Revision 3

#98954

Store at -20C

CST Logo
Orders:

877-616-CELL (2355)

[email protected]

Support:

877-678-TECH (8324)

3 Trask Lane | Danvers | Massachusetts | 01923 | USA

For Research Use Only. Not for Use in Diagnostic Procedures.

Applications:
W, IHC-P, IF-IC, FC-FP, ELISA

Reactivity:
H M R

Sensitivity:
Endogenous

MW (kDa):
145

Source/Isotype:
Rabbit IgG

UniProt ID:
#P08581

Entrez-Gene Id:
4233

Product Usage Information

This product is the carrier free version of product #3077. All data were generated using the same antibody clone in the standard formulation which contains BSA and glycerol.

This formulation is ideal for use with technologies requiring specialized or custom antibody labeling, including fluorophores, metals, lanthanides, and oligonucleotides. It is not recommended for ChIP, ChIP-seq, CUT&RUN or CUT&Tag assays. If you require a carrier free formulation for chromatin profiling, please contact us. Optimal dilutions/concentrations should be determined by the end user.

BSA and Azide Free antibodies are quality control tested by size exclusion chromatography (SEC) to determine antibody integrity.

Formulation

Supplied in 1X PBS (10 mM Na2HPO4, 3 mM KCl, 2 mM KH2PO4, and 140 mM NaCl (pH 7.8)). BSA and Azide Free.

For standard formulation of this product see product #3077

Storage

Store at -20°C. This product will freeze at -20°C so it is recommended to aliquot into single-use vials to avoid multiple freeze/thaw cycles. A slight precipitate may be present and can be dissolved by gently vortexing. This will not interfere with antibody performance.

Specificity/Sensitivity

Phospho-Met (Tyr1234/1235) (D26) Rabbit Monoclonal Antibody (BSA and Azide Free) detects endogenous levels of Met only when phosphorylated at Tyr1234/1235. This antibody may cross-react with overexpressed tyrosine phosphorylated Src proteins in Western blot. The use of this antibody for IF and F applications are only recommended for cells over expressing phospho-Met (Y1234/1235).

Source / Purification

Monoclonal antibody is produced by immunizing animals with a synthetic phosphopeptide corresponding to residues surrounding Tyr1234/1235 of human Met.

Background

Met, a high affinity tyrosine kinase receptor for hepatocyte growth factor (HGF, also known as scatter factor) is a disulfide-linked heterodimer made of 45 kDa α- and 145 kDa β-subunits (1,2). The α-subunit and the amino-terminal region of the β-subunit form the extracellular domain. The remainder of the β-chain spans the plasma membrane and contains a cytoplasmic region with tyrosine kinase activity. Interaction of Met with HGF results in autophosphorylation at multiple tyrosines, which recruit several downstream signaling components, including Gab1, c-Cbl, and PI3 kinase (3). These fundamental events are important for all of the biological functions involving Met kinase activity. The addition of a phosphate at cytoplasmic Tyr1003 is essential for Met protein ubiquitination and degradation (4). Phosphorylation at Tyr1234/1235 in the Met kinase domain is critical for kinase activation. Phosphorylation at Tyr1349 in the Met cytoplasmic domain provides a direct binding site for Gab1 (5). Research studies have shown that altered Met levels and/or tyrosine kinase activities are found in several types of tumors, including renal, colon, and breast. Thus, investigators have concluded that Met is an attractive potential cancer therapeutic and diagnostic target (6,7).

Species Reactivity

Species reactivity is determined by testing in at least one approved application (e.g., western blot).

Applications Key

W: Western Blotting IHC-P: Immunohistochemistry (Paraffin) IF-IC: Immunofluorescence (Immunocytochemistry) FC-FP: Flow Cytometry (Fixed/Permeabilized) ELISA: ELISA

Cross-Reactivity Key

H: Human M: Mouse R: Rat

Trademarks and Patents

Cell Signaling Technology is a trademark of Cell Signaling Technology, Inc.

All other trademarks are the property of their respective owners. Visit cellsignal.com/trademarks for more information.

Limited Uses

Except as otherwise expressly agreed in a writing signed by a legally authorized representative of CST, the following terms apply to Products provided by CST, its affiliates or its distributors. Any Customer's terms and conditions that are in addition to, or different from, those contained herein, unless separately accepted in writing by a legally authorized representative of CST, are rejected and are of no force or effect.

