Revision 8

#2697

Store at -20C

CST Logo
Orders:

877-616-CELL (2355)

[email protected]

Support:

877-678-TECH (8324)

3 Trask Lane | Danvers | Massachusetts | 01923 | USA

For Research Use Only. Not for Use in Diagnostic Procedures.

Applications:
W, IHC-P, FC-FP

Reactivity:
H M R Hm Mk

Sensitivity:
Endogenous

MW (kDa):
85 IKK-alpha 87 IKK-beta

Source/Isotype:
Rabbit IgG

UniProt ID:
#O15111

Entrez-Gene Id:
1147

Product Usage Information

Application Dilution
Western Blotting 1:1000
Immunohistochemistry (Paraffin) 1:75 - 1:300
Flow Cytometry (Fixed/Permeabilized) 1:400 - 1:1600

Storage

Supplied in 10 mM sodium HEPES (pH 7.5), 150 mM NaCl, 100 µg/ml BSA, 50% glycerol and less than 0.02% sodium azide. Store at –20°C. Do not aliquot the antibody.

For a carrier free (BSA and azide free) version of this product see product #36214.

Specificity/Sensitivity

Phospho-IKK alpha/beta (Ser176/180) (16A6) Rabbit Monoclonal Antibody detects IKKα only when phosphorylated at Ser176/180 and IKKβ only when phosphorylated at Ser177/181.

Species predicted to react based on 100% sequence homology

Bovine

Source / Purification

Monoclonal antibody is produced by immunizing animals with a synthetic phosphopeptide corresponding to residues surrounding Ser176/180 of human IKKα.

Background

The NF-κB/Rel transcription factors are present in the cytosol in an inactive state, complexed with the inhibitory IκB proteins (1-3). Most agents that activate NF-κB do so through a common pathway based on phosphorylation-induced, proteasome-mediated degradation of IκB (3-7). The key regulatory step in this pathway involves activation of a high molecular weight IκB kinase (IKK) complex whose catalysis is generally carried out by three tightly associated IKK subunits. IKKα and IKKβ serve as the catalytic subunits of the kinase and IKKγ serves as the regulatory subunit (8,9). Activation of IKK depends upon phosphorylation at Ser177 and Ser181 in the activation loop of IKKβ (Ser176 and Ser180 in IKKα), which causes conformational changes, resulting in kinase activation (10-13).

Species Reactivity

Species reactivity is determined by testing in at least one approved application (e.g., western blot).

Western Blot Buffer

IMPORTANT: For western blots, incubate membrane with diluted primary antibody in 5% w/v BSA, 1X TBS, 0.1% Tween® 20 at 4°C with gentle shaking, overnight.

Applications Key

W: Western Blotting IHC-P: Immunohistochemistry (Paraffin) FC-FP: Flow Cytometry (Fixed/Permeabilized)

Cross-Reactivity Key

H: Human M: Mouse R: Rat Hm: Hamster Mk: Monkey

Trademarks and Patents

Cell Signaling Technology is a trademark of Cell Signaling Technology, Inc.

All other trademarks are the property of their respective owners. Visit cellsignal.com/trademarks for more information.

Limited Uses

Except as otherwise expressly agreed in a writing signed by a legally authorized representative of CST, the following terms apply to Products provided by CST, its affiliates or its distributors. Any Customer's terms and conditions that are in addition to, or different from, those contained herein, unless separately accepted in writing by a legally authorized representative of CST, are rejected and are of no force or effect.

Products are labeled with For Research Use Only or a similar labeling statement and have not been approved, cleared, or licensed by the FDA or other regulatory foreign or domestic entity, for any purpose. Customer shall not use any Product for any diagnostic or therapeutic purpose, or otherwise in any manner that conflicts with its labeling statement. Products sold or licensed by CST are provided for Customer as the end-user and solely for research and development uses. Any use of Product for diagnostic, prophylactic or therapeutic purposes, or any purchase of Product for resale (alone or as a component) or other commercial purpose, requires a separate license from CST. Customer shall (a) not sell, license, loan, donate or otherwise transfer or make available any Product to any third party, whether alone or in combination with other materials, or use the Products to manufacture any commercial products, (b) not copy, modify, reverse engineer, decompile, disassemble or otherwise attempt to discover the underlying structure or technology of the Products, or use the Products for the purpose of developing any products or services that would compete with CST products or services, (c) not alter or remove from the Products any trademarks, trade names, logos, patent or copyright notices or markings, (d) use the Products solely in accordance with CST Product Terms of Sale and any applicable documentation, and (e) comply with any license, terms of service or similar agreement with respect to any third party products or services used by Customer in connection with the Products.

Orders: 877-616-CELL (2355) [email protected] Support: 877-678-TECH (8324) [email protected] Web: cellsignal.com
For Research Use Only. Not for Use in Diagnostic Procedures.

