Revision 1

#53966

Store at -20C

CST Logo
Orders:

877-616-CELL (2355)

[email protected]

Support:

877-678-TECH (8324)

3 Trask Lane | Danvers | Massachusetts | 01923 | USA

For Research Use Only. Not for Use in Diagnostic Procedures.

Applications:
W

Reactivity:
H

Sensitivity:
Endogenous

MW (kDa):
31

Source/Isotype:
Rabbit IgG

UniProt ID:
#P30281

Entrez-Gene Id:
896

Product Usage Information

Application Dilution
Western Blotting 1:1000

Storage

Supplied in 10 mM sodium HEPES (pH 7.5), 150 mM NaCl, 100 µg/ml BSA, 50% glycerol and less than 0.02% sodium azide. Store at –20°C. Do not aliquot the antibody.

Specificity/Sensitivity

Phospho-Cyclin D3 (Thr283) (E1V6W) Rabbit Monoclonal Antibody recognizes endogenous levels of cyclin D3 protein only when phosphorylated at Thr283. Bands of unknown origin are detected at 140 kDa and higher.

Source / Purification

Monoclonal antibody is produced by immunizing animals with a synthetic phospho-peptide corresponding to residues surrounding Thr283 of human cyclin D3 protein.

Background

Activity of the cyclin-dependent kinases CDK4 and CDK6 is regulated by T-loop phosphorylation, by the abundance of their cyclin partners (the D-type cyclins), and by association with CDK inhibitors of the Cip/Kip or INK family of proteins (1). The inactive ternary complex of cyclin D/CDK4 and p27 Kip1 requires extracellular mitogenic stimuli for the release and degradation of p27 concomitant with a rise in cyclin D levels to affect progression through the restriction point and Rb-dependent entry into S-phase (2). The active complex of cyclin D/CDK4 targets the retinoblastoma protein for phosphorylation, allowing the release of E2F transcription factors that activate G1/S-phase gene expression (3). Levels of cyclin D protein drop upon withdrawal of growth factors through downregulation of protein expression and phosphorylation-dependent degradation (4).
Although the D-type cyclins are not fully redundant, cyclin D3, like D1, plays a prominent role in differentiation and proliferation, which correlates with higher expression levels of cyclin D3 in various cancers (5). Burkitt lymphoma can carry mutations in the cyclin D3 gene that can affect phosphorylation at Thr283, stability of the protein, and cell cycle progression (6).

Species Reactivity

Species reactivity is determined by testing in at least one approved application (e.g., western blot).

Western Blot Buffer

IMPORTANT: For western blots, incubate membrane with diluted primary antibody in 5% w/v nonfat dry milk, 1X TBS, 0.1% Tween® 20 at 4°C with gentle shaking, overnight.

Applications Key

W: Western Blotting

Cross-Reactivity Key

H: Human

Trademarks and Patents

Cell Signaling Technology is a trademark of Cell Signaling Technology, Inc.

All other trademarks are the property of their respective owners. Visit cellsignal.com/trademarks for more information.

Limited Uses

Except as otherwise expressly agreed in a writing signed by a legally authorized representative of CST, the following terms apply to Products provided by CST, its affiliates or its distributors. Any Customer's terms and conditions that are in addition to, or different from, those contained herein, unless separately accepted in writing by a legally authorized representative of CST, are rejected and are of no force or effect.

Products are labeled with For Research Use Only or a similar labeling statement and have not been approved, cleared, or licensed by the FDA or other regulatory foreign or domestic entity, for any purpose. Customer shall not use any Product for any diagnostic or therapeutic purpose, or otherwise in any manner that conflicts with its labeling statement. Products sold or licensed by CST are provided for Customer as the end-user and solely for research and development uses. Any use of Product for diagnostic, prophylactic or therapeutic purposes, or any purchase of Product for resale (alone or as a component) or other commercial purpose, requires a separate license from CST. Customer shall (a) not sell, license, loan, donate or otherwise transfer or make available any Product to any third party, whether alone or in combination with other materials, or use the Products to manufacture any commercial products, (b) not copy, modify, reverse engineer, decompile, disassemble or otherwise attempt to discover the underlying structure or technology of the Products, or use the Products for the purpose of developing any products or services that would compete with CST products or services, (c) not alter or remove from the Products any trademarks, trade names, logos, patent or copyright notices or markings, (d) use the Products solely in accordance with CST Product Terms of Sale and any applicable documentation, and (e) comply with any license, terms of service or similar agreement with respect to any third party products or services used by Customer in connection with the Products.

Orders: 877-616-CELL (2355) [email protected] Support: 877-678-TECH (8324) [email protected] Web: cellsignal.com
For Research Use Only. Not for Use in Diagnostic Procedures.

Revision 1

Cell Signaling Technology Logo
Western blot analysis of extracts from 293T cells, mock transfected (-) or transfected (+) with constructs expressing Myc/DDK-tagged full-length human cyclin D3 (hCyclin D3-Myc/DDK) or a threonine to alanine point mutation at amino acid 283 (hCyclin D3-T283A-Myc/DDK), using Phospho-Cyclin D3 (Thr283) (E1V6W) Rabbit mAb (upper) or Myc-Tag (71D10) Rabbit mAb #2278 (lower).
Western Blotting Image 1: Phospho-Cyclin D3 (Thr283) (E1V6W) Rabbit Monoclonal Antibody
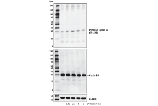
Western blot analysis of extacts from ACHN cells, untreated or treated with UV light (100 mJ/cm2) with recovery times as indicated, using Phospho-Cyclin D3 (E1V6W) Rabbit mAb (upper), total Cyclin D3 (DCS22) Mouse mAb #2936 (middle), or β-Actin (D6A8) Rabbit mAb #8457 (lower).
Western Blotting Image 2: Phospho-Cyclin D3 (Thr283) (E1V6W) Rabbit Monoclonal Antibody
Western blot analysis of extracts from Raji or Gumbus cell lines, untreated (-) or treated with MG-132 #2194 (10 μM, overnight; +), using Phospho-Cyclin D3 (Thr283) (E1V6W) Rabbit mAb or β-Actin (D6A8) Rabbit mAb #8457 (lower). Gumbus cells have a genetic mutation in cyclin D3 at Thr283.
Western Blotting Image 3: Phospho-Cyclin D3 (Thr283) (E1V6W) Rabbit Monoclonal Antibody
Orders: 877-616-CELL (2355) [email protected] Support: 877-678-TECH (8324) [email protected] Web: cellsignal.com
For Research Use Only. Not for Use in Diagnostic Procedures.