Revision 8

#5482

Store at -20C

CST Logo
Orders:

877-616-CELL (2355)

[email protected]

Support:

877-678-TECH (8324)

3 Trask Lane | Danvers | Massachusetts | 01923 | USA

For Research Use Only. Not for Use in Diagnostic Procedures.

Applications:
W, IHC-P, IF-F, IF-IC, FC-FP

Reactivity:
H M R Mk

Sensitivity:
Endogenous

MW (kDa):
46, 48

Source/Isotype:
Rabbit IgG

UniProt ID:
#Q92597

Entrez-Gene Id:
10397

Product Usage Information

Application Dilution
Western Blotting 1:1000
Immunohistochemistry (Paraffin) 1:250 - 1:1000
Immunofluorescence (Frozen) 1:50 - 1:100
Immunofluorescence (Immunocytochemistry) 1:200 - 1:800
Flow Cytometry (Fixed/Permeabilized) 1:200

Storage

Supplied in 10 mM sodium HEPES (pH 7.5), 150 mM NaCl, 100 µg/ml BSA, 50% glycerol and less than 0.02% sodium azide. Store at –20°C. Do not aliquot the antibody.

For a carrier-free (BSA and azide free) version of this product see product #89166.

Specificity/Sensitivity

Phospho-NDRG1 (Thr346) (D98G11) Rabbit Monoclonal Antibody detects endogenous levels of NDRG1 when phosphorylated at Thr346. This antibody likely cross-reacts with other conserved phosporylation sites on NDRG1 at positions Thr356 and Thr366.

Source / Purification

Monoclonal antibody is produced by immunizing animals with a synthetic phosphopeptide corresponding to residues surrounding Thr346 of mouse NDRG1 protein.

Background

N-myc downstream-regulated gene 1 (NDRG1), also termed Cap43, Drg1, RTP/rit42, and Proxy-1, is a member of the NDRG family, which is composed of four members (NDRG1-4) that function in growth, differentiation, and cell survival (1-5). NDRG1 is ubiquitously expressed and highly responsive to a variety of stress signals, including DNA damage (4), hypoxia (5), and elevated levels of nickel and calcium (2). Expression of NDRG1 is elevated in N-myc defective mice and is negatively regulated by N- and c-myc (1,6). During DNA damage, NDRG1 is induced in a p53-dependent fashion and is necessary for p53-mediated apoptosis (4,7). Research studies have shown that NDRG1 may also play a role in cancer progression by promoting differentiation, inhibiting growth, and modulating metastasis and angiogenesis (3,4,6,8,9). Nonsense mutation of the NDRG1 gene has been shown to cause hereditary motor and sensory neuropathy-Lom (HMSNL), which is supported by studies demonstrating the role of NDRG1 in maintaining myelin sheaths and axonal survival (10,11). NDRG1 is upregulated during mast cell maturation and its deletion leads to attenuated allergic responses (12). Both NDRG1 and NDRG2 are substrates of SGK1, although the precise physiological role of SGK1-mediated phosphorylation is not known (13). NDRG1 is phosphorylated by SGK1 at Thr328, Ser330, Thr346, Thr356, and Thr366. Phosphorylation by SGK1 primes NDRG1 for phosphorylation by GSK-3.

Phospho-NDRG1 (Thr346) (D98G11) XP® Rabbit mAb is directed at a site that was identified at Cell Signaling Technology (CST) using PhosphoScan®, CST's LC-MS/MS platform for modification site discovery. Phosphorylation at Thr346 was discovered using an Akt substrate antibody and was shown to be induced by insulin treatment in multiple cell lines. Please visit PhosphoSitePlus®, CST's modification site knowledgebase, at www.phosphosite.org for more information.

Species Reactivity

Species reactivity is determined by testing in at least one approved application (e.g., western blot).

Western Blot Buffer

IMPORTANT: For western blots, incubate membrane with diluted primary antibody in 5% w/v nonfat dry milk, 1X TBS, 0.1% Tween® 20 at 4°C with gentle shaking, overnight.

Applications Key

W: Western Blotting IHC-P: Immunohistochemistry (Paraffin) IF-F: Immunofluorescence (Frozen) IF-IC: Immunofluorescence (Immunocytochemistry) FC-FP: Flow Cytometry (Fixed/Permeabilized)

Cross-Reactivity Key

H: Human M: Mouse R: Rat Mk: Monkey

Trademarks and Patents

Cell Signaling Technology is a trademark of Cell Signaling Technology, Inc.

All other trademarks are the property of their respective owners. Visit cellsignal.com/trademarks for more information.

