Revision 1

#25462

Store at -20C

CST Logo
Orders:

877-616-CELL (2355)

[email protected]

Support:

877-678-TECH (8324)

3 Trask Lane | Danvers | Massachusetts | 01923 | USA

For Research Use Only. Not for Use in Diagnostic Procedures.

Applications:
W, IHC-P, IF-IC

Reactivity:
H M R Mk

Sensitivity:
Endogenous

MW (kDa):
46

Source/Isotype:
Rabbit IgG

UniProt ID:
#P49841

Entrez-Gene Id:
2932

Product Usage Information

This product is the carrier free version of product #9323. All data were generated using the same antibody clone in the standard formulation which contains BSA and glycerol.

This formulation is ideal for use with technologies requiring specialized or custom antibody labeling, including fluorophores, metals, lanthanides, and oligonucleotides. It is not recommended for ChIP, ChIP-seq, CUT&RUN or CUT&Tag assays. If you require a carrier free formulation for chromatin profiling, please contact us. Optimal dilutions/concentrations should be determined by the end user.

BSA and Azide Free antibodies are quality control tested by size exclusion chromatography (SEC) to determine antibody integrity.

Formulation

Supplied in 1X PBS (10 mM Na2HPO4, 3 mM KCl, 2 mM KH2PO4, and 140 mM NaCl (pH 7.8)). BSA and Azide Free.

For standard formulation of this product see product #9323

Storage

Store at -20°C. This product will freeze at -20°C so it is recommended to aliquot into single-use vials to avoid multiple freeze/thaw cycles. A slight precipitate may be present and can be dissolved by gently vortexing. This will not interfere with antibody performance.

Specificity/Sensitivity

Phospho-GSK-3 beta (Ser9) (5B3) Rabbit Monoclonal Antibody (BSA and Azide Free) detects endogenous levels of GSK-3β only when phosphorylated at Ser9. This antibody may cross-react weakly with the phosphorylated form of GSK-3α due to high sequence homology.

Source / Purification

Monoclonal antibody is produced by immunizing animals with a synthetic phosphopeptide corresponding to residues around Ser9 of human GSK-3β.

Background

Glycogen synthase kinase-3 (GSK-3) was initially identified as an enzyme that regulates glycogen synthesis in response to insulin (1). GSK-3 is a ubiquitously expressed serine/threonine protein kinase that phosphorylates and inactivates glycogen synthase. GSK-3 is a critical downstream element of the PI3K/Akt cell survival pathway whose activity can be inhibited by Akt-mediated phosphorylation at Ser21 of GSK-3α and Ser9 of GSK-3β (2,3). GSK-3 has been implicated in the regulation of cell fate in Dictyostelium and is a component of the Wnt signaling pathway required for Drosophila, Xenopus, and mammalian development (4). GSK-3 has been shown to regulate cyclin D1 proteolysis and subcellular localization (5).

Species Reactivity

Species reactivity is determined by testing in at least one approved application (e.g., western blot).

Applications Key

W: Western Blotting IHC-P: Immunohistochemistry (Paraffin) IF-IC: Immunofluorescence (Immunocytochemistry)

Cross-Reactivity Key

H: Human M: Mouse R: Rat Mk: Monkey

Trademarks and Patents

Cell Signaling Technology is a trademark of Cell Signaling Technology, Inc.

All other trademarks are the property of their respective owners. Visit cellsignal.com/trademarks for more information.

Limited Uses

Except as otherwise expressly agreed in a writing signed by a legally authorized representative of CST, the following terms apply to Products provided by CST, its affiliates or its distributors. Any Customer's terms and conditions that are in addition to, or different from, those contained herein, unless separately accepted in writing by a legally authorized representative of CST, are rejected and are of no force or effect.

Products are labeled with For Research Use Only or a similar labeling statement and have not been approved, cleared, or licensed by the FDA or other regulatory foreign or domestic entity, for any purpose. Customer shall not use any Product for any diagnostic or therapeutic purpose, or otherwise in any manner that conflicts with its labeling statement. Products sold or licensed by CST are provided for Customer as the end-user and solely for research and development uses. Any use of Product for diagnostic, prophylactic or therapeutic purposes, or any purchase of Product for resale (alone or as a component) or other commercial purpose, requires a separate license from CST. Customer shall (a) not sell, license, loan, donate or otherwise transfer or make available any Product to any third party, whether alone or in combination with other materials, or use the Products to manufacture any commercial products, (b) not copy, modify, reverse engineer, decompile, disassemble or otherwise attempt to discover the underlying structure or technology of the Products, or use the Products for the purpose of developing any products or services that would compete with CST products or services, (c) not alter or remove from the Products any trademarks, trade names, logos, patent or copyright notices or markings, (d) use the Products solely in accordance with CST Product Terms of Sale and any applicable documentation, and (e) comply with any license, terms of service or similar agreement with respect to any third party products or services used by Customer in connection with the Products.

