Revision 1

#9922

Store at -20C

Phospho-EGF Receptor Antibody Sampler Kit

1 Kit

(4 x 20 microliters)

CST Logo
Orders:

877-616-CELL (2355)

[email protected]

Support:

877-678-TECH (8324)

3 Trask Lane | Danvers | Massachusetts | 01923 | USA

For Research Use Only. Not for Use in Diagnostic Procedures.

Product Includes Product # Quantity Mol. Wt Isotype/Source
EGF Receptor (D38B1) XP® Rabbit mAb426720 µl175 kDaRabbit IgG
Phospho-EGF Receptor (Tyr1068) (D7A5) XP® Rabbit mAb377720 µl175 kDaRabbit IgG
Phospho-EGF Receptor (Tyr992) Antibody223520 µl175 kDaRabbit
Phospho-EGF Receptor (Tyr1045) Antibody223720 µl175 kDaRabbit
Anti-rabbit IgG, HRP-linked Antibody7074100 µlGoat

Please visit cellsignal.com for individual component applications, species cross-reactivity, dilutions, protocols, and additional product information.

Description

The Phospho-EGF Receptor Antibody Sampler Kit provides an economical means of evaluating the EGF Receptor and several phosphorylation sites that are involved in its activation. The kit contains enough primary and secondary antibodies to perform two Western blot experiments.

Storage

Supplied in 10 mM sodium HEPES (pH 7.5), 150 mM NaCl, 100 µg/ml BSA, 50% glycerol and less than 0.02% sodium azide. Store at –20°C. Do not aliquot the antibody.

Background

The epidermal growth factor (EGF) receptor is a transmembrane tyrosine kinase that belongs to the HER/ErbB protein family. Ligand binding results in receptor dimerization, autophosphorylation, activation of downstream signaling, internalization, and lysosomal degradation (1,2). Phosphorylation of EGF receptor (EGFR) at Tyr845 in the kinase domain is implicated in stabilizing the activation loop, maintaining the active state enzyme, and providing a binding surface for substrate proteins (3,4). c-Src is involved in phosphorylation of EGFR at Tyr845 (5). The SH2 domain of PLCγ binds at phospho-Tyr992, resulting in activation of PLCγ-mediated downstream signaling (6). Phosphorylation of EGFR at Tyr1045 creates a major docking site for the adaptor protein c-Cbl, leading to receptor ubiquitination and degradation following EGFR activation (7,8). The GRB2 adaptor protein binds activated EGFR at phospho-Tyr1068 (9). A pair of phosphorylated EGFR residues (Tyr1148 and Tyr1173) provide a docking site for the Shc scaffold protein, with both sites involved in MAP kinase signaling activation (2). Phosphorylation of EGFR at specific serine and threonine residues attenuates EGFR kinase activity. EGFR carboxy-terminal residues Ser1046 and Ser1047 are phosphorylated by CaM kinase II; mutation of either of these serines results in upregulated EGFR tyrosine autophosphorylation (10).

Trademarks and Patents

Cell Signaling Technology is a trademark of Cell Signaling Technology, Inc.

All other trademarks are the property of their respective owners. Visit cellsignal.com/trademarks for more information.

Limited Uses

Except as otherwise expressly agreed in a writing signed by a legally authorized representative of CST, the following terms apply to Products provided by CST, its affiliates or its distributors. Any Customer's terms and conditions that are in addition to, or different from, those contained herein, unless separately accepted in writing by a legally authorized representative of CST, are rejected and are of no force or effect.

Products are labeled with For Research Use Only or a similar labeling statement and have not been approved, cleared, or licensed by the FDA or other regulatory foreign or domestic entity, for any purpose. Customer shall not use any Product for any diagnostic or therapeutic purpose, or otherwise in any manner that conflicts with its labeling statement. Products sold or licensed by CST are provided for Customer as the end-user and solely for research and development uses. Any use of Product for diagnostic, prophylactic or therapeutic purposes, or any purchase of Product for resale (alone or as a component) or other commercial purpose, requires a separate license from CST. Customer shall (a) not sell, license, loan, donate or otherwise transfer or make available any Product to any third party, whether alone or in combination with other materials, or use the Products to manufacture any commercial products, (b) not copy, modify, reverse engineer, decompile, disassemble or otherwise attempt to discover the underlying structure or technology of the Products, or use the Products for the purpose of developing any products or services that would compete with CST products or services, (c) not alter or remove from the Products any trademarks, trade names, logos, patent or copyright notices or markings, (d) use the Products solely in accordance with CST Product Terms of Sale and any applicable documentation, and (e) comply with any license, terms of service or similar agreement with respect to any third party products or services used by Customer in connection with the Products.

