their respective owners. Visit cellsignal.com/trademarks for more information.

Limited Uses

Except as otherwise expressly agreed in a writing signed by a legally authorized representative of CST, the following terms apply to Products provided by CST, its affiliates or its distributors. Any Customer's terms and conditions that are in addition to, or different from, those contained herein, unless separately accepted in writing by a legally authorized representative of CST, are rejected and are of no force or effect.

Products are labeled with For Research Use Only or a similar labeling statement and have not been approved, cleared, or licensed by the FDA or other regulatory foreign or domestic entity, for any purpose. Customer shall not use any Product for any diagnostic or therapeutic purpose, or otherwise in any manner that conflicts with its labeling statement. Products sold or licensed by CST are provided for Customer as the end-user and solely for research and development uses. Any use of Product for diagnostic, prophylactic or therapeutic purposes, or any purchase of Product for resale (alone or as a component) or other commercial purpose, requires a separate license from CST. Customer shall (a) not sell, license, loan, donate or otherwise transfer or make available any Product to any third party, whether alone or in combination with other materials, or use the Products to manufacture any commercial products, (b) not copy, modify, reverse engineer, decompile, disassemble or otherwise attempt to discover the underlying structure or technology of the Products, or use the Products for the purpose of developing any products or services that would compete with CST products or services, (c) not alter or remove from the Products any trademarks, trade names, logos, patent or copyright notices or markings, (d) use the Products solely in accordance with CST Product Terms of Sale and any applicable documentation, and (e) comply with any license, terms of service or similar agreement with respect to any third party products or services used by Customer in connection with the Products.

Orders: 877-616-CELL (2355) [email protected] Support: 877-678-TECH (8324) [email protected] Web: cellsignal.com
For Research Use Only. Not for Use in Diagnostic Procedures.

Revision 1

Cell Signaling Technology Logo
Western blot analysis of extracts from UACC-62 cells, untreated (-), UV-treated (100 mJ/cm2, 15 min recovery; +), or starved with Earle's Balanced Salt Solution (EBSS, 15 min; +), using Phospho-Beclin-1 (Ser90) Antibody (upper) or Beclin-1 (D40C5) Rabbit mAb #3495 (lower).
Western Blotting Image 1: Phospho-Beclin-1 (Ser90) Antibody
Western blot analysis of extracts from PC-3 cells, untreated (-) or treated with carbonyl cyanide 3-chlorophenylhydrazone (CCCP; 30 μM, 2 hr; +), using Phospho-Beclin-1 (Ser90) Antibody (upper) or Beclin-1 (D40C5) Rabbit mAb #3495 (lower).
Western Blotting Image 2: Phospho-Beclin-1 (Ser90) Antibody
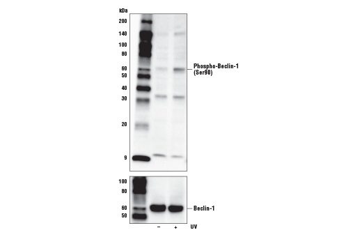
Western blot analysis of extracts from ACHN cells, untreated (-) or UV-treated (100 mJ/cm2, 1 hr recovery; +), using Phospho-Beclin-1 (Ser90) Antibody (upper) or Beclin-1 (D40C5) Rabbit mAb #3495 (lower).
Western Blotting Image 3: Phospho-Beclin-1 (Ser90) Antibody
Orders: 877-616-CELL (2355) [email protected] Support: 877-678-TECH (8324) [email protected] Web: cellsignal.com
For Research Use Only. Not for Use in Diagnostic Procedures.