Revision 1

#3129

Store at -20C

CST Logo
Orders:

877-616-CELL (2355)

[email protected]

Support:

877-678-TECH (8324)

3 Trask Lane | Danvers | Massachusetts | 01923 | USA

For Research Use Only. Not for Use in Diagnostic Procedures.

Applications:
W

Reactivity:
H M R

Sensitivity:
Endogenous

MW (kDa):
145

Source/Isotype:
Rabbit IgG

UniProt ID:
#P08581

Entrez-Gene Id:
4233

Product Usage Information

Application Dilution
Western Blotting 1:1000

Storage

Supplied in 10 mM sodium HEPES (pH 7.5), 150 mM NaCl, 100 µg/ml BSA, 50% glycerol and less than 0.02% sodium azide. Store at –20°C. Do not aliquot the antibody.

Specificity/Sensitivity

Phospho-Met (Tyr1234/1235) (3D7) Rabbit Monoclonal Antibody detects endogenous levels of Met only when phosphorylated at tyrosine 1234/1235. This antibody may cross-react with activated Ron and FGF receptors.

Source / Purification

Monoclonal antibody is produced by immunizing animals with a synthetic phosphopeptide corresponding to residues surrounding Tyr1234/1235 of human Met.

Background

Met, a high affinity tyrosine kinase receptor for hepatocyte growth factor (HGF, also known as scatter factor) is a disulfide-linked heterodimer made of 45 kDa α- and 145 kDa β-subunits (1,2). The α-subunit and the amino-terminal region of the β-subunit form the extracellular domain. The remainder of the β-chain spans the plasma membrane and contains a cytoplasmic region with tyrosine kinase activity. Interaction of Met with HGF results in autophosphorylation at multiple tyrosines, which recruit several downstream signaling components, including Gab1, c-Cbl, and PI3 kinase (3). These fundamental events are important for all of the biological functions involving Met kinase activity. The addition of a phosphate at cytoplasmic Tyr1003 is essential for Met protein ubiquitination and degradation (4). Phosphorylation at Tyr1234/1235 in the Met kinase domain is critical for kinase activation. Phosphorylation at Tyr1349 in the Met cytoplasmic domain provides a direct binding site for Gab1 (5). Research studies have shown that altered Met levels and/or tyrosine kinase activities are found in several types of tumors, including renal, colon, and breast. Thus, investigators have concluded that Met is an attractive potential cancer therapeutic and diagnostic target (6,7).

Species Reactivity

Species reactivity is determined by testing in at least one approved application (e.g., western blot).

Western Blot Buffer

IMPORTANT: For western blots, incubate membrane with diluted primary antibody in 5% w/v BSA, 1X TBS, 0.1% Tween® 20 at 4°C with gentle shaking, overnight.

Applications Key

W: Western Blotting

Cross-Reactivity Key

H: Human M: Mouse R: Rat

Trademarks and Patents

Cell Signaling Technology is a trademark of Cell Signaling Technology, Inc.

All other trademarks are the property of their respective owners. Visit cellsignal.com/trademarks for more information.

Limited Uses

Except as otherwise expressly agreed in a writing signed by a legally authorized representative of CST, the following terms apply to Products provided by CST, its affiliates or its distributors. Any Customer's terms and conditions that are in addition to, or different from, those contained herein, unless separately accepted in writing by a legally authorized representative of CST, are rejected and are of no force or effect.

Products are labeled with For Research Use Only or a similar labeling statement and have not been approved, cleared, or licensed by the FDA or other regulatory foreign or domestic entity, for any purpose. Customer shall not use any Product for any diagnostic or therapeutic purpose, or otherwise in any manner that conflicts with its labeling statement. Products sold or licensed by CST are provided for Customer as the end-user and solely for research and development uses. Any use of Product for diagnostic, prophylactic or therapeutic purposes, or any purchase of Product for resale (alone or as a component) or other commercial purpose, requires a separate license from CST. Customer shall (a) not sell, license, loan, donate or otherwise transfer or make available any Product to any third party, whether alone or in combination with other materials, or use the Products to manufacture any commercial products, (b) not copy, modify, reverse engineer, decompile, disassemble or otherwise attempt to discover the underlying structure or technology of the Products, or use the Products for the purpose of developing any products or services that would compete with CST products or services, (c) not alter or remove from the Products any trademarks, trade names, logos, patent or copyright notices or markings, (d) use the Products solely in accordance with CST Product Terms of Sale and any applicable documentation, and (e) comply with any license, terms of service or similar agreement with respect to any third party products or services used by Customer in connection with the Products.

Orders: 877-616-CELL (2355) [email protected] Support: 877-678-TECH (8324) [email protected] Web: cellsignal.com
For Research Use Only. Not for Use in Diagnostic Procedures.

Revision 1

Cell Signaling Technology Logo
Western blot analysis of extracts of H4IIE cells untreated or treated with HGF, using Phospho-Met (Tyr1234/1235) (3D7) Rabbit mAb (upper) or Met (25H2) Mouse mAb #3127 (lower).
Western Blotting Image 1: Phospho-Met (Tyr1234/1235) (3D7) Rabbit Monoclonal Antibody
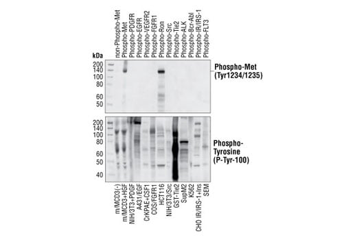
Western blot analysis of extracts from cells expressing various activated tyrosine kinase proteins, using Phospho-Met (Tyr1234/1235) (3D7) Rabbit mAb (upper) or Phospho-Tyrosine mAb (P-Tyr-100) #9411 (lower).
Western Blotting Image 2: Phospho-Met (Tyr1234/1235) (3D7) Rabbit Monoclonal Antibody
Orders: 877-616-CELL (2355) [email protected] Support: 877-678-TECH (8324) [email protected] Web: cellsignal.com
For Research Use Only. Not for Use in Diagnostic Procedures.