Revision 3

#9931

Store at -20C

Phospho-Chk1/2 Antibody Sampler Kit

1 Kit

(9 x 20 microliters)

CST Logo
Orders:

877-616-CELL (2355)

[email protected]

Support:

877-678-TECH (8324)

3 Trask Lane | Danvers | Massachusetts | 01923 | USA

For Research Use Only. Not for Use in Diagnostic Procedures.

Product Includes Product # Quantity Mol. Wt Isotype/Source
Phospho-Chk1 (Ser317) (D12H3) XP® Rabbit mAb1230220 µl56 kDaRabbit IgG
Phospho-Chk1 (Ser345) (133D3) Rabbit mAb234820 µl56 kDaRabbit IgG
Phospho-Chk1 (Ser296) Antibody234920 µl56 kDaRabbit
Chk1 (2G1D5) Mouse mAb236020 µl56 kDaMouse IgG1
Chk2 (D9C6) Rabbit mAb633420 µl62 kDaRabbit IgG
Phospho-Chk2 (Ser19) Antibody266620 µl62 kDaRabbit
Phospho-Chk2 (Ser33/35) Antibody266520 µl62 kDaRabbit
Phospho-Chk2 (Thr68) (C13C1) Rabbit mAb219720 µl62 kDaRabbit IgG
Phospho-Chk2 (Ser516) Antibody266920 µl62 kDaRabbit
Anti-rabbit IgG, HRP-linked Antibody7074100 µlGoat

Please visit cellsignal.com for individual component applications, species cross-reactivity, dilutions, protocols, and additional product information.

Description

The Phospho-Chk1/2 Antibody Sampler Kit offers an economical means to evaluate the phosphorylation status of Chk1 and Chk2 on multiple residues. The kit contains enough primary and secondary antibodies to perform two Western blot experiments with each primary antibody.

Storage

Supplied in 10 mM sodium HEPES (pH 7.5), 150 mM NaCl, 100 µg/ml BSA, 50% glycerol and less than 0.02% sodium azide. Store at –20°C. Do not aliquot the antibody.

Background

Chk1 kinase acts downstream of ATM/ATR kinase and plays an important role in DNA damage checkpoint control, embryonic development, and tumor suppression (1). Activation of Chk1 involves phosphorylation at Ser317 and Ser345 by ATM/ATR, followed by autophosphorylation of Ser296. Activation occurs in response to blocked DNA replication and certain forms of genotoxic stress (2). While phosphorylation at Ser345 serves to localize Chk1 to the nucleus following checkpoint activation (3), phosphorylation at Ser317 along with site-specific phosphorylation of PTEN allows for re-entry into the cell cycle following stalled DNA replication (4). Chk1 exerts its checkpoint mechanism on the cell cycle, in part, by regulating the cdc25 family of phosphatases. Chk1 phosphorylation of cdc25A targets it for proteolysis and inhibits its activity through 14-3-3 binding (5). Activated Chk1 can inactivate cdc25C via phosphorylation at Ser216, blocking the activation of cdc2 and transition into mitosis (6). Centrosomal Chk1 has been shown to phosphorylate cdc25B and inhibit its activation of CDK1-cyclin B1, thereby abrogating mitotic spindle formation and chromatin condensation (7). Furthermore, Chk1 plays a role in spindle checkpoint function through regulation of aurora B and BubR1 (8). Research studies have implicated Chk1 as a drug target for cancer therapy as its inhibition leads to cell death in many cancer cell lines (9).
Chk2 is the mammalian homologue of the budding yeast Rad53 and fission yeast Cds1 checkpoint kinases (5-7). The amino-terminal domain of Chk2 contains a series of seven serine or threonine residues (Ser19, Thr26, Ser28, Ser33, Ser35, Ser50 and Thr68) followed by glutamine (SQ or TQ motif). These are known to be preferred sites for phosphorylation by ATM/ATR kinases (8). Indeed, after DNA damage by ionizing radiation (IR), UV irradiation and DNA replication blocked by hydroxyurea, Thr68 and other sites in this region become phosphorylated by ATM/ATR (9-11). The SQ/TQ cluster domain, therefore, seems to have a regulatory function. Phosphorylation at Thr68 is a prerequisite for the subsequent activation step, which is attributable to autophosphorylation of Chk2 on residues Thr383 and Thr387 in the activation loop of the kinase domain (12).

Trademarks and Patents

Cell Signaling Technology is a trademark of Cell Signaling Technology, Inc.

