Revision 1

#45153

Store at -20C

CST Logo
Orders:

877-616-CELL (2355)

[email protected]

Support:

877-678-TECH (8324)

3 Trask Lane | Danvers | Massachusetts | 01923 | USA

For Research Use Only. Not for Use in Diagnostic Procedures.

Applications:
W, IP, ChIP, ChIP-seq, C&R

Reactivity:
H M R Mk

Sensitivity:
Endogenous

MW (kDa):
98

Source/Isotype:
Rabbit IgG

UniProt ID:
#Q15910

Entrez-Gene Id:
2146

Product Usage Information

For optimal ChIP and ChIP-seq results, use 10 μL of antibody and 10 μg of chromatin (approximately 4 x 106 cells) per IP. This antibody has been validated using SimpleChIP® Enzymatic Chromatin IP Kits.

The CUT&RUN dilution was determined using CUT&RUN Assay Kit #86652.
Application Dilution
Western Blotting 1:1000
Immunoprecipitation 1:50
Chromatin IP 1:50
Chromatin IP-seq 1:50
CUT&RUN 1:50

Storage

Supplied in 10 mM sodium HEPES (pH 7.5), 150 mM NaCl, 100 µg/mL BSA, 50% glycerol, and less than 0.02% sodium azide. Store at –20°C. Do not aliquot the antibody.

Specificity/Sensitivity

Phospho-Ezh2 (Thr345) (E7T7K) Rabbit Monoclonal Antibody recognizes endogenous levels of total Ezh2 protein only when phosphorylated at Thr345. This antibody may detect a band of unknown origin around 135 kDa.

Source / Purification

Monoclonal antibody is produced by immunizing animals with a synthetic phosphopeptide corresponding to residues surrounding Thr345 of human Ezh2 protein.

Background

The polycomb group (PcG) proteins are involved in maintaining the silenced state of several developmentally regulated genes and contribute to the maintenance of cell identity, cell cycle regulation, and oncogenesis (1,2). Enhancer of zeste homolog 2 (Ezh2), a member of this large protein family, contains four conserved regions, including domain I, domain II, and a cysteine-rich amino acid stretch that precedes the carboxy-terminal SET domain (3). The SET domain has been linked with histone methyltransferase (HMTase) activity. Moreover, mammalian Ezh2 is a member of a histone deacetylase complex that functions in gene silencing, acting at the level of chromatin structure (4). Ezh2 complexes methylate histone H3 at Lys9 and 27 in vitro, which is thought to be involved in targeting transcriptional regulators to specific loci (5). Ezh2 is deregulated in various tumor types, and its role, both as a primary effector and as a mediator of tumorigenesis, has become a subject of increased interest (6).

Ezh2 is phosphorylated on Thr345 by cyclin-dependent kinase 1 (CDK1), which increases targeting of Ezh2 to its target loci and promotes methylation of H3 at Lys27 (7,8). This activated form of Ezh2 may deposit initial H3K27me3 marks onto newly synthesized daughter strands of DNA during replication (9). In addition, phosphorylation of Thr345 affects Ezh2 stability by promoting its ubiquitination and subsequent degradation (9).

Species Reactivity

Species reactivity is determined by testing in at least one approved application (e.g., western blot).

Western Blot Buffer

IMPORTANT: For western blots, incubate membrane with diluted primary antibody in 5% w/v BSA, 1X TBS, 0.1% Tween® 20 at 4°C with gentle shaking, overnight.

Applications Key

W: Western Blotting IP: Immunoprecipitation ChIP: Chromatin IP ChIP-seq: Chromatin IP-seq C&R: CUT&RUN

Cross-Reactivity Key

H: Human M: Mouse R: Rat Mk: Monkey

Trademarks and Patents

Cell Signaling Technology is a trademark of Cell Signaling Technology, Inc.

SimpleChIP is a registered trademark of Cell Signaling Technology, Inc.

All other trademarks are the property of their respective owners. Visit cellsignal.com/trademarks for more information.

Limited Uses

Except as otherwise expressly agreed in a writing signed by a legally authorized representative of CST, the following terms apply to Products provided by CST, its affiliates or its distributors. Any Customer's terms and conditions that are in addition to, or different from, those contained herein, unless separately accepted in writing by a legally authorized representative of CST, are rejected and are of no force or effect.

