Revision 10

#9701

Store at -20C

CST Logo
Orders:

877-616-CELL (2355)

[email protected]

Support:

877-678-TECH (8324)

3 Trask Lane | Danvers | Massachusetts | 01923 | USA

For Research Use Only. Not for Use in Diagnostic Procedures.

Applications:
W, IHC-P, IF-IC

Reactivity:
H M R Mk Dm

Sensitivity:
Endogenous

MW (kDa):
17

Source/Isotype:
Rabbit

UniProt ID:
#P68431

Entrez-Gene Id:
8350

Product Usage Information

Application Dilution
Western Blotting 1:1000
Immunohistochemistry (Paraffin) 1:100 - 1:400
Immunofluorescence (Immunocytochemistry) 1:200 - 1:800

Storage

Supplied in 10 mM sodium HEPES (pH 7.5), 150 mM NaCl, 100 µg/ml BSA and 50% glycerol. Store at –20°C. Do not aliquot the antibody.

Specificity/Sensitivity

Phospho-Histone H3 (Ser10) Antibody detects endogenous levels of histone H3 only when phosphorylated at Ser10; however, this antibody does not detect phosphorylated Ser10 when Lys9 is acetylated or methylated. This antibody does not cross-react with histone H3 phosphorylated at Ser28.

Species predicted to react based on 100% sequence homology

Xenopus

Source / Purification

Polyclonal antibodies are produced by immunizing animals with a synthetic phosphopeptide corresponding to residues surrounding Ser10 of human histone H3. Antibodies are purified by protein A and peptide affinity chromatography.

Background

Modulation of chromatin structure plays an important role in the regulation of transcription in eukaryotes. The nucleosome, made up of DNA wound around eight core histone proteins (two each of H2A, H2B, H3, and H4), is the primary building block of chromatin (1). The amino-terminal tails of core histones undergo various posttranslational modifications, including acetylation, phosphorylation, methylation, and ubiquitination (2-5). These modifications occur in response to various stimuli and have a direct effect on the accessibility of chromatin to transcription factors and, therefore, gene expression (6). In most species, histone H2B is primarily acetylated at Lys5, 12, 15, and 20 (4,7). Histone H3 is primarily acetylated at Lys9, 14, 18, 23, 27, and 56. Acetylation of H3 at Lys9 appears to have a dominant role in histone deposition and chromatin assembly in some organisms (2,3). Phosphorylation at Ser10, Ser28, and Thr11 of histone H3 is tightly correlated with chromosome condensation during both mitosis and meiosis (8-10). Phosphorylation at Thr3 of histone H3 is highly conserved among many species and is catalyzed by the kinase haspin. Immunostaining with phospho-specific antibodies in mammalian cells reveals mitotic phosphorylation at Thr3 of H3 in prophase and its dephosphorylation during anaphase (11).

Species Reactivity

Species reactivity is determined by testing in at least one approved application (e.g., western blot).

Western Blot Buffer

IMPORTANT: For western blots, incubate membrane with diluted primary antibody in 5% w/v BSA, 1X TBS, 0.1% Tween® 20 at 4°C with gentle shaking, overnight.

Applications Key

W: Western Blotting IHC-P: Immunohistochemistry (Paraffin) IF-IC: Immunofluorescence (Immunocytochemistry)

Cross-Reactivity Key

H: Human M: Mouse R: Rat Mk: Monkey Dm: D. melanogaster

Trademarks and Patents

Cell Signaling Technology is a trademark of Cell Signaling Technology, Inc.

All other trademarks are the property of their respective owners. Visit cellsignal.com/trademarks for more information.

Limited Uses

Except as otherwise expressly agreed in a writing signed by a legally authorized representative of CST, the following terms apply to Products provided by CST, its affiliates or its distributors. Any Customer's terms and conditions that are in addition to, or different from, those contained herein, unless separately accepted in writing by a legally authorized representative of CST, are rejected and are of no force or effect.

Products are labeled with For Research Use Only or a similar labeling statement and have not been approved, cleared, or licensed by the FDA or other regulatory foreign or domestic entity, for any purpose. Customer shall not use any Product for any diagnostic or therapeutic purpose, or otherwise in any manner that conflicts with its labeling statement. Products sold or licensed by CST are provided for Customer as the end-user and solely for research and development uses. Any use of Product for diagnostic, prophylactic or therapeutic purposes, or any purchase of Product for resale (alone or as a component) or other commercial purpose, requires a separate license from CST. Customer shall (a) not sell, license, loan, donate or otherwise transfer or make available any Product to any third party, whether alone or in combination with other materials, or use the Products to manufacture any commercial products, (b) not copy, modify, reverse engineer, decompile, disassemble or otherwise attempt to discover the underlying structure or technology of the Products, or use the Products for the purpose of developing any products or services that would compete with CST products or services, (c) not alter or remove from the Products any trademarks, trade names, logos, patent or copyright notices or markings, (d) use the Products solely in accordance with CST Product Terms of Sale and any applicable documentation, and (e) comply with any license, terms of service or similar agreement with respect to any third party products or services used by Customer in connection with the Products.

Orders: 877-616-CELL (2355) [email protected] Support: 877-678-TECH (8324) [email protected] Web: cellsignal.com
For Research Use Only. Not for Use in Diagnostic Procedures.