All other trademarks are the property of their respective owners. Visit cellsignal.com/trademarks for more information.

Limited Uses

Except as otherwise expressly agreed in a writing signed by a legally authorized representative of CST, the following terms apply to Products provided by CST, its affiliates or its distributors. Any Customer's terms and conditions that are in addition to, or different from, those contained herein, unless separately accepted in writing by a legally authorized representative of CST, are rejected and are of no force or effect.

Products are labeled with For Research Use Only or a similar labeling statement and have not been approved, cleared, or licensed by the FDA or other regulatory foreign or domestic entity, for any purpose. Customer shall not use any Product for any diagnostic or therapeutic purpose, or otherwise in any manner that conflicts with its labeling statement. Products sold or licensed by CST are provided for Customer as the end-user and solely for research and development uses. Any use of Product for diagnostic, prophylactic or therapeutic purposes, or any purchase of Product for resale (alone or as a component) or other commercial purpose, requires a separate license from CST. Customer shall (a) not sell, license, loan, donate or otherwise transfer or make available any Product to any third party, whether alone or in combination with other materials, or use the Products to manufacture any commercial products, (b) not copy, modify, reverse engineer, decompile, disassemble or otherwise attempt to discover the underlying structure or technology of the Products, or use the Products for the purpose of developing any products or services that would compete with CST products or services, (c) not alter or remove from the Products any trademarks, trade names, logos, patent or copyright notices or markings, (d) use the Products solely in accordance with CST Product Terms of Sale and any applicable documentation, and (e) comply with any license, terms of service or similar agreement with respect to any third party products or services used by Customer in connection with the Products.

Orders: 877-616-CELL (2355) [email protected] Support: 877-678-TECH (8324) [email protected] Web: cellsignal.com
For Research Use Only. Not for Use in Diagnostic Procedures.

Revision 3

Cell Signaling Technology Logo
Western blot analysis of extracts from 293 and NIH/3T3 cells, untreated (-) or UV-treated (100 mJ, 1 hr recovery; +), using Phospho-Chk1 (Ser317) (D12H3) XP® Rabbit mAb. The blot on the right was treated with calf intestinal phosphatase (CIP) before western blot.
undefined Image 1: Phospho-Chk1/2 Antibody Sampler Kit
Western blot analysis of extracts from HeLa cells, untreated or UV-treated, using Phospho-Chk2 (Thr68) (C13C1) Rabbit mAb.
undefined Image 2: Phospho-Chk1/2 Antibody Sampler Kit
Western blot analysis of extracts from HeLa, COS, NIH/3T3 and C6 cells, untreated or UV-treated, using Phospho-Chk1 (Ser345) (133D30) Rabbit mAb.
undefined Image 3: Phospho-Chk1/2 Antibody Sampler Kit
Orders: 877-616-CELL (2355) [email protected] Support: 877-678-TECH (8324) [email protected] Web: cellsignal.com
For Research Use Only. Not for Use in Diagnostic Procedures.

Revision 3

Cell Signaling Technology Logo
Western blot analysis of extracts from Hela and Cos cells, untreated or treated with 100 mJ/cm2 UV light with 1 hour recovery, using Phospho-Chk1 (Ser296) Antibody.
undefined Image 4: Phospho-Chk1/2 Antibody Sampler Kit
Western blot analysis of extracts from various cell lines using Chk1 (2G1D5) Mouse mAb.
undefined Image 5: Phospho-Chk1/2 Antibody Sampler Kit
Immunohistochemical analysis of paraffin-embedded human oropharyngeal squamous cell carcinoma using Chk1 (2G1D5) Mouse mAb.
undefined Image 6: Phospho-Chk1/2 Antibody Sampler Kit
Orders: 877-616-CELL (2355) [email protected] Support: 877-678-TECH (8324) [email protected] Web: cellsignal.com
For Research Use Only. Not for Use in Diagnostic Procedures.