Products are labeled with For Research Use Only or a similar labeling statement and have not been approved, cleared, or licensed by the FDA or other regulatory foreign or domestic entity, for any purpose. Customer shall not use any Product for any diagnostic or therapeutic purpose, or otherwise in any manner that conflicts with its labeling statement. Products sold or licensed by CST are provided for Customer as the end-user and solely for research and development uses. Any use of Product for diagnostic, prophylactic or therapeutic purposes, or any purchase of Product for resale (alone or as a component) or other commercial purpose, requires a separate license from CST. Customer shall (a) not sell, license, loan, donate or otherwise transfer or make available any Product to any third party, whether alone or in combination with other materials, or use the Products to manufacture any commercial products, (b) not copy, modify, reverse engineer, decompile, disassemble or otherwise attempt to discover the underlying structure or technology of the Products, or use the Products for the purpose of developing any products or services that would compete with CST products or services, (c) not alter or remove from the Products any trademarks, trade names, logos, patent or copyright notices or markings, (d) use the Products solely in accordance with CST Product Terms of Sale and any applicable documentation, and (e) comply with any license, terms of service or similar agreement with respect to any third party products or services used by Customer in connection with the Products.

Orders: 877-616-CELL (2355) [email protected] Support: 877-678-TECH (8324) [email protected] Web: cellsignal.com
For Research Use Only. Not for Use in Diagnostic Procedures.

Revision 3

Cell Signaling Technology Logo
Western blot analysis of cell extracts from HeLa cells, untreated or stimulated with HGF, using Phospho-Met (Tyr1234/1235) (D26) XP® Rabbit mAb (upper) and Met (25H2) Mouse mAb #3127 (lower). Data were generated using the standard formulation of this product.
Western Blotting Image 1: Phospho-Met (Tyr1234/1235) (D26) Rabbit Monoclonal Antibody (BSA and Azide Free)
Western blot analysis of purified active Ron kinase using a Phospho-Ron (Ser1394) Antibody (A), a Phospho-Ron (Tyr1238/1239) Antibody (B), Phospho-Met (Tyr1234/1235) (D26) XP® Rabbit mAb (C) and Phospho-Tyrosine Mouse mAb (P-Tyr-100) #9411 (D). This demonstrates that Phospho-Met (Tyr1234/1235) (D26) XP® Rabbit mAb does not cross-react with phospho-Ron by western analysis. Data were generated using the standard formulation of this product.
Western Blotting Image 2: Phospho-Met (Tyr1234/1235) (D26) Rabbit Monoclonal Antibody (BSA and Azide Free)
Immunohistochemical analysis of paraffin-embedded human lung carcinoma, untreated (left) or λ phosphatase-treated (right), using Phospho-Met (Tyr1234/1235) (D26) XP® Rabbit mAb. Data were generated using the standard formulation of this product.
Immunohistochemistry Image 1: Phospho-Met (Tyr1234/1235) (D26) Rabbit Monoclonal Antibody (BSA and Azide Free)
Orders: 877-616-CELL (2355) [email protected] Support: 877-678-TECH (8324) [email protected] Web: cellsignal.com
For Research Use Only. Not for Use in Diagnostic Procedures.

