Revision 7

#3471

Store at -20C

CST Logo
Orders:

877-616-CELL (2355)

[email protected]

Support:

877-678-TECH (8324)

3 Trask Lane | Danvers | Massachusetts | 01923 | USA

For Research Use Only. Not for Use in Diagnostic Procedures.

Applications:
W, W-S

Reactivity:
H

Sensitivity:
Endogenous

MW (kDa):
120, 145

Source/Isotype:
Rabbit

UniProt ID:
#P11362

Entrez-Gene Id:
2260

Product Usage Information

Application Dilution
Western Blotting 1:1000
Simple Western™ 1:10 - 1:50

Storage

Supplied in 10 mM sodium HEPES (pH 7.5), 150 mM NaCl, 100 µg/ml BSA and 50% glycerol. Store at –20°C. Do not aliquot the antibody.

Specificity/Sensitivity

Phospho-FGF Receptor (Tyr653/654) Antibody detects endogenous levels of FGF receptors only when phosphorylated at tyrosines 653/654. This antibody detects phosphorylated FGF Receptors 2 and 4 when expressed exogenously. Based on sequence comparisons, reactivity with FGF Receptor 3 is possible but has not been experimentally confirmed. This antibody also cross-reacts with activated PDGF receptor and insulin/IGF-I receptors.

Species predicted to react based on 100% sequence homology

Mouse, Rat

Source / Purification

Polyclonal antibodies are produced by immunizing animals with a synthetic peptide corresponding to residues surrounding Tyr653/654 of human FGFR-1 (the corresponding sequence is the same in FGFR-2, -3 and -4). Antibodies are purified by protein A and peptide affinity chromatography.

Background

Fibroblast growth factors (FGFs) produce mitogenic and angiogenic effects in target cells by signaling through cell surface receptor tyrosine kinases. There are four members of the FGF receptor family: FGFR1 (flg), FGFR2 (bek, KGFR), FGFR3, and FGFR4. Each receptor contains an extracellular ligand-binding domain, a transmembrane domain, and a cytoplasmic kinase domain (1). Following ligand binding and dimerization, the receptors are phosphorylated at specific tyrosine residues (2). Seven tyrosine residues in the cytoplasmic tail of FGFR1 can be phosphorylated: Tyr463, 583, 585, 653, 654, 730, and 766. Tyr653 and Tyr654 are important for catalytic activity of activated FGFR and are essential for signaling (3). The other phosphorylated tyrosine residues may provide docking sites for downstream signaling components, such as Crk and PLCγ (4,5).

Species Reactivity

Species reactivity is determined by testing in at least one approved application (e.g., western blot).

Western Blot Buffer

IMPORTANT: For western blots, incubate membrane with diluted primary antibody in 5% w/v BSA, 1X TBS, 0.1% Tween® 20 at 4°C with gentle shaking, overnight.

Applications Key

W: Western Blotting W-S: Simple Western™

Cross-Reactivity Key

H: Human

Trademarks and Patents

Cell Signaling Technology is a trademark of Cell Signaling Technology, Inc.

All other trademarks are the property of their respective owners. Visit cellsignal.com/trademarks for more information.

Limited Uses

Except as otherwise expressly agreed in a writing signed by a legally authorized representative of CST, the following terms apply to Products provided by CST, its affiliates or its distributors. Any Customer's terms and conditions that are in addition to, or different from, those contained herein, unless separately accepted in writing by a legally authorized representative of CST, are rejected and are of no force or effect.

Products are labeled with For Research Use Only or a similar labeling statement and have not been approved, cleared, or licensed by the FDA or other regulatory foreign or domestic entity, for any purpose. Customer shall not use any Product for any diagnostic or therapeutic purpose, or otherwise in any manner that conflicts with its labeling statement. Products sold or licensed by CST are provided for Customer as the end-user and solely for research and development uses. Any use of Product for diagnostic, prophylactic or therapeutic purposes, or any purchase of Product for resale (alone or as a component) or other commercial purpose, requires a separate license from CST. Customer shall (a) not sell, license, loan, donate or otherwise transfer or make available any Product to any third party, whether alone or in combination with other materials, or use the Products to manufacture any commercial products, (b) not copy, modify, reverse engineer, decompile, disassemble or otherwise attempt to discover the underlying structure or technology of the Products, or use the Products for the purpose of developing any products or services that would compete with CST products or services, (c) not alter or remove from the Products any trademarks, trade names, logos, patent or copyright notices or markings, (d) use the Products solely in accordance with CST Product Terms of Sale and any applicable documentation, and (e) comply with any license, terms of service or similar agreement with respect to any third party products or services used by Customer in connection with the Products.

Orders: 877-616-CELL (2355) [email protected] Support: 877-678-TECH (8324) [email protected] Web: cellsignal.com
For Research Use Only. Not for Use in Diagnostic Procedures.

Revision 7

Cell Signaling Technology Logo
Western blot analysis of extracts from 293 cells overexpressing human FGFR-1, untreated or calf intestinal phosphatase (CIP)-treated, using Phospho-FGF Receptor (Tyr653/654) Antibody (upper) or FGF Receptor 1 Antibody #3472 (lower). Overexpression of human FGFR-1 protein in 293 cells results in constitutive activation of the receptors (courtesy of Dr. Pamela Maher, personal communication). CIP treatment abolishes the reactivity of this antibody to FGFR-1.
Western Blotting Image 1: Phospho-FGF Receptor (Tyr653/654) Antibody
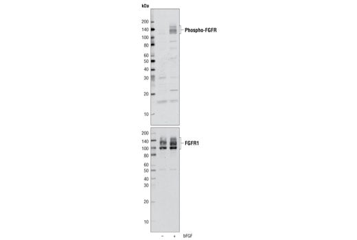
Western blot analysis of extracts from A-204 cells treated with or without bFGF, using Phospho-FGF Receptor (Tyr653/654) Antibody (upper) and FGF Receptor 1 (D8E4) XP® Rabbit mAb (lower).
Western Blotting Image 2: Phospho-FGF Receptor (Tyr653/654) Antibody
Simple Western™ analysis of lysates (0.1 mg/mL) from KatoIII cells using Phospho-FGF Receptor (Tyr653/654) Antibody #3471. The virtual lane view (left) shows the target (as indicated) at 1:10 and 1:50 dilutions of primary antibody. The corresponding electropherogram view (right) plots chemiluminescence by molecular weight along the capillary at 1:10 (blue line) and 1:50 (green line) dilutions of primary antibody. This experiment was performed under reducing conditions on the Jess™ Simple Western instrument from ProteinSimple, a BioTechne brand, using the 12-230 kDa separation module.
Western Blotting Image 1: Phospho-FGF Receptor (Tyr653/654) Antibody
Orders: 877-616-CELL (2355) [email protected] Support: 877-678-TECH (8324) [email protected] Web: cellsignal.com
For Research Use Only. Not for Use in Diagnostic Procedures.