Revision 5

#47043

Store at -20C

CST Logo
Orders:

877-616-CELL (2355)

[email protected]

Support:

877-678-TECH (8324)

3 Trask Lane | Danvers | Massachusetts | 01923 | USA

For Research Use Only. Not for Use in Diagnostic Procedures.

Applications:
W, IP, IHC-P

Reactivity:
H M R Mk

Sensitivity:
Endogenous

MW (kDa):
85-90

Source/Isotype:
Rabbit IgG

UniProt ID:
#P13807

Entrez-Gene Id:
2997

Product Usage Information

Application Dilution
Western Blotting 1:1000
Immunoprecipitation 1:100
Immunohistochemistry (Paraffin) 1:1000

Storage

Supplied in 10 mM sodium HEPES (pH 7.5), 150 mM NaCl, 100 µg/ml BSA, 50% glycerol and less than 0.02% sodium azide. Store at –20°C. Do not aliquot the antibody.

For a carrier free (BSA and azide free) version of this product see product #98074.

Specificity/Sensitivity

Phospho-Glycogen Synthase (Ser641) (D4H1B) Rabbit Monoclonal Antibody recognizes endogenous levels of both muscle and liver isoforms of glycogen synthase protein only when phosphorylated at Ser641.

Source / Purification

Monoclonal antibody is produced by immunizing animals with a synthetic phosphopeptide corresponding to the sequence surrounding Ser641 of human liver glycogen synthase.

Background

Glycogen is a polysaccharide of glucose and serves as an energy storage in mammalian muscle and liver (1). Glycogen synthase catalyzes the rate-limiting step of glycogen biosynthesis and has two major isoforms in mammals: muscle isoform (glycogen synthase 1, GYS1) and liver isoform (glycogen synthase 2, GYS2), respectively (1). Glycogen synthase kinase-3α (GSK-3α) and glycogen synthase kinase-3β (GSK-3β) phosphorylate glycogen synthase at multiple sites in its C-terminus (Ser641, Ser645, Ser649, and Ser653), inhibiting its activity (2,3). Hypoxia alters glycogen metabolism including temporal changes of GYS1 expression and phosphorylation in cancer cells, suggesting the role of metabolic reprogramming of glycogen metabolism in cancer growth (1).

Species Reactivity

Species reactivity is determined by testing in at least one approved application (e.g., western blot).

Western Blot Buffer

IMPORTANT: For western blots, incubate membrane with diluted primary antibody in 5% w/v nonfat dry milk, 1X TBS, 0.1% Tween® 20 at 4°C with gentle shaking, overnight.

Applications Key

W: Western Blotting IP: Immunoprecipitation IHC-P: Immunohistochemistry (Paraffin)

Cross-Reactivity Key

H: Human M: Mouse R: Rat Mk: Monkey

Trademarks and Patents

Cell Signaling Technology is a trademark of Cell Signaling Technology, Inc.

SignalStain is a registered trademark of Cell Signaling Technology, Inc.

All other trademarks are the property of their respective owners. Visit cellsignal.com/trademarks for more information.

Limited Uses

Except as otherwise expressly agreed in a writing signed by a legally authorized representative of CST, the following terms apply to Products provided by CST, its affiliates or its distributors. Any Customer's terms and conditions that are in addition to, or different from, those contained herein, unless separately accepted in writing by a legally authorized representative of CST, are rejected and are of no force or effect.

Products are labeled with For Research Use Only or a similar labeling statement and have not been approved, cleared, or licensed by the FDA or other regulatory foreign or domestic entity, for any purpose. Customer shall not use any Product for any diagnostic or therapeutic purpose, or otherwise in any manner that conflicts with its labeling statement. Products sold or licensed by CST are provided for Customer as the end-user and solely for research and development uses. Any use of Product for diagnostic, prophylactic or therapeutic purposes, or any purchase of Product for resale (alone or as a component) or other commercial purpose, requires a separate license from CST. Customer shall (a) not sell, license, loan, donate or otherwise transfer or make available any Product to any third party, whether alone or in combination with other materials, or use the Products to manufacture any commercial products, (b) not copy, modify, reverse engineer, decompile, disassemble or otherwise attempt to discover the underlying structure or technology of the Products, or use the Products for the purpose of developing any products or services that would compete with CST products or services, (c) not alter or remove from the Products any trademarks, trade names, logos, patent or copyright notices or markings, (d) use the Products solely in accordance with CST Product Terms of Sale and any applicable documentation, and (e) comply with any license, terms of service or similar agreement with respect to any third party products or services used by Customer in connection with the Products.