Revision 3

Cell Signaling Technology Logo
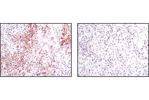
Immunohistochemical analysis of paraffin-embedded xenografts from 3T3-Met (left) and 3T3-Ron cells (right) using Phospho-Met (Tyr1234/1235) (D26) XP® Rabbit mAb, indicating that this antibody does not cross-react with activated Ron by immunohistochemistry. Image courtesy of Pfizer, Inc. Data were generated using the standard formulation of this product.
Immunohistochemistry Image 2: Phospho-Met (Tyr1234/1235) (D26) Rabbit Monoclonal Antibody (BSA and Azide Free)
Immunohistochemical analysis on Src-transfected NIH/3T3 cells, using a Phospho-Src Family (Tyr416) Antibody (left) or Phospho-Met (Tyr1234/1235) (D26) XP® Rabbit mAb (right), indicating that the antibody does not cross-react with Src phosphorylated at Tyr416 via immunohistochemistry. Data were generated using the standard formulation of this product.
Immunohistochemistry Image 3: Phospho-Met (Tyr1234/1235) (D26) Rabbit Monoclonal Antibody (BSA and Azide Free)
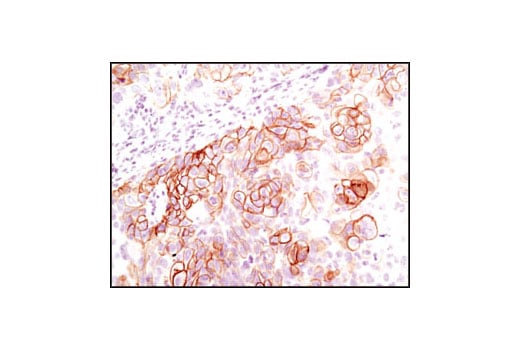
Immunohisochemical analysis of paraffin-embedded HCC827 xenograft using Phospho-Met (Tyr1234/1235) (D26) XP® Rabbit mAb. Data were generated using the standard formulation of this product.
Immunohistochemistry Image 4: Phospho-Met (Tyr1234/1235) (D26) Rabbit Monoclonal Antibody (BSA and Azide Free)
Orders: 877-616-CELL (2355) [email protected] Support: 877-678-TECH (8324) [email protected] Web: cellsignal.com
For Research Use Only. Not for Use in Diagnostic Procedures.

Revision 3

Cell Signaling Technology Logo
Immunohistochemical analysis using Phospho-Met (Tyr1234/1235) (D26) XP® Rabbit mAb on SignalSlide™ Phospho-Met (1234/1235) IHC Controls #8118 [MKN45 cells, untreated (left) or SU11274-treated (right)]. Data were generated using the standard formulation of this product.
Immunohistochemistry Image 5: Phospho-Met (Tyr1234/1235) (D26) Rabbit Monoclonal Antibody (BSA and Azide Free)
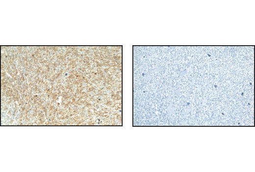
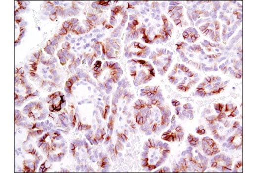
Immunohistochemical analysis of paraffin-embedded papillary renal cell carcinoma using Phospho-Met (Tyr1234/1225) (D26) XP® Rabbit mAb. Data were generated using the standard formulation of this product.
Immunohistochemistry Image 6: Phospho-Met (Tyr1234/1235) (D26) Rabbit Monoclonal Antibody (BSA and Azide Free)
Confocal immunofluorescence analysis of MKN45 cells, untreated (left) or treated with SU11274 (1 μM, 3 hours; right), using Phospho-MET (Tyr1234/Tyr1235) (D26) XP® Rabbit mAb. Blue pseudocolor = DRAQ5® #4084 (fluorescent DNA dye). Data were generated using the standard formulation of this product.
Immunofluorescence Image 1: Phospho-Met (Tyr1234/1235) (D26) Rabbit Monoclonal Antibody (BSA and Azide Free)
Orders: 877-616-CELL (2355) [email protected] Support: 877-678-TECH (8324) [email protected] Web: cellsignal.com
For Research Use Only. Not for Use in Diagnostic Procedures.

Revision 3

Cell Signaling Technology Logo
Flow cytometric analysis of MKN-45 cells, untreated (green) or treated with SU11274 (blue). Data were generated using the standard formulation of this product.
Flow Cytometry Image 1: Phospho-Met (Tyr1234/1235) (D26) Rabbit Monoclonal Antibody (BSA and Azide Free)
Data using Phospho-Met (Tyr1234/1235) Matched Antibody Pair #23268 are shown. The two antibodies function as a capture-target-detection sandwich (#98954 and #70535, respectively) to detect endogenous protein expression in positive and negative controls.
ELISA Image 1: Phospho-Met (Tyr1234/1235) (D26) Rabbit Monoclonal Antibody (BSA and Azide Free)
Orders: 877-616-CELL (2355) [email protected] Support: 877-678-TECH (8324) [email protected] Web: cellsignal.com
For Research Use Only. Not for Use in Diagnostic Procedures.