Orders: 877-616-CELL (2355) [email protected] Support: 877-678-TECH (8324) [email protected] Web: cellsignal.com
For Research Use Only. Not for Use in Diagnostic Procedures.

Revision 1

Cell Signaling Technology Logo
Western blot analysis of extracts from A431 cells, untreated or EGF-treated (100 ng/ml), using Phospho-EGF Receptor (Tyr992) Antibody (upper) or EGF Receptor Antibody #2232 (lower).
undefined Image 1: Phospho-EGF Receptor Antibody Sampler Kit
Western blot analysis of extracts from A431 cells, untreated or EGF-stimulated (100 ng/ml), using Phospho-EGF Receptor (Tyr1045) Antibody (upper) or EGF Receptor (C74B9) Rabbit mAb #2646 (lower).
undefined Image 2: Phospho-EGF Receptor Antibody Sampler Kit
Western blot analysis of extracts from serum-starved A431 cells, untreated (-) or treated with hEGF (100 ng/ml, 5 min; +), using EGF Receptor (1F4) Mouse mAb #2239 (Panel A) and Phospho-EGF Receptor (Tyr1068) (D7A5) XP® Rabbit mAb #3777 (Panel B). Anti-rabbit IgG (H+L) (DyLight 800 4X PEG Conjugate) #5151 (green) and Anti-mouse IgG (H+L) (DyLight 680 Conjugate) #5470 (red) were used as secondary antibodies.
undefined Image 3: Phospho-EGF Receptor Antibody Sampler Kit
Orders: 877-616-CELL (2355) [email protected] Support: 877-678-TECH (8324) [email protected] Web: cellsignal.com
For Research Use Only. Not for Use in Diagnostic Procedures.

Revision 1

Cell Signaling Technology Logo
Western blot analysis of extracts from control Hela cells (lane 1), or EGFR knockout Hela cells (lane 2) using EGF Receptor (D38B1) XP® Rabbit mAb #4267, (upper) or #8457 β-Actin (D6A8) Rabbit mAb (lower). The absence of signal in EGFR-knockout Hela cells confirms specificity of the antibody for EGFR.
undefined Image 4: Phospho-EGF Receptor Antibody Sampler Kit
Immunohistochemical analysis of paraffin-embedded human lung carcinoma using EGF Receptor (D38B1) Rabbit mAb performed on the Leica® BOND™ Rx.
undefined Image 5: Phospho-EGF Receptor Antibody Sampler Kit
After the primary antibody is bound to the target protein, a complex with HRP-linked secondary antibody is formed. The LumiGLO® is added and emits light during enzyme catalyzed decomposition.
undefined Image 6: Phospho-EGF Receptor Antibody Sampler Kit
Orders: 877-616-CELL (2355) [email protected] Support: 877-678-TECH (8324) [email protected] Web: cellsignal.com
For Research Use Only. Not for Use in Diagnostic Procedures.