Revision 3

Cell Signaling Technology Logo
Western blot analysis of extracts from COS cells, untransfected (lane 1) or transfected with Wild-type Chk2 (lane 2), Chk2 (S19A) (lane 3), Chk2 (T26S28A) (lane 4), Chk2 (S33S35A) (lane 5) or Chk2 (T68A) (lane 6), using Phospho-Chk2 (Ser33/35) Antibody.
undefined Image 7: Phospho-Chk1/2 Antibody Sampler Kit
Western blot analysis of extracts from COS cells, untransfected (lane 1) or transfected with Wild-type Chk2 (lane 2), Chk2 (S19A) (lane 3), Chk2 (T26S28A) (lane 4), Chk2 (S33S35A) (lane 5) or Chk2 (T68A) (lane 6), using Phospho-Chk2 (Ser19) Antibody.
undefined Image 8: Phospho-Chk1/2 Antibody Sampler Kit
Western blot analysis of extracts from 293 cells, untreated or UV-treated (50 mJ/cm2, 2hrs), using Phospho-Chk2 (Ser516) Antibody (upper) or Chk2 Antibody #2662 (lower).
undefined Image 9: Phospho-Chk1/2 Antibody Sampler Kit
Orders: 877-616-CELL (2355) [email protected] Support: 877-678-TECH (8324) [email protected] Web: cellsignal.com
For Research Use Only. Not for Use in Diagnostic Procedures.

Revision 3

Cell Signaling Technology Logo
Western blot analysis of extracts from control HeLa cells (lane 1) or HeLa cells with a targeted mutation in the gene encoding Chk2 (lane 2) using Chk2 (D9C6) Rabbit mAb (upper) or β-Actin (D6A8) Rabbit mAb #8457 (lower). The change in Chk2 molecular weight in the mutated HeLa cells confirms the specificity of the antibody for Chk2.
undefined Image 10: Phospho-Chk1/2 Antibody Sampler Kit
After the primary antibody is bound to the target protein, a complex with HRP-linked secondary antibody is formed. The LumiGLO® is added and emits light during enzyme catalyzed decomposition.
undefined Image 11: Phospho-Chk1/2 Antibody Sampler Kit
Immunoprecipitation of phospho-Chk1 (Ser317) from 293 cell extracts treated with UV (100 mJ, 1 hr recovery) using Phospho-Chk1 (Ser317) (D12H3) XP® Rabbit mAb (lane 2) or Rabbit (D1AG) mAb IgG XP® Isotype Control #3900 (lane 3). Lane 1 is 10% input.
undefined Image 12: Phospho-Chk1/2 Antibody Sampler Kit
Orders: 877-616-CELL (2355) [email protected] Support: 877-678-TECH (8324) [email protected] Web: cellsignal.com
For Research Use Only. Not for Use in Diagnostic Procedures.

Revision 3

Cell Signaling Technology Logo
Confocal immunofluorescent analysis of C2C12 cells, untreated (left) or UV-treated (right), using Phospho-Chk1 (Ser345) (133D3) Rabbit mAb (green). Actin filaments have been labeled with DY-554 phalloidin (red).
undefined Image 13: Phospho-Chk1/2 Antibody Sampler Kit
Western blot analysis of extracts from HeLa cells, transfected with 100 nM SignalSilence® Control siRNA (Fluorescein Conjugate) #6201 (-) or SignalSilence® Chk1 siRNA I #6241 or SignalSilence® Chk1 siRNA II (+), using Chk1 (2G1D5) Mouse mAb #2360 and β-Actin (13E5) Rabbit mAb #4970. Chk1 (2G1D5) Mouse mAb confirms silencing of Chk1 expression and β-Actin (13E5) Rabbit mAb is used to control for loading and specificity of Chk1 siRNA.
undefined Image 14: Phospho-Chk1/2 Antibody Sampler Kit
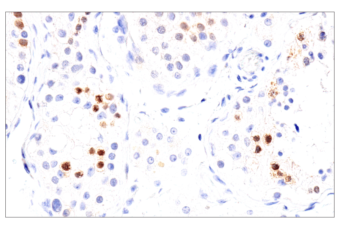
Immunohistochemical analysis of paraffin-embedded human thymoma using Chk1 (2G1D5) Mouse mAb.
undefined Image 15: Phospho-Chk1/2 Antibody Sampler Kit
Orders: 877-616-CELL (2355) [email protected] Support: 877-678-TECH (8324) [email protected] Web: cellsignal.com
For Research Use Only. Not for Use in Diagnostic Procedures.

Revision 3

Cell Signaling Technology Logo
Western blot analysis of extracts from HeLa cells treated with UV for the indicated times, using Phospho-Chk2 (Ser33/35) Antibody.
undefined Image 16: Phospho-Chk1/2 Antibody Sampler Kit
Western blot analysis of extracts from HeLa cells treated with UV for the indicated times, using Phospho-Chk2 (Ser19) Antibody.
undefined Image 17: Phospho-Chk1/2 Antibody Sampler Kit
Western blot analysis of extracts from various cell lines using Chk2 (D9C6) Rabbit mAb.
undefined Image 18: Phospho-Chk1/2 Antibody Sampler Kit
Orders: 877-616-CELL (2355) [email protected] Support: 877-678-TECH (8324) [email protected] Web: cellsignal.com
For Research Use Only. Not for Use in Diagnostic Procedures.

