Revision 1

#94358

Store at -20C

CST Logo
Orders:

877-616-CELL (2355)

[email protected]

Support:

877-678-TECH (8324)

3 Trask Lane | Danvers | Massachusetts | 01923 | USA

For Research Use Only. Not for Use in Diagnostic Procedures.

Applications:
W, IHC-P

Reactivity:
H M R

Sensitivity:
Endogenous

MW (kDa):
39

Source/Isotype:
Rabbit IgG

UniProt ID:
#P46109

Entrez-Gene Id:
1399

Product Usage Information

This product is the carrier-free version of product #34940. All data were generated using the same antibody clone in the standard formulation which contains BSA and glycerol.

This formulation is ideal for use with technologies requiring specialized or custom antibody labeling, including fluorophores, metals, lanthanides, and oligonucleotides. It is not recommended for ChIP, ChIP-seq, CUT&RUN, or CUT&Tag assays. If you require a carrier-free formulation for chromatin profiling, please contact us. Optimal dilutions/concentrations should be determined by the end user.

BSA and Azide Free antibodies are quality control tested by size exclusion chromatography (SEC) to determine antibody integrity.

Formulation

Supplied in 1X PBS (10 mM Na2HPO4, 3 mM KCl, 2 mM KH2PO4, and 140 mM NaCl (pH 7.8)). BSA and Azide Free.

For standard formulation of this product see product #34940.

Storage

Store at -20°C. This product will freeze at -20°C so it is recommended to aliquot into single-use vials to avoid multiple freeze/thaw cycles. A slight precipitate may be present and can be dissolved by gently vortexing. This will not interfere with antibody performance.

Specificity/Sensitivity

Phospho-CrkL (Tyr207) (E9A1U) Rabbit Monoclonal Antibody (BSA and Azide Free) recognizes endogenous levels of CrkL protein only when phosphorylated at Tyr207. This antibody does not recognize phospho-CrkII at Tyr221.

Species predicted to react based on 100% sequence homology

Chicken, Bovine, Dog, Pig, Horse

Source / Purification

Monoclonal antibody is produced by immunizing animals with a synthetic phosphopeptide corresponding to residues surrounding Tyr207 of human CrkL protein.

Background

CrkL, a 39 kDa adaptor protein, has a key regulatory role in hematopoietic cells. CrkL has one SH2 and two SH3 domains, with 60% homology to CrkII (1). The amino-terminal SH3 domain of CrkL binds proteins, such as C3G, SOS, PI3K, c-Abl, and BCR/Abl. The SH2 domain of CrkL can bind to tyrosine-phosphorylated proteins, such as Cbl, HEF1, CAS, and paxillin (2,3). CrkL is involved in various signaling cascades initiated by different cytokines and growth factors. The biological outcomes of the Crk-activated signal transduction include the modulation of cell adhesion, cell migration, and immune cell responses (4). CrkL is a prominent substrate of the BCR/Abl oncoprotein in chronic myelogenous leukemia and binds to both BCR/Abl and c-Abl (5). CrkL is prominently and constitutively tyrosine phosphorylated in CML neutrophils and is not phosphorylated in normal neutrophils. Moreover, stimulation of normal neutrophils with cytokines and agonists does not induce tyrosine phosphorylation of this protein (6), indicating that it may be a useful target for therapeutic intervention or as a disease marker. Tyr207 in CrkL is the BCR/Abl phosphorylation site (7).

Species Reactivity

Species reactivity is determined by testing in at least one approved application (e.g., western blot).

Applications Key

W: Western Blotting IHC-P: Immunohistochemistry (Paraffin)

Cross-Reactivity Key

H: Human M: Mouse R: Rat

Trademarks and Patents

Cell Signaling Technology is a trademark of Cell Signaling Technology, Inc.

All other trademarks are the property of their respective owners. Visit cellsignal.com/trademarks for more information.

Limited Uses

Except as otherwise expressly agreed in a writing signed by a legally authorized representative of CST, the following terms apply to Products provided by CST, its affiliates or its distributors. Any Customer's terms and conditions that are in addition to, or different from, those contained herein, unless separately accepted in writing by a legally authorized representative of CST, are rejected and are of no force or effect.