Revision 1

Cell Signaling Technology Logo
Immunohistochemical analysis of paraffin-embedded human breast carcinoma, showing membrane localization, using Phospho-EGF Receptor (Tyr992) Antibody.
undefined Image 7: Phospho-EGF Receptor Antibody Sampler Kit
Western blot analysis of extracts of BxPC-3 cells, untreated or EGF-stimulated, using Phospho-EGF Receptor (Tyr1068) (D7A5) XP® Rabbit mAb (upper) and EGF Receptor Antibody #2232 (lower).
undefined Image 8: Phospho-EGF Receptor Antibody Sampler Kit
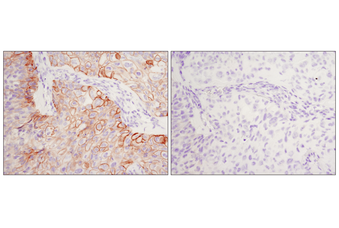
Immunohistochemical analysis of paraffin-embedded HCC827 xenograft, control (left) or λ phosphatase-treated (right), using Phospho-EGF Receptor (Tyr1068) (D7A5) XP® Rabbit mAb.
undefined Image 9: Phospho-EGF Receptor Antibody Sampler Kit
Orders: 877-616-CELL (2355) [email protected] Support: 877-678-TECH (8324) [email protected] Web: cellsignal.com
For Research Use Only. Not for Use in Diagnostic Procedures.

Revision 1

Cell Signaling Technology Logo
Western blot analysis of extracts from A-431, BxPC3 and HeLa cells using EGF Receptor (D38B1) XP® Rabbit mAb.
undefined Image 10: Phospho-EGF Receptor Antibody Sampler Kit
Immunohistochemical analysis of paraffin-embedded human hepatocellular carcinoma using EGF Receptor (D38B1) XP® Rabbit mAb.
undefined Image 11: Phospho-EGF Receptor Antibody Sampler Kit
Immunohistochemical analysis using Phospho-EGF Receptor (Tyr1068) (D7A5) XP® Rabbit mAb on SignalSlide™ Phospho-EGF Receptor IHC Controls #8102 (paraffin-embedded KYSE450 cell pellets, untreated (left) or EGF-treated (right)).
undefined Image 12: Phospho-EGF Receptor Antibody Sampler Kit
Orders: 877-616-CELL (2355) [email protected] Support: 877-678-TECH (8324) [email protected] Web: cellsignal.com
For Research Use Only. Not for Use in Diagnostic Procedures.

Revision 1

Cell Signaling Technology Logo
Simple Western™ analysis of lysates (0.1 mg/mL) from A431 cells treated with human EGF (100 ng/mL, 30”) using Phospho-EGF Receptor (Tyr1068) (D7A5) XP® Rabbit mAb #3777. The virtual lane view (left) shows a single target band (as indicated) at 1:50 and 1:250 dilutions of primary antibody. The corresponding electropherogram view (right) plots chemiluminescence by molecular weight along the capillary at 1:50 (blue line) and 1:250 (green line) dilutions of primary antibody. This experiment was performed under reducing conditions on the Jess™ ​​​​​​​ Simple Western instrument from ProteinSimple, a BioTechne brand, using the 12-230 kDa separation module.
undefined Image 13: Phospho-EGF Receptor Antibody Sampler Kit
Immunohistochemical analysis of paraffin-embedded human lung carcinoma using EGF Receptor (D38B1) XP® Rabbit mAb.
undefined Image 14: Phospho-EGF Receptor Antibody Sampler Kit
Confocal immunofluorescent analysis of A431 cells serum-starved (left) or EGF-treated (right) and labeled with Phospho-EGF Receptor (Tyr1045) Antibody (green). Blue pseudocolor = DRAQ5™ (fluorescent DNA dye).
undefined Image 15: Phospho-EGF Receptor Antibody Sampler Kit
Orders: 877-616-CELL (2355) [email protected] Support: 877-678-TECH (8324) [email protected] Web: cellsignal.com
For Research Use Only. Not for Use in Diagnostic Procedures.

Revision 1

Cell Signaling Technology Logo
Immunohistochemical analysis of paraffin-embedded human placenta using EGF Receptor (D38B1) XP® Rabbit mAb.
undefined Image 16: Phospho-EGF Receptor Antibody Sampler Kit
Confocal immunofluorescent analysis of HeLa cells, untreated (left) or EGF-treated (right), using Phospho-EGF Receptor (Tyr1068) (D7A5) XP® Rabbit mAb (green) and DRAQ5® #4084 (blue pseudocolor).
undefined Image 17: Phospho-EGF Receptor Antibody Sampler Kit
Immunohistochemical analysis of paraffin-embedded rhesus monkey kidney using EGF Receptor (D38B1) Rabbit mAb.
undefined Image 18: Phospho-EGF Receptor Antibody Sampler Kit
Orders: 877-616-CELL (2355) [email protected] Support: 877-678-TECH (8324) [email protected] Web: cellsignal.com
For Research Use Only. Not for Use in Diagnostic Procedures.

