Revision 3

#14170

Store at -20C

CST Logo
Orders:

877-616-CELL (2355)

[email protected]

Support:

877-678-TECH (8324)

3 Trask Lane | Danvers | Massachusetts | 01923 | USA

For Research Use Only. Not for Use in Diagnostic Procedures.

Applications:
W

Reactivity:
H

Sensitivity:
Endogenous

MW (kDa):
125

Source/Isotype:
Rabbit

UniProt ID:
#Q08050

Entrez-Gene Id:
2305

Product Usage Information

Application Dilution
Western Blotting 1:1000

Storage

Supplied in 10 mM sodium HEPES (pH 7.5), 150 mM NaCl, 100 µg/ml BSA and 50% glycerol. Store at –20°C. Do not aliquot the antibody.

Specificity/Sensitivity

Phospho-FoxM1 (Ser35) Antibody recognizes endogenous levels of FoxM1 protein only when phosphorylated at Ser35.

Source / Purification

Polyclonal antibodies are produced by immunizing animals with a synthetic phosphopeptide corresponding to residues surrounding Ser35 of human FoxM1 protein. Antibodies are purified by protein A and peptide affinity chromatography.

Background

Forkhead box M1 (FoxM1) is a forkhead box family transcription factor that regulates a number of genes throughout the cell cycle to help control DNA replication, mitosis, and cell proliferation. FoxM1 expression increases during G1 and S and reaches maximum levels in G2/M (1-3). Nuclear translocation occurs just before entry into G2/M and is associated with FoxM1 phosphorylation (4). Phosphorylation of FoxM1 by MAPK (Ser331, Ser704), Cyclin/Cdk (Ser4, Ser35, Thr600, Thr611, Thr620, Thr627, Ser638), Plk1 (Ser715, Ser724), and Chk2 (Ser376) stabilizes and activates FoxM1 (4-8). Forkhead box M1 is expressed in all embryonic tissues but is restricted to proliferating tissues in adults (9). Research studies show that FoxM1 expression is negatively regulated by p53 (10,11). Upregulation of FoxM1 is associated with many human cancers, including prostate, breast, lung, ovary, colon, pancreas, stomach, bladder, liver, and kidney, and may be associated with p53 mutations in some tumors (11,12). As a result, FoxM1 inhibitors have become a topic of interest for potential cancer therapy (13).

Species Reactivity

Species reactivity is determined by testing in at least one approved application (e.g., western blot).

Western Blot Buffer

IMPORTANT: For western blots, incubate membrane with diluted primary antibody in 5% w/v nonfat dry milk, 1X TBS, 0.1% Tween® 20 at 4°C with gentle shaking, overnight.

Applications Key

W: Western Blotting

Cross-Reactivity Key

H: Human

Trademarks and Patents

Cell Signaling Technology is a trademark of Cell Signaling Technology, Inc.

All other trademarks are the property of their respective owners. Visit cellsignal.com/trademarks for more information.

Limited Uses

Except as otherwise expressly agreed in a writing signed by a legally authorized representative of CST, the following terms apply to Products provided by CST, its affiliates or its distributors. Any Customer's terms and conditions that are in addition to, or different from, those contained herein, unless separately accepted in writing by a legally authorized representative of CST, are rejected and are of no force or effect.

Products are labeled with For Research Use Only or a similar labeling statement and have not been approved, cleared, or licensed by the FDA or other regulatory foreign or domestic entity, for any purpose. Customer shall not use any Product for any diagnostic or therapeutic purpose, or otherwise in any manner that conflicts with its labeling statement. Products sold or licensed by CST are provided for Customer as the end-user and solely for research and development uses. Any use of Product for diagnostic, prophylactic or therapeutic purposes, or any purchase of Product for resale (alone or as a component) or other commercial purpose, requires a separate license from CST. Customer shall (a) not sell, license, loan, donate or otherwise transfer or make available any Product to any third party, whether alone or in combination with other materials, or use the Products to manufacture any commercial products, (b) not copy, modify, reverse engineer, decompile, disassemble or otherwise attempt to discover the underlying structure or technology of the Products, or use the Products for the purpose of developing any products or services that would compete with CST products or services, (c) not alter or remove from the Products any trademarks, trade names, logos, patent or copyright notices or markings, (d) use the Products solely in accordance with CST Product Terms of Sale and any applicable documentation, and (e) comply with any license, terms of service or similar agreement with respect to any third party products or services used by Customer in connection with the Products.

Orders: 877-616-CELL (2355) [email protected] Support: 877-678-TECH (8324) [email protected] Web: cellsignal.com
For Research Use Only. Not for Use in Diagnostic Procedures.

Revision 3

Cell Signaling Technology Logo
Western blot analysis of extracts from U-2 OS cells synchronized in mitosis with Nocodazole #2190 (100 ng/ml, 18 hr) and released into fresh medium for the indicated times, using Phospho-FoxM1 (Ser35) Antibody (upper), FoxM1 (D12D5) XP® Rabbit mAb #5436 (middle) or α-Actinin (D6F6) XP® Rabbit mAb #6487 (lower).
Western Blotting Image 1: Phospho-FoxM1 (Ser35) Antibody
Western blot analysis of extracts from HeLa cells that are untreated (-), synchronized in S-phase by double thymidine block (2 mM, 18 hr; +), or synchronized in mitosis with double thymidine block followed by release into fresh medium containing Nocodazole #2190 (100 ng/ml, 18 hr; +), using Phospho-FoxM1 (Ser35) Antibody (upper), FoxM1 (D12D5) XP® Rabbit mAb #5436 (middle) or α-Actinin (D6F6) XP® Rabbit mAb #6487 (lower).
Western Blotting Image 2: Phospho-FoxM1 (Ser35) Antibody
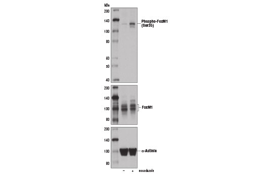
Western blot analysis of extracts from ACHN cells that are untreated (-) or synchronized in mitosis with Nocodazole #2190 (100 ng/ml, 18 hr; +), using Phospho-FoxM1 (Ser35) Antibody (upper), FoxM1 (D12D5) XP® Rabbit mAb #5436 (middle) or α-Actinin (D6F6) XP® Rabbit mAb #6487 (lower).
Western Blotting Image 3: Phospho-FoxM1 (Ser35) Antibody
Orders: 877-616-CELL (2355) [email protected] Support: 877-678-TECH (8324) [email protected] Web: cellsignal.com
For Research Use Only. Not for Use in Diagnostic Procedures.