Revision 3

#4901

Store at -20C

CST Logo
Orders:

877-616-CELL (2355)

[email protected]

Support:

877-678-TECH (8324)

3 Trask Lane | Danvers | Massachusetts | 01923 | USA

For Research Use Only. Not for Use in Diagnostic Procedures.

Applications:
W, IP, IHC-P

Reactivity:
H Mk

Sensitivity:
Endogenous

MW (kDa):
60

Source/Isotype:
Rabbit IgG

UniProt ID:
#P30307

Entrez-Gene Id:
995

Product Usage Information

Application Dilution
Western Blotting 1:1000
Immunoprecipitation 1:50
Immunohistochemistry (Paraffin) 1:100

Storage

Supplied in 10 mM sodium HEPES (pH 7.5), 150 mM NaCl, 100 µg/ml BSA, 50% glycerol and less than 0.02% sodium azide. Store at –20°C. Do not aliquot the antibody.

For a carrier free (BSA and azide free) version of this product see product #30790.

Specificity/Sensitivity

Phospho-cdc25C (Ser216) (63F9) Rabbit Monoclonal Antibody detects endogenous levels of cdc25C only when phosphorylated at Ser216.

Source / Purification

Monoclonal antibody is produced by immunizing animals with a synthetic phosphopeptide corresponding to residues surrounding Ser216 of human cdc25C.

Background

Cdc25 is a protein phosphatase responsible for dephosphorylating and activating cdc2, a crucial step in regulating the entry of all eukaryotic cells into mitosis (1). cdc25C is constitutively phosphorylated at Ser216 throughout interphase by c-TAK1, while phosphorylation at this site is DNA damage-dependent at the G2/M checkpoint (2). When phosphorylated at Ser216, cdc25C binds to members of the 14-3-3 family of proteins, sequestering cdc25C in the cytoplasm and thereby preventing premature mitosis (3). The checkpoint kinases Chk1 and Chk2 phosphorylate cdc25C at Ser216 in response to DNA damage (4,5).

Species Reactivity

Species reactivity is determined by testing in at least one approved application (e.g., western blot).

Western Blot Buffer

IMPORTANT: For western blots, incubate membrane with diluted primary antibody in 5% w/v BSA, 1X TBS, 0.1% Tween® 20 at 4°C with gentle shaking, overnight.

Applications Key

W: Western Blotting IP: Immunoprecipitation IHC-P: Immunohistochemistry (Paraffin)

Cross-Reactivity Key

H: Human Mk: Monkey

Trademarks and Patents

Cell Signaling Technology is a trademark of Cell Signaling Technology, Inc.

All other trademarks are the property of their respective owners. Visit cellsignal.com/trademarks for more information.

Limited Uses

Except as otherwise expressly agreed in a writing signed by a legally authorized representative of CST, the following terms apply to Products provided by CST, its affiliates or its distributors. Any Customer's terms and conditions that are in addition to, or different from, those contained herein, unless separately accepted in writing by a legally authorized representative of CST, are rejected and are of no force or effect.

Products are labeled with For Research Use Only or a similar labeling statement and have not been approved, cleared, or licensed by the FDA or other regulatory foreign or domestic entity, for any purpose. Customer shall not use any Product for any diagnostic or therapeutic purpose, or otherwise in any manner that conflicts with its labeling statement. Products sold or licensed by CST are provided for Customer as the end-user and solely for research and development uses. Any use of Product for diagnostic, prophylactic or therapeutic purposes, or any purchase of Product for resale (alone or as a component) or other commercial purpose, requires a separate license from CST. Customer shall (a) not sell, license, loan, donate or otherwise transfer or make available any Product to any third party, whether alone or in combination with other materials, or use the Products to manufacture any commercial products, (b) not copy, modify, reverse engineer, decompile, disassemble or otherwise attempt to discover the underlying structure or technology of the Products, or use the Products for the purpose of developing any products or services that would compete with CST products or services, (c) not alter or remove from the Products any trademarks, trade names, logos, patent or copyright notices or markings, (d) use the Products solely in accordance with CST Product Terms of Sale and any applicable documentation, and (e) comply with any license, terms of service or similar agreement with respect to any third party products or services used by Customer in connection with the Products.

