Revision 3

#12280

Store at -20C

CST Logo
Orders:

877-616-CELL (2355)

[email protected]

Support:

877-678-TECH (8324)

3 Trask Lane | Danvers | Massachusetts | 01923 | USA

For Research Use Only. Not for Use in Diagnostic Procedures.

Applications:
W, IP, IF-IC

Reactivity:
H M R Mk

Sensitivity:
Endogenous

MW (kDa):
38 MKK6, 40 MKK3

Source/Isotype:
Rabbit IgG

UniProt ID:
#P46734, #P52564

Entrez-Gene Id:
5606, 5608

Product Usage Information

Application Dilution
Western Blotting 1:1000
Immunoprecipitation 1:100
Immunofluorescence (Immunocytochemistry) 1:400

Storage

Supplied in 10 mM sodium HEPES (pH 7.5), 150 mM NaCl, 100 µg/ml BSA, 50% glycerol and less than 0.02% sodium azide. Store at –20°C. Do not aliquot the antibody.

For a carrier free (BSA and azide free) version of this product see product #73317.

Specificity/Sensitivity

Phospho-MKK3 (Ser189)/MKK6 (Ser207) (D8E9) Rabbit Monoclonal Antibody recognizes endogenous levels of MKK3 and MKK6 proteins only when phosphorylated at Ser189 (MKK3) or Ser207 (MKK6).

Species predicted to react based on 100% sequence homology

Zebrafish, Bovine, Guinea Pig

Source / Purification

Monoclonal antibody is produced by immunizing animals with a synthetic phosphopeptide corresponding to residues surrounding Ser189 of human MKK3 protein and Ser207 of human MKK6 protein.

Background

MKK3 and MKK6 are two closely related dual-specificity protein kinases that activate p38 MAP kinase (1-5). MKK3 and MKK6 both phosphorylate and activate p38 MAP kinase at its activation site, Thr-Gly-Tyr, but do not phosphorylate or activate Erk1/2 or SAPK/JNK. Phosphorylation of p38 MAP kinase dramatically stimulates its ability to phosphorylate protein substrates such as ATF-2 and Elk-1. MKK3 and MKK6 are both activated by different forms of cellular stress and inflammatory cytokines (4,5). Activation of MKK3 and MKK6 occurs through phosphorylation at Ser189 and Thr222 on MKK3 (2) and Ser207 and Thr211 on MKK6 (4,5).

Species Reactivity

Species reactivity is determined by testing in at least one approved application (e.g., western blot).

Western Blot Buffer

IMPORTANT: For western blots, incubate membrane with diluted primary antibody in 5% w/v nonfat dry milk, 1X TBS, 0.1% Tween® 20 at 4°C with gentle shaking, overnight.

Applications Key

W: Western Blotting IP: Immunoprecipitation IF-IC: Immunofluorescence (Immunocytochemistry)

Cross-Reactivity Key

H: Human M: Mouse R: Rat Mk: Monkey

Trademarks and Patents

Cell Signaling Technology is a trademark of Cell Signaling Technology, Inc.

All other trademarks are the property of their respective owners. Visit cellsignal.com/trademarks for more information.

Limited Uses

Except as otherwise expressly agreed in a writing signed by a legally authorized representative of CST, the following terms apply to Products provided by CST, its affiliates or its distributors. Any Customer's terms and conditions that are in addition to, or different from, those contained herein, unless separately accepted in writing by a legally authorized representative of CST, are rejected and are of no force or effect.

Products are labeled with For Research Use Only or a similar labeling statement and have not been approved, cleared, or licensed by the FDA or other regulatory foreign or domestic entity, for any purpose. Customer shall not use any Product for any diagnostic or therapeutic purpose, or otherwise in any manner that conflicts with its labeling statement. Products sold or licensed by CST are provided for Customer as the end-user and solely for research and development uses. Any use of Product for diagnostic, prophylactic or therapeutic purposes, or any purchase of Product for resale (alone or as a component) or other commercial purpose, requires a separate license from CST. Customer shall (a) not sell, license, loan, donate or otherwise transfer or make available any Product to any third party, whether alone or in combination with other materials, or use the Products to manufacture any commercial products, (b) not copy, modify, reverse engineer, decompile, disassemble or otherwise attempt to discover the underlying structure or technology of the Products, or use the Products for the purpose of developing any products or services that would compete with CST products or services, (c) not alter or remove from the Products any trademarks, trade names, logos, patent or copyright notices or markings, (d) use the Products solely in accordance with CST Product Terms of Sale and any applicable documentation, and (e) comply with any license, terms of service or similar agreement with respect to any third party products or services used by Customer in connection with the Products.

Orders: 877-616-CELL (2355) [email protected] Support: 877-678-TECH (8324) [email protected] Web: cellsignal.com
For Research Use Only. Not for Use in Diagnostic Procedures.

Revision 3

Cell Signaling Technology Logo
Western blot analysis of extracts from HeLa and NIH/3T3 cells, untreated (-) or treated with TPA #4174 (200 nM, 15 min; +), using Phospho-MKK3 (Ser189)/MKK6 (Ser207) (D8E9) Rabbit mAb (upper), MKK3 (D4C3) Rabbit mAb #8535 (middle), or MKK6 (D31D1) Rabbit mAb #8550 (lower).
Western Blotting Image 1: Phospho-MKK3 (Ser189)/MKK6 (Ser207) (D8E9) Rabbit Monoclonal Antibody
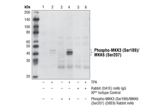
Immunoprecipitation of phospho-MKK3 (Ser189)/MKK6 (Ser207) from HeLa cells, untreated or treated with TPA #4174 (200 nM, 15 min), using Phospho-MKK3 (Ser189)/MKK6 (Ser207) (D8E9) Rabbit mAb (lanes 3 and 4) or Rabbit (DA1E) mAb IgG XP® Isotype Control #3900 (lanes 5 and 6). Lanes 1 and 2 are 10% input. Western blot analysis was performed using

Phospho-MKK3 (Ser189)/MKK6 (Ser207) Antibody #9231. Mouse Anti-rabbit IgG (Conformation Specific) (L27A9) mAb #3678 was used as a secondary antibody.

Immunoprecipitation Image 1: Phospho-MKK3 (Ser189)/MKK6 (Ser207) (D8E9) Rabbit Monoclonal Antibody
Confocal immunofluorescent analysis of HeLa cells, untreated (left) or UV-treated (40 mJ/cm2 with 30 min recovery; right), using Phospho-MKK3 (Ser189)/MKK6 (Ser207) (D8E9) Rabbit mAb (green). Actin filaments were labeled with DY-554 phalloidin (red). Blue pseudocolor = DRAQ5® #4084 (fluorescent DNA dye).
Immunofluorescence Image 1: Phospho-MKK3 (Ser189)/MKK6 (Ser207) (D8E9) Rabbit Monoclonal Antibody
Orders: 877-616-CELL (2355) [email protected] Support: 877-678-TECH (8324) [email protected] Web: cellsignal.com
For Research Use Only. Not for Use in Diagnostic Procedures.