Products are labeled with For Research Use Only or a similar labeling statement and have not been approved, cleared, or licensed by the FDA or other regulatory foreign or domestic entity, for any purpose. Customer shall not use any Product for any diagnostic or therapeutic purpose, or otherwise in any manner that conflicts with its labeling statement. Products sold or licensed by CST are provided for Customer as the end-user and solely for research and development uses. Any use of Product for diagnostic, prophylactic or therapeutic purposes, or any purchase of Product for resale (alone or as a component) or other commercial purpose, requires a separate license from CST. Customer shall (a) not sell, license, loan, donate or otherwise transfer or make available any Product to any third party, whether alone or in combination with other materials, or use the Products to manufacture any commercial products, (b) not copy, modify, reverse engineer, decompile, disassemble or otherwise attempt to discover the underlying structure or technology of the Products, or use the Products for the purpose of developing any products or services that would compete with CST products or services, (c) not alter or remove from the Products any trademarks, trade names, logos, patent or copyright notices or markings, (d) use the Products solely in accordance with CST Product Terms of Sale and any applicable documentation, and (e) comply with any license, terms of service or similar agreement with respect to any third party products or services used by Customer in connection with the Products.

Orders: 877-616-CELL (2355) [email protected] Support: 877-678-TECH (8324) [email protected] Web: cellsignal.com
For Research Use Only. Not for Use in Diagnostic Procedures.

Revision 1

Cell Signaling Technology Logo
Western blot analysis of extracts from K-562 cells, untreated (-) or treated with phosphatase (+), using Phospho-CrkL (Tyr207) (E9A1U) XP® Rabbit mAb (upper), CrkL (D4G7G) Rabbit mAb #38710 (middle), or β-Actin (D6A8) Rabbit mAb #8457 (lower). Data were generated using the standard formulation of this product.
Western Blotting Image 1: Phospho-CrkL (Tyr207) (E9A1U) Rabbit Monoclonal Antibody (BSA and Azide Free)
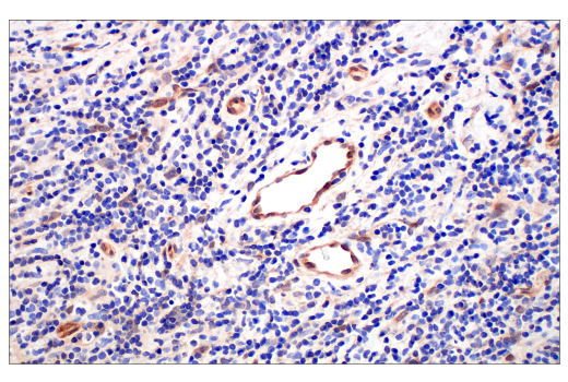
Immunohistochemical analysis of paraffin-embedded human T cell lymphoma using Phospho-CrkL (Tyr207) (E9A1U) XP® Rabbit mAb. Data were generated using the standard formulation of this product.
Immunohistochemistry Image 1: Phospho-CrkL (Tyr207) (E9A1U) Rabbit Monoclonal Antibody (BSA and Azide Free)
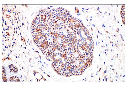
Immunohistochemical analysis of paraffin-embedded human ductal breast carcinoma using Phospho-CrkL (Tyr207) (E9A1U) XP® Rabbit mAb. Data were generated using the standard formulation of this product.
Immunohistochemistry Image 2: Phospho-CrkL (Tyr207) (E9A1U) Rabbit Monoclonal Antibody (BSA and Azide Free)
Orders: 877-616-CELL (2355) [email protected] Support: 877-678-TECH (8324) [email protected] Web: cellsignal.com
For Research Use Only. Not for Use in Diagnostic Procedures.