Limited Uses

Except as otherwise expressly agreed in a writing signed by a legally authorized representative of CST, the following terms apply to Products provided by CST, its affiliates or its distributors. Any Customer's terms and conditions that are in addition to, or different from, those contained herein, unless separately accepted in writing by a legally authorized representative of CST, are rejected and are of no force or effect.

Products are labeled with For Research Use Only or a similar labeling statement and have not been approved, cleared, or licensed by the FDA or other regulatory foreign or domestic entity, for any purpose. Customer shall not use any Product for any diagnostic or therapeutic purpose, or otherwise in any manner that conflicts with its labeling statement. Products sold or licensed by CST are provided for Customer as the end-user and solely for research and development uses. Any use of Product for diagnostic, prophylactic or therapeutic purposes, or any purchase of Product for resale (alone or as a component) or other commercial purpose, requires a separate license from CST. Customer shall (a) not sell, license, loan, donate or otherwise transfer or make available any Product to any third party, whether alone or in combination with other materials, or use the Products to manufacture any commercial products, (b) not copy, modify, reverse engineer, decompile, disassemble or otherwise attempt to discover the underlying structure or technology of the Products, or use the Products for the purpose of developing any products or services that would compete with CST products or services, (c) not alter or remove from the Products any trademarks, trade names, logos, patent or copyright notices or markings, (d) use the Products solely in accordance with CST Product Terms of Sale and any applicable documentation, and (e) comply with any license, terms of service or similar agreement with respect to any third party products or services used by Customer in connection with the Products.

Orders: 877-616-CELL (2355) [email protected] Support: 877-678-TECH (8324) [email protected] Web: cellsignal.com
For Research Use Only. Not for Use in Diagnostic Procedures.

Revision 8

Cell Signaling Technology Logo
Western blot analysis of extracts from C2C12 cells, untreated or treated with LY294002 #9901, insulin, or both using Phospho-NDRG1 (Thr346) (D98G11) XP® Rabbit mAb (upper) or total NDRG1 Antibody #5196 (lower).
Western Blotting Image 1: Phospho-NDRG1 (Thr346) (D98G11) Rabbit Monoclonal Antibody
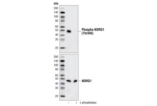
Western blot analysis of extracts from A431 cells treated with hEGF (100 ng/ml, 30 minutes), with or without calf intestinal phosphatase and λ-phosphatase, using Phospho-NDRG1 (Thr346) (D98G11) XP® Rabbit mAb (upper) or total NDRG1 Antibody #5196 (lower).
Western Blotting Image 2: Phospho-NDRG1 (Thr346) (D98G11) Rabbit Monoclonal Antibody
Western blot analysis of HeLa cells treated with hEGF (100 ng/ml, 30 minutes), mock transfected or transfected with SignalSilence® NDRG1 siRNA I or SignalSilence® NDRG1 siRNA II, using Phospho-NDRG1 (Thr346) (D98G11) XP® Rabbit mAb (upper) or β-Tubulin (9F3) Rabbit mAb #2128 (lower).
Western Blotting Image 3: Phospho-NDRG1 (Thr346) (D98G11) Rabbit Monoclonal Antibody
Orders: 877-616-CELL (2355) [email protected] Support: 877-678-TECH (8324) [email protected] Web: cellsignal.com
For Research Use Only. Not for Use in Diagnostic Procedures.

Revision 8

Cell Signaling Technology Logo
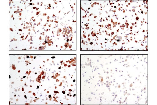
Immunohistochemical analysis on SignalSlide® Phospho-Akt (Ser473) IHC Controls #8101 [paraffin-embedded LNCaP cell pellets, control (left) or LY294002-treated (right)] using NDRG1 Antibody #5196 (top) or Phospho-NDRG1 (Thr346) (D98G11) XP® Rabbit mAb (bottom).
Immunohistochemistry Image 1: Phospho-NDRG1 (Thr346) (D98G11) Rabbit Monoclonal Antibody
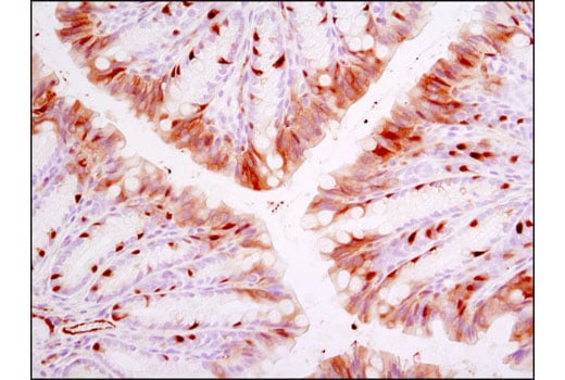
Immunohistochemical analysis of paraffin-emebedded mouse colon using Phospho-NDRG1 (Thr346) (D98G11) XP® Rabbit mAb.
Immunohistochemistry Image 2: Phospho-NDRG1 (Thr346) (D98G11) Rabbit Monoclonal Antibody
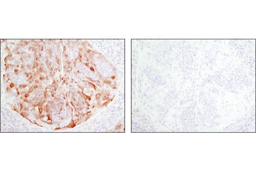
Immunohistochemical analysis of paraffin-embedded human cervical carcinoma, control (left) or λ phosphatase-treated (right), using Phospho-NDRG1 (Thr346) (D98G11) XP® Rabbit mAb.
Immunohistochemistry Image 3: Phospho-NDRG1 (Thr346) (D98G11) Rabbit Monoclonal Antibody
Orders: 877-616-CELL (2355) [email protected] Support: 877-678-TECH (8324) [email protected] Web: cellsignal.com
For Research Use Only. Not for Use in Diagnostic Procedures.

