Revision 1

#84192

Store at -20C

CST Logo
Orders:

877-616-CELL (2355)

[email protected]

Support:

877-678-TECH (8324)

3 Trask Lane | Danvers | Massachusetts | 01923 | USA

For Research Use Only. Not for Use in Diagnostic Procedures.

Applications:
W, IP

Reactivity:
H M R Mk

Sensitivity:
Endogenous

MW (kDa):
82

Source/Isotype:
Rabbit IgG

UniProt ID:
#Q12778

Entrez-Gene Id:
2308

Product Usage Information

Application Dilution
Western Blotting 1:1000
Immunoprecipitation 1:50

Storage

Supplied in 10 mM sodium HEPES (pH 7.5), 150 mM NaCl, 100 µg/ml BSA, 50% glycerol and less than 0.02% sodium azide. Store at –20°C. Do not aliquot the antibody.

Specificity/Sensitivity

Phospho-FoxO1 (Ser256) (E1F7T) Rabbit Monoclonal Antibody recognizes endogenous levels of FoxO1 protein only when phosphorylated at Ser256. This antibody cross-reacts with overexpressed FoxO4 phosphorylated at Ser193 and may cross-react with overexpressed FoxO3a phosphorylated at Ser253. This antibody also cross-reacts with a protein of unknown origin around 160kD.

Source / Purification

Monoclonal antibody is produced by immunizing animals with a synthetic peptide corresponding to residues surrounding Ser256 of human FoxO1 protein.

Background

The Forkhead family of transcription factors is involved in tumorigenesis of rhabdomyosarcoma and acute leukemias (1-3). Within the family, three members (FoxO1, FoxO4, and FoxO3a) have sequence similarity to the nematode orthologue DAF-16, which mediates signaling via a pathway involving IGFR1, PI3K, and Akt (4-6). Active forkhead members act as tumor suppressors by promoting cell cycle arrest and apoptosis. Increased expression of any FoxO member results in the activation of the cell cycle inhibitor p27 Kip1. Forkhead transcription factors also play a part in TGF-β-mediated upregulation of p21 Cip1, a process negatively regulated through PI3K (7). Increased proliferation results when forkhead transcription factors are inactivated through phosphorylation by Akt at Thr24, Ser256, and Ser319, which results in nuclear export and inhibition of transcription factor activity (8). Forkhead transcription factors can also be inhibited by the deacetylase sirtuin (SirT1) (9).

Species Reactivity

Species reactivity is determined by testing in at least one approved application (e.g., western blot).

Western Blot Buffer

IMPORTANT: For western blots, incubate membrane with diluted primary antibody in 5% w/v BSA, 1X TBS, 0.1% Tween® 20 at 4°C with gentle shaking, overnight.

Applications Key

W: Western Blotting IP: Immunoprecipitation

Cross-Reactivity Key

H: Human M: Mouse R: Rat Mk: Monkey

Trademarks and Patents

Cell Signaling Technology is a trademark of Cell Signaling Technology, Inc.

All other trademarks are the property of their respective owners. Visit cellsignal.com/trademarks for more information.

Limited Uses

Except as otherwise expressly agreed in a writing signed by a legally authorized representative of CST, the following terms apply to Products provided by CST, its affiliates or its distributors. Any Customer's terms and conditions that are in addition to, or different from, those contained herein, unless separately accepted in writing by a legally authorized representative of CST, are rejected and are of no force or effect.

Products are labeled with For Research Use Only or a similar labeling statement and have not been approved, cleared, or licensed by the FDA or other regulatory foreign or domestic entity, for any purpose. Customer shall not use any Product for any diagnostic or therapeutic purpose, or otherwise in any manner that conflicts with its labeling statement. Products sold or licensed by CST are provided for Customer as the end-user and solely for research and development uses. Any use of Product for diagnostic, prophylactic or therapeutic purposes, or any purchase of Product for resale (alone or as a component) or other commercial purpose, requires a separate license from CST. Customer shall (a) not sell, license, loan, donate or otherwise transfer or make available any Product to any third party, whether alone or in combination with other materials, or use the Products to manufacture any commercial products, (b) not copy, modify, reverse engineer, decompile, disassemble or otherwise attempt to discover the underlying structure or technology of the Products, or use the Products for the purpose of developing any products or services that would compete with CST products or services, (c) not alter or remove from the Products any trademarks, trade names, logos, patent or copyright notices or markings, (d) use the Products solely in accordance with CST Product Terms of Sale and any applicable documentation, and (e) comply with any license, terms of service or similar agreement with respect to any third party products or services used by Customer in connection with the Products.

Orders: 877-616-CELL (2355) [email protected] Support: 877-678-TECH (8324) [email protected] Web: cellsignal.com
For Research Use Only. Not for Use in Diagnostic Procedures.

Revision 1

Cell Signaling Technology Logo
Western blot analysis of extracts from 293T cells, untreated or phosphatase-treated, using Phospho-Fox01 (Ser256) (E1F7T) Rabbit mAb (upper), FoxO1 (C29H4) Rabbit mAb #2880 (lower).
Western Blotting Image 1: Phospho-FoxO1 (Ser256) (E1F7T) Rabbit Monoclonal Antibody
Western blot analysis of extracts from C2C12 cells, insulin-treated (100 nM, 15 min) or LY294002-treated #9901 (50 μM, 2 hr), using Phospho-FoxO1 (Ser256) (E1F7T) Rabbit mAb (upper) or FoxO1 (C29H4) Rabbit mAb #2880 (lower).
Western Blotting Image 2: Phospho-FoxO1 (Ser256) (E1F7T) Rabbit Monoclonal Antibody
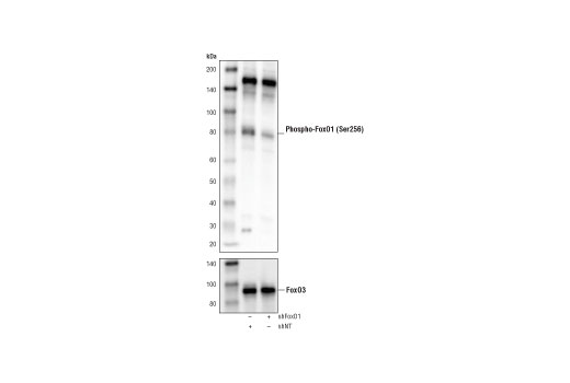
Western blot analysis of extracts from 293T cells expressing either non-targeting shRNA (shNT) or Fox01 shRNA (shFoxO1) using Phospho-FoxO1 (Ser256) (E1F7T) Rabbit mAb (upper) and FoxO3a (75D8) Rabbit mAb #2497 (lower). 293T shNT and shFoxO1 cells were kindly provided by Dr. Anne Brunet, Stanford University, Stanford CA.
Western Blotting Image 3: Phospho-FoxO1 (Ser256) (E1F7T) Rabbit Monoclonal Antibody
Orders: 877-616-CELL (2355) [email protected] Support: 877-678-TECH (8324) [email protected] Web: cellsignal.com
For Research Use Only. Not for Use in Diagnostic Procedures.