Revision 11

#80312

Store at -20C

CST Logo
Orders:

877-616-CELL (2355)

[email protected]

Support:

877-678-TECH (8324)

3 Trask Lane | Danvers | Massachusetts | 01923 | USA

For Research Use Only. Not for Use in Diagnostic Procedures.

Applications:
W, IHC-Bond, IHC-P, IF-IC, FC-FP

Reactivity:
H M R Mk

Sensitivity:
Endogenous

MW (kDa):
15

Source/Isotype:
Mouse IgG1

UniProt ID:
#P16104

Entrez-Gene Id:
3014

Product Usage Information

Application Dilution
Western Blotting 1:1000
IHC Leica Bond 1:100 - 1:400
Immunohistochemistry (Paraffin) 1:100 - 1:400
Immunofluorescence (Immunocytochemistry) 1:100 - 1:400
Flow Cytometry (Fixed/Permeabilized) 1:50 - 1:200

Storage

Supplied in 10 mM sodium HEPES (pH 7.5), 150 mM NaCl, 100 µg/ml BSA, 50% glycerol and less than 0.02% sodium azide. Store at –20°C. Do not aliquot the antibody.

For a carrier-free (BSA and azide free) version of this product see product #97148.

Specificity/Sensitivity

Phospho-Histone H2A.X (Ser139) (D7T2V) Mouse mAb recognizes endogenous levels of Histone H2A.X protein only when phosphorylated at Ser139.

Source / Purification

Monoclonal antibody is produced by immunizing animals with a synthetic peptide corresponding to residues surrounding Ser139 of human Histone H2A.X protein.

Background

Histone H2A.X is a variant histone that represents approximately 10% of the total H2A histone proteins in normal human fibroblasts (1). H2A.X is required for checkpoint-mediated cell cycle arrest and DNA repair following double-stranded DNA breaks (1). DNA damage, caused by ionizing radiation, UV-light, or radiomimetic agents, results in rapid phosphorylation of H2A.X at Ser139 by PI3K-like kinases, including ATM, ATR, and DNA-PK (2,3). Within minutes following DNA damage, H2A.X is phosphorylated at Ser139 at sites of DNA damage to generate γ-H2A.X (4). This very early event in the DNA-damage response is required for recruitment of a multitude of DNA-damage response proteins, including MDC1, NBS1, RAD50, MRE11, 53BP1, and BRCA1 (1). In addition to its role in DNA-damage repair, H2A.X is required for DNA fragmentation during apoptosis and is phosphorylated by various kinases in response to apoptotic signals. H2A.X is phosphorylated at Ser139 by DNA-PK in response to cell death receptor activation, c-Jun N-terminal Kinase (JNK1) in response to UV-A irradiation, and p38 MAPK in response to serum starvation (5-8). H2A.X is constitutively phosphorylated on Tyr142 in undamaged cells by WSTF (Williams-Beuren syndrome transcription factor) (9,10). Upon DNA damage, and concurrent with phosphorylation of Ser139, Tyr142 is dephosphorylated at sites of DNA damage by recruited EYA1 and EYA3 phosphatases (9). While phosphorylation at Ser139 facilitates the recruitment of DNA repair proteins and apoptotic proteins to sites of DNA damage, phosphorylation at Tyr142 appears to determine which set of proteins are recruited. Phosphorylation of H2A.X at Tyr142 inhibits the recruitment of DNA repair proteins and promotes binding of pro-apoptotic factors such as JNK1 (9). Mouse embryonic fibroblasts expressing only mutant H2A.X Y142F, which favors recruitment of DNA repair proteins over apoptotic proteins, show a reduced apoptotic response to ionizing radiation (9). Thus, it appears that the balance of H2A.X Tyr142 phosphorylation and dephosphorylation provides a switch mechanism to determine cell fate after DNA damage.

Species Reactivity

Species reactivity is determined by testing in at least one approved application (e.g., western blot).

Western Blot Buffer

IMPORTANT: For western blots, incubate membrane with diluted primary antibody in 5% w/v nonfat dry milk, 1X TBS, 0.1% Tween® 20 at 4°C with gentle shaking, overnight.