Revision 8

Cell Signaling Technology Logo
Immunohistochemical analysis of paraffin-emebedded human lung carcinoma using Phospho-NDRG1 (Thr346) (D98G11) XP® Rabbit mAb.
Immunohistochemistry Image 4: Phospho-NDRG1 (Thr346) (D98G11) Rabbit Monoclonal Antibody
Confocal immunofluorescent analysis of fixed frozen mouse colon labeled with Phospho-NDRG1 (Thr346) (D98G11) XP® Rabbit mAb #5482 (green). Free secondary binding sites were then blocked with Rabbit (DA1E) mAb IgG XP® Isotype Control #3900 prior to colabeling with α-Smooth Muscle Actin (D4K9N) XP® Rabbit mAb (Alexa Fluor® 555 Conjugate) #60839 (yellow), DyLight™ 650 Phalloidin #12956 (red), and DAPI #4083 (blue).
Immunofluorescence Image 1: Phospho-NDRG1 (Thr346) (D98G11) Rabbit Monoclonal Antibody
Confocal immunofluorescent analysis of fixed frozen mouse kidney labeled with Phospho-NDRG1 (Thr346) (D98G11) XP® Rabbit mAb #5482 (left, green) and colabeled DyLight™ 650 Phalloidin #12956 (right, red) and DAPI #4083 (right, blue).
Immunofluorescence Image 2: Phospho-NDRG1 (Thr346) (D98G11) Rabbit Monoclonal Antibody
Orders: 877-616-CELL (2355) [email protected] Support: 877-678-TECH (8324) [email protected] Web: cellsignal.com
For Research Use Only. Not for Use in Diagnostic Procedures.

Revision 8

Cell Signaling Technology Logo
Confocal immunofluorescent analysis of fixed frozen mouse striatum labeled with Phospho-NDRG1 (Thr346) (D98G11) XP® Rabbit mAb #5482 (green). Free secondary binding sites were then blocked with Rabbit (DA1E) mAb IgG XP® Isotype Control #3900 prior to colabeling with Myelin Basic Protein (D8X4Q) XP® Rabbit mAb (Alexa Fluor® 555 Conjugate) #84987 (yellow), GFAP (GA5) Mouse mAb (Alexa Fluor® 647 Conjugate) #3657 (red), and DAPI #4083 (blue).
Immunofluorescence Image 3: Phospho-NDRG1 (Thr346) (D98G11) Rabbit Monoclonal Antibody
Confocal immunofluorescent analysis of C2C12 cells, treated with LY294002 #9901 (left) or insulin (right), using Phospho-NDRG1 (Thr346) (D98G11) XP® Rabbit mAb (green). Actin filaments were labeled with DY-554 phalloidin (red). Blue pseudocolor = DRAQ5® #4084 (fluorescent DNA dye).
Immunofluorescence Image 1: Phospho-NDRG1 (Thr346) (D98G11) Rabbit Monoclonal Antibody

Flow cytometric analysis of Jurkat cells, untreated (green) or treated for 2 hr with LY294002 #9901 (50 µM), Wortmannin #9951 (1 µM), and U0126 #9903 (10 μM) (blue) using Phospho-NDRG1 (Thr346) (D98G11) XP® Rabbit mAb (solid lines) or concentration-matched Rabbit (DA1E) mAb IgG XP® Isotype Control #3900 (dashed lines). Anti-rabbit IgG (H+L), F(ab')2 Fragment (Alexa Fluor® 488 Conjugate) #4412 was used as a secondary antibody.

Flow Cytometry Image 1: Phospho-NDRG1 (Thr346) (D98G11) Rabbit Monoclonal Antibody
Orders: 877-616-CELL (2355) [email protected] Support: 877-678-TECH (8324) [email protected] Web: cellsignal.com
For Research Use Only. Not for Use in Diagnostic Procedures.