Orders: 877-616-CELL (2355) [email protected] Support: 877-678-TECH (8324) [email protected] Web: cellsignal.com
For Research Use Only. Not for Use in Diagnostic Procedures.

Revision 3

Cell Signaling Technology Logo
Western Blot analysis of HT29 cells, untreated, nocodazole-treated, and lambda phosphotase-treated, using Phospho-cdc25C (Ser216) antibody (upper), and cdc25C (5H9) Rabbit Mab, #4688, (lower).
Western Blotting Image 1: Phospho-cdc25C (Ser216) (63F9) Rabbit Monoclonal Antibody
Western blot analysis of GST-cdc25C, unphosphorylated or phosphorylated in vitro by Chk2, using Phospho-cdc25C (Ser216) (63F9) Rabbit mAb (upper) or cdc25C antibody #9522 (lower).
Western Blotting Image 2: Phospho-cdc25C (Ser216) (63F9) Rabbit Monoclonal Antibody
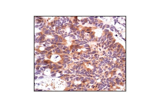
Immunohistochemical analysis of paraffin-embedded human breast carcinoma, using Phospho-cdc25C (Ser216) (63F9) Rabbit mAb.
Immunohistochemistry Image 1: Phospho-cdc25C (Ser216) (63F9) Rabbit Monoclonal Antibody
Orders: 877-616-CELL (2355) [email protected] Support: 877-678-TECH (8324) [email protected] Web: cellsignal.com
For Research Use Only. Not for Use in Diagnostic Procedures.

Revision 3

Cell Signaling Technology Logo
Immunohistochemical analysis of paraffin-embedded human colon carcinoma, showing cytoplasmic localization, using Phospho-cdc25C (Ser216) (63F9) Rabbit mAb.
Immunohistochemistry Image 2: Phospho-cdc25C (Ser216) (63F9) Rabbit Monoclonal Antibody
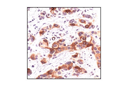
Immunohistochemical analysis of paraffin-embedded human lung carcinoma, using Phospho-cdc25C (Ser216) (63F9) Rabbit mAb.
Immunohistochemistry Image 3: Phospho-cdc25C (Ser216) (63F9) Rabbit Monoclonal Antibody
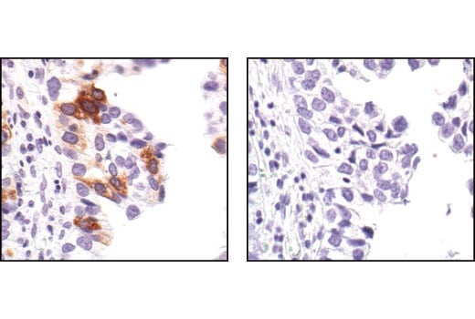
Immunohistochemical analysis of paraffin-embedded human lung carcinoma, untreated (left) or lambda phosphatase-treated (right), using Phospho-cdc25C (Ser216) (63F9) Rabbit mAb.
Immunohistochemistry Image 4: Phospho-cdc25C (Ser216) (63F9) Rabbit Monoclonal Antibody
Orders: 877-616-CELL (2355) [email protected] Support: 877-678-TECH (8324) [email protected] Web: cellsignal.com
For Research Use Only. Not for Use in Diagnostic Procedures.

Revision 3

Cell Signaling Technology Logo
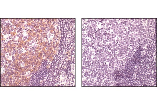
Immunohistochemical analysis of paraffin-embedded human lymph node, using Phospho-cdc25C (Ser216) (63F9) Rabbit mAb in the presence of control peptide (left) or Phospho-cdc25C (Ser216) Blocking Peptide #1190 (right).
Immunohistochemistry Image 5: Phospho-cdc25C (Ser216) (63F9) Rabbit Monoclonal Antibody
Orders: 877-616-CELL (2355) [email protected] Support: 877-678-TECH (8324) [email protected] Web: cellsignal.com
For Research Use Only. Not for Use in Diagnostic Procedures.