Revision 9

#2338

Store at -20C

CST Logo
Orders:

877-616-CELL (2355)

[email protected]

Support:

877-678-TECH (8324)

3 Trask Lane | Danvers | Massachusetts | 01923 | USA

For Research Use Only. Not for Use in Diagnostic Procedures.

Applications:
W, IHC-P, FC-FP

Reactivity:
H M R Mk

Sensitivity:
Endogenous

MW (kDa):
45

Source/Isotype:
Rabbit IgG

UniProt ID:
#P36507, #Q02750

Entrez-Gene Id:
5605, 5604

Product Usage Information

Application Dilution
Western Blotting 1:2000
Immunohistochemistry (Paraffin) 1:50
Flow Cytometry (Fixed/Permeabilized) 1:100 - 1:400

Storage

Supplied in 10 mM sodium HEPES (pH 7.5), 150 mM NaCl, 100 µg/ml BSA, 50% glycerol and less than 0.02% sodium azide. Store at –20°C. Do not aliquot the antibody.

For a carrier-free (BSA and azide free) version of this product see product #75262.

Specificity/Sensitivity

Phospho-MEK1/2 (Ser221) (166F8) Rabbit Monoclonal Antibody detects endogenous levels of MEK1/2 only when phosphorylated at serine 221.

Species predicted to react based on 100% sequence homology

Dog

Source / Purification

Monoclonal antibody is produced by immunizing animals with a synthetic phosphopeptide corresponding to residues surrounding Ser221 of human MEK1/2.

Background

MEK1 and MEK2, also called MAPK or Erk kinases, are dual-specificity protein kinases that function in a mitogen activated protein kinase cascade controlling cell growth and differentiation (1-3). Activation of MEK1 and MEK2 occurs through phosphorylation of two serine residues at positions 217 and 221, located in the activation loop of subdomain VIII, by Raf-like molecules. MEK1/2 is activated by a wide variety of growth factors and cytokines and also by membrane depolarization and calcium influx (1-4). Constitutively active forms of MEK1/2 are sufficient for the transformation of NIH/3T3 cells or the differentiation of PC-12 cells (4). MEK activates p44 and p42 MAP kinase by phosphorylating both threonine and tyrosine residues at sites located within the activation loop of kinase subdomain VIII.

Species Reactivity

Species reactivity is determined by testing in at least one approved application (e.g., western blot).

Western Blot Buffer

IMPORTANT: For western blots, incubate membrane with diluted primary antibody in 5% w/v BSA, 1X TBS, 0.1% Tween® 20 at 4°C with gentle shaking, overnight.

Applications Key

W: Western Blotting IHC-P: Immunohistochemistry (Paraffin) FC-FP: Flow Cytometry (Fixed/Permeabilized)

Cross-Reactivity Key

H: Human M: Mouse R: Rat Mk: Monkey

Trademarks and Patents

Cell Signaling Technology is a trademark of Cell Signaling Technology, Inc.

All other trademarks are the property of their respective owners. Visit cellsignal.com/trademarks for more information.

Limited Uses

Except as otherwise expressly agreed in a writing signed by a legally authorized representative of CST, the following terms apply to Products provided by CST, its affiliates or its distributors. Any Customer's terms and conditions that are in addition to, or different from, those contained herein, unless separately accepted in writing by a legally authorized representative of CST, are rejected and are of no force or effect.

Products are labeled with For Research Use Only or a similar labeling statement and have not been approved, cleared, or licensed by the FDA or other regulatory foreign or domestic entity, for any purpose. Customer shall not use any Product for any diagnostic or therapeutic purpose, or otherwise in any manner that conflicts with its labeling statement. Products sold or licensed by CST are provided for Customer as the end-user and solely for research and development uses. Any use of Product for diagnostic, prophylactic or therapeutic purposes, or any purchase of Product for resale (alone or as a component) or other commercial purpose, requires a separate license from CST. Customer shall (a) not sell, license, loan, donate or otherwise transfer or make available any Product to any third party, whether alone or in combination with other materials, or use the Products to manufacture any commercial products, (b) not copy, modify, reverse engineer, decompile, disassemble or otherwise attempt to discover the underlying structure or technology of the Products, or use the Products for the purpose of developing any products or services that would compete with CST products or services, (c) not alter or remove from the Products any trademarks, trade names, logos, patent or copyright notices or markings, (d) use the Products solely in accordance with CST Product Terms of Sale and any applicable documentation, and (e) comply with any license, terms of service or similar agreement with respect to any third party products or services used by Customer in connection with the Products.