Revision 3

Cell Signaling Technology Logo
Confocal immunofluorescent analysis of HeLa cells, untreated (left), UV-treated (center), or UV and λ phosphatase-treated (right), using Phospho-Chk1 (Ser317) (D12H3) XP® Rabbit mAb (green). Actin filaments were labeled with DY-554 phalloidin (red).
undefined Image 19: Phospho-Chk1/2 Antibody Sampler Kit
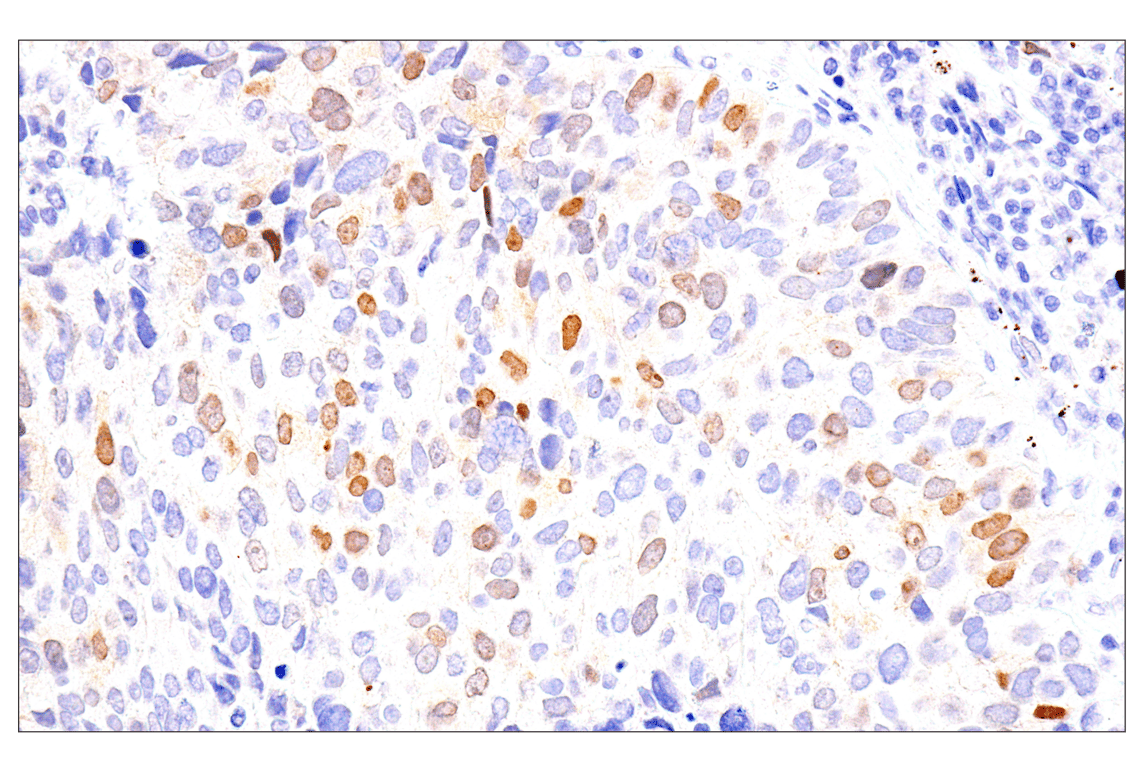
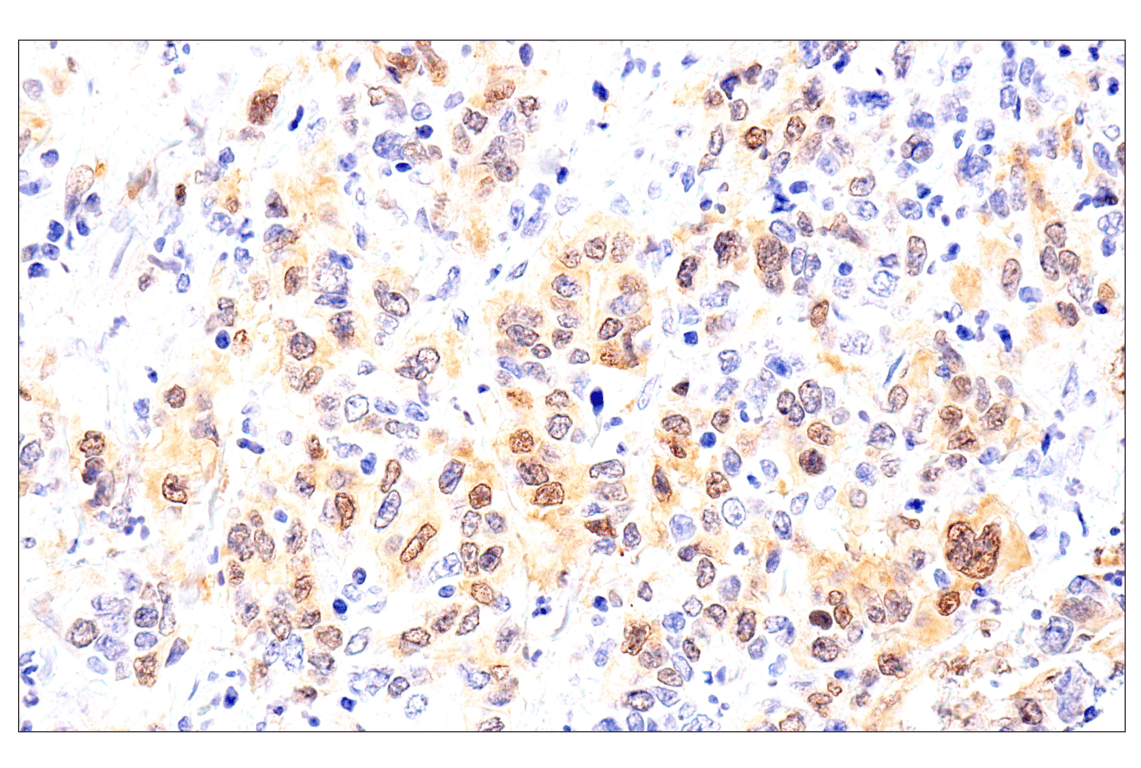
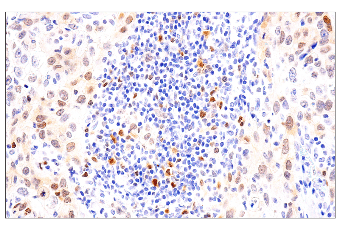
Immunohistochemical analysis of paraffin-embedded human breast carcinoma using Phospho-Chk2 (Thr68) (C13C1) Rabbit mAb.
undefined Image 20: Phospho-Chk1/2 Antibody Sampler Kit
Flow cytometric analysis of HeLa cells, untreated (blue) and UV-treated (100 mJ/cm2, 1 hr recovery; green), using Phospho-Chk1 (Ser345) (133D3) Rabbit mAb.
undefined Image 21: Phospho-Chk1/2 Antibody Sampler Kit
Orders: 877-616-CELL (2355) [email protected] Support: 877-678-TECH (8324) [email protected] Web: cellsignal.com
For Research Use Only. Not for Use in Diagnostic Procedures.

