Revision 1

#13248

Store at -20C

CST Logo
Orders:

877-616-CELL (2355)

[email protected]

Support:

877-678-TECH (8324)

3 Trask Lane | Danvers | Massachusetts | 01923 | USA

For Research Use Only. Not for Use in Diagnostic Procedures.

Applications:
W

Reactivity:
H M R

Sensitivity:
Endogenous

MW (kDa):
50

Source/Isotype:
Rabbit IgG

UniProt ID:
#Q16543

Entrez-Gene Id:
11140

Product Usage Information

Application Dilution
Western Blotting 1:1000

Storage

Supplied in 10 mM sodium HEPES (pH 7.5), 150 mM NaCl, 100 µg/ml BSA, 50% glycerol and less than 0.02% sodium azide. Store at –20°C. Do not aliquot the antibody.

Specificity/Sensitivity

Phospho-CDC37 (Ser13) (D8P8F) Rabbit Monoclonal Antibody recognizes endogenous levels of CDC37 protein only when phosphorylated at Ser13.

Source / Purification

Monoclonal antibody is produced by immunizing animals with a synthetic phosphopeptide corresponding to residues surrounding Ser13 of human CDC37 protein.

Background

CDC37 is an important component of the HSP90 chaperone complex (1,2). It was initially identified for its involvement in cell-cycle progression and was later found to have a much broader role as a chaperone for a wide variety of kinases and other proteins (1-3). CDC37 protein has an amino-terminal kinase binding domain followed by a central HSP90 binding domain. It recruits and stabilizes kinases in the HSP90 complex by protecting the newly synthesized kinase peptide chain from degradation and promoting the next step of protein maturation (4,5). CDC37 also suppresses the ATPase activity of HSP90, thereby leading to conformational changes in the complex that preclude target kinase loading (6). CDC37 has been proposed as a therapeutic target because of its important role in multiple kinase pathways involved in proliferation and cancer cell survival, including Raf, Akt, Src, and ErbB2 pathways (7,8).
CDC37 is phosphorylated by CKII at its carboxy-terminal Ser13 residue; this phosphorylation is required for its interaction with HSP90 and target protein stabilization function (9,10).

Species Reactivity

Species reactivity is determined by testing in at least one approved application (e.g., western blot).

Western Blot Buffer

IMPORTANT: For western blots, incubate membrane with diluted primary antibody in 5% w/v BSA, 1X TBS, 0.1% Tween® 20 at 4°C with gentle shaking, overnight.

Applications Key

W: Western Blotting

Cross-Reactivity Key

H: Human M: Mouse R: Rat

Trademarks and Patents

Cell Signaling Technology is a trademark of Cell Signaling Technology, Inc.

All other trademarks are the property of their respective owners. Visit cellsignal.com/trademarks for more information.

Limited Uses

Except as otherwise expressly agreed in a writing signed by a legally authorized representative of CST, the following terms apply to Products provided by CST, its affiliates or its distributors. Any Customer's terms and conditions that are in addition to, or different from, those contained herein, unless separately accepted in writing by a legally authorized representative of CST, are rejected and are of no force or effect.

Products are labeled with For Research Use Only or a similar labeling statement and have not been approved, cleared, or licensed by the FDA or other regulatory foreign or domestic entity, for any purpose. Customer shall not use any Product for any diagnostic or therapeutic purpose, or otherwise in any manner that conflicts with its labeling statement. Products sold or licensed by CST are provided for Customer as the end-user and solely for research and development uses. Any use of Product for diagnostic, prophylactic or therapeutic purposes, or any purchase of Product for resale (alone or as a component) or other commercial purpose, requires a separate license from CST. Customer shall (a) not sell, license, loan, donate or otherwise transfer or make available any Product to any third party, whether alone or in combination with other materials, or use the Products to manufacture any commercial products, (b) not copy, modify, reverse engineer, decompile, disassemble or otherwise attempt to discover the underlying structure or technology of the Products, or use the Products for the purpose of developing any products or services that would compete with CST products or services, (c) not alter or remove from the Products any trademarks, trade names, logos, patent or copyright notices or markings, (d) use the Products solely in accordance with CST Product Terms of Sale and any applicable documentation, and (e) comply with any license, terms of service or similar agreement with respect to any third party products or services used by Customer in connection with the Products.

Orders: 877-616-CELL (2355) [email protected] Support: 877-678-TECH (8324) [email protected] Web: cellsignal.com
For Research Use Only. Not for Use in Diagnostic Procedures.

Revision 1

Cell Signaling Technology Logo
Western blot analysis of extracts from various cell lines using Phospho-CDC37 (Ser37) (D8P8F) Rabbit mAb.
Western Blotting Image 1: Phospho-CDC37 (Ser13) (D8P8F) Rabbit Monoclonal Antibody
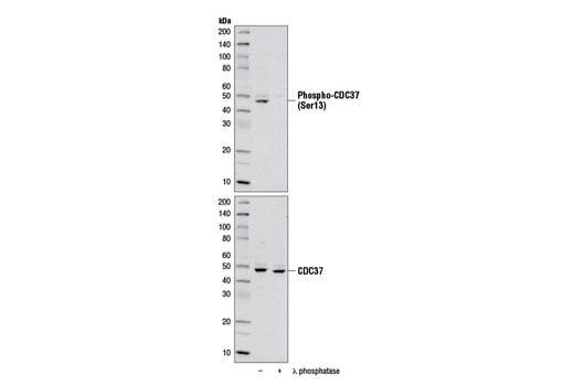
Western blot analysis of extracts from 293 cells, untreated (-) or treated with λ phosphatase (+), using Phospho-CDC37 (Ser13) (D8P8F) Rabbit mAb (upper) and CDC37 (D11A3) XP® Rabbit mAb #4793 (lower).
Western Blotting Image 2: Phospho-CDC37 (Ser13) (D8P8F) Rabbit Monoclonal Antibody
Orders: 877-616-CELL (2355) [email protected] Support: 877-678-TECH (8324) [email protected] Web: cellsignal.com
For Research Use Only. Not for Use in Diagnostic Procedures.