Revision 1

#98195

Store at -20C

CST Logo
Orders:

877-616-CELL (2355)

[email protected]

Support:

877-678-TECH (8324)

3 Trask Lane | Danvers | Massachusetts | 01923 | USA

For Research Use Only. Not for Use in Diagnostic Procedures.

Applications:
W, IP

Reactivity:
H M R

Sensitivity:
Endogenous

MW (kDa):
45

Source/Isotype:
Rabbit IgG

UniProt ID:
#Q02750

Entrez-Gene Id:
5604

Product Usage Information

Application Dilution
Western Blotting 1:1000
Immunoprecipitation 1:50

Storage

Supplied in 10 mM sodium HEPES (pH 7.5), 150 mM NaCl, 100 µg/ml BSA, 50% glycerol and less than 0.02% sodium azide. Store at –20°C. Do not aliquot the antibody.

Specificity/Sensitivity

Phospho-MEK1 (Ser298) (D1P9E) Rabbit Monoclonal Antibody recognizes endogenous levels of MEK1 protein only when phosphorylated at Ser298.

Species predicted to react based on 100% sequence homology

Dog, Pig

Source / Purification

Monoclonal antibody is produced by immunizing animals with a synthetic phosphopeptide corresponding to residues surrounding Ser298 of human MEK1 protein.

Background

MEK1 and MEK2, also called MAPK or Erk kinases, are dual-specificity protein kinases that function in a mitogen activated protein kinase cascade controlling cell growth and differentiation (1-3). Activation of MEK1 and MEK2 occurs through phosphorylation of two serine residues at positions 217 and 221, located in the activation loop of subdomain VIII, by Raf-like molecules. MEK1/2 is activated by a wide variety of growth factors and cytokines and also by membrane depolarization and calcium influx (1-4). Constitutively active forms of MEK1/2 are sufficient for the transformation of NIH/3T3 cells or the differentiation of PC-12 cells (4). MEK activates p44 and p42 MAP kinase by phosphorylating both threonine and tyrosine residues at sites located within the activation loop of kinase subdomain VIII.
MEK1 is phosphorylated at Ser298 by PAK1, which facilitates signal transduction from Raf to MEK1 and Erk2 (5-7). MEK1 is also phosphorylated by cdk5 at Thr286 in mitotic cells, causing negative feedback of the p44/42 MAP kinase pathway (8).

Species Reactivity

Species reactivity is determined by testing in at least one approved application (e.g., western blot).

Western Blot Buffer

IMPORTANT: For western blots, incubate membrane with diluted primary antibody in 5% w/v BSA, 1X TBS, 0.1% Tween® 20 at 4°C with gentle shaking, overnight.

Applications Key

W: Western Blotting IP: Immunoprecipitation

Cross-Reactivity Key

H: Human M: Mouse R: Rat

Trademarks and Patents

Cell Signaling Technology is a trademark of Cell Signaling Technology, Inc.

All other trademarks are the property of their respective owners. Visit cellsignal.com/trademarks for more information.

Limited Uses

Except as otherwise expressly agreed in a writing signed by a legally authorized representative of CST, the following terms apply to Products provided by CST, its affiliates or its distributors. Any Customer's terms and conditions that are in addition to, or different from, those contained herein, unless separately accepted in writing by a legally authorized representative of CST, are rejected and are of no force or effect.

Products are labeled with For Research Use Only or a similar labeling statement and have not been approved, cleared, or licensed by the FDA or other regulatory foreign or domestic entity, for any purpose. Customer shall not use any Product for any diagnostic or therapeutic purpose, or otherwise in any manner that conflicts with its labeling statement. Products sold or licensed by CST are provided for Customer as the end-user and solely for research and development uses. Any use of Product for diagnostic, prophylactic or therapeutic purposes, or any purchase of Product for resale (alone or as a component) or other commercial purpose, requires a separate license from CST. Customer shall (a) not sell, license, loan, donate or otherwise transfer or make available any Product to any third party, whether alone or in combination with other materials, or use the Products to manufacture any commercial products, (b) not copy, modify, reverse engineer, decompile, disassemble or otherwise attempt to discover the underlying structure or technology of the Products, or use the Products for the purpose of developing any products or services that would compete with CST products or services, (c) not alter or remove from the Products any trademarks, trade names, logos, patent or copyright notices or markings, (d) use the Products solely in accordance with CST Product Terms of Sale and any applicable documentation, and (e) comply with any license, terms of service or similar agreement with respect to any third party products or services used by Customer in connection with the Products.

Orders: 877-616-CELL (2355) [email protected] Support: 877-678-TECH (8324) [email protected] Web: cellsignal.com
For Research Use Only. Not for Use in Diagnostic Procedures.

Revision 1

Cell Signaling Technology Logo
Western blot analysis of extracts from HeLa cells, either wild-type (+/+) or MEK1 knockout (-/-), using Phospho-MEK1 (Ser298) (D1P9E) Rabbit mAb (upper), MEK1 (D2R1O) Rabbit mAb #12671 (middle), and β-Actin (D6A8) Rabbit mAb #8457 (lower).
Western Blotting Image 1: Phospho-MEK1 (Ser298) (D1P9E) Rabbit Monoclonal Antibody
Western blot analysis of extracts from MDA-MB-231, NIH/3T3, and H-4-II-E cells, either untreated (-) or treated with phosphatase (+), using Phospho-MEK1 (Ser298) (D1P9E) Rabbit mAb (upper) or MEK1 (D2R1O) Rabbit mAb #12671 (lower).
Western Blotting Image 2: Phospho-MEK1 (Ser298) (D1P9E) Rabbit Monoclonal Antibody
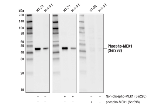
Western blot analysis of extracts from HT-29 and H-4-II-E cells using Phospho-MEK1 (Ser298) (D1P9E) Rabbit mAb. The phospho-specificity of the antibody was verified by pre-incubating the antibody with no peptide (left), MEK1 (Ser298) non-phosphopeptide (center), and MEK1 (Ser298) phosphopeptide (right).
Western Blotting Image 3: Phospho-MEK1 (Ser298) (D1P9E) Rabbit Monoclonal Antibody
Orders: 877-616-CELL (2355) [email protected] Support: 877-678-TECH (8324) [email protected] Web: cellsignal.com
For Research Use Only. Not for Use in Diagnostic Procedures.

Revision 1

Cell Signaling Technology Logo
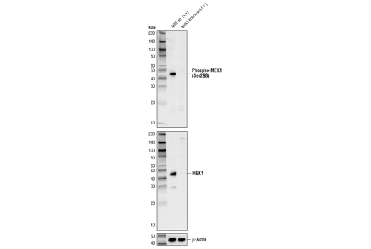
Western blot analysis of extracts from MEF cells, either wild-type (+/+) or Mek1 knock-out (-/-), using Phospho-MEK1 (Ser298) (D1P9E) Rabbit mAb (upper), MEK1 (D2R1O) Rabbit mAb #12671 (middle), and β-Actin (D6A8) Rabbit mAb #8457 (lower). Mek1 KO MEFs were generously provided by Dr. Jean Charron, Centre de recherche du Centre hospitalier de l'Université Laval, Quebec, Canada.
Western Blotting Image 4: Phospho-MEK1 (Ser298) (D1P9E) Rabbit Monoclonal Antibody
Orders: 877-616-CELL (2355) [email protected] Support: 877-678-TECH (8324) [email protected] Web: cellsignal.com
For Research Use Only. Not for Use in Diagnostic Procedures.