Revision 8

#3597

Store at -20C

CST Logo
Orders:

877-616-CELL (2355)

[email protected]

Support:

877-678-TECH (8324)

3 Trask Lane | Danvers | Massachusetts | 01923 | USA

For Research Use Only. Not for Use in Diagnostic Procedures.

Applications:
W, IP, IHC-P

Reactivity:
H M R Mk Dm

Sensitivity:
Endogenous

MW (kDa):
38

Source/Isotype:
Rabbit IgG

UniProt ID:
#P05198

Entrez-Gene Id:
1965

Product Usage Information

Application Dilution
Western Blotting 1:1000
Immunoprecipitation 1:50
Immunohistochemistry (Paraffin) 1:75 - 1:300

Storage

Supplied in 10 mM sodium HEPES (pH 7.5), 150 mM NaCl, 100 µg/ml BSA, 50% glycerol and less than 0.02% sodium azide. Store at –20°C. Do not aliquot the antibody.

For a carrier free (BSA and azide free) version of this product see product #63795.

Specificity/Sensitivity

Phospho-eIF2 alpha (Ser51) (119A11) Rabbit Monoclonal Antibody detects endogenous eIF2alpha only when phosphorylated at Ser51. This antibody does not recognize elF2alpha phosphorylated at other sites. Human eIF2alpha residue Ser52 historically has been referenced as Ser51.

Source / Purification

Monoclonal antibody is produced by immunizing animals with a synthetic phosphopeptide corresponding to residues surrounding Ser51 of human eIF2alpha.

Background

Phosphorylation of the eukaryotic initiation factor 2 (eIF2) α subunit is a well-documented mechanism to downregulate protein synthesis under a variety of stress conditions. eIF2 binds GTP and Met-tRNAi and transfers Met-tRNA to the 40S subunit to form the 43S preinitiation complex (1,2). eIF2 promotes a new round of translation initiation by exchanging GDP for GTP, a reaction catalyzed by eIF2B (1,2). Kinases that are activated by viral infection (PKR), endoplasmic reticulum stress (PERK/PEK), amino acid deprivation (GCN2), or heme deficiency (HRI) can phosphorylate the α subunit of eIF2 (3,4). This phosphorylation stabilizes the eIF2-GDP-eIF2B complex and inhibits the turnover of eIF2B. Induction of PKR by IFN-γ and TNF-α induces potent phosphorylation of eIF2α at Ser51 (5,6).

Species Reactivity

Species reactivity is determined by testing in at least one approved application (e.g., western blot).

Western Blot Buffer

IMPORTANT: For western blots, incubate membrane with diluted primary antibody in 5% w/v BSA, 1X TBS, 0.1% Tween® 20 at 4°C with gentle shaking, overnight.

Applications Key

W: Western Blotting IP: Immunoprecipitation IHC-P: Immunohistochemistry (Paraffin)

Cross-Reactivity Key

H: Human M: Mouse R: Rat Mk: Monkey Dm: D. melanogaster

Trademarks and Patents

Cell Signaling Technology is a trademark of Cell Signaling Technology, Inc.

All other trademarks are the property of their respective owners. Visit cellsignal.com/trademarks for more information.

Limited Uses

Except as otherwise expressly agreed in a writing signed by a legally authorized representative of CST, the following terms apply to Products provided by CST, its affiliates or its distributors. Any Customer's terms and conditions that are in addition to, or different from, those contained herein, unless separately accepted in writing by a legally authorized representative of CST, are rejected and are of no force or effect.

Products are labeled with For Research Use Only or a similar labeling statement and have not been approved, cleared, or licensed by the FDA or other regulatory foreign or domestic entity, for any purpose. Customer shall not use any Product for any diagnostic or therapeutic purpose, or otherwise in any manner that conflicts with its labeling statement. Products sold or licensed by CST are provided for Customer as the end-user and solely for research and development uses. Any use of Product for diagnostic, prophylactic or therapeutic purposes, or any purchase of Product for resale (alone or as a component) or other commercial purpose, requires a separate license from CST. Customer shall (a) not sell, license, loan, donate or otherwise transfer or make available any Product to any third party, whether alone or in combination with other materials, or use the Products to manufacture any commercial products, (b) not copy, modify, reverse engineer, decompile, disassemble or otherwise attempt to discover the underlying structure or technology of the Products, or use the Products for the purpose of developing any products or services that would compete with CST products or services, (c) not alter or remove from the Products any trademarks, trade names, logos, patent or copyright notices or markings, (d) use the Products solely in accordance with CST Product Terms of Sale and any applicable documentation, and (e) comply with any license, terms of service or similar agreement with respect to any third party products or services used by Customer in connection with the Products.

