Revision 6

#45804

Store at -20C

CST Logo
Orders:

877-616-CELL (2355)

[email protected]

Support:

877-678-TECH (8324)

3 Trask Lane | Danvers | Massachusetts | 01923 | USA

For Research Use Only. Not for Use in Diagnostic Procedures.

Applications:
W

Reactivity:
H M

Sensitivity:
Endogenous

MW (kDa):
81, 83

Source/Isotype:
Rabbit

UniProt ID:
#Q05469

Entrez-Gene Id:
3991

Product Usage Information

Application Dilution
Western Blotting 1:1000

Storage

Supplied in 10 mM sodium HEPES (pH 7.5), 150 mM NaCl, 100 µg/ml BSA and 50% glycerol. Store at –20°C. Do not aliquot the antibody.

Specificity/Sensitivity

Phospho-HSL (Ser660) Antibody detects endogenous levels of HSL only when phosphorylated at Ser660 by PKA. This antibody does not cross-react with Ser563, Ser565, or Ser659 phosphorylated HSL.

Source / Purification

Polyclonal antibodies are produced by immunizing animals with a synthetic phosphopeptide corresponding to residues surrounding Ser650 of human HSL (equivalent to Ser660 of rat HSL). Antibodies are purified by protein A and peptide affinity chromatography.

Background

HSL (hormone-sensitive lipase) catalyzes the hydrolysis of triacylglycerol, the rate-limiting step in lipolysis. Lipolytic stimuli activate adenylyl cyclase and thus increase intracellular cAMP levels, which in turn activate protein kinase A (PKA). PKA phosphorylates HSL at Ser563, Ser659, and Ser660, which stimulates HSL activity (1,2). In contrast, AMPK phosphorylates HSL at Ser565, which reduces HSL phosphorylation at Ser563 by PKA and inhibits HSL activity (2,3). Recent work indicates that phosphorylation at Ser600 by p44/42 MAPKs also enhances the enzymatic activity of HSL (4).

Species Reactivity

Species reactivity is determined by testing in at least one approved application (e.g., western blot).

Western Blot Buffer

IMPORTANT: For western blots, incubate membrane with diluted primary antibody in 5% w/v nonfat dry milk, 1X TBS, 0.1% Tween® 20 at 4°C with gentle shaking, overnight.

Applications Key

W: Western Blotting

Cross-Reactivity Key

H: Human M: Mouse

Trademarks and Patents

Cell Signaling Technology is a trademark of Cell Signaling Technology, Inc.

All other trademarks are the property of their respective owners. Visit cellsignal.com/trademarks for more information.

Limited Uses

Except as otherwise expressly agreed in a writing signed by a legally authorized representative of CST, the following terms apply to Products provided by CST, its affiliates or its distributors. Any Customer's terms and conditions that are in addition to, or different from, those contained herein, unless separately accepted in writing by a legally authorized representative of CST, are rejected and are of no force or effect.

Products are labeled with For Research Use Only or a similar labeling statement and have not been approved, cleared, or licensed by the FDA or other regulatory foreign or domestic entity, for any purpose. Customer shall not use any Product for any diagnostic or therapeutic purpose, or otherwise in any manner that conflicts with its labeling statement. Products sold or licensed by CST are provided for Customer as the end-user and solely for research and development uses. Any use of Product for diagnostic, prophylactic or therapeutic purposes, or any purchase of Product for resale (alone or as a component) or other commercial purpose, requires a separate license from CST. Customer shall (a) not sell, license, loan, donate or otherwise transfer or make available any Product to any third party, whether alone or in combination with other materials, or use the Products to manufacture any commercial products, (b) not copy, modify, reverse engineer, decompile, disassemble or otherwise attempt to discover the underlying structure or technology of the Products, or use the Products for the purpose of developing any products or services that would compete with CST products or services, (c) not alter or remove from the Products any trademarks, trade names, logos, patent or copyright notices or markings, (d) use the Products solely in accordance with CST Product Terms of Sale and any applicable documentation, and (e) comply with any license, terms of service or similar agreement with respect to any third party products or services used by Customer in connection with the Products.

Orders: 877-616-CELL (2355) [email protected] Support: 877-678-TECH (8324) [email protected] Web: cellsignal.com
For Research Use Only. Not for Use in Diagnostic Procedures.

Revision 6

Cell Signaling Technology Logo
Western blot analysis of extracts from 3T3-L1 cells, undifferentiated (lane 1) or differentiated 4 days into adipocytes and treated with isoproterenol (10 μM, 20 min; lane 2), using Phospho-HSL (Ser660) Antibody (upper) or α-Actinin (D6F6) XP® Rabbit mAb #6487 (lower).
Western Blotting Image 1: Phospho-HSL (Ser660) Antibody
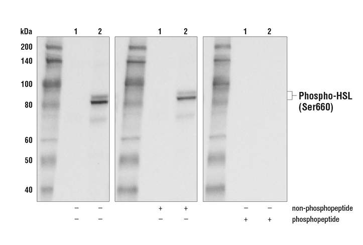
Western blot analysis of extracts from 3T3-L1 cells, undifferentiated (lane 1) or differentiated 4 days into adipocytes and treated with isoproterenol (10 μM, 20 min; lane 2), using Phospho-HSL (Ser660) Antibody. Phospho-specificity was verified by incubating the antibody without peptide (left), with HSL (Ser660) non-phosphopeptide (middle), or with HSL (Ser660) phosphopeptide (right) prior to incubation with the membrane.
Western Blotting Image 2: Phospho-HSL (Ser660) Antibody
Orders: 877-616-CELL (2355) [email protected] Support: 877-678-TECH (8324) [email protected] Web: cellsignal.com
For Research Use Only. Not for Use in Diagnostic Procedures.