Applications Key

W: Western Blotting IHC-Bond: IHC Leica Bond IHC-P: Immunohistochemistry (Paraffin) IF-IC: Immunofluorescence (Immunocytochemistry) FC-FP: Flow Cytometry (Fixed/Permeabilized)

Cross-Reactivity Key

H: Human M: Mouse R: Rat Mk: Monkey

Trademarks and Patents

Cell Signaling Technology is a trademark of Cell Signaling Technology, Inc.

Alexa Fluor is a registered trademark of Life Technologies Corporation.

All other trademarks are the property of their respective owners. Visit cellsignal.com/trademarks for more information.

Limited Uses

Except as otherwise expressly agreed in a writing signed by a legally authorized representative of CST, the following terms apply to Products provided by CST, its affiliates or its distributors. Any Customer's terms and conditions that are in addition to, or different from, those contained herein, unless separately accepted in writing by a legally authorized representative of CST, are rejected and are of no force or effect.

Products are labeled with For Research Use Only or a similar labeling statement and have not been approved, cleared, or licensed by the FDA or other regulatory foreign or domestic entity, for any purpose. Customer shall not use any Product for any diagnostic or therapeutic purpose, or otherwise in any manner that conflicts with its labeling statement. Products sold or licensed by CST are provided for Customer as the end-user and solely for research and development uses. Any use of Product for diagnostic, prophylactic or therapeutic purposes, or any purchase of Product for resale (alone or as a component) or other commercial purpose, requires a separate license from CST. Customer shall (a) not sell, license, loan, donate or otherwise transfer or make available any Product to any third party, whether alone or in combination with other materials, or use the Products to manufacture any commercial products, (b) not copy, modify, reverse engineer, decompile, disassemble or otherwise attempt to discover the underlying structure or technology of the Products, or use the Products for the purpose of developing any products or services that would compete with CST products or services, (c) not alter or remove from the Products any trademarks, trade names, logos, patent or copyright notices or markings, (d) use the Products solely in accordance with CST Product Terms of Sale and any applicable documentation, and (e) comply with any license, terms of service or similar agreement with respect to any third party products or services used by Customer in connection with the Products.

Orders: 877-616-CELL (2355) [email protected] Support: 877-678-TECH (8324) [email protected] Web: cellsignal.com
For Research Use Only. Not for Use in Diagnostic Procedures.

Revision 11

Cell Signaling Technology Logo
Western blot analysis of extracts from HeLa cells, untreated (-), UV-treated (+), or UV-treated and subsequently treated with calf intestinal phosphatase (CIP) plus λ-phosphatase (+), using Phospho-Histone H2A.X (Ser139) (D7T2V) Mouse mAb (upper) or Histone H2A (D6O3A) Rabbit mAb (lower).
Western Blotting Image 1: Phospho-Histone H2A.X (Ser139) (D7T2V) Mouse Monoclonal Antibody
Immunohistochemical analysis of paraffin-embedded human ductal breast carcinoma using Phospho-Histone H2A.X (Ser139) (D7T2V) Mouse mAb performed on the Leica® BOND™ Rx.
Immunohistochemistry Image 1: Phospho-Histone H2A.X (Ser139) (D7T2V) Mouse Monoclonal Antibody
Immunohistochemical analysis of paraffin-embedded human non-small cell lung carcinoma using Phospho-Histone H2A.X (Ser139) (D7T2V) Mouse mAb performed on the Leica® BOND™ Rx.
Immunohistochemistry Image 2: Phospho-Histone H2A.X (Ser139) (D7T2V) Mouse Monoclonal Antibody
Orders: 877-616-CELL (2355) [email protected] Support: 877-678-TECH (8324) [email protected] Web: cellsignal.com
For Research Use Only. Not for Use in Diagnostic Procedures.

