Revision 10

#9198

Store at -20C

CST Logo
Orders:

877-616-CELL (2355)

[email protected]

Support:

877-678-TECH (8324)

3 Trask Lane | Danvers | Massachusetts | 01923 | USA

For Research Use Only. Not for Use in Diagnostic Procedures.

Applications:
W, W-S, IHC-P, IF-F, IF-IC, FC-FP, ChIP, ChIP-seq, C&R, C&T

Reactivity:
H M R

Sensitivity:
Endogenous

MW (kDa):
43

Source/Isotype:
Rabbit IgG

UniProt ID:
#P16220

Entrez-Gene Id:
1385

Product Usage Information

For optimal ChIP and ChIP-seq results, use 10 μl of antibody and 10 μg of chromatin (approximately 4 x 106 cells) per IP. This antibody has been validated using SimpleChIP® Enzymatic Chromatin IP Kits.

The CUT&RUN dilution was determined using CUT&RUN Assay Kit #86652.

The CUT&Tag dilution was determined using CUT&Tag Assay Kit #77552.
Application Dilution
Western Blotting 1:1000
Simple Western™ 1:10 - 1:50
Immunohistochemistry (Paraffin) 1:400 - 1:1600
Immunofluorescence (Frozen) 1:400 - 1:1600
Immunofluorescence (Immunocytochemistry) 1:400 - 1:1600
Flow Cytometry (Fixed/Permeabilized) 1:400 - 1:1600
Chromatin IP 1:50
Chromatin IP-seq 1:50
CUT&RUN 1:50
CUT&Tag 1:50

Storage

Supplied in 10 mM sodium HEPES (pH 7.5), 150 mM NaCl, 100 µg/ml BSA, 50% glycerol and less than 0.02% sodium azide. Store at –20°C. Do not aliquot the antibody.

For a carrier free (BSA and azide free) version of this product see product #39561.

Specificity/Sensitivity

Phospho-CREB (Ser133) (87G3) Rabbit Monoclonal Antibody detects endogenous levels of CREB only when phosphorylated at serine 133. This antibody also detects the phosphorylated form of the CREB-related protein, ATF-1.

Species predicted to react based on 100% sequence homology

Zebrafish

Source / Purification

Monoclonal antibody is produced by immunizing animals with a synthetic phosphopeptide corresponding to residues surrounding Ser133 of human CREB.

Background

CREB is a bZIP transcription factor that activates target genes through cAMP response elements. CREB is able to mediate signals from numerous physiological stimuli, resulting in regulation of a broad array of cellular responses. While CREB is expressed in numerous tissues, it plays a large regulatory role in the nervous system. CREB is believed to play a key role in promoting neuronal survival, precursor proliferation, neurite outgrowth, and neuronal differentiation in certain neuronal populations (1-3). Additionally, CREB signaling is involved in learning and memory in several organisms (4-6). CREB is able to selectively activate numerous downstream genes through interactions with different dimerization partners. CREB is activated by phosphorylation at Ser133 by various signaling pathways, including Erk, Ca2+, and stress signaling. Some of the kinases involved in phosphorylating CREB at Ser133 are p90RSK, MSK, CaMKIV, and MAPKAPK-2 (7-9).

Species Reactivity

Species reactivity is determined by testing in at least one approved application (e.g., western blot).

Western Blot Buffer

IMPORTANT: For western blots, incubate membrane with diluted primary antibody in 5% w/v BSA, 1X TBS, 0.1% Tween® 20 at 4°C with gentle shaking, overnight.

Applications Key

W: Western Blotting W-S: Simple Western™ IHC-P: Immunohistochemistry (Paraffin) IF-F: Immunofluorescence (Frozen) IF-IC: Immunofluorescence (Immunocytochemistry) FC-FP: Flow Cytometry (Fixed/Permeabilized) ChIP: Chromatin IP ChIP-seq: Chromatin IP-seq C&R: CUT&RUN C&T: CUT&Tag

Cross-Reactivity Key

H: Human M: Mouse R: Rat

Trademarks and Patents

Cell Signaling Technology is a trademark of Cell Signaling Technology, Inc.

Alexa Fluor is a registered trademark of Life Technologies Corporation.

All other trademarks are the property of their respective owners. Visit cellsignal.com/trademarks for more information.

Limited Uses

Except as otherwise expressly agreed in a writing signed by a legally authorized representative of CST, the following terms apply to Products provided by CST, its affiliates or its distributors. Any Customer's terms and conditions that are in addition to, or different from, those contained herein, unless separately accepted in writing by a legally authorized representative of CST, are rejected and are of no force or effect.

