Revision 2

#89166

Store at -20C

CST Logo
Orders:

877-616-CELL (2355)

[email protected]

Support:

877-678-TECH (8324)

3 Trask Lane | Danvers | Massachusetts | 01923 | USA

For Research Use Only. Not for Use in Diagnostic Procedures.

Applications:
W, IHC-P, IF-F, IF-IC, FC-FP, ELISA+

Reactivity:
H M R Mk

Sensitivity:
Endogenous

MW (kDa):
46, 48

Source/Isotype:
Rabbit IgG

UniProt ID:
#Q92597

Entrez-Gene Id:
10397

Product Usage Information

This product is the carrier-free version of product #5482. All data were generated using the same antibody clone in the standard formulation which contains BSA and glycerol.

This formulation is ideal for use with technologies requiring specialized or custom antibody labeling, including fluorophores, metals, lanthanides, and oligonucleotides. It is not recommended for ChIP, ChIP-seq, CUT&RUN, or CUT&Tag assays. If you require a carrier-free formulation for chromatin profiling, please www.cellsignal.com/services/carrier-free-and-customized-formulations/custom-formulations-request ">contact us. Optimal dilutions/concentrations should be determined by the end user.

BSA and Azide Free antibodies are quality control tested by size exclusion chromatography (SEC) to determine antibody integrity.

Formulation

Supplied in 1X PBS (10 mM Na2HPO4, 3 mM KCl, 2 mM KH2PO4, and 140 mM NaCl (pH 7.8)). BSA and Azide Free.

For standard formulation of this product see product #5482.

Storage

Store at -20°C. This product will freeze at -20°C so it is recommended to aliquot into single-use vials to avoid multiple freeze/thaw cycles. A slight precipitate may be present and can be dissolved by gently vortexing. This will not interfere with antibody performance.

Specificity/Sensitivity

Phospho-NDRG1 (Thr346) (D98G11) Rabbit Monoclonal Antibody (BSA and Azide Free) detects endogenous levels of NDRG1 when phosphorylated at Thr346. This antibody likely cross-reacts with other conserved phosporylation sites on NDRG1 at positions Thr356 and Thr366.

Source / Purification

Monoclonal antibody is produced by immunizing animals with a synthetic phosphopeptide corresponding to residues surrounding Thr346 of mouse NDRG1 protein.

Background

N-myc downstream-regulated gene 1 (NDRG1), also termed Cap43, Drg1, RTP/rit42, and Proxy-1, is a member of the NDRG family, which is composed of four members (NDRG1-4) that function in growth, differentiation, and cell survival (1-5). NDRG1 is ubiquitously expressed and highly responsive to a variety of stress signals, including DNA damage (4), hypoxia (5), and elevated levels of nickel and calcium (2). Expression of NDRG1 is elevated in N-myc defective mice and is negatively regulated by N- and c-myc (1,6). During DNA damage, NDRG1 is induced in a p53-dependent fashion and is necessary for p53-mediated apoptosis (4,7). Research studies have shown that NDRG1 may also play a role in cancer progression by promoting differentiation, inhibiting growth, and modulating metastasis and angiogenesis (3,4,6,8,9). Nonsense mutation of the NDRG1 gene has been shown to cause hereditary motor and sensory neuropathy-Lom (HMSNL), which is supported by studies demonstrating the role of NDRG1 in maintaining myelin sheaths and axonal survival (10,11). NDRG1 is upregulated during mast cell maturation and its deletion leads to attenuated allergic responses (12). Both NDRG1 and NDRG2 are substrates of SGK1, although the precise physiological role of SGK1-mediated phosphorylation is not known (13). NDRG1 is phosphorylated by SGK1 at Thr328, Ser330, Thr346, Thr356, and Thr366. Phosphorylation by SGK1 primes NDRG1 for phosphorylation by GSK-3.

Phospho-NDRG1 (Thr346) (D98G11) XP® Rabbit mAb is directed at a site that was identified at Cell Signaling Technology (CST) using PhosphoScan®, CST's LC-MS/MS platform for modification site discovery. Phosphorylation at Thr346 was discovered using an Akt substrate antibody and was shown to be induced by insulin treatment in multiple cell lines. Please visit PhosphoSitePlus®, CST's modification site knowledgebase, at www.phosphosite.org for more information.

Species Reactivity

Species reactivity is determined by testing in at least one approved application (e.g., western blot).

Applications Key

W: Western Blotting IHC-P: Immunohistochemistry (Paraffin) IF-F: Immunofluorescence (Frozen) IF-IC: Immunofluorescence (Immunocytochemistry) FC-FP: Flow Cytometry (Fixed/Permeabilized) ELISA+: ELISA and/or ELISA-like Assays

Cross-Reactivity Key

H: Human M: Mouse R: Rat Mk: Monkey

Trademarks and Patents

Cell Signaling Technology is a trademark of Cell Signaling Technology, Inc.