Revision 1

Cell Signaling Technology Logo
Flow cytometric analysis of A549 cells, untreated (blue) or EGF-treated (green), using Phospho-EGF Receptor (Tyr1068) (D7A5) XP® Rabbit mAb compared to concentration matched XP® Rabbit (DA1E) mAb IgG Isotype Control #3900 (red).
undefined Image 19: Phospho-EGF Receptor Antibody Sampler Kit
Immunohistochemical analysis of paraffin-embedded MDA-MB-468 (amplified EGFR, left), HT-29 (low EGFR, middle) and CAMA-1 (EGFR negative, right) cells using EGF Receptor (D38B1) XP® Rabbit mAb.
undefined Image 20: Phospho-EGF Receptor Antibody Sampler Kit
Confocal immunofluorescent analysis of A549 cells, untreated (left) or treated with human epidermal growth factor (right), using EGF Receptor (D38B1) XP® Rabbit mAb (green). Blue pseudocolor = DRAQ5® #4084 (fluorescent DNA dye).
undefined Image 21: Phospho-EGF Receptor Antibody Sampler Kit
Orders: 877-616-CELL (2355) [email protected] Support: 877-678-TECH (8324) [email protected] Web: cellsignal.com
For Research Use Only. Not for Use in Diagnostic Procedures.

Revision 1

Cell Signaling Technology Logo
Flow cytometric analysis of Jurkat cells (blue) and A431 cells (green) using EGF Receptor (D38B1) XP® Rabbit mAb #4267 (solid lines) or a concentration-matched Rabbit (DA1E) mAb IgG XP® Isotype Control #3900 (dashed lines). Anti-rabbit IgG (H+L), F(ab')2 Fragment (Alexa Fluor® 488 Conjugate) #4412 was used as a secondary antibody.
undefined Image 22: Phospho-EGF Receptor Antibody Sampler Kit
Simple Western™ analysis of lysates (0.1 mg/mL) from A-431 cells using EGF Receptor (D38B1) XP® Rabbit mAb #4267. The virtual lane view (left) shows a single target band (as indicated) at 1:10 and 1:50 dilutions of primary antibody. The corresponding electropherogram view (right) plots chemiluminescence by molecular weight along the capillary at 1:10 (blue line) and 1:50 (green line) dilutions of primary antibody. This experiment was performed under reducing conditions on the Jess™ Simple Western instrument from ProteinSimple, a BioTechne brand, using the 66-440 kDa separation module.
undefined Image 23: Phospho-EGF Receptor Antibody Sampler Kit
Immunoprecipitation of EGFR protein from HeLa cell extracts. Lane 1 is 10% input, lane 2 is Rabbit (DA1E) mAb IgG XP® Isotype Control #3900, and lane 3 is EGF Receptor (D38B1) XP® Rabbit mAb. Western blot analysis was performed using EGF Receptor (D38B1) XP® Rabbit mAb. Anti-rabbit IgG, HRP-linked Antibody #7074 was used as a secondary antibody.
undefined Image 24: Phospho-EGF Receptor Antibody Sampler Kit
Orders: 877-616-CELL (2355) [email protected] Support: 877-678-TECH (8324) [email protected] Web: cellsignal.com
For Research Use Only. Not for Use in Diagnostic Procedures.

Revision 1

Cell Signaling Technology Logo
Western blot analysis of extracts from HeLa, mIMCD-3, and Cos-7 cells using EGF Receptor (D38B1) XP® Rabbit mAb (upper) or GAPDH (D16H11) XP® Rabbit mAb #5174 (lower).
undefined Image 25: Phospho-EGF Receptor Antibody Sampler Kit
Orders: 877-616-CELL (2355) [email protected] Support: 877-678-TECH (8324) [email protected] Web: cellsignal.com
For Research Use Only. Not for Use in Diagnostic Procedures.