Revision 3

Cell Signaling Technology Logo
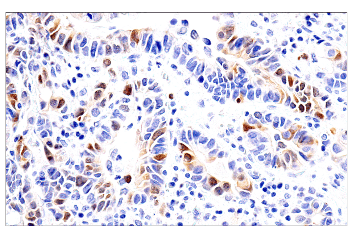
Immunohistochemical analysis of paraffin-embedded human squamous cell lung carcinoma using Chk1 (2G1D5) Mouse mAb.
undefined Image 22: Phospho-Chk1/2 Antibody Sampler Kit
Immunoprecipitation of Chk2 from 293 cell extracts using Chk2 (D9C6) Rabbit mAb (lane 2). Western blot detection was performed using the same antibody. Lane 1 is 10% input.
undefined Image 23: Phospho-Chk1/2 Antibody Sampler Kit
Immunohistochemical analysis of paraffin-embedded human colon carcinoma, control (left) or λ phosphatase-treated (right), using Phospho-Chk2 (Thr68) (C13C1) Rabbit mAb.
undefined Image 24: Phospho-Chk1/2 Antibody Sampler Kit
Orders: 877-616-CELL (2355) [email protected] Support: 877-678-TECH (8324) [email protected] Web: cellsignal.com
For Research Use Only. Not for Use in Diagnostic Procedures.

