Revision 1

#8843

Store at -20C

CST Logo
Orders:

877-616-CELL (2355)

[email protected]

Support:

877-678-TECH (8324)

3 Trask Lane | Danvers | Massachusetts | 01923 | USA

For Research Use Only. Not for Use in Diagnostic Procedures.

Applications:
W

Reactivity:
H M R Mk

Sensitivity:
Endogenous

MW (kDa):
24

Source/Isotype:
Rabbit IgG

UniProt ID:
#Q9H8S9, #Q7L9L4

Entrez-Gene Id:
55233, 92597

Product Usage Information

Application Dilution
Western Blotting 1:1000

Storage

Supplied in 10 mM sodium HEPES (pH 7.5), 150 mM NaCl, 100 µg/ml BSA, 50% glycerol and less than 0.02% sodium azide. Store at –20°C. Do not aliquot the antibody.

Specificity/Sensitivity

Phospho-MOB1 (Thr12) (D2E3) Rabbit Monoclonal Antibody recognizes endogenous levels of MOB1 protein only when phosphorylated at Thr12.

Species predicted to react based on 100% sequence homology

Xenopus, Horse

Source / Purification

Monoclonal antibody is produced by immunizing animals with a synthetic phosphopeptide corresponding to residues surrounding Thr12 of human MOB1 protein.

Background

MOB1 was first identified in yeast as a protein that binds to Mps with essential roles in the completion of mitosis and the maintenance of ploidy (1). Its Drosophila and mammalian homologs, Mats and MOB1, respectively, are involved in the Hippo signaling tumor suppressor pathway, which plays a critical role in organ size regulation and which has been implicated in cancer development (2-5). There are two MOB1 proteins in humans, MOB1A and MOB1B, that are encoded by two different genes but which have greater than 95% amino acid sequence identity (6). Both forms bind to members of the nuclear Dbf2-related (NDR) kinases, such as LATS1/2 and NDR1/2, thereby stimulating kinase activity (7-9). This binding is promoted by the phosphorylation of MOB1 at several threonine residues (e.g., Thr12, Thr35) by MST1 and/or MST2 (5,10).
Phosphorylation at Thr12 by MST1/2 stabilizes MOB1, enhancing its binding and regulation of LATS1 (5). The resultant increase in LATS1 kinase activity promotes inhibitory phosphorylation of the transcriptional co-activators YAP and TAZ (11,12), leading to changes in the expression of genes involved in cell cycle progression (13).

Species Reactivity

Species reactivity is determined by testing in at least one approved application (e.g., western blot).

Western Blot Buffer

IMPORTANT: For western blots, incubate membrane with diluted primary antibody in 5% w/v BSA, 1X TBS, 0.1% Tween® 20 at 4°C with gentle shaking, overnight.

Applications Key

W: Western Blotting

Cross-Reactivity Key

H: Human M: Mouse R: Rat Mk: Monkey

Trademarks and Patents

Cell Signaling Technology is a trademark of Cell Signaling Technology, Inc.

All other trademarks are the property of their respective owners. Visit cellsignal.com/trademarks for more information.

Limited Uses

Except as otherwise expressly agreed in a writing signed by a legally authorized representative of CST, the following terms apply to Products provided by CST, its affiliates or its distributors. Any Customer's terms and conditions that are in addition to, or different from, those contained herein, unless separately accepted in writing by a legally authorized representative of CST, are rejected and are of no force or effect.

Products are labeled with For Research Use Only or a similar labeling statement and have not been approved, cleared, or licensed by the FDA or other regulatory foreign or domestic entity, for any purpose. Customer shall not use any Product for any diagnostic or therapeutic purpose, or otherwise in any manner that conflicts with its labeling statement. Products sold or licensed by CST are provided for Customer as the end-user and solely for research and development uses. Any use of Product for diagnostic, prophylactic or therapeutic purposes, or any purchase of Product for resale (alone or as a component) or other commercial purpose, requires a separate license from CST. Customer shall (a) not sell, license, loan, donate or otherwise transfer or make available any Product to any third party, whether alone or in combination with other materials, or use the Products to manufacture any commercial products, (b) not copy, modify, reverse engineer, decompile, disassemble or otherwise attempt to discover the underlying structure or technology of the Products, or use the Products for the purpose of developing any products or services that would compete with CST products or services, (c) not alter or remove from the Products any trademarks, trade names, logos, patent or copyright notices or markings, (d) use the Products solely in accordance with CST Product Terms of Sale and any applicable documentation, and (e) comply with any license, terms of service or similar agreement with respect to any third party products or services used by Customer in connection with the Products.

Orders: 877-616-CELL (2355) [email protected] Support: 877-678-TECH (8324) [email protected] Web: cellsignal.com
For Research Use Only. Not for Use in Diagnostic Procedures.

Revision 1

Cell Signaling Technology Logo
Western blot analysis of extracts from MCF7 cells, untreated or H2O2-treated (2.5 mM, 30 min), using Phospho-MOB1 (Thr12) (D2E3) Rabbit mAb (upper) and MOB1 Antibody #3863 (lower).
Western Blotting Image 1: Phospho-MOB1 (Thr12) (D2E3) Rabbit Monoclonal Antibody
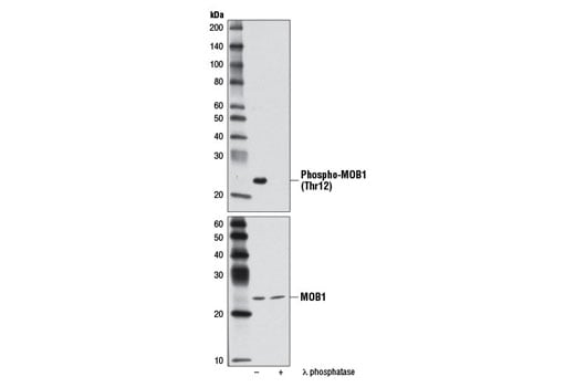
Western blot analysis of extracts from Ramos cells, untreated or λ phosphatase-treated, using Phospho-MOB1 (Thr12) (D2E3) Rabbit mAb (upper) and MOB1 Antibody #3863 (lower).
Western Blotting Image 2: Phospho-MOB1 (Thr12) (D2E3) Rabbit Monoclonal Antibody
Orders: 877-616-CELL (2355) [email protected] Support: 877-678-TECH (8324) [email protected] Web: cellsignal.com
For Research Use Only. Not for Use in Diagnostic Procedures.