Products are labeled with For Research Use Only or a similar labeling statement and have not been approved, cleared, or licensed by the FDA or other regulatory foreign or domestic entity, for any purpose. Customer shall not use any Product for any diagnostic or therapeutic purpose, or otherwise in any manner that conflicts with its labeling statement. Products sold or licensed by CST are provided for Customer as the end-user and solely for research and development uses. Any use of Product for diagnostic, prophylactic or therapeutic purposes, or any purchase of Product for resale (alone or as a component) or other commercial purpose, requires a separate license from CST. Customer shall (a) not sell, license, loan, donate or otherwise transfer or make available any Product to any third party, whether alone or in combination with other materials, or use the Products to manufacture any commercial products, (b) not copy, modify, reverse engineer, decompile, disassemble or otherwise attempt to discover the underlying structure or technology of the Products, or use the Products for the purpose of developing any products or services that would compete with CST products or services, (c) not alter or remove from the Products any trademarks, trade names, logos, patent or copyright notices or markings, (d) use the Products solely in accordance with CST Product Terms of Sale and any applicable documentation, and (e) comply with any license, terms of service or similar agreement with respect to any third party products or services used by Customer in connection with the Products.

Orders: 877-616-CELL (2355) [email protected] Support: 877-678-TECH (8324) [email protected] Web: cellsignal.com
For Research Use Only. Not for Use in Diagnostic Procedures.

Revision 10

Cell Signaling Technology Logo
Western blot analysis of extracts from SK-N-MC cells, untreated or forskolin- and FGF-treated, using Phospho-CREB (Ser133) (87G3) Rabbit mAb (upper) or CREB (48H2) Rabbit mAb #9197 (lower).
Western Blotting Image 1: Phospho-CREB (Ser133) (87G3) Rabbit Monoclonal Antibody
Simple Western™ analysis of lysates (0.1 mg/mL) from SK-N-MC cells treated with Forskolin (30uM, 30min) and IBMX (0.5mM, 30 min) using Phospho-CREB (Ser133) (87G3) Rabbit mAb #9198. The virtual lane view (left) shows the target band (as indicated) at 1:10 and 1:50 dilutions of primary antibody. This antibody also detects the phosphorylated form of the CREB-related protein, ATF-1 (as indicated). The corresponding electropherogram view (right) plots chemiluminescence by molecular weight along the capillary at 1:10 (blue line) and 1:50 (green line) dilutions of primary antibody. This experiment was performed under reducing conditions on the Jess™ ​​​​​​​Simple Western instrument from ProteinSimple, a BioTechne brand, using the 12-230 kDa separation module.
Western Blotting Image 1: Phospho-CREB (Ser133) (87G3) Rabbit Monoclonal Antibody
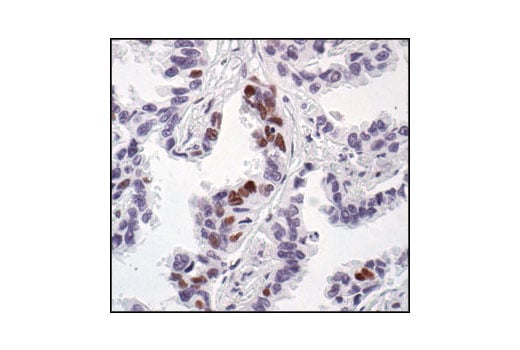
Immunohistochemical analysis of paraffin-embedded human lung carcinoma, showing nuclear staining, using Phospho-CREB (Ser133) (87G3) Rabbit mAb.
Immunohistochemistry Image 1: Phospho-CREB (Ser133) (87G3) Rabbit Monoclonal Antibody
Orders: 877-616-CELL (2355) [email protected] Support: 877-678-TECH (8324) [email protected] Web: cellsignal.com
For Research Use Only. Not for Use in Diagnostic Procedures.

Revision 10

Cell Signaling Technology Logo
Immunohistochemical analysis of paraffin-embedded mouse lung using Phospho-CREB (Ser133) (87G3) Rabbit mAb.
Immunohistochemistry Image 2: Phospho-CREB (Ser133) (87G3) Rabbit Monoclonal Antibody
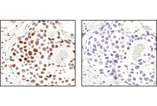
Immunohistochemical analysis of paraffin-embedded human breast carcinoma, using Phospho-CREB (Ser133) (87G3) Rabbit mAb in the presence of control peptide (left) or Phospho-CREB (Ser133) Blocking Peptide #1090 (right).
Immunohistochemistry Image 3: Phospho-CREB (Ser133) (87G3) Rabbit Monoclonal Antibody
Immunohistochemical analysis of paraffin-embedded SK-N-MC cells, untreated (left) or IBMX- and forskolin-treated (right), showing induced nuclear staining, using Phospho-CREB (Ser133) (87G3) Rabbit mAb.
Immunohistochemistry Image 4: Phospho-CREB (Ser133) (87G3) Rabbit Monoclonal Antibody
Orders: 877-616-CELL (2355) [email protected] Support: 877-678-TECH (8324) [email protected] Web: cellsignal.com
For Research Use Only. Not for Use in Diagnostic Procedures.

