Revision 5

#4407

Store at -20C

CST Logo
Orders:

877-616-CELL (2355)

[email protected]

Support:

877-678-TECH (8324)

3 Trask Lane | Danvers | Massachusetts | 01923 | USA

For Research Use Only. Not for Use in Diagnostic Procedures.

Applications:
W, W-F, IP, IHC-P

Reactivity:
H M R

Sensitivity:
Endogenous

MW (kDa):
175

Source/Isotype:
Rabbit IgG

UniProt ID:
#P00533

Entrez-Gene Id:
1956

Product Usage Information

Application Dilution
Western Blotting 1:1000
Fluorescent Western 1:1000
Immunoprecipitation 1:50
Immunohistochemistry (Paraffin) 1:125 - 1:500

Storage

Supplied in 10 mM sodium HEPES (pH 7.5), 150 mM NaCl, 100 µg/ml BSA, 50% glycerol and less than 0.02% sodium azide. Store at –20°C. Do not aliquot the antibody.

For a carrier free (BSA and azide free) version of this product see product #47737.

Specificity/Sensitivity

Phospho-EGF Receptor (Tyr1173) (53A5) Rabbit Monoclonal Antibody detects endogenous EGF receptors only when phosphorylated at Tyr1173. This antibody may cross-react with other activated receptor tyrosine kinases.

Source / Purification

Monoclonal antibody is produced by immunizing animals with a synthetic phosphopeptide corresponding to residues surrounding Tyr1173 of human EGF receptor.

Background

The epidermal growth factor (EGF) receptor is a transmembrane tyrosine kinase that belongs to the HER/ErbB protein family. Ligand binding results in receptor dimerization, autophosphorylation, activation of downstream signaling, internalization, and lysosomal degradation (1,2). Phosphorylation of EGF receptor (EGFR) at Tyr845 in the kinase domain is implicated in stabilizing the activation loop, maintaining the active state enzyme, and providing a binding surface for substrate proteins (3,4). c-Src is involved in phosphorylation of EGFR at Tyr845 (5). The SH2 domain of PLCγ binds at phospho-Tyr992, resulting in activation of PLCγ-mediated downstream signaling (6). Phosphorylation of EGFR at Tyr1045 creates a major docking site for the adaptor protein c-Cbl, leading to receptor ubiquitination and degradation following EGFR activation (7,8). The GRB2 adaptor protein binds activated EGFR at phospho-Tyr1068 (9). A pair of phosphorylated EGFR residues (Tyr1148 and Tyr1173) provide a docking site for the Shc scaffold protein, with both sites involved in MAP kinase signaling activation (2). Phosphorylation of EGFR at specific serine and threonine residues attenuates EGFR kinase activity. EGFR carboxy-terminal residues Ser1046 and Ser1047 are phosphorylated by CaM kinase II; mutation of either of these serines results in upregulated EGFR tyrosine autophosphorylation (10).

Species Reactivity

Species reactivity is determined by testing in at least one approved application (e.g., western blot).

Western Blot Buffer

IMPORTANT: For western blots, incubate membrane with diluted primary antibody in 5% w/v BSA, 1X TBS, 0.1% Tween® 20 at 4°C with gentle shaking, overnight.

Applications Key

W: Western Blotting W-F: Fluorescent Western IP: Immunoprecipitation IHC-P: Immunohistochemistry (Paraffin)

Cross-Reactivity Key

H: Human M: Mouse R: Rat

Trademarks and Patents

Cell Signaling Technology is a trademark of Cell Signaling Technology, Inc.

All other trademarks are the property of their respective owners. Visit cellsignal.com/trademarks for more information.

Limited Uses

Except as otherwise expressly agreed in a writing signed by a legally authorized representative of CST, the following terms apply to Products provided by CST, its affiliates or its distributors. Any Customer's terms and conditions that are in addition to, or different from, those contained herein, unless separately accepted in writing by a legally authorized representative of CST, are rejected and are of no force or effect.

Products are labeled with For Research Use Only or a similar labeling statement and have not been approved, cleared, or licensed by the FDA or other regulatory foreign or domestic entity, for any purpose. Customer shall not use any Product for any diagnostic or therapeutic purpose, or otherwise in any manner that conflicts with its labeling statement. Products sold or licensed by CST are provided for Customer as the end-user and solely for research and development uses. Any use of Product for diagnostic, prophylactic or therapeutic purposes, or any purchase of Product for resale (alone or as a component) or other commercial purpose, requires a separate license from CST. Customer shall (a) not sell, license, loan, donate or otherwise transfer or make available any Product to any third party, whether alone or in combination with other materials, or use the Products to manufacture any commercial products, (b) not copy, modify, reverse engineer, decompile, disassemble or otherwise attempt to discover the underlying structure or technology of the Products, or use the Products for the purpose of developing any products or services that would compete with CST products or services, (c) not alter or remove from the Products any trademarks, trade names, logos, patent or copyright notices or markings, (d) use the Products solely in accordance with CST Product Terms of Sale and any applicable documentation, and (e) comply with any license, terms of service or similar agreement with respect to any third party products or services used by Customer in connection with the Products.

