Revision 3

#8738

Store at -20C

CST Logo
Orders:

877-616-CELL (2355)

[email protected]

Support:

877-678-TECH (8324)

3 Trask Lane | Danvers | Massachusetts | 01923 | USA

For Research Use Only. Not for Use in Diagnostic Procedures.

Applications:
W

Reactivity:
All

Sensitivity:
Endogenous

Source/Isotype:
Rabbit

Product Usage Information

Application Dilution
Western Blotting 1:1000

Storage

Supplied in 10 mM sodium HEPES (pH 7.5), 150 mM NaCl, 100 µg/ml BSA, 50% glycerol and less than 0.02% sodium azide. Store at –20°C. Do not aliquot the antibody.

Specificity/Sensitivity

Phospho-CK2 Substrate [(pS/pT)DXE] MultiMab® Rabbit Monoclonal Antibody mix recognizes endogenous proteins containing a pS/pTDXE motif, which is a CK2 phosphorylation consensus sequence. This antibody is a useful tool to study CK2 substrates.

Source / Purification

MultiMab® rabbit monoclonal mix antibodies are prepared by combining individual rabbit monoclonal clones in optimized ratios for the approved applications. Each antibody in the mix is carefully selected based on motif recognition and performance in multiple assays. Each mix is engineered to yield the broadest possible coverage of the modification being studied while ensuring a high degree of specificity for the modification or motif.

Background

Casein Kinase II (CK2) is a highly conserved, ubiquitously expressed, and constitutively active tetrameric Ser/Thr protein kinase with hundreds of substrates participating in the regulation of a variety of cellular processes including cell cycle progression, apoptosis, transcription, inflammation, and the DNA damage response. Research studies have implicated CK2 in roles related to viral infection, cancer, and other diseases (1-5). CK2 substrates contain multiple acidic residues (Asp and Glu) located downstream of the phosphorylated Ser or Thr residue. The consensus sequence for CK2 substrates is pS/pTD/EXD/E with the most crucial residue at the +3 position followed by the residue at the +1 position (6).

Species Reactivity

Species reactivity is determined by testing in at least one approved application (e.g., western blot).

Western Blot Buffer

IMPORTANT: For western blots, incubate membrane with diluted primary antibody in 5% w/v BSA, 1X TBS, 0.1% Tween® 20 at 4°C with gentle shaking, overnight.

Applications Key

W: Western Blotting

Cross-Reactivity Key

All: All Species Expected

Trademarks and Patents

Cell Signaling Technology is a trademark of Cell Signaling Technology, Inc.

MultiMab is a registered trademark of Cell Signaling Technology, Inc.

All other trademarks are the property of their respective owners. Visit cellsignal.com/trademarks for more information.

Limited Uses

Except as otherwise expressly agreed in a writing signed by a legally authorized representative of CST, the following terms apply to Products provided by CST, its affiliates or its distributors. Any Customer's terms and conditions that are in addition to, or different from, those contained herein, unless separately accepted in writing by a legally authorized representative of CST, are rejected and are of no force or effect.

Products are labeled with For Research Use Only or a similar labeling statement and have not been approved, cleared, or licensed by the FDA or other regulatory foreign or domestic entity, for any purpose. Customer shall not use any Product for any diagnostic or therapeutic purpose, or otherwise in any manner that conflicts with its labeling statement. Products sold or licensed by CST are provided for Customer as the end-user and solely for research and development uses. Any use of Product for diagnostic, prophylactic or therapeutic purposes, or any purchase of Product for resale (alone or as a component) or other commercial purpose, requires a separate license from CST. Customer shall (a) not sell, license, loan, donate or otherwise transfer or make available any Product to any third party, whether alone or in combination with other materials, or use the Products to manufacture any commercial products, (b) not copy, modify, reverse engineer, decompile, disassemble or otherwise attempt to discover the underlying structure or technology of the Products, or use the Products for the purpose of developing any products or services that would compete with CST products or services, (c) not alter or remove from the Products any trademarks, trade names, logos, patent or copyright notices or markings, (d) use the Products solely in accordance with CST Product Terms of Sale and any applicable documentation, and (e) comply with any license, terms of service or similar agreement with respect to any third party products or services used by Customer in connection with the Products.

Orders: 877-616-CELL (2355) [email protected] Support: 877-678-TECH (8324) [email protected] Web: cellsignal.com
For Research Use Only. Not for Use in Diagnostic Procedures.

Revision 3

Cell Signaling Technology Logo
Western blot analysis of extracts from HeLa cells, untreated or treated with Calyculin A #9902 (10 nM, 30 min) or Staurosporine #9953 (1 μM, 3 hr), using Phospho-CK2 Substrate [(pS/pT)DXE] MultiMab® Rabbit mAb mix.
Western Blotting Image 1: Phospho-CK2 Substrate [(pS/pT)DXE] MultiMab<sup>®</sup> Rabbit Monoclonal Antibody mix
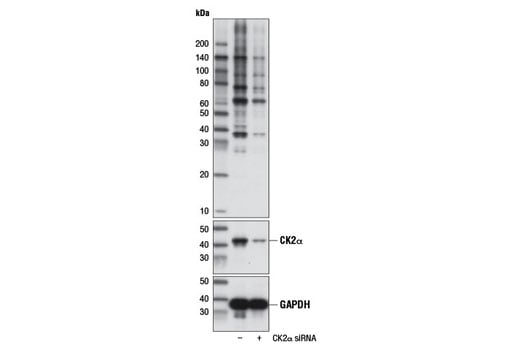
Western blot analysis of extracts from HeLa cells, transfected with SignalSilence® Control siRNA (Unconjugated) #6568 (-) or SignalSilence® CK2α siRNA I #6389 (+), using Phospho-CK2 Substrate [(pS/pT)DXE] MultiMab® Rabbit mAb mix (upper), CK2α Antibody #2656 (middle), or GAPDH (D16H11) XP® Rabbit mAb #5174 (lower).
Western Blotting Image 2: Phospho-CK2 Substrate [(pS/pT)DXE] MultiMab<sup>®</sup> Rabbit Monoclonal Antibody mix
Orders: 877-616-CELL (2355) [email protected] Support: 877-678-TECH (8324) [email protected] Web: cellsignal.com
For Research Use Only. Not for Use in Diagnostic Procedures.