Revision 8

Cell Signaling Technology Logo
Western blot analysis of extracts from THP-1 cells, differentiated with TPA (#9905, 80 nM for 24h) and treated with 1 μg/ml LPS for the indicated times, using Phospho-IKKα/β (Ser176/180) (16A6) Rabbit mAb.
Western Blotting Image 1: Phospho-IKK alpha/beta (Ser176/180) (16A6) Rabbit Monoclonal Antibody
Western blot analysis of extracts from HeLa cells, untreated or treated with TNFa (#16789, 20 ng/mL, 10 min) and Calyculin A (#9902, 100 nM, 10 min); THP-1 cells differentiated with TPA (#4174, 80 nM for 16hr) untreated and treated with LPS (#14011, 1 μg/ml for 1hr) using #2697 (upper) or IKKα (D3W6N) Rabbit mAb #61294, IKKβ (D30C6) Rabbit mAb #8943 (middle), and β-Actin (D6A8) Rabbit mAb #8457 (lower).
Western Blotting Image 2: Phospho-IKK alpha/beta (Ser176/180) (16A6) Rabbit Monoclonal Antibody
Western blot analysis of extracts from TNF-alpha and Calyculin A treated HeLa and NIH/3T3 cells, using Phospho-IKKα/β (Ser176/180) (16A6) Rabbit mAb.
Western Blotting Image 3: Phospho-IKK alpha/beta (Ser176/180) (16A6) Rabbit Monoclonal Antibody
Orders: 877-616-CELL (2355) [email protected] Support: 877-678-TECH (8324) [email protected] Web: cellsignal.com
For Research Use Only. Not for Use in Diagnostic Procedures.

Revision 8

Cell Signaling Technology Logo
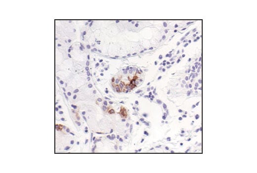
Immunohistochemical analysis of paraffin-embedded human gall bladder (chronic cholecystitis), using Phospho-IKKα/β (Ser176/180) (16A6) Rabbit mAb.
Immunohistochemistry Image 1: Phospho-IKK alpha/beta (Ser176/180) (16A6) Rabbit Monoclonal Antibody
Immunohistochemical analysis of paraffin-embedded human colon carcinoma, untreated (left) or λ phosphatase-treated (right), using Phospho-IKKα/β (Ser176/180) (16A6) Rabbit mAb.
Immunohistochemistry Image 2: Phospho-IKK alpha/beta (Ser176/180) (16A6) Rabbit Monoclonal Antibody
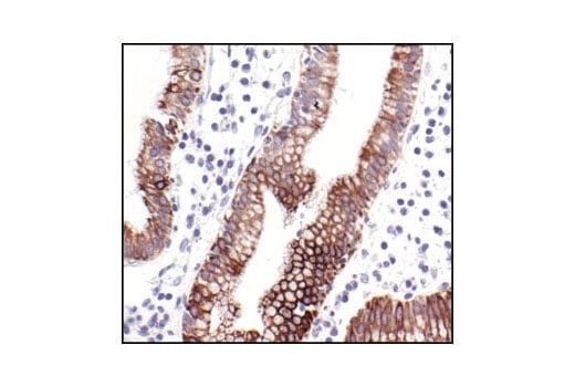
Immunohistochemical analysis of paraffin-embedded human colon carcinoma, showing cytoplasmic localization, using Phospho-IKKα/β (Ser176/180) (16A6) Rabbit mAb.
Immunohistochemistry Image 3: Phospho-IKK alpha/beta (Ser176/180) (16A6) Rabbit Monoclonal Antibody
Orders: 877-616-CELL (2355) [email protected] Support: 877-678-TECH (8324) [email protected] Web: cellsignal.com
For Research Use Only. Not for Use in Diagnostic Procedures.

Revision 8

Cell Signaling Technology Logo
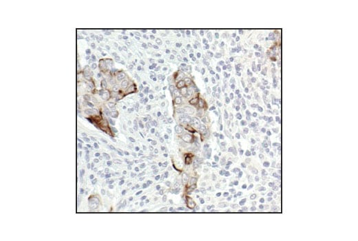
Immunohistochemical analysis of paraffin-embedded human lung (chronic bronchitis), using Phospho-IKKα/β (Ser176/180) (16A6) Rabbit mAb.
Immunohistochemistry Image 4: Phospho-IKK alpha/beta (Ser176/180) (16A6) Rabbit Monoclonal Antibody
Immunohistochemical analysis of paraffin-embedded human breast carcinoma, using Phospho-IKKα/β (Ser176/180) (16A6) Rabbit mAb in the presence of control peptide (left) or Phospho-IKK-alpha/beta (Ser176/180) Blocking Peptide #1023 (right).
Immunohistochemistry Image 5: Phospho-IKK alpha/beta (Ser176/180) (16A6) Rabbit Monoclonal Antibody
Flow cytometric analysis of THP-1 cells, untreated (blue) and with TPA and LPS (green) using IKK-α (Ser176/Ser180) phosphate Rabbit mAb. Anti-rabbit IgG (H+L), F(ab')2 Fragment (PE Conjugate) #8885 was used as a secondary antibody.
Flow Cytometry Image 1: Phospho-IKK alpha/beta (Ser176/180) (16A6) Rabbit Monoclonal Antibody
Orders: 877-616-CELL (2355) [email protected] Support: 877-678-TECH (8324) [email protected] Web: cellsignal.com
For Research Use Only. Not for Use in Diagnostic Procedures.