Orders: 877-616-CELL (2355) [email protected] Support: 877-678-TECH (8324) [email protected] Web: cellsignal.com
For Research Use Only. Not for Use in Diagnostic Procedures.

Revision 8

Cell Signaling Technology Logo
Western blot analysis of extracts from HT29 and AR42J cells, untreated or thapsigargin-treated (300 nM, 30 min), using Phospho-eIF2alpha (Ser51) (119A11) Rabbit mAb (upper) or eIF2alpha Antibody #9722 (lower).
Western Blotting Image 1: Phospho-eIF2 alpha (Ser51) (119A11) Rabbit Monoclonal Antibody
Western blot analysis of extracts from HeLa and THP-1 cells untreated or phosphatase treated, using Phospho-eIF2alpha (Ser51) (119A11) Rabbit mAb.
Western Blotting Image 2: Phospho-eIF2 alpha (Ser51) (119A11) Rabbit Monoclonal Antibody
Western blot analysis of immunoprecipitates from PC12 cells, using Phospho-eIF2alpha (Ser51) (119A11) Rabbit mAb. Lane 1 is lysate control, lane 2 is the antibody alone as negative control and lane 3 is antibody immunocomplex of PC12 cells.
Immunoprecipitation Image 1: Phospho-eIF2 alpha (Ser51) (119A11) Rabbit Monoclonal Antibody
Orders: 877-616-CELL (2355) [email protected] Support: 877-678-TECH (8324) [email protected] Web: cellsignal.com
For Research Use Only. Not for Use in Diagnostic Procedures.

Revision 8

Cell Signaling Technology Logo
Immunohistochemical analysis of paraffin-embedded PC-3 cells untreated (left) or thapsigargin-treated (right), using Phospho-eIF2alpha (Ser51) (119A11) Rabbit mAb.
Immunohistochemistry Image 1: Phospho-eIF2 alpha (Ser51) (119A11) Rabbit Monoclonal Antibody
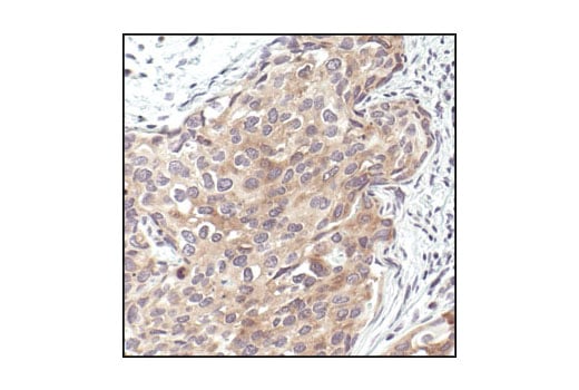
Immunohistochemical analysis of paraffin-embedded human breast carcinoma, showing cytoplasmic localization, using Phospho-eIF2alpha (Ser51) (119A11) Rabbit mAb.
Immunohistochemistry Image 2: Phospho-eIF2 alpha (Ser51) (119A11) Rabbit Monoclonal Antibody
Immunohistochemical analysis of paraffin-embedded human lung carcinoma, using Phospho-eIF2alpha (Ser51) (119A11) Rabbit mAb.
Immunohistochemistry Image 3: Phospho-eIF2 alpha (Ser51) (119A11) Rabbit Monoclonal Antibody
Orders: 877-616-CELL (2355) [email protected] Support: 877-678-TECH (8324) [email protected] Web: cellsignal.com
For Research Use Only. Not for Use in Diagnostic Procedures.

Revision 8

Cell Signaling Technology Logo
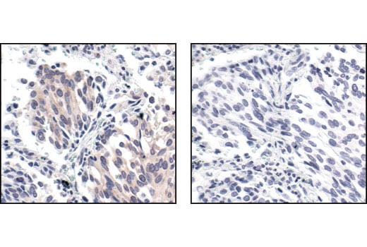
Immunohistochemical analysis of paraffin-embedded human lung carcinoma using Phospho-eIF2alpha (Ser51) (119A11) Rabbit mAb in the presence of control peptide (left) or Phospho-eIF2alpha (Ser51) Blocking Peptide (#1221) (right).
Immunohistochemistry Image 4: Phospho-eIF2 alpha (Ser51) (119A11) Rabbit Monoclonal Antibody
Orders: 877-616-CELL (2355) [email protected] Support: 877-678-TECH (8324) [email protected] Web: cellsignal.com
For Research Use Only. Not for Use in Diagnostic Procedures.