All other trademarks are the property of their respective owners. Visit cellsignal.com/trademarks for more information.

Limited Uses

Except as otherwise expressly agreed in a writing signed by a legally authorized representative of CST, the following terms apply to Products provided by CST, its affiliates or its distributors. Any Customer's terms and conditions that are in addition to, or different from, those contained herein, unless separately accepted in writing by a legally authorized representative of CST, are rejected and are of no force or effect.

Products are labeled with For Research Use Only or a similar labeling statement and have not been approved, cleared, or licensed by the FDA or other regulatory foreign or domestic entity, for any purpose. Customer shall not use any Product for any diagnostic or therapeutic purpose, or otherwise in any manner that conflicts with its labeling statement. Products sold or licensed by CST are provided for Customer as the end-user and solely for research and development uses. Any use of Product for diagnostic, prophylactic or therapeutic purposes, or any purchase of Product for resale (alone or as a component) or other commercial purpose, requires a separate license from CST. Customer shall (a) not sell, license, loan, donate or otherwise transfer or make available any Product to any third party, whether alone or in combination with other materials, or use the Products to manufacture any commercial products, (b) not copy, modify, reverse engineer, decompile, disassemble or otherwise attempt to discover the underlying structure or technology of the Products, or use the Products for the purpose of developing any products or services that would compete with CST products or services, (c) not alter or remove from the Products any trademarks, trade names, logos, patent or copyright notices or markings, (d) use the Products solely in accordance with CST Product Terms of Sale and any applicable documentation, and (e) comply with any license, terms of service or similar agreement with respect to any third party products or services used by Customer in connection with the Products.

Orders: 877-616-CELL (2355) [email protected] Support: 877-678-TECH (8324) [email protected] Web: cellsignal.com
For Research Use Only. Not for Use in Diagnostic Procedures.

Revision 2

Cell Signaling Technology Logo
Western blot analysis of extracts from C2C12 cells, untreated or treated with LY294002 #9901, insulin, or both using Phospho-NDRG1 (Thr346) (D98G11) XP® Rabbit mAb (upper) or total NDRG1 Antibody #5196 (lower). Data were generated using the standard formulation of this product.
Western Blotting Image 1: Phospho-NDRG1 (Thr346) (D98G11) Rabbit Monoclonal Antibody (BSA and Azide Free)
Western blot analysis of HeLa cells treated with Human Epidermal Growth Factor (hEGF) (100 ng/mL, 30 min), mock transfected or transfected with SignalSilence® NDRG1 siRNA I or SignalSilence® NDRG1 siRNA II, using Phospho-NDRG1 (Thr346) (D98G11) XP® Rabbit mAb (upper) or β-Tubulin (9F3) Rabbit mAb #2128 (lower). Data were generated using the standard formulation of this product.
Western Blotting Image 2: Phospho-NDRG1 (Thr346) (D98G11) Rabbit Monoclonal Antibody (BSA and Azide Free)
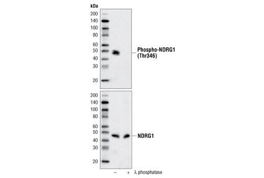
Western blot analysis of extracts from A-431 cells treated with Human Epidermal Growth Factor (hEGF) (100 ng/mL, 30 min), with or without calf intestinal phosphatase and λ phosphatase, using Phospho-NDRG1 (Thr346) (D98G11) XP® Rabbit mAb (upper) or total NDRG1 Antibody #5196 (lower). Data were generated using the standard formulation of this product.
Western Blotting Image 3: Phospho-NDRG1 (Thr346) (D98G11) Rabbit Monoclonal Antibody (BSA and Azide Free)
Orders: 877-616-CELL (2355) [email protected] Support: 877-678-TECH (8324) [email protected] Web: cellsignal.com
For Research Use Only. Not for Use in Diagnostic Procedures.