Revision 1

Cell Signaling Technology Logo
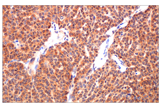
Immunohistochemical analysis of paraffin-embedded human hepatocellular carcinoma using Phospho-CrkL (Tyr207) (E9A1U) XP® Rabbit mAb. Data were generated using the standard formulation of this product.
Immunohistochemistry Image 3: Phospho-CrkL (Tyr207) (E9A1U) Rabbit Monoclonal Antibody (BSA and Azide Free)
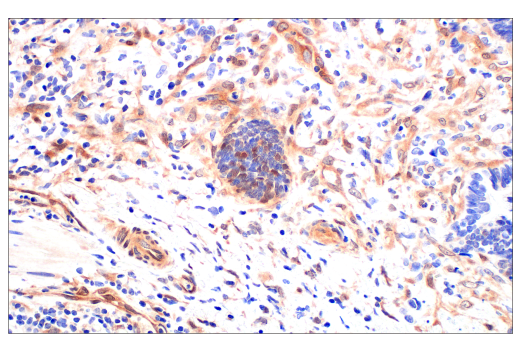
Immunohistochemical analysis of paraffin-embedded human ovarian granulosa cell tumor using Phospho-CrkL (Tyr207) (E9A1U) XP® Rabbit mAb. Data were generated using the standard formulation of this product.
Immunohistochemistry Image 4: Phospho-CrkL (Tyr207) (E9A1U) Rabbit Monoclonal Antibody (BSA and Azide Free)
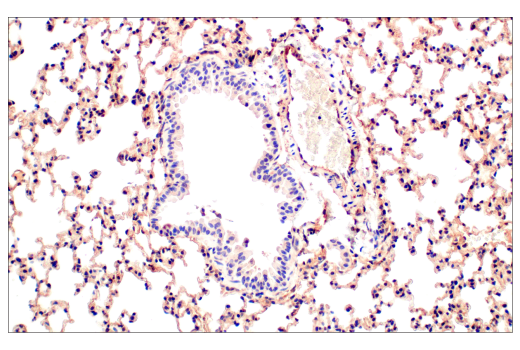
Immunohistochemical analysis of paraffin-embedded mouse lung using Phospho-CrkL (Tyr207) (E9A1U) XP® Rabbit mAb. Data were generated using the standard formulation of this product.
Immunohistochemistry Image 5: Phospho-CrkL (Tyr207) (E9A1U) Rabbit Monoclonal Antibody (BSA and Azide Free)
Orders: 877-616-CELL (2355) [email protected] Support: 877-678-TECH (8324) [email protected] Web: cellsignal.com
For Research Use Only. Not for Use in Diagnostic Procedures.

Revision 1

Cell Signaling Technology Logo
Immunohistochemical analysis of paraffin-embedded K-562 cell pellet, untreated (left) or treated with Imatinib (right), using Phospho-CrkL (Tyr207) (E9A1U) XP® Rabbit mAb. Data were generated using the standard formulation of this product.
Immunohistochemistry Image 6: Phospho-CrkL (Tyr207) (E9A1U) Rabbit Monoclonal Antibody (BSA and Azide Free)
Immunohistochemical analysis of paraffin-embedded human mature ovarian teratoma, untreated (left) or lambda phosphatase-treated (right), using Phospho-CrkL (Tyr207) (E9A1U) XP® Rabbit mAb. Data were generated using the standard formulation of this product.
Immunohistochemistry Image 7: Phospho-CrkL (Tyr207) (E9A1U) Rabbit Monoclonal Antibody (BSA and Azide Free)
Immunohistochemical analysis of paraffin-embedded human colon adenocarcinoma using Phospho-CrkL (Tyr207) (E9A1U) XP® Rabbit mAb. Data were generated using the standard formulation of this product.
Immunohistochemistry Image 8: Phospho-CrkL (Tyr207) (E9A1U) Rabbit Monoclonal Antibody (BSA and Azide Free)
Orders: 877-616-CELL (2355) [email protected] Support: 877-678-TECH (8324) [email protected] Web: cellsignal.com
For Research Use Only. Not for Use in Diagnostic Procedures.

Revision 1

Cell Signaling Technology Logo
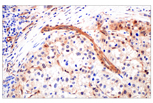
Immunohistochemical analysis of paraffin-embedded human adenoid cystic carcinoma of the trachea using Phospho-CrkL (Tyr207) (E9A1U) XP® Rabbit mAb. Data were generated using the standard formulation of this product.
Immunohistochemistry Image 9: Phospho-CrkL (Tyr207) (E9A1U) Rabbit Monoclonal Antibody (BSA and Azide Free)
Orders: 877-616-CELL (2355) [email protected] Support: 877-678-TECH (8324) [email protected] Web: cellsignal.com
For Research Use Only. Not for Use in Diagnostic Procedures.