Revision 3

Cell Signaling Technology Logo
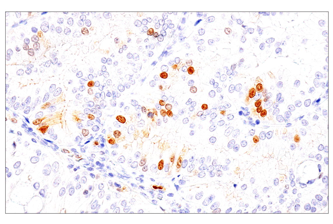
Immunohistochemical analysis of paraffin-embedded human esophageal adenocarcinoma using Chk1 (2G1D5) Mouse mAb.
undefined Image 25: Phospho-Chk1/2 Antibody Sampler Kit
Immunohistochemical analysis of paraffin-embedded human lung carcinoma using Phospho-Chk2 (Thr68) (C13C1) Rabbit mAb.
undefined Image 26: Phospho-Chk1/2 Antibody Sampler Kit
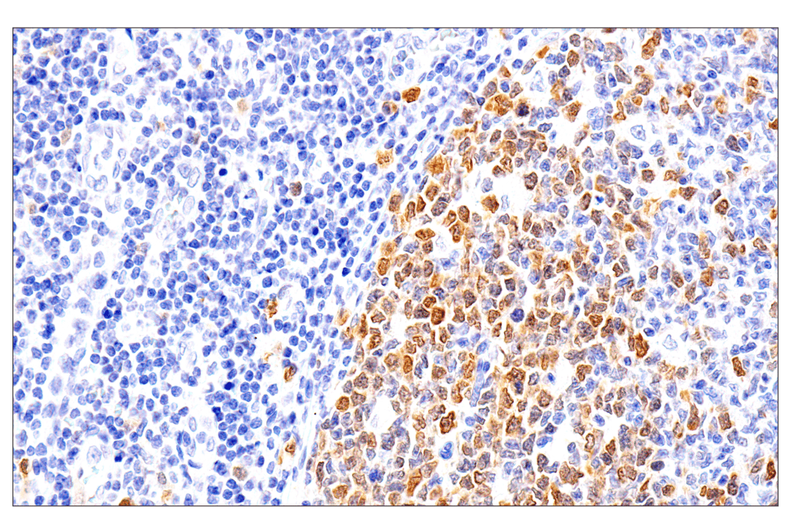
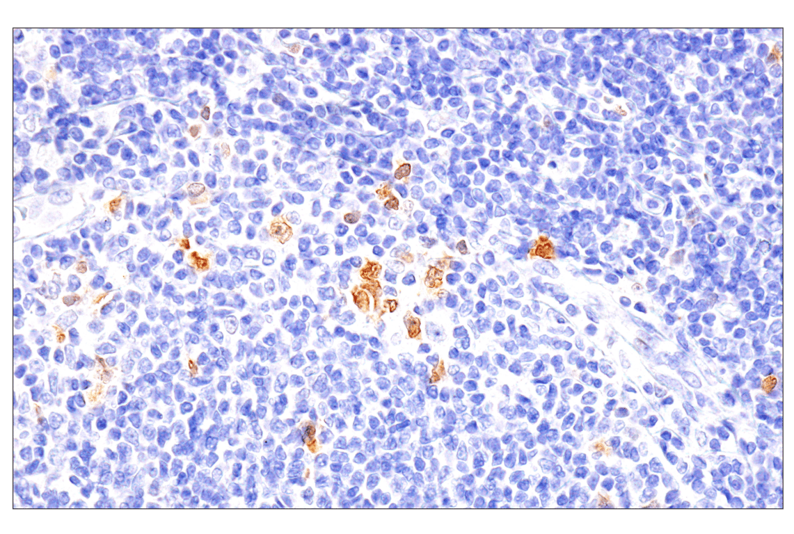
Immunohistochemical analysis of paraffin-embedded human Non-Hodgkin lymphoma using Chk1 (2G1D5) Mouse mAb.
undefined Image 27: Phospho-Chk1/2 Antibody Sampler Kit
Orders: 877-616-CELL (2355) [email protected] Support: 877-678-TECH (8324) [email protected] Web: cellsignal.com
For Research Use Only. Not for Use in Diagnostic Procedures.