Orders: 877-616-CELL (2355) [email protected] Support: 877-678-TECH (8324) [email protected] Web: cellsignal.com
For Research Use Only. Not for Use in Diagnostic Procedures.

Revision 9

Cell Signaling Technology Logo
Western blot analysis of extracts from HeLa and NIH/3T3 cells, untreated (-) or treated (+) with TPA, using Phospho-MEK1/2 (Ser221) (166F8) Rabbit mAb (upper), MEK1/2 (D1A5) Rabbit mAb #8727 (middle), or GAPDH (D16H11) XP® Rabbit mAb #5174 (lower).
Western Blotting Image 1: Phospho-MEK1/2 (Ser221) (166F8) Rabbit Monoclonal Antibody
Immunohistochemical analysis of formalin fixed, paraffin-embedded A375 cells, untreated (left) or treated with Raf1 Kinase Inhibitor 1 (right), using Phospho-MEK1/2 (Ser 221) (166F8) Rabbit mAb.
Immunohistochemistry Image 1: Phospho-MEK1/2 (Ser221) (166F8) Rabbit Monoclonal Antibody
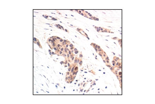
Immunohistochemical analysis of paraffin-embedded human breast carcinoma, using Phospho-MEK1/2 (Ser221)(166F8) Rabbit mAb.
Immunohistochemistry Image 2: Phospho-MEK1/2 (Ser221) (166F8) Rabbit Monoclonal Antibody
Orders: 877-616-CELL (2355) [email protected] Support: 877-678-TECH (8324) [email protected] Web: cellsignal.com
For Research Use Only. Not for Use in Diagnostic Procedures.

Revision 9

Cell Signaling Technology Logo
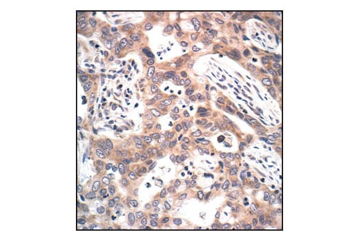
Immunohistochemical analysis of paraffin-embedded human lung carcinoma, using Phospho-MEK1/2 (Ser221) (166F8) Rabbit mAb.
Immunohistochemistry Image 3: Phospho-MEK1/2 (Ser221) (166F8) Rabbit Monoclonal Antibody
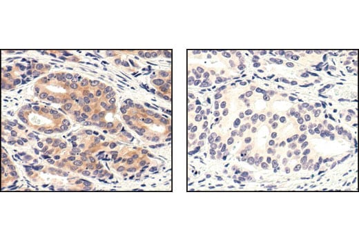
Immunohistochemical analysis of paraffin-embedded prostate carcinoma, untreated (left) or lambda phosphatase-treated (right), using Phospho-MEK1/2 (Ser221) (166F8) Rabbit mAb.
Immunohistochemistry Image 4: Phospho-MEK1/2 (Ser221) (166F8) Rabbit Monoclonal Antibody
Flow cytometric analysis of serum-starved Jurkat cells, untreated (green) or treated post-fixation with λ-phosphatase (blue) using Phospho-MEK1/2 (Ser221) (166F8) Rabbit mAb (solid lines) or concentration-matched Rabbit (DA1E) mAb IgG XP® Isotype Control #3900 (dashed lines). Anti-rabbit IgG (H+L), F(ab')2 Fragment (Alexa Fluor® 488 Conjugate) #4412 was used as a secondary antibody.
Flow Cytometry Image 1: Phospho-MEK1/2 (Ser221) (166F8) Rabbit Monoclonal Antibody
Orders: 877-616-CELL (2355) [email protected] Support: 877-678-TECH (8324) [email protected] Web: cellsignal.com
For Research Use Only. Not for Use in Diagnostic Procedures.

Revision 9

Cell Signaling Technology Logo
Flow cytometric analysis of serum-starved Jurkat cells, untreated (blue) or treated with TPA (200 nM, 30 min; green) using Phospho-MEK1/2 (Ser221) (166F8) Rabbit mAb (solid lines) or concentration-matched Rabbit (DA1E) mAb IgG XP® Isotype Control #3900 (dashed lines). Anti-rabbit IgG (H+L), F(ab')2 Fragment (Alexa Fluor® 488 Conjugate) #4412 was used as a secondary antibody.
Flow Cytometry Image 2: Phospho-MEK1/2 (Ser221) (166F8) Rabbit Monoclonal Antibody
Orders: 877-616-CELL (2355) [email protected] Support: 877-678-TECH (8324) [email protected] Web: cellsignal.com
For Research Use Only. Not for Use in Diagnostic Procedures.