Orders: 877-616-CELL (2355) [email protected] Support: 877-678-TECH (8324) [email protected] Web: cellsignal.com
For Research Use Only. Not for Use in Diagnostic Procedures.

Revision 5

Cell Signaling Technology Logo
Western blot analysis of extracts from NIH/3T3 cells, untreated (-) or treated (+) with λ phosphatase and calf intestinal alkaline phosphatase (CIP), using Phospho-Glycogen Synthase (Ser641) (D4H1B) XP® Rabbit mAb (upper) or Glycogen Synthase (15B1) Rabbit mAb #3886 (lower).
Western Blotting Image 1: Phospho-Glycogen Synthase (Ser641) (D4H1B) Rabbit Monoclonal Antibody
Western blot analysis of extracts from various cell lines using Phospho-Glycogen Synthase (Ser641) (D4H1B) XP® Rabbit mAb (upper), Glycogen Synthase 1 (GYS1) (F4L8X) Rabbit mAb #10371 (middle), or GAPDH (D16H11) XP® Rabbit mAb #5174 (lower).
Western Blotting Image 2: Phospho-Glycogen Synthase (Ser641) (D4H1B) Rabbit Monoclonal Antibody
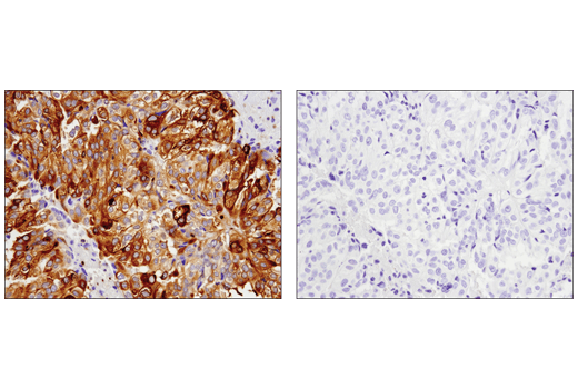
Immunohistochemical analysis of paraffin-embedded human ductal carcinoma of the breast using Phospho-Glycogen Synthase (Ser641) (D4H1B) XP® Rabbit mAb in the presence of control peptide (left) or antigen-specific peptide (right).
Immunohistochemistry Image 1: Phospho-Glycogen Synthase (Ser641) (D4H1B) Rabbit Monoclonal Antibody
Orders: 877-616-CELL (2355) [email protected] Support: 877-678-TECH (8324) [email protected] Web: cellsignal.com
For Research Use Only. Not for Use in Diagnostic Procedures.