Orders: 877-616-CELL (2355) [email protected] Support: 877-678-TECH (8324) [email protected] Web: cellsignal.com
For Research Use Only. Not for Use in Diagnostic Procedures.

Revision 1

Cell Signaling Technology Logo
Western blot analysis of extracts from NIH/3T3 cells, λ-phosphatase- or PDGF-treated, using Phospho-GSK-3β (Ser9) (5B3) Rabbit mAb (upper) or GSK-3β (27C10) Rabbit mAb #9315 (lower). Data were generated using the standard formulation of this product.
Western Blotting Image 1: Phospho-GSK-3 beta (Ser9) (5B3) Rabbit Monoclonal Antibody (BSA and Azide Free)
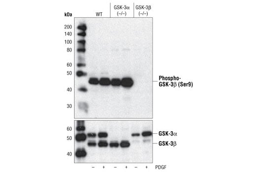
Western blot analysis of extracts from wild type (lanes 1,2), GSK-3α (-/-) (lanes 3,4) and GSK-3β (-/-) (lanes 5,6) mouse embryonic fibroblast cells (MEF), untreated or PDGF treated, using Phospho-GSK-3β (Ser9) (5B3) Rabbit mAb (upper) and GSK-3α/β Antibody (lower). (MEF wild type, GSK-3α (-/-) and GSK-3β (-/-) cells were kindly provided by Dr. Jim Woodgett, University of Toronto, Canada). Data were generated using the standard formulation of this product.
Western Blotting Image 2: Phospho-GSK-3 beta (Ser9) (5B3) Rabbit Monoclonal Antibody (BSA and Azide Free)
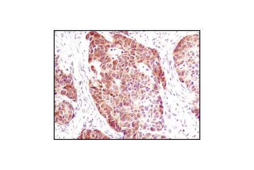
Immunohistochemical analysis of paraffin-embedded human breast carcinoma using Phospho-GSK3β (Ser9) (5B3) Rabbit mAb. Data were generated using the standard formulation of this product.
Immunohistochemistry Image 1: Phospho-GSK-3 beta (Ser9) (5B3) Rabbit Monoclonal Antibody (BSA and Azide Free)
Orders: 877-616-CELL (2355) [email protected] Support: 877-678-TECH (8324) [email protected] Web: cellsignal.com
For Research Use Only. Not for Use in Diagnostic Procedures.

Revision 1

Cell Signaling Technology Logo
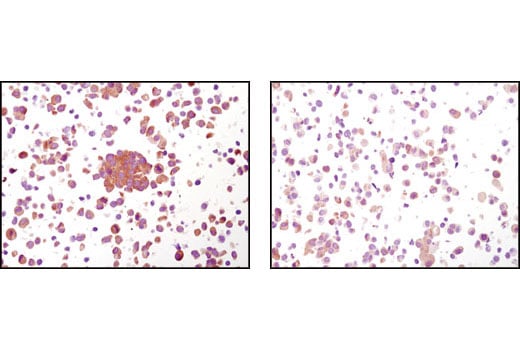
Immunohistochemical analysis using Phospho-GSK-3β (Ser9) (5B3) Rabbit mAb on SignalSlide(TM) Phospho-Akt (Ser473) IHC Controls #8101 (paraffin-embedded LNCaP cells, untreated (left) or LY294002-treated (right)). Data were generated using the standard formulation of this product.
Immunohistochemistry Image 2: Phospho-GSK-3 beta (Ser9) (5B3) Rabbit Monoclonal Antibody (BSA and Azide Free)
Immunohistochemical analysis of paraffin-embedded wild type (left) or GSK-3β (-/-) MEFs, using Phospho-GSK-3β (Ser9) (5B3) Rabbit mAb. (MEF wild type, GSK-3α knock out and GSK-3β knock out cells were kindly provided by Dr. Jim Woodgett, University of Toronto, Canada). Data were generated using the standard formulation of this product.
Immunohistochemistry Image 3: Phospho-GSK-3 beta (Ser9) (5B3) Rabbit Monoclonal Antibody (BSA and Azide Free)
Confocal immunofluorescent analysis of wild type (left), GSK-3α (-/-) (center), or GSK-3β (-/-) (right) mouse embryonic fibroblasts (MEFs), FGF-treated (top) or phosphatase-treated (bottom), using Phospho-GSK-3β (Ser9) (5B3) Rabbit mAb (green). Actin filaments have been labeled with DY-554 phalloidin (red). Blue pseudocolor = DRAQ5® #4084 (fluorescent DNA dye). (MEF wild type, GSK-3α (-/-) and GSK-3β (-/-) cells were kindly provided by Dr. Jim Woodgett, University of Toronto, Canada). Data were generated using the standard formulation of this product.
Immunofluorescence Image 1: Phospho-GSK-3 beta (Ser9) (5B3) Rabbit Monoclonal Antibody (BSA and Azide Free)
Orders: 877-616-CELL (2355) [email protected] Support: 877-678-TECH (8324) [email protected] Web: cellsignal.com
For Research Use Only. Not for Use in Diagnostic Procedures.