Revision 3

Cell Signaling Technology Logo
Immunohistochemical analysis of paraffin-embedded human urothelial carcinoma using Chk1 (2G1D5) Mouse mAb.
undefined Image 28: Phospho-Chk1/2 Antibody Sampler Kit
Immunohistochemical analysis of paraffin-embedded human gastric adenocarcinoma using Chk1 (2G1D5) Mouse mAb.
undefined Image 29: Phospho-Chk1/2 Antibody Sampler Kit
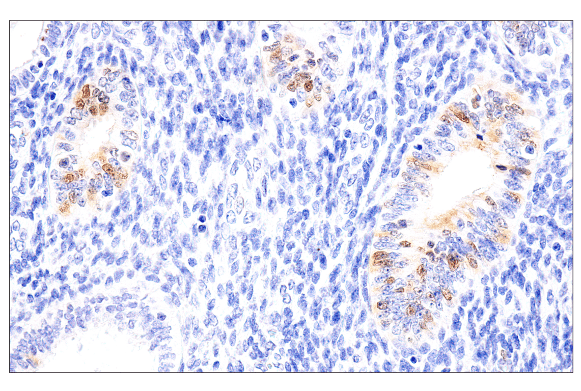
Immunohistochemical analysis of paraffin-embedded human endometrial cancer using Chk1 (2G1D5) Mouse mAb.
undefined Image 30: Phospho-Chk1/2 Antibody Sampler Kit
Orders: 877-616-CELL (2355) [email protected] Support: 877-678-TECH (8324) [email protected] Web: cellsignal.com
For Research Use Only. Not for Use in Diagnostic Procedures.

Revision 3

Cell Signaling Technology Logo
Immunohistochemical analysis of paraffin-embedded normal human uterus using Chk1 (2G1D5) Mouse mAb.
undefined Image 31: Phospho-Chk1/2 Antibody Sampler Kit
Immunohistochemical analysis of paraffin-embedded HCT 116 cell pellets, control (top) or CRISPR/Cas9 Chk2 knockout (KO) (bottom), untreated (left) or UV-treated (100 mJ, 2 hr recovery, right) using Phospho-Chk2 (Thr68) (C13C1) Rabbit mAb.
undefined Image 32: Phospho-Chk1/2 Antibody Sampler Kit
Immunohistochemical analysis of paraffin-embedded human tonsil using Chk1 (2G1D5) Mouse mAb.
undefined Image 33: Phospho-Chk1/2 Antibody Sampler Kit
Orders: 877-616-CELL (2355) [email protected] Support: 877-678-TECH (8324) [email protected] Web: cellsignal.com
For Research Use Only. Not for Use in Diagnostic Procedures.

Revision 3

Cell Signaling Technology Logo
Immunohistochemical analysis of paraffin-embedded normal human esophagus using Chk1 (2G1D5) Mouse mAb.
undefined Image 34: Phospho-Chk1/2 Antibody Sampler Kit
Immunohistochemical analysis of paraffin-embedded normal human testis using Chk1 (2G1D5) Mouse mAb.
undefined Image 35: Phospho-Chk1/2 Antibody Sampler Kit
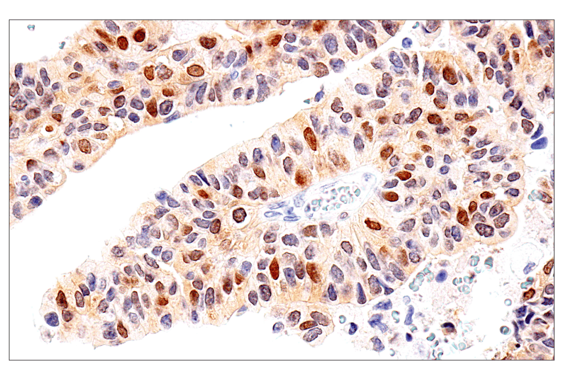
Immunohistochemical analysis of paraffin-embedded normal human small intestine using Chk1 (2G1D5) Mouse mAb (left) compared to concentration-matched Mouse (G3A1) mAb IgG1 Isotype Control #5415 (right). 
undefined Image 36: Phospho-Chk1/2 Antibody Sampler Kit
Orders: 877-616-CELL (2355) [email protected] Support: 877-678-TECH (8324) [email protected] Web: cellsignal.com
For Research Use Only. Not for Use in Diagnostic Procedures.

