Revision 1

#37177

Store at -20C

CST Logo
Orders:

877-616-CELL (2355)

[email protected]

Support:

877-678-TECH (8324)

3 Trask Lane | Danvers | Massachusetts | 01923 | USA

For Research Use Only. Not for Use in Diagnostic Procedures.

Applications:
W, IP

Reactivity:
H

Sensitivity:
Endogenous

MW (kDa):
110

Source/Isotype:
Rabbit

UniProt ID:
#O60341

Entrez-Gene Id:
23028

Product Usage Information

Application Dilution
Western Blotting 1:1000
Immunoprecipitation 1:50

Storage

Supplied in 10 mM sodium HEPES (pH 7.5), 150 mM NaCl, 100 µg/ml BSA and 50% glycerol. Store at –20°C. Do not aliquot the antibody.

Specificity/Sensitivity

Phospho-LSD1 (Ser131) Antibody recognizes endogenous levels of LSD1 protein only when phosphorylated at Ser131.

Species predicted to react based on 100% sequence homology

Mouse, Rat

Source / Purification

Polyclonal antibodies are produced by immunizing animals with a synthetic phosphopeptide corresponding to residues surrounding Ser131 of human LSD1 protein. Antibodies are purified by protein A and peptide affinity chromatography.

Background

Lysine-specific demethylase 1 (LSD1; also known as AOF2 and BHC110) is a nuclear amine oxidase homolog that acts as a histone demethylase and transcription cofactor (1). Gene activation and repression is specifically regulated by the methylation state of distinct histone protein lysine residues. For example, methylation of histone H3 at Lys4 facilitates transcriptional activation by coordinating the recruitment of BPTF, a component of the NURF chromatin remodeling complex, and WDR5, a component of multiple histone methyltransferase complexes (2,3). In contrast, methylation of histone H3 at Lys9 facilitates transcriptional repression by recruiting HP1 (4,5). LSD1 is a component of the CoREST transcriptional co-repressor complex that also contains CoREST, CtBP, HDAC1 and HDAC2. As part of this complex, LSD1 demethylates mono-methyl and di-methyl histone H3 at Lys4 through a FAD-dependent oxidation reaction to facilitate neuronal-specific gene repression in non-neuronal cells (1,6,7). In contrast, LSD1 associates with androgen receptor in human prostate cells to demethylate mono-methyl and di-methyl histone H3 at Lys9 and facilitate androgen receptor-dependent transcriptional activation (8). Therefore, depending on gene context LSD1 can function as either a transcriptional co-repressor or co-activator. LSD1 activity is inhibited by the amine oxidase inhibitors pargyline, deprenyl, clorgyline and tranylcypromine (8).
LSD1 is phosphorylated by CK2 at Ser131, Ser137, and Ser166 (9). Phosphorylation of LSD1 at Ser131 and Ser137 has been shown to help facilitate RNF168-dependent recruitment to sites of DNA damage (9).

Species Reactivity

Species reactivity is determined by testing in at least one approved application (e.g., western blot).

Western Blot Buffer

IMPORTANT: For western blots, incubate membrane with diluted primary antibody in 5% w/v nonfat dry milk, 1X TBS, 0.1% Tween® 20 at 4°C with gentle shaking, overnight.

Applications Key

W: Western Blotting IP: Immunoprecipitation

Cross-Reactivity Key

H: Human

Trademarks and Patents

Cell Signaling Technology is a trademark of Cell Signaling Technology, Inc.

All other trademarks are the property of their respective owners. Visit cellsignal.com/trademarks for more information.

Limited Uses

Except as otherwise expressly agreed in a writing signed by a legally authorized representative of CST, the following terms apply to Products provided by CST, its affiliates or its distributors. Any Customer's terms and conditions that are in addition to, or different from, those contained herein, unless separately accepted in writing by a legally authorized representative of CST, are rejected and are of no force or effect.

Products are labeled with For Research Use Only or a similar labeling statement and have not been approved, cleared, or licensed by the FDA or other regulatory foreign or domestic entity, for any purpose. Customer shall not use any Product for any diagnostic or therapeutic purpose, or otherwise in any manner that conflicts with its labeling statement. Products sold or licensed by CST are provided for Customer as the end-user and solely for research and development uses. Any use of Product for diagnostic, prophylactic or therapeutic purposes, or any purchase of Product for resale (alone or as a component) or other commercial purpose, requires a separate license from CST. Customer shall (a) not sell, license, loan, donate or otherwise transfer or make available any Product to any third party, whether alone or in combination with other materials, or use the Products to manufacture any commercial products, (b) not copy, modify, reverse engineer, decompile, disassemble or otherwise attempt to discover the underlying structure or technology of the Products, or use the Products for the purpose of developing any products or services that would compete with CST products or services, (c) not alter or remove from the Products any trademarks, trade names, logos, patent or copyright notices or markings, (d) use the Products solely in accordance with CST Product Terms of Sale and any applicable documentation, and (e) comply with any license, terms of service or similar agreement with respect to any third party products or services used by Customer in connection with the Products.

Orders: 877-616-CELL (2355) [email protected] Support: 877-678-TECH (8324) [email protected] Web: cellsignal.com
For Research Use Only. Not for Use in Diagnostic Procedures.

Revision 1

Cell Signaling Technology Logo
Western blot analysis of extracts from HeLa cells, untreated (-), UV-treated (+), or UV-treated and subsequently treated with calf intestinal phosphatase (CIP) and λ-phosphatase (+), using Phospho-LSD1 (Ser131) Antibody (upper) or LSD1 (C69G12) Rabbit mAb #2184 (lower).
Western Blotting Image 1: Phospho-LSD1 (Ser131) Antibody
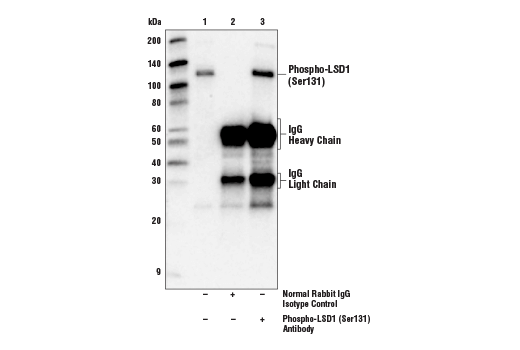
Immunoprecipitation of Phospho-LSD1 (Ser131) from HeLa cell extracts. Lane 1 is 10% input, lane 2 is Normal Rabbit IgG #2729, and lane 3 is Phospho-LSD1 (Ser131) Antibody. Western blot analysis was performed using Phospho-LSD1 (Ser131) Antibody.
Immunoprecipitation Image 1: Phospho-LSD1 (Ser131) Antibody
Orders: 877-616-CELL (2355) [email protected] Support: 877-678-TECH (8324) [email protected] Web: cellsignal.com
For Research Use Only. Not for Use in Diagnostic Procedures.