Revision 10

Cell Signaling Technology Logo
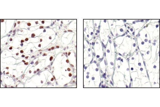
Immunohistochemical analysis of paraffin-embedded human renal cell carcinoma, untreated (left) or lambda phosphatase-treated (right), using Phospho-CREB (Ser133) (87G3) Rabbit mAb.
Immunohistochemistry Image 5: Phospho-CREB (Ser133) (87G3) Rabbit Monoclonal Antibody
Confocal immunofluorescent images of rat dentate gyrus, either sham-operated (left) or 15 min ischemia followed by 30 min (center) and 4 h (right) reperfusion, labeled with Phospho-CREB (Ser133) (87G3) Rabbit mAb (red), Neurofilament-L (DA2) Mouse mAb #2835 (blue) and Phospho-S6 Ribosomal Protein (Ser235/236) (2F9) Rabbit mAb (Alexa Fluor® 488 Conjugate) #4854.
Immunofluorescence Image 1: Phospho-CREB (Ser133) (87G3) Rabbit Monoclonal Antibody
Confocal microscopic images of SK-N-MC cells showing nuclear stain after 25 minute treatment with Forskolin and IBMX using Phospho-CREB (Ser133) (87G3) Rabbit mAb (left, red) compared to untreated cells (right). Blue pseudocolor = DRAQ5® #4084 (fluorescent DNA dye).
Immunofluorescence Image 1: Phospho-CREB (Ser133) (87G3) Rabbit Monoclonal Antibody
Orders: 877-616-CELL (2355) [email protected] Support: 877-678-TECH (8324) [email protected] Web: cellsignal.com
For Research Use Only. Not for Use in Diagnostic Procedures.

Revision 10

Cell Signaling Technology Logo
Flow cytometric analysis of Jurkat cells, untreated (blue) or treated with TPA #4174 (500nM) and Ionomycin #9995 (1uM,4hrs;green) using Phospho-CREB (Ser133) (87G3) Rabbit mAb (solid lines) or concentration-matched Rabbit (DA1E) mAb IgG XP® Isotype Control #3900 (dashed lines). Anti-rabbit IgG (H+L), F(ab')2 Fragment (Alexa Fluor® 488 Conjugate) #4412 was used as a secondary antibody.
Flow Cytometry Image 1: Phospho-CREB (Ser133) (87G3) Rabbit Monoclonal Antibody
Chromatin immunoprecipitations were performed with cross-linked chromatin from 293 cells treated with Forskolin #3828 (30 μM) for 1h and either Phospho-CREB (Ser133) (87G3) Rabbit mAb or CREB (48H2) Rabbit mAb (#9197), using SimpleChIP® Enzymatic Chromatin IP Kit (Magnetic Beads) #9005. DNA Libraries were prepared using SimpleChIP® ChIP-seq DNA Library Prep Kit for Illumina® (ChIP-seq, CUT&RUN) #56795. The figure shows binding across NR4A3, a known target gene of both Phospho-CREB and CREB (see additional figure containing ChIP-qPCR data).
Chromatin Immunoprecipitation Image 1: Phospho-CREB (Ser133) (87G3) Rabbit Monoclonal Antibody
Chromatin immunoprecipitations were performed with cross-linked chromatin from 293 cells treated with Forskolin #3828 (30 μM) for 1h and either Phospho-CREB (Ser133) (87G3) Rabbit mAb or CREB (48H2) Rabbit mAb (#9197), using SimpleChIP® Enzymatic Chromatin IP Kit (Magnetic Beads) #9005. DNA Libraries were prepared using SimpleChIP® ChIP-seq DNA Library Prep Kit for Illumina® (ChIP-seq, CUT&RUN) #56795. The figure shows binding across chromosome 9 (upper), including NR4A3 (lower), a known target gene of both Phospho-CREB and CREB (see additional figure containing ChIP-qPCR data).
Chromatin Immunoprecipitation Image 2: Phospho-CREB (Ser133) (87G3) Rabbit Monoclonal Antibody
Orders: 877-616-CELL (2355) [email protected] Support: 877-678-TECH (8324) [email protected] Web: cellsignal.com
For Research Use Only. Not for Use in Diagnostic Procedures.