Revision 11

Cell Signaling Technology Logo
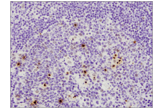
Immunohistochemical analysis of paraffin-embedded human lymph node using Phospho-Histone H2A.X (Ser139) (D7T2V) Mouse mAb.
Immunohistochemistry Image 1: Phospho-Histone H2A.X (Ser139) (D7T2V) Mouse Monoclonal Antibody
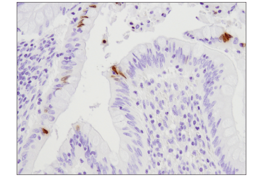
Immunohistochemical analysis of paraffin-embedded human appendix using Phospho-Histone H2A.X (Ser139) (D7T2V) Mouse mAb.
Immunohistochemistry Image 2: Phospho-Histone H2A.X (Ser139) (D7T2V) Mouse Monoclonal Antibody
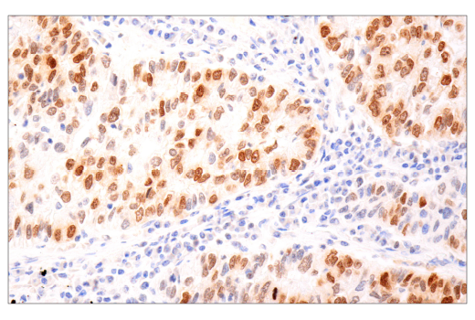
Immunohistochemical analysis of paraffin-embedded human endometrioid adenocarcinoma using Phospho-Histone H2A.X (Ser139) (D7T2V) Mouse mAb.
Immunohistochemistry Image 3: Phospho-Histone H2A.X (Ser139) (D7T2V) Mouse Monoclonal Antibody
Orders: 877-616-CELL (2355) [email protected] Support: 877-678-TECH (8324) [email protected] Web: cellsignal.com
For Research Use Only. Not for Use in Diagnostic Procedures.

Revision 11

Cell Signaling Technology Logo
Immunohistochemical analysis of paraffin-embedded OVCAR8 cell pellets, untreated (left) or UV-treated (right), using Phospho-Histone H2A.X (Ser139) (D7T2V) Mouse mAb.
Immunohistochemistry Image 4: Phospho-Histone H2A.X (Ser139) (D7T2V) Mouse Monoclonal Antibody
Immunohistochemical analysis of paraffin-embedded human breast carcinoma, untreated (left) or λ-phosphatase-treated (right), using Phospho-Histone H2A.X (Ser139) (D7T2V) Mouse mAb
Immunohistochemistry Image 5: Phospho-Histone H2A.X (Ser139) (D7T2V) Mouse Monoclonal Antibody
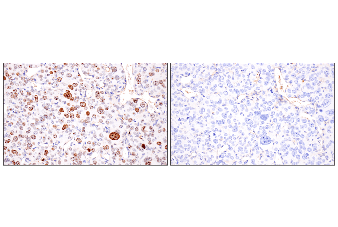
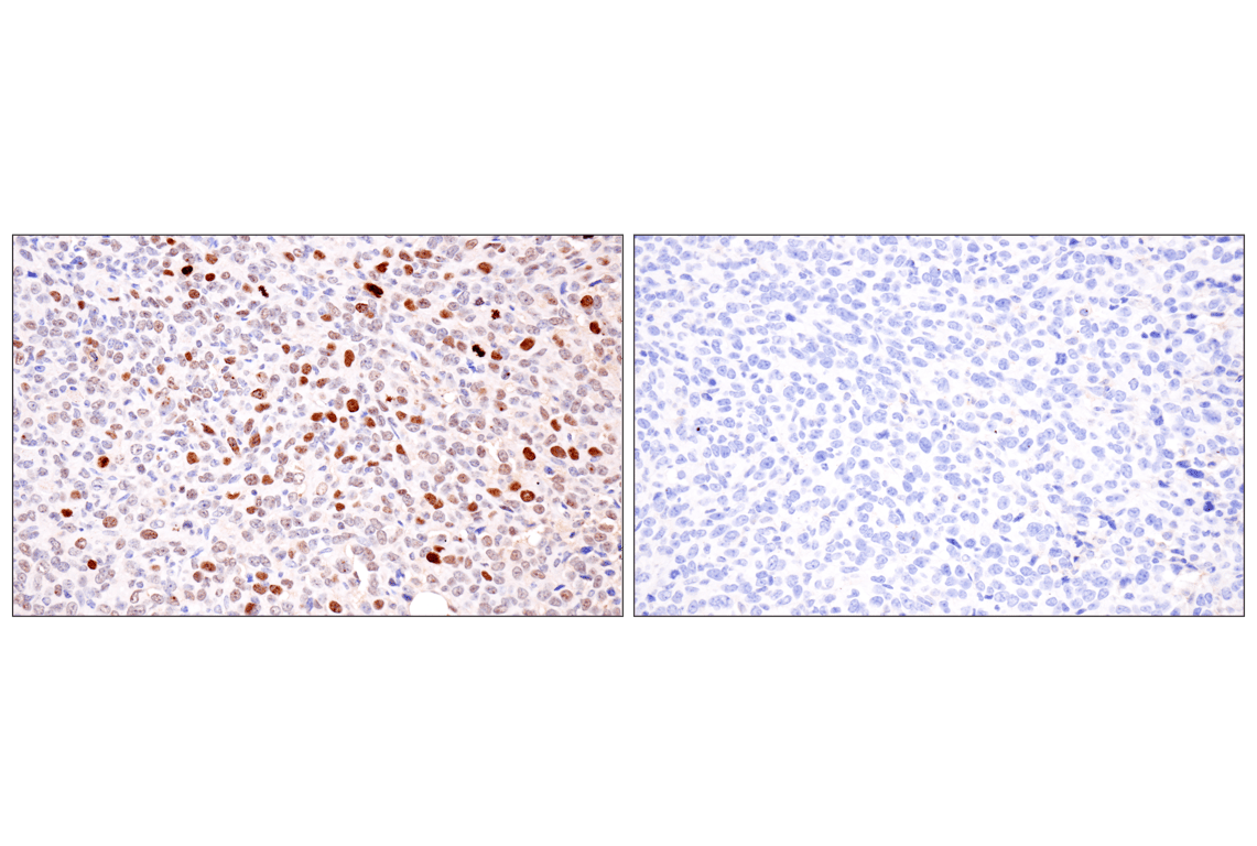
Immunohistochemical analysis of paraffin-embedded 4T1 syngeneic tumor using Phospho-Histone H2A.X (Ser139) (D7T2V) Mouse Monoclonal Antibody (left) compared to secondary-only negative control (right).
Immunohistochemistry Image 6: Phospho-Histone H2A.X (Ser139) (D7T2V) Mouse Monoclonal Antibody
Orders: 877-616-CELL (2355) [email protected] Support: 877-678-TECH (8324) [email protected] Web: cellsignal.com
For Research Use Only. Not for Use in Diagnostic Procedures.