Revision 10

Cell Signaling Technology Logo
Western blot analysis of extracts from Hela cells, untreated (-) or treated with Nocodazole #2190, (100 ng/ml, 24 hr; +), NIH/3T3 cells, untreated (-) or treated with Nocodazole #2190 (100 ng/ml, 18 hr; +) C6 cells, untreated (-) or treated with Nocodazole #2190 (100 ng/ml, 20 hr; +) using Phospho-Histone H3 (Ser10) Antibody (upper) Histone H3 (D1H2) XP® Rabbit mAb #4499 (middle), or β-Actin (D6A8) Rabbit mAb #8457 (lower). P-Histone H3 is induced by Nocodazole #2190 treatment as expected.
Western Blotting Image 1: Phospho-Histone H3 (Ser10) Antibody
Western blot analysis of whole cell lysates of NIH/3T3 cells, untreated, treated with TSA (to induce histone acetylation), serum plus calyculin A (to induce phosphorylation of H3) or both, using Phospho-Histone H3 (Ser10) Antibody.
Western Blotting Image 2: Phospho-Histone H3 (Ser10) Antibody
Immunohistochemical staining of phosphorylated histone H3 in paraffin-embedded human breast carcinoma showing nuclear localization using Phospho-Histone H3 (Ser10) Antibody.
Immunohistochemistry Image 1: Phospho-Histone H3 (Ser10) Antibody
Orders: 877-616-CELL (2355) [email protected] Support: 877-678-TECH (8324) [email protected] Web: cellsignal.com
For Research Use Only. Not for Use in Diagnostic Procedures.

Revision 10

Cell Signaling Technology Logo
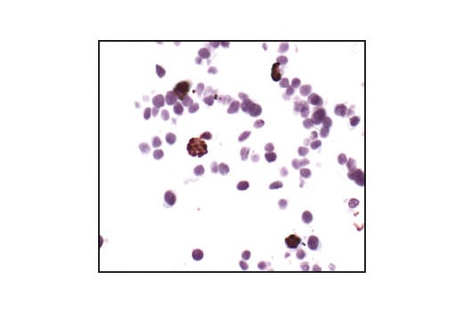
Immunohistochemical analysis of HT29 cells using Phospho-Histone H3 (Ser10) Antibody. Note the specific staining of mitotic cells.
Immunohistochemistry Image 2: Phospho-Histone H3 (Ser10) Antibody
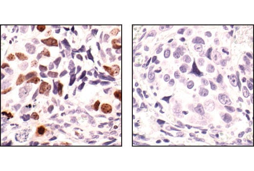
Immunohistochemical analysis of paraffin-embedded human colon carcinoma, untreated (left) or lambda phosphatase-treated (right), using Phospho-Histone H3 (Ser10) Antibody.
Immunohistochemistry Image 3: Phospho-Histone H3 (Ser10) Antibody
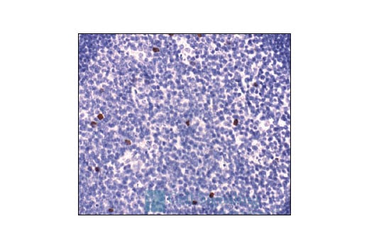
Immunohistochemical analysis of paraffin-embedded human tonsil using Phospho-Histone H3 (Ser10) Antibody.
Immunohistochemistry Image 4: Phospho-Histone H3 (Ser10) Antibody
Orders: 877-616-CELL (2355) [email protected] Support: 877-678-TECH (8324) [email protected] Web: cellsignal.com
For Research Use Only. Not for Use in Diagnostic Procedures.

Revision 10

Cell Signaling Technology Logo
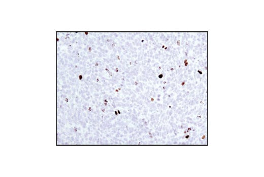
Immunohistochemical analysis of paraffin-embedded 4T1 syngeneic mouse tumor using Phospho-Histone H3 (Ser10) Antibody #9701.
Immunohistochemistry Image 5: Phospho-Histone H3 (Ser10) Antibody
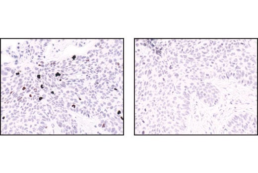
Immunohistochemical analysis of paraffin-embedded human lung carcinoma using Phospho-Histone H3 (Ser10) Antibody in the presence of control peptide (left) or Phospho-Histone H3 (Ser10) Blocking Peptide #1000 (right).
Immunohistochemistry Image 6: Phospho-Histone H3 (Ser10) Antibody
Confocal microscopic image of a mitotic HeLa cell labeled with Phospho-Histone H3 (Ser10) Antibody (red) and Survivin (6E4) Mouse mAb #2802 (green). Blue pseudocolor = DRAQ5® #4084 (fluorescent DNA dye).
Immunofluorescence Image 1: Phospho-Histone H3 (Ser10) Antibody
Orders: 877-616-CELL (2355) [email protected] Support: 877-678-TECH (8324) [email protected] Web: cellsignal.com
For Research Use Only. Not for Use in Diagnostic Procedures.