Revision 5

Cell Signaling Technology Logo
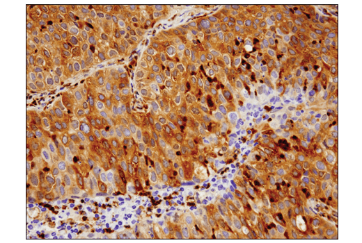
Immunohistochemical analysis of paraffin-embedded human lung carcinoma using Phospho-Glycogen Synthase (Ser641) (D4H1B) XP® Rabbit mAb.
Immunohistochemistry Image 2: Phospho-Glycogen Synthase (Ser641) (D4H1B) Rabbit Monoclonal Antibody
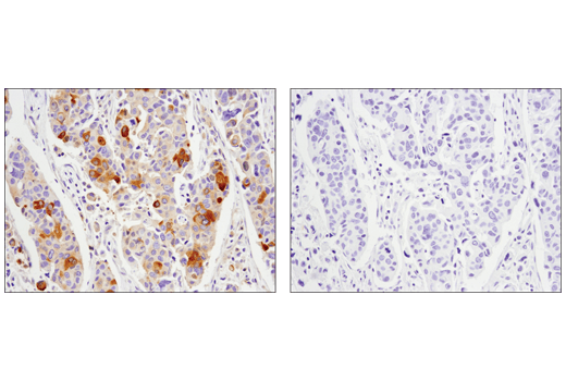
Immunohistochemical analysis of paraffin-embedded human endometrioid adenocarcinoma, untreated (left) or λ phosphatase treated (right), using Phospho-Glycogen Synthase (Ser641) (D4H1B) XP® Rabbit mAb.
Immunohistochemistry Image 3: Phospho-Glycogen Synthase (Ser641) (D4H1B) Rabbit Monoclonal Antibody
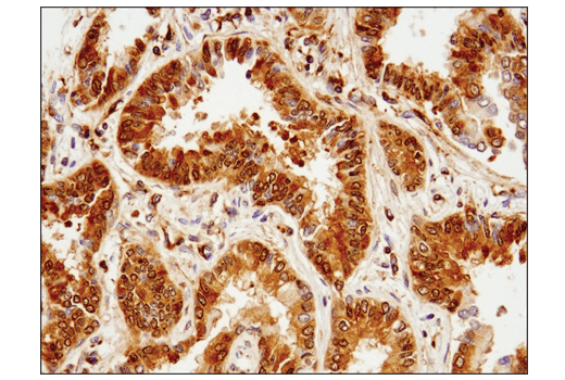
Immunohistochemical analysis of paraffin-embedded human squamous cell carcinoma of the lung using Phospho-Glycogen Synthase (Ser641) (D4H1B) XP® Rabbit mAb.
Immunohistochemistry Image 4: Phospho-Glycogen Synthase (Ser641) (D4H1B) Rabbit Monoclonal Antibody
Orders: 877-616-CELL (2355) [email protected] Support: 877-678-TECH (8324) [email protected] Web: cellsignal.com
For Research Use Only. Not for Use in Diagnostic Procedures.

Revision 5

Cell Signaling Technology Logo
Western blot analysis of extracts from NIH/3T3 cells, untreated (-) or treated (+) with λ phosphatase and calf intestinal alkaline phosphatase (CIP), using Phospho-Glycogen Synthase (Ser641) (D4H1B) XP® Rabbit mAb (upper) or Glycogen Synthase (15B1) Rabbit mAb #3886 (lower).
undefined Image 1: Phospho-Glycogen Synthase (Ser641) (D4H1B) Rabbit Monoclonal Antibody
Immunohistochemical analysis of paraffin-embedded human ductal carcinoma of the breast using Phospho-Glycogen Synthase (Ser641) (D4H1B) XP® Rabbit mAb in the presence of control peptide (left) or antigen-specific peptide (right).
undefined Image 2: Phospho-Glycogen Synthase (Ser641) (D4H1B) Rabbit Monoclonal Antibody
Immunohistochemical analysis of paraffin-embedded human lung carcinoma using Phospho-Glycogen Synthase (Ser641) (D4H1B) XP® Rabbit mAb.
undefined Image 3: Phospho-Glycogen Synthase (Ser641) (D4H1B) Rabbit Monoclonal Antibody
Orders: 877-616-CELL (2355) [email protected] Support: 877-678-TECH (8324) [email protected] Web: cellsignal.com
For Research Use Only. Not for Use in Diagnostic Procedures.

Revision 5

Cell Signaling Technology Logo
Immunohistochemical analysis of paraffin-embedded human endometrioid adenocarcinoma, untreated (left) or λ phosphatase treated (right), using Phospho-Glycogen Synthase (Ser641) (D4H1B) XP® Rabbit mAb.
undefined Image 4: Phospho-Glycogen Synthase (Ser641) (D4H1B) Rabbit Monoclonal Antibody
Immunohistochemical analysis of paraffin-embedded human squamous cell carcinoma of the lung using Phospho-Glycogen Synthase (Ser641) (D4H1B) XP® Rabbit mAb.
undefined Image 5: Phospho-Glycogen Synthase (Ser641) (D4H1B) Rabbit Monoclonal Antibody
Orders: 877-616-CELL (2355) [email protected] Support: 877-678-TECH (8324) [email protected] Web: cellsignal.com
For Research Use Only. Not for Use in Diagnostic Procedures.