Revision 1

#12686

Store at -20C

CST Logo
Orders:

877-616-CELL (2355)

[email protected]

Support:

877-678-TECH (8324)

3 Trask Lane | Danvers | Massachusetts | 01923 | USA

For Research Use Only. Not for Use in Diagnostic Procedures.

Applications:
W, IP

Reactivity:
H

Sensitivity:
Endogenous

MW (kDa):
100

Source/Isotype:
Rabbit IgG

UniProt ID:
#P25205

Entrez-Gene Id:
4172

Product Usage Information

Application Dilution
Western Blotting 1:1000
Immunoprecipitation 1:200

Storage

Supplied in 10 mM sodium HEPES (pH 7.5), 150 mM NaCl, 100 µg/ml BSA, 50% glycerol and less than 0.02% sodium azide. Store at –20°C. Do not aliquot the antibody.

Specificity/Sensitivity

Phospho-MCM3 (Ser112) (D3S4M) Rabbit Monoclonal Antibody recognizes endogenous levels of MCM3 protein only when phosphorylated at Ser112. This antibody also recognizes a 200 kDa band of unknown origin in both interphase and mitotic cells.

Species predicted to react based on 100% sequence homology

Mouse, Rat, Hamster, Zebrafish, Dog

Source / Purification

Monoclonal antibody is produced by immunizing animals with a synthetic phosphopeptide corresponding to residues surrounding Ser112 of human MCM3 protein.

Background

The minichromosome maintenance (MCM) 2-7 proteins are a family of six related proteins required for initiation and elongation of DNA replication. MCM2-7 bind together to form the heterohexameric MCM complex that is thought to act as a replicative helicase at the DNA replication fork (1-5). This complex is a key component of the pre-replication complex (pre-RC) (reviewed in 1). Cdc6 and CDT1 recruit the MCM complex to the origin recognition complex (ORC) during late mitosis/early G1 phase forming the pre-RC and licensing the DNA for replication (reviewed in 2). Licensing of the chromatin permits the DNA to replicate only once per cell cycle, thereby helping to ensure that genetic alterations and malignant cell growth do not occur (reviewed in 3). Phosphorylation of the MCM2, MCM3, MCM4, and MCM6 subunits appears to regulate MCM complex activity and the initiation of DNA synthesis (6-8). CDK1 phosphorylation of MCM3 at Ser112 during late mitosis/early G1 phase has been shown to initiate complex formation and chromatin loading in vitro (8). Phosphorylation of MCM2 at serine 139 by cdc7/dbf4 coincides with the initiation of DNA replication (9). MCM proteins are removed during DNA replication, causing chromatin to become unlicensed through inhibition of pre-RC reformation. Studies have shown that the MCM complex is involved in checkpoint control by protecting the structure of the replication fork and assisting in restarting replication by recruiting checkpoint proteins after arrest (reviewed in 3,10).

Species Reactivity

Species reactivity is determined by testing in at least one approved application (e.g., western blot).

Western Blot Buffer

IMPORTANT: For western blots, incubate membrane with diluted primary antibody in 5% w/v BSA, 1X TBS, 0.1% Tween® 20 at 4°C with gentle shaking, overnight.

Applications Key

W: Western Blotting IP: Immunoprecipitation

Cross-Reactivity Key

H: Human

Trademarks and Patents

Cell Signaling Technology is a trademark of Cell Signaling Technology, Inc.

All other trademarks are the property of their respective owners. Visit cellsignal.com/trademarks for more information.

Limited Uses

Except as otherwise expressly agreed in a writing signed by a legally authorized representative of CST, the following terms apply to Products provided by CST, its affiliates or its distributors. Any Customer's terms and conditions that are in addition to, or different from, those contained herein, unless separately accepted in writing by a legally authorized representative of CST, are rejected and are of no force or effect.

Products are labeled with For Research Use Only or a similar labeling statement and have not been approved, cleared, or licensed by the FDA or other regulatory foreign or domestic entity, for any purpose. Customer shall not use any Product for any diagnostic or therapeutic purpose, or otherwise in any manner that conflicts with its labeling statement. Products sold or licensed by CST are provided for Customer as the end-user and solely for research and development uses. Any use of Product for diagnostic, prophylactic or therapeutic purposes, or any purchase of Product for resale (alone or as a component) or other commercial purpose, requires a separate license from CST. Customer shall (a) not sell, license, loan, donate or otherwise transfer or make available any Product to any third party, whether alone or in combination with other materials, or use the Products to manufacture any commercial products, (b) not copy, modify, reverse engineer, decompile, disassemble or otherwise attempt to discover the underlying structure or technology of the Products, or use the Products for the purpose of developing any products or services that would compete with CST products or services, (c) not alter or remove from the Products any trademarks, trade names, logos, patent or copyright notices or markings, (d) use the Products solely in accordance with CST Product Terms of Sale and any applicable documentation, and (e) comply with any license, terms of service or similar agreement with respect to any third party products or services used by Customer in connection with the Products.

Orders: 877-616-CELL (2355) [email protected] Support: 877-678-TECH (8324) [email protected] Web: cellsignal.com
For Research Use Only. Not for Use in Diagnostic Procedures.

Revision 1

Cell Signaling Technology Logo
Western blot analysis of HeLa cell extracts, untreated (-) or treated with Nocodazole #2190 (100 ng/ml, 24 hr; +), using Phospho-MCM3 (Ser112) (D3S4M) Rabbit mAb (upper), MCM3 (D47B6) Rabbit mAb #4003 (middle) and α-Actinin (D6F6) XP® Rabbit mAb #6487 (lower).
Western Blotting Image 1: Phospho-MCM3 (Ser112) (D3S4M) Rabbit Monoclonal Antibody
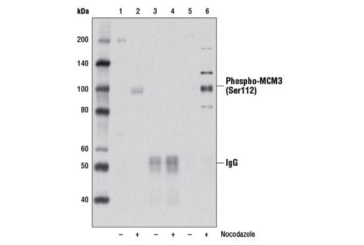
Immunoprecipitation of Phospho-MCM3 (Ser112) from HeLa cell extracts, untreated (-) or treated with Nocodazole #2190 (100 ng/ml, 24 hr; +), using Rabbit (DA1E) mAb IgG XP® Isotype Control #3900 (lane 3 and 4) or Phospho-MCM3 (Ser112) (D3S4M) Rabbit mAb (lane 5 and 6). Lanes 1 and 2 are 10% input. Western blot analysis was performed using Phospho-MCM3 (Ser112) (D3S4M) Rabbit mAb.
Immunoprecipitation Image 1: Phospho-MCM3 (Ser112) (D3S4M) Rabbit Monoclonal Antibody
Orders: 877-616-CELL (2355) [email protected] Support: 877-678-TECH (8324) [email protected] Web: cellsignal.com
For Research Use Only. Not for Use in Diagnostic Procedures.