Products are labeled with For Research Use Only or a similar labeling statement and have not been approved, cleared, or licensed by the FDA or other regulatory foreign or domestic entity, for any purpose. Customer shall not use any Product for any diagnostic or therapeutic purpose, or otherwise in any manner that conflicts with its labeling statement. Products sold or licensed by CST are provided for Customer as the end-user and solely for research and development uses. Any use of Product for diagnostic, prophylactic or therapeutic purposes, or any purchase of Product for resale (alone or as a component) or other commercial purpose, requires a separate license from CST. Customer shall (a) not sell, license, loan, donate or otherwise transfer or make available any Product to any third party, whether alone or in combination with other materials, or use the Products to manufacture any commercial products, (b) not copy, modify, reverse engineer, decompile, disassemble or otherwise attempt to discover the underlying structure or technology of the Products, or use the Products for the purpose of developing any products or services that would compete with CST products or services, (c) not alter or remove from the Products any trademarks, trade names, logos, patent or copyright notices or markings, (d) use the Products solely in accordance with CST Product Terms of Sale and any applicable documentation, and (e) comply with any license, terms of service or similar agreement with respect to any third party products or services used by Customer in connection with the Products.

Orders: 877-616-CELL (2355) [email protected] Support: 877-678-TECH (8324) [email protected] Web: cellsignal.com
For Research Use Only. Not for Use in Diagnostic Procedures.

Revision 1

Cell Signaling Technology Logo
Western blot analysis of extracts from HCT 116 cells, untreated (-) or treated with λ phosphatase and calf intestinal phosphatase (CIP) (+), using Phospho-Ezh2 (Thr345) (E7T7K) Rabbit mAb (upper) or Ezh2 (D2C9) XP® Rabbit mAb #5246 (lower).
Western Blotting Image 1: Phospho-Ezh2 (Thr345) (E7T7K) Rabbit Monoclonal Antibody
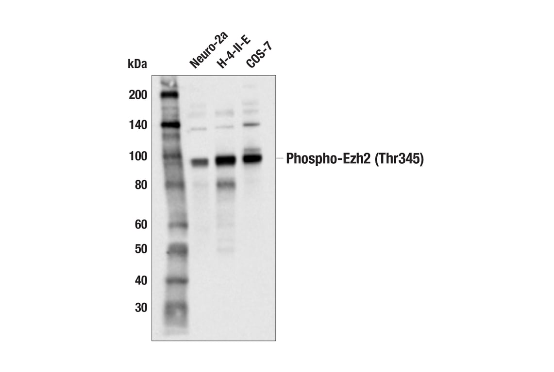
Western blot analysis of extracts from Neuro-2a, H-4-II-E, and COS-7 cells using Phospho-Ezh2 (Thr345) (E7T7K) Rabbit mAb.
Western Blotting Image 2: Phospho-Ezh2 (Thr345) (E7T7K) Rabbit Monoclonal Antibody
Immunoprecipitation of phospho-Ezh2 (Thr345) protein from NCCIT cell extracts. Lane 1 is 10% input, lane 2 is Rabbit (DA1E) mAb IgG XP® Isotype Control #3900, and lane 3 is Phospho-Ezh2 (Thr345) (E7T7K) Rabbit mAb. Western blot analysis was performed using Phospho-Ezh2 (Thr345) (E7T7K) Rabbit mAb. Anti-rabbit IgG, HRP-linked Antibody #7074 was used as a secondary antibody.
Immunoprecipitation Image 1: Phospho-Ezh2 (Thr345) (E7T7K) Rabbit Monoclonal Antibody
Orders: 877-616-CELL (2355) [email protected] Support: 877-678-TECH (8324) [email protected] Web: cellsignal.com
For Research Use Only. Not for Use in Diagnostic Procedures.