Orders: 877-616-CELL (2355) [email protected] Support: 877-678-TECH (8324) [email protected] Web: cellsignal.com
For Research Use Only. Not for Use in Diagnostic Procedures.

Revision 5

Cell Signaling Technology Logo
Western blot analysis of extracts from BxPc-3 cells treated with EGF (100 ng/ml for 5 min) or EGF plus the EGF receptor tyrosine kinase inhibitor Gefitinib (10 uM for 2 hrs), using Phospho-EGF Receptor (Tyr1173) (53A5) Rabbit mAb (upper) or EGF Receptor Antibody #2232 (lower).
Western Blotting Image 1: Phospho-EGF Receptor (Tyr1173) (53A5) Rabbit Monoclonal Antibody
Western blot analysis of extracts from serum-starved A431 cells, untreated (-) or treated with hEGF (100 ng/ml, 5 min; +), using EGF Receptor (1F4) Mouse mAb #2239 (Panel A) and Phospho-EGF Receptor (Tyr1173) (53A5) Rabbit mAb #4407 (Panel B). Anti-mouse IgG (H+L) (DyLight 680 Conjugate) #5470 (red) and Anti-rabbit IgG (H+L) (DyLight 800 4X PEG Conjugate) #5151 (green) were used as secondary antibodies.
Western Blotting Image 1: Phospho-EGF Receptor (Tyr1173) (53A5) Rabbit Monoclonal Antibody
Immunohistochemical analysis of paraffin-embedded human breast carcinoma, using Phospho-EGF Receptor (Tyr1173) (53A5) Rabbit mAb.
Immunohistochemistry Image 1: Phospho-EGF Receptor (Tyr1173) (53A5) Rabbit Monoclonal Antibody
Orders: 877-616-CELL (2355) [email protected] Support: 877-678-TECH (8324) [email protected] Web: cellsignal.com
For Research Use Only. Not for Use in Diagnostic Procedures.

Revision 5

Cell Signaling Technology Logo
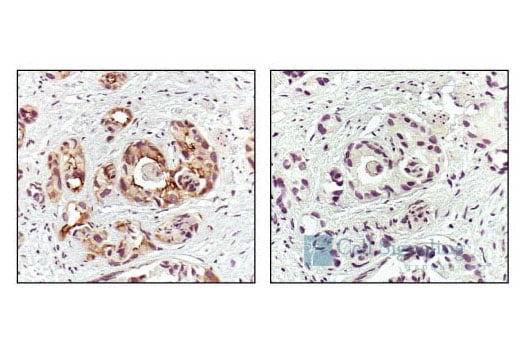
Immunohistochemical analysis of paraffin-embedded human breast carcinoma, untreated (left) or calf-intestinal phosphatase (CIP) treated (right), using Phospho-EGF Receptor (Tyr1173) (53A5) Rabbit mAb.
Immunohistochemistry Image 2: Phospho-EGF Receptor (Tyr1173) (53A5) Rabbit Monoclonal Antibody
Immunohistochemical analysis using Phospho-EGF Receptor (Tyr1173) (53A5) Rabbit mAb on SignalSlide™ Phospho-EGF Receptor IHC Controls #8102 (paraffin-embedded KYSE450 cell pellets, untreated (left) or EGF-treated (right)).
Immunohistochemistry Image 3: Phospho-EGF Receptor (Tyr1173) (53A5) Rabbit Monoclonal Antibody
Immunohistochemical analysis of paraffin-embedded human prostate carcinoma, using Phospho-EGF Receptor (Tyr1173)(53A5) Rabbit mAb (left) or the same antibody preincubated with Phospho-EGF Receptor (Tyr1173) Blocking Peptide (#1175) (right).
Immunohistochemistry Image 4: Phospho-EGF Receptor (Tyr1173) (53A5) Rabbit Monoclonal Antibody
Orders: 877-616-CELL (2355) [email protected] Support: 877-678-TECH (8324) [email protected] Web: cellsignal.com
For Research Use Only. Not for Use in Diagnostic Procedures.