Revision 3

#54364

Store at -20C

CST Logo
Orders:

877-616-CELL (2355)

[email protected]

Support:

877-678-TECH (8324)

3 Trask Lane | Danvers | Massachusetts | 01923 | USA

For Research Use Only. Not for Use in Diagnostic Procedures.

Applications:
W, IP

Reactivity:
H M

Sensitivity:
Endogenous

MW (kDa):
40

Source/Isotype:
Rabbit IgG

UniProt ID:
#O43561

Entrez-Gene Id:
27040

Product Usage Information

Application Dilution
Western Blotting 1:1000
Immunoprecipitation 1:200

Storage

Supplied in 10 mM sodium HEPES (pH 7.5), 150 mM NaCl, 100 µg/ml BSA, 50% glycerol and less than 0.02% sodium azide. Store at –20°C. Do not aliquot the antibody.

Specificity/Sensitivity

Phospho-LAT (Tyr255) (E3K6B) Rabbit Monoclonal Antibody recognizes endogenous levels of LAT protein only when phosphorylated at Tyr255. This antibody cross-reacts with a 70 kDa phospho-protein of unknown origin in some treated cell lines. Tyr255 of LAT, long isoform corresponds to Tyr226 of LAT, short isoform.

Source / Purification

Monoclonal antibody is produced by immunizing animals with a synthetic phosphopeptide corresponding to residues surrounding Tyr255 of human LAT protein, isoform 1.

Background

LAT, a transmembrane adaptor protein expressed in T, NK, and mast cells, is an important mediator for T cell receptor (TCR) signaling (1). Upon TCR engagement, activated Zap-70 phosphorylates LAT at multiple conserved tyrosine residues within SH2 binding motifs, exposing these motifs as the docking sites for downstream signaling targets (2,3). The phosphorylation of LAT at Tyr171 and Tyr220 enables the binding of Grb2, Gads/SLP-76, PLCγ1, and PI3 kinase through their SH2 domain and translocates them to the membrane. This process eventually leads to activation of the corresponding signaling pathways (1-4).

Research studies have shown that LAT is also phosphorylated at Tyr225 by Zap-70 and Syk following activation of the TCR, which facilitates its binding to Grb2 and Vav and subsequent downstream activation of ERK (3-5).

Species Reactivity

Species reactivity is determined by testing in at least one approved application (e.g., western blot).

Western Blot Buffer

IMPORTANT: For western blots, incubate membrane with diluted primary antibody in 5% w/v nonfat dry milk, 1X TBS, 0.1% Tween® 20 at 4°C with gentle shaking, overnight.

Applications Key

W: Western Blotting IP: Immunoprecipitation

Cross-Reactivity Key

H: Human M: Mouse

Trademarks and Patents

Cell Signaling Technology is a trademark of Cell Signaling Technology, Inc.

All other trademarks are the property of their respective owners. Visit cellsignal.com/trademarks for more information.

Limited Uses

Except as otherwise expressly agreed in a writing signed by a legally authorized representative of CST, the following terms apply to Products provided by CST, its affiliates or its distributors. Any Customer's terms and conditions that are in addition to, or different from, those contained herein, unless separately accepted in writing by a legally authorized representative of CST, are rejected and are of no force or effect.

Products are labeled with For Research Use Only or a similar labeling statement and have not been approved, cleared, or licensed by the FDA or other regulatory foreign or domestic entity, for any purpose. Customer shall not use any Product for any diagnostic or therapeutic purpose, or otherwise in any manner that conflicts with its labeling statement. Products sold or licensed by CST are provided for Customer as the end-user and solely for research and development uses. Any use of Product for diagnostic, prophylactic or therapeutic purposes, or any purchase of Product for resale (alone or as a component) or other commercial purpose, requires a separate license from CST. Customer shall (a) not sell, license, loan, donate or otherwise transfer or make available any Product to any third party, whether alone or in combination with other materials, or use the Products to manufacture any commercial products, (b) not copy, modify, reverse engineer, decompile, disassemble or otherwise attempt to discover the underlying structure or technology of the Products, or use the Products for the purpose of developing any products or services that would compete with CST products or services, (c) not alter or remove from the Products any trademarks, trade names, logos, patent or copyright notices or markings, (d) use the Products solely in accordance with CST Product Terms of Sale and any applicable documentation, and (e) comply with any license, terms of service or similar agreement with respect to any third party products or services used by Customer in connection with the Products.

Orders: 877-616-CELL (2355) [email protected] Support: 877-678-TECH (8324) [email protected] Web: cellsignal.com
For Research Use Only. Not for Use in Diagnostic Procedures.

Revision 3

Cell Signaling Technology Logo
Western blot analysis of extracts from serum-starved Jurkat and EL4 cells, untreated (-) or treated with either H2O2 (11 mM, 1 min; +) or with cross-linked anti-CD3 plus anti-CD28 (10 μg/mL each, 5 min; +), using Phospho-LAT (Tyr255) (E3K6B) Rabbit mAb (upper), LAT Antibody #9166 (middle), and β-Actin (D6A8) Rabbit mAb #8457 (lower).
Western Blotting Image 1: Phospho-LAT (Tyr255) (E3K6B) Rabbit Monoclonal Antibody
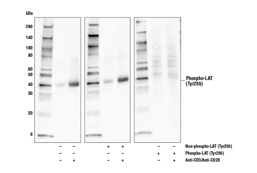
Western blot analysis of extracts from serum-starved Jurkat cells, treated with either isotype control (-) or with cross-linked anti-CD3 plus anti-CD28 (10 ug/mL each, 5 min; +), using Phospho-LAT (Tyr255) (E3K6B) Rabbit mAb. The phospho-specificity of the antibody was verified by pre-incubating the antibody with no peptide (left), LAT (Tyr255) non-phosphopeptide (middle), and LAT (Tyr255) phosphopeptide (right).
Western Blotting Image 2: Phospho-LAT (Tyr255) (E3K6B) Rabbit Monoclonal Antibody
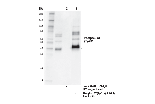
Immunoprecipitation of Phospho-LAT (Tyr255) protein from serum-starved Jurkat cell extracts treated with H2O2 (11 mM, 1 min). Lane 1 is 10% input, lane 2 is Rabbit (DA1E) mAb IgG XP® Isotype Control #3900, and lane 3 is Phospho-LAT (Tyr255) (E3K6B) Rabbit mAb. Western blot analysis was performed using Phospho-LAT (Tyr255) (E3K6B) Rabbit mAb. Mouse Anti-rabbit IgG (Conformation Specific) (L27A9) mAb (HRP Conjugate) #5127 was used as the secondary antibody.
Immunoprecipitation Image 1: Phospho-LAT (Tyr255) (E3K6B) Rabbit Monoclonal Antibody
Orders: 877-616-CELL (2355) [email protected] Support: 877-678-TECH (8324) [email protected] Web: cellsignal.com
For Research Use Only. Not for Use in Diagnostic Procedures.