Revision 1

#62144

Store at -20C

CST Logo
Orders:

877-616-CELL (2355)

[email protected]

Support:

877-678-TECH (8324)

3 Trask Lane | Danvers | Massachusetts | 01923 | USA

For Research Use Only. Not for Use in Diagnostic Procedures.

Applications:
W, IP

Reactivity:
H M

Sensitivity:
Endogenous

MW (kDa):
68, 70

Source/Isotype:
Rabbit IgG

UniProt ID:
#Q8WV28

Entrez-Gene Id:
29760

Product Usage Information

Application Dilution
Western Blotting 1:1000
Immunoprecipitation 1:200

Storage

Supplied in 10 mM sodium HEPES (pH 7.5), 150 mM NaCl, 100 µg/ml BSA, 50% glycerol and less than 0.02% sodium azide. Store at –20°C. Do not aliquot the antibody.

Specificity/Sensitivity

Phospho-BLNK (Thr152) (E4P2P) Rabbit Monoclonal Antibody recognizes endogenous levels of BLNK protein only when phosphorylated at Thr152.

Source / Purification

Monoclonal antibody is produced by immunizing animals with a synthetic peptide corresponding to residues surrounding Thr152 of human BLNK protein.

Background

B cell linker protein (BLNK), also known as SLP-65 or BASH, is an adaptor molecule that plays key roles in B cell activation and B cell antigen receptor (BCR) engagement. BLNK acts at the interface between BCR-associated Syk and downstream signaling cascades (1,2). BLNK has multiple SH2 binding motifs (YXXP) at its amino terminus and an SH2 domain at its carboxy terminus. After BCR ligation, BLNK is phosphorylated by Syk at multiple YXXP motifs, including Tyr72, Tyr84, Tyr96, and Tyr178 (1). These phosphorylated motifs provide docking sites for signaling molecules, such as BTK, PLCγ, and Vav. These signaling molecules bind to BLNK through their SH2 domains and together activate downstream signaling pathways (3,4). Through its SH2 domain, BLNK can also interact with tyrosine-phosphorylated targets, such as HPK1, thereby recruiting them to the BCR complex for signaling (5).

Following BCR ligation, BLNK is phosphorylated at Thr152 by the hematopoietic progenitor kinase 1 (HPK1) (6). This phosphorylation induces interaction with 14-3-3ε, which leads to the disassembly of BCR signaling complexes and downregulation of BCR signaling (6).

Species Reactivity

Species reactivity is determined by testing in at least one approved application (e.g., western blot).

Western Blot Buffer

IMPORTANT: For western blots, incubate membrane with diluted primary antibody in 5% w/v BSA, 1X TBS, 0.1% Tween® 20 at 4°C with gentle shaking, overnight.

Applications Key

W: Western Blotting IP: Immunoprecipitation

Cross-Reactivity Key

H: Human M: Mouse

Trademarks and Patents

Cell Signaling Technology is a trademark of Cell Signaling Technology, Inc.

All other trademarks are the property of their respective owners. Visit cellsignal.com/trademarks for more information.

Limited Uses

Except as otherwise expressly agreed in a writing signed by a legally authorized representative of CST, the following terms apply to Products provided by CST, its affiliates or its distributors. Any Customer's terms and conditions that are in addition to, or different from, those contained herein, unless separately accepted in writing by a legally authorized representative of CST, are rejected and are of no force or effect.

Products are labeled with For Research Use Only or a similar labeling statement and have not been approved, cleared, or licensed by the FDA or other regulatory foreign or domestic entity, for any purpose. Customer shall not use any Product for any diagnostic or therapeutic purpose, or otherwise in any manner that conflicts with its labeling statement. Products sold or licensed by CST are provided for Customer as the end-user and solely for research and development uses. Any use of Product for diagnostic, prophylactic or therapeutic purposes, or any purchase of Product for resale (alone or as a component) or other commercial purpose, requires a separate license from CST. Customer shall (a) not sell, license, loan, donate or otherwise transfer or make available any Product to any third party, whether alone or in combination with other materials, or use the Products to manufacture any commercial products, (b) not copy, modify, reverse engineer, decompile, disassemble or otherwise attempt to discover the underlying structure or technology of the Products, or use the Products for the purpose of developing any products or services that would compete with CST products or services, (c) not alter or remove from the Products any trademarks, trade names, logos, patent or copyright notices or markings, (d) use the Products solely in accordance with CST Product Terms of Sale and any applicable documentation, and (e) comply with any license, terms of service or similar agreement with respect to any third party products or services used by Customer in connection with the Products.

Orders: 877-616-CELL (2355) [email protected] Support: 877-678-TECH (8324) [email protected] Web: cellsignal.com
For Research Use Only. Not for Use in Diagnostic Procedures.

Revision 1

Cell Signaling Technology Logo
Western blot analysis of extracts from Ramos and A20 cells, untreated (-) or treated (+) with either anti-human IgM (12 μg/ml, 10 min) or H2O2 (11 mM, 1 min), using Phospho-BLNK (Thr152) (E4P2P) Rabbit mAb (upper), BLNK (D3P2H) XP® Rabbit mAb #36438 (middle), or β-Actin (D6A8) Rabbit mAb #8457 (lower).
Western Blotting Image 1: Phospho-BLNK (Thr152) (E4P2P) Rabbit Monoclonal Antibody
Western blot analysis of extracts from Ramos cells, untreated (-) or treated with anti-human IgM (12 μg/ml, 10 min; +), and lambda-phosphatase and calf intestinal phosphatase (λ-phosphatase/CIP; +) as indicated, using Phospho-BLNK (Thr152) (E4P2P) Rabbit mAb (upper), BLNK (D3P2H) XP® Rabbit mAb #36438 (middle), or β-Actin (D6A8) Rabbit mAb #8457 (lower).
Western Blotting Image 2: Phospho-BLNK (Thr152) (E4P2P) Rabbit Monoclonal Antibody
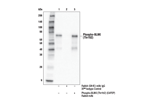
Immunoprecipitation of Phospho-BLNK (Thr152) protein from Ramos cell extracts treated with anti-human IgM (12 μg/ml, 10 min). Lane 1 is 10% input, lane 2 is Rabbit (DA1E) mAb IgG XP® Isotype Control #3900, and lane 3 is Phospho-BLNK (Thr152) (E4P2P) Rabbit mAb. Western blot analysis was performed using Phospho-BLNK (Thr152) (E4P2P) Rabbit mAb. Mouse Anti-rabbit IgG (Conformation Specific) (L27A9) mAb (HRP Conjugate) #5127 was used as the secondary antibody.
Immunoprecipitation Image 1: Phospho-BLNK (Thr152) (E4P2P) Rabbit Monoclonal Antibody
Orders: 877-616-CELL (2355) [email protected] Support: 877-678-TECH (8324) [email protected] Web: cellsignal.com
For Research Use Only. Not for Use in Diagnostic Procedures.