Revision 11

Cell Signaling Technology Logo
Immunohistochemical analysis of paraffin-embedded Renca syngeneic tumor using Phospho-Histone H2A.X (Ser139) (D7T2V) Mouse Monoclonal Antibody (left) compared to secondary-only negative control (right). Note the mouse on mouse background staining in the absence of primary antibody.
Immunohistochemistry Image 7: Phospho-Histone H2A.X (Ser139) (D7T2V) Mouse Monoclonal Antibody
Immunohistochemical analysis of paraffin-embedded mouse testis using Phospho-Histone H2A.X (Ser139) (D7T2V) Mouse Monoclonal Antibody (left) compared to secondary-only negative control (right).
Immunohistochemistry Image 8: Phospho-Histone H2A.X (Ser139) (D7T2V) Mouse Monoclonal Antibody
Confocal immunofluorescent analysis of HeLa cells, untreated (left), treated with UV (100 mJ/cm2, 2 hr recovery; center), or treated with UV and post-processed with λ-phosphatase (right), using Phospho-Histone H2A.X (Ser139) (D7T2V) Mouse mAb (green). Actin filaments were labeled with DyLight™ 554 Phalloidin #13054 (red).
Immunofluorescence Image 1: Phospho-Histone H2A.X (Ser139) (D7T2V) Mouse Monoclonal Antibody
Orders: 877-616-CELL (2355) [email protected] Support: 877-678-TECH (8324) [email protected] Web: cellsignal.com
For Research Use Only. Not for Use in Diagnostic Procedures.

Revision 11

Cell Signaling Technology Logo
Flow cytometric analysis of HeLa cells, untreated (blue) or treated with UV (100 mJ, 2 hr recovery; green), using Phospho-Histone H2A.X (Ser139) (D7T2V) Mouse mAb (solid lines) or concentration-matched Mouse (G3A1) mAb IgG1 Isotype Control #5415 (dashed lines). Anti-mouse IgG (H+L), F(ab')2 Fragment (Alexa Fluor® 488 Conjugate) #4408 was used as a secondary antibody.
Flow Cytometry Image 1: Phospho-Histone H2A.X (Ser139) (D7T2V) Mouse Monoclonal Antibody
Orders: 877-616-CELL (2355) [email protected] Support: 877-678-TECH (8324) [email protected] Web: cellsignal.com
For Research Use Only. Not for Use in Diagnostic Procedures.