Revision 2

Cell Signaling Technology Logo
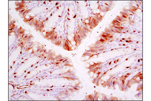
Immunohistochemical analysis of paraffin-emebedded mouse colon using Phospho-NDRG1 (Thr346) (D98G11) XP® Rabbit mAb. Data were generated using the standard formulation of this product.
Immunohistochemistry Image 1: Phospho-NDRG1 (Thr346) (D98G11) Rabbit Monoclonal Antibody (BSA and Azide Free)
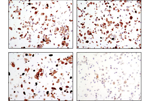
Immunohistochemical analysis of paraffin-embedded LNCaP cell pellets on SignalSlide® Phospho-Akt (Ser473) IHC Controls #8101, control (left) or LY294002-treated (right), using NDRG1 Antibody #5196 (top) or Phospho-NDRG1 (Thr346) (D98G11) XP® Rabbit mAb (bottom). Data were generated using the standard formulation of this product.
Immunohistochemistry Image 2: Phospho-NDRG1 (Thr346) (D98G11) Rabbit Monoclonal Antibody (BSA and Azide Free)
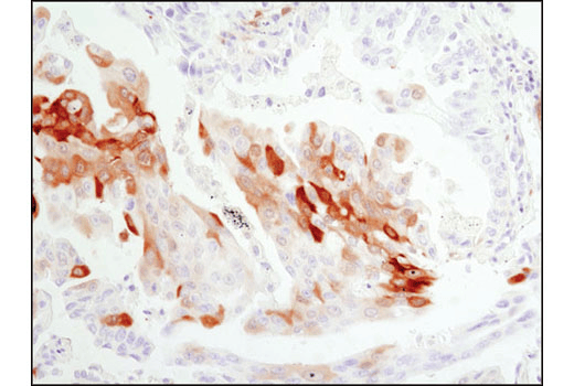
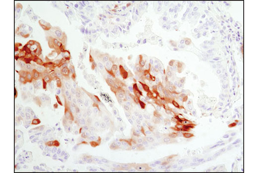
Immunohistochemical analysis of paraffin-emebedded human lung carcinoma using Phospho-NDRG1 (Thr346) (D98G11) XP® Rabbit mAb. Data were generated using the standard formulation of this product.
Immunohistochemistry Image 3: Phospho-NDRG1 (Thr346) (D98G11) Rabbit Monoclonal Antibody (BSA and Azide Free)
Orders: 877-616-CELL (2355) [email protected] Support: 877-678-TECH (8324) [email protected] Web: cellsignal.com
For Research Use Only. Not for Use in Diagnostic Procedures.

Revision 2

Cell Signaling Technology Logo
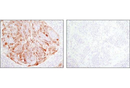
Immunohistochemical analysis of paraffin-embedded human cervical carcinoma, control (left) or λ phosphatase-treated (right), using Phospho-NDRG1 (Thr346) (D98G11) XP® Rabbit mAb. Data were generated using the standard formulation of this product.
Immunohistochemistry Image 4: Phospho-NDRG1 (Thr346) (D98G11) Rabbit Monoclonal Antibody (BSA and Azide Free)
Confocal immunofluorescent analysis of C2C12 cells, treated with LY294002 #9901 (left) or insulin (right), using Phospho-NDRG1 (Thr346) (D98G11) XP® Rabbit mAb (green). Actin filaments were labeled with DY-554 phalloidin (red). Blue pseudocolor = DRAQ5® #4084 (fluorescent DNA dye). Data were generated using the standard formulation of this product.
Immunofluorescence Image 1: Phospho-NDRG1 (Thr346) (D98G11) Rabbit Monoclonal Antibody (BSA and Azide Free)
Flow cytometric analysis of Jurkat cells, untreated (green) or treated for 2 hr with LY294002 #9901 (50 µM), Wortmannin #9951 (1 µM), and U0126 #9903 (10 μM) (blue) using Phospho-NDRG1 (Thr346) (D98G11) XP® Rabbit mAb (solid lines) or concentration-matched Rabbit (DA1E) mAb IgG XP® Isotype Control #3900 (dashed lines). Anti-rabbit IgG (H+L), F(ab')2 Fragment (Alexa Fluor® 488 Conjugate) #4412 was used as a secondary antibody.
Flow Cytometry Image 1: Phospho-NDRG1 (Thr346) (D98G11) Rabbit Monoclonal Antibody (BSA and Azide Free)
Orders: 877-616-CELL (2355) [email protected] Support: 877-678-TECH (8324) [email protected] Web: cellsignal.com
For Research Use Only. Not for Use in Diagnostic Procedures.

Revision 2

Cell Signaling Technology Logo
Data using Phospho-NDRG1 (Thr346) Matched Antibody Pair #33585 are shown. The two antibodies function as a capture-target-detection sandwich (#62642 and #89166, respectively) to detect endogenous protein expression in positive and negative controls.
ELISA and/or ELISA-like Assays Image 1: Phospho-NDRG1 (Thr346) (D98G11) Rabbit Monoclonal Antibody (BSA and Azide Free)
Orders: 877-616-CELL (2355) [email protected] Support: 877-678-TECH (8324) [email protected] Web: cellsignal.com
For Research Use Only. Not for Use in Diagnostic Procedures.