Revision 1

Cell Signaling Technology Logo
Chromatin immunoprecipitations were performed with cross-linked chromatin from NCCIT cells and either Phospho-Ezh2 (Thr345) (E7T7K) Rabbit mAb or Ezh2 (D2C9) XP® Rabbit mAb #5246, using SimpleChIP® Plus Enzymatic Chromatin IP Kit (Magnetic Beads) #9005. DNA Libraries were prepared using DNA Library Prep Kit for Illumina Systems (ChIP-seq, CUT&RUN) #56795. The figure shows binding across HoxA, a known target gene of Ezh2 (see additional figure containing ChIP-qPCR data).
Chromatin Immunoprecipitation Image 1: Phospho-Ezh2 (Thr345) (E7T7K) Rabbit Monoclonal Antibody
Chromatin immunoprecipitations were performed with cross-linked chromatin from NCCIT cells and either Phospho-Ezh2 (Thr345) (E7T7K) Rabbit mAb or Ezh2 (D2C9) XP® Rabbit mAb #5246, using SimpleChIP® Plus Enzymatic Chromatin IP Kit (Magnetic Beads) #9005. DNA Libraries were prepared using DNA Library Prep Kit for Illumina Systems (ChIP-seq, CUT&RUN) #56795. The figures show binding across HoxA (upper) and HoxD (lower), known target genes of Ezh2 (see additional figure containing ChIP-qPCR data).
Chromatin Immunoprecipitation Image 2: Phospho-Ezh2 (Thr345) (E7T7K) Rabbit Monoclonal Antibody
Chromatin immunoprecipitations were performed with cross-linked chromatin from NCCIT cells and either Phospho-Ezh2 (Thr345) (E7T7K) Rabbit mAb or Normal Rabbit IgG #2729 using SimpleChIP® Plus Enzymatic Chromatin IP Kit (Magnetic Beads) #9005. The enriched DNA was quantified by real-time PCR using SimpleChIP® Human HoxA1 Intron 1 Primers #7707, SimpleChIP® Human HoxA2 Promoter Primers #5517, and SimpleChIP® Human α Satellite Repeat Primers #4486. The amount of immunoprecipitated DNA in each sample is represented as signal relative to the total amount of input chromatin, which is equivalent to one.
Chromatin Immunoprecipitation Image 3: Phospho-Ezh2 (Thr345) (E7T7K) Rabbit Monoclonal Antibody
Orders: 877-616-CELL (2355) [email protected] Support: 877-678-TECH (8324) [email protected] Web: cellsignal.com
For Research Use Only. Not for Use in Diagnostic Procedures.

Revision 1

Cell Signaling Technology Logo
CUT&RUN was performed with NCCIT cells and Phospho-Ezh2 (Thr345) (E7T7K) Rabbit mAb using CUT&RUN Assay Kit #86652. DNA library was prepared using DNA Library Prep Kit for Illumina Systems (ChIP-seq, CUT&RUN) #56795. The figure shows binding across NR2E1, a known target gene of Ezh2 (see additional figure containing CUT&RUN-qPCR data).
CUT & RUN Image 1: Phospho-Ezh2 (Thr345) (E7T7K) Rabbit Monoclonal Antibody
CUT&RUN was performed with NCCIT cells and Phospho-Ezh2 (Thr345) (E7T7K) Rabbit mAb using CUT&RUN Assay Kit #86652. DNA library was prepared using DNA Library Prep Kit for Illumina Systems (ChIP-seq, CUT&RUN) #56795. The figures show binding across chromosome 6 (upper), including NR2E1 (lower), a known target gene of Ezh2 (see additional figure containing CUT&RUN-qPCR data).
CUT & RUN Image 2: Phospho-Ezh2 (Thr345) (E7T7K) Rabbit Monoclonal Antibody
CUT&RUN was performed with NCCIT cells and either Phospho-Ezh2 (Thr345) (E7T7K) Rabbit mAb or Rabbit (DA1E) mAb IgG XP® Isotype Control (CUT&RUN) #66362, using CUT&RUN Assay Kit #86652. The enriched DNA was quantified by real-time PCR using human NR2E1 promoter primers and human BRD2 upstream primers. The amount of immunoprecipitated DNA in each sample is represented as signal relative to the total amount of input chromatin, which is equivalent to one.
CUT & RUN Image 3: Phospho-Ezh2 (Thr345) (E7T7K) Rabbit Monoclonal Antibody
Orders: 877-616-CELL (2355) [email protected] Support: 877-678-TECH (8324) [email protected] Web: cellsignal.com
For Research Use Only. Not for Use in Diagnostic Procedures.