Revision 3

Cell Signaling Technology Logo
Immunohistochemical analysis of paraffin-embedded 293T cell pellet (left, high-expressing) or SK-MEL-28 cell pellet (right, low-expressing) using Chk1 (2G1D5) Mouse mAb.
undefined Image 37: Phospho-Chk1/2 Antibody Sampler Kit
Simple Western™ analysis of lysates (0.1 mg/mL) from HEK 293 cells treated with UV (50 mJ, 30 min recovery) using Phospho-Chk2 (Thr68) (C13C1) Rabbit mAb #2197. The virtual lane view (left) shows a single target band (as indicated) at 1:50 and 1:250 dilutions of primary antibody. The corresponding electropherogram view (right) plots chemiluminescence by molecular weight along the capillary at 1:50 (blue line) and 1:250 (green line) dilutions of primary antibody. This experiment was performed under reducing conditions on the Jess™ Simple Western instrument from ProteinSimple, a BioTechne brand, using the 12-230 kDa separation module.
undefined Image 38: Phospho-Chk1/2 Antibody Sampler Kit
Immunoprecipitation of Phospho-Chk2 (Thr68) from HeLa cell extracts. Cells were treated with Staurosporine (1uM, 3hrs.) Lane 1 is 10% input, lane 2 is Rabbit (DA1E) mAb IgG XP® Isotype Control #3900, and lane 3 is Phospho-Chk2 (Thr68) (C13C1) Rabbit mAb. Western blot analysis was performed using Phospho-Chk2 (Thr68) (C13C1) Rabbit mAb. Mouse Anti-rabbit IgG (Conformation Specific) (L27A9) mAb #3678 was used as a secondary antibody.
undefined Image 39: Phospho-Chk1/2 Antibody Sampler Kit
Orders: 877-616-CELL (2355) [email protected] Support: 877-678-TECH (8324) [email protected] Web: cellsignal.com
For Research Use Only. Not for Use in Diagnostic Procedures.

Revision 3

Cell Signaling Technology Logo
Simple Western™ analysis of lysates (0.1 mg/mL) from HeLa cells treated with UV (100mJ/cm2; 2 hour recovery) using Phospho-Chk1 (Ser345) (133D3) Rabbit mAb #2348. The virtual lane view (left) shows a single target band (as indicated) at 1:10 and 1:50 dilutions of primary antibody. The corresponding electropherogram view (right) plots chemiluminescence by molecular weight along the capillary at 1:10 (blue line) and 1:50 (green line) dilutions of primary antibody. This experiment was performed under reducing conditions on the Jess™ ​​​​​​​ Simple Western instrument from ProteinSimple, a BioTechne brand, using the 12-230 kDa separation module.
undefined Image 40: Phospho-Chk1/2 Antibody Sampler Kit
Simple Western™ analysis of lysates (1.0 mg/mL) from HeLa cells using Chk1 (2G1D5) Mouse mAb #2360. The virtual lane view (left) shows a single target band (as indicated) at 1:10 and 1:50 dilutions of primary antibody. The corresponding electropherogram view (right) plots chemiluminescence by molecular weight along the capillary at 1:10 (blue line) and 1:50 (green line) dilutions of primary antibody. This experiment was performed under reducing conditions on the Jess™ Simple Western instrument from ProteinSimple, a BioTechne brand, using the 12-230 kDa separation module.
undefined Image 41: Phospho-Chk1/2 Antibody Sampler Kit
Confocal immunofluorescent analysis of NCI H358 cells (left, high-expressing) and MIA PaCa-2 cells (right, low-expressing) using Chk1 (2G1D5) Mouse mAb (green), p21 Waf1/Cip1 (12D1) Rabbit mAb #2947 (red), and DAPI #4083 (blue).
undefined Image 42: Phospho-Chk1/2 Antibody Sampler Kit
Orders: 877-616-CELL (2355) [email protected] Support: 877-678-TECH (8324) [email protected] Web: cellsignal.com
For Research Use Only. Not for Use in Diagnostic Procedures.

Revision 3

Cell Signaling Technology Logo
Confocal immunofluorescent analysis of NCI-H358 cells (left, high-expressing) and MIA PaCa-2 cells (right, low-expressing) using Chk1 (2G1D5) Mouse (green), p21 Waf1/Cip1 (12D1) Rabbit mAb #2947 (red), and DAPI #4083 (blue).
undefined Image 43: Phospho-Chk1/2 Antibody Sampler Kit
Simple WesternTM analysis of lysates (0.1 mg/mL) from HCT116 cells using Chk2 (D9C6) Rabbit mAb #6334. The virtual lane view (left) shows the target band (as indicated) at 1:10 and 1:50 dilutions of primary antibody. The corresponding electropherogram view (right) plots chemiluminescence by molecular weight along the capillary at 1:10 (blue line) and 1:50 (green line) dilutions of primary antibody. This experiment was performed under reducing conditions on the JessTM Simple Western instrument from ProteinSimple, a BioTechne brand, using the 12-230 kDa separation module.
undefined Image 44: Phospho-Chk1/2 Antibody Sampler Kit
Orders: 877-616-CELL (2355) [email protected] Support: 877-678-TECH (8324) [email protected] Web: cellsignal.com
For Research Use Only. Not for Use in Diagnostic Procedures.