Revision 10

Cell Signaling Technology Logo
Chromatin immunoprecipitations were performed with cross-linked chromatin from 293 cells treated with Forskolin #3828 (30 μM) for 1h and either Phospho-CREB (Ser133) (87G3) Rabbit mAb or Normal Rabbit IgG #2729 using SimpleChIP® Enzymatic Chromatin IP Kit (Magnetic Beads) #9003. The enriched DNA was quantified by real-time PCR using human ALS2 exon 1 primers, SimpleChIP® Human NR4A3 Promoter Primers #4829, and SimpleChIP® Human α Satellite Repeat Primers #4486. The amount of immunoprecipitated DNA in each sample is represented as signal relative to the total amount of input chromatin, which is equivalent to one.
Chromatin Immunoprecipitation Image 3: Phospho-CREB (Ser133) (87G3) Rabbit Monoclonal Antibody
CUT&RUN was performed with 293 cells treated with Forskolin #3828 (30 μM) for 1h and Phospho-CREB (Ser133) (87G3) Rabbit mAb, using CUT&RUN Assay Kit #86652. DNA Libraries were prepared using SimpleChIP® ChIP-seq DNA Library Prep Kit for Illumina® (ChIP-seq, CUT&RUN) #56795. The figure shows binding across NR4A3 gene.
CUT & RUN Image 1: Phospho-CREB (Ser133) (87G3) Rabbit Monoclonal Antibody
CUT&RUN was performed with 293 cells treated with Forskolin #3828 (30 μM) for 1h and Phospho-CREB (Ser133) (87G3) Rabbit mAb, using CUT&RUN Assay Kit #86652. DNA Libraries were prepared using SimpleChIP® ChIP-seq DNA Library Prep Kit for Illumina® (ChIP-Seq, CUT&RUN) #56795. The figures show binding across chromosome 9 (upper), including NR4A3 (lower) gene.
CUT & RUN Image 2: Phospho-CREB (Ser133) (87G3) Rabbit Monoclonal Antibody
Orders: 877-616-CELL (2355) [email protected] Support: 877-678-TECH (8324) [email protected] Web: cellsignal.com
For Research Use Only. Not for Use in Diagnostic Procedures.

Revision 10

Cell Signaling Technology Logo
CUT&RUN was performed with 293 cells treated with Forskolin #3828 (30 μM) for 1h and either Phospho-CREB (Ser133) (87G3) Rabbit mAb or Rabbit (DA1E) mAb IgG XP® Isotype Control (CUT&RUN) #66362, using CUT&RUN Assay Kit #86652. The enriched DNA was quantified by real-time PCR using human ALS2 exon 1 primers and SimpleChIP® Human α Satellite Repeat Primers #4486. The amount of immunoprecipitated DNA in each sample is represented as signal relative to the total amount of input chromatin, which is equivalent to one.
CUT & RUN Image 3: Phospho-CREB (Ser133) (87G3) Rabbit Monoclonal Antibody
CUT&Tag was performed with 293 cells treated with Forskolin #3828 (30 μM) for 1h and either Phospho-CREB (Ser133) (87G3) Rabbit mAb or CREB (48H2) Rabbit mAb #9197, using CUT&Tag Assay Kit #77552. DNA libraries were prepared using CUT&Tag Dual Index Primers and PCR Master Mix for Illumina Systems #47415. The figure shows binding across NR4A3, a known target gene of both Phospho-CREB and CREB (see additional figure containing ChIP-qPCR data).
CUT & Tag Image 1: Phospho-CREB (Ser133) (87G3) Rabbit Monoclonal Antibody
CUT&Tag was performed with 293 cells treated with Forskolin #3828 (30 μM) for 1h and either Phospho-CREB (Ser133) (87G3) Rabbit mAb or CREB (48H2) Rabbit mAb #9197, using CUT&Tag Assay Kit #77552. DNA libraries were prepared using CUT&Tag Dual Index Primers and PCR Master Mix for Illumina Systems #47415. The figures show binding across chromosome 9 (upper), including NR4A3 (lower), a known target gene of both Phospho-CREB and CREB (see additional figure containing ChIP-qPCR data).
CUT & Tag Image 2: Phospho-CREB (Ser133) (87G3) Rabbit Monoclonal Antibody
Orders: 877-616-CELL (2355) [email protected] Support: 877-678-TECH (8324) [email protected] Web: cellsignal.com
For Research Use Only. Not for Use in Diagnostic Procedures.