Revision 1

#13346

Store at -20C

CST Logo
Orders:

877-616-CELL (2355)

[email protected]

Support:

877-678-TECH (8324)

3 Trask Lane | Danvers | Massachusetts | 01923 | USA

For Research Use Only. Not for Use in Diagnostic Procedures.

Applications:
W, IP

Reactivity:
H M R

Sensitivity:
Endogenous

MW (kDa):
65

Source/Isotype:
Mouse IgG2b

UniProt ID:
#Q04206

Entrez-Gene Id:
5970

Product Usage Information

Application Dilution
Western Blotting 1:1000
Immunoprecipitation 1:100

Storage

Supplied in 10 mM sodium HEPES (pH 7.5), 150 mM NaCl, 100 µg/ml BSA, 50% glycerol and less than 0.02% sodium azide. Store at –20°C. Do not aliquot the antibody.

Specificity/Sensitivity

Phospho-NF-kappaB p65 (Ser536) (E1Z1T) Mouse Monoclonal Antibody recognizes endogenous levels of NF-κB p65 protein only when phosphorylated at Ser536.

Source / Purification

Monoclonal antibody is produced by immunizing animals with a synthetic phosphopeptide corresponding to residues surrounding Ser536 of human NF-κB protein.

Background

Transcription factors of the nuclear factor κB (NF-κB)/Rel family play a pivotal role in inflammatory and immune responses (1,2). There are five family members in mammals: RelA, c-Rel, RelB, NF-κB1 (p105/p50), and NF-κB2 (p100/p52). Both p105 and p100 are proteolytically processed by the proteasome to produce p50 and p52, respectively. Rel proteins bind p50 and p52 to form dimeric complexes that bind DNA and regulate transcription. In unstimulated cells, NF-κB is sequestered in the cytoplasm by IκB inhibitory proteins (3-5). NF-κB-activating agents can induce the phosphorylation of IκB proteins, targeting them for rapid degradation through the ubiquitin-proteasome pathway and releasing NF-κB to enter the nucleus where it regulates gene expression (6-8). NIK and IKKα (IKK1) regulate the phosphorylation and processing of NF-κB2 (p100) to produce p52, which translocates to the nucleus (9-11).

Species Reactivity

Species reactivity is determined by testing in at least one approved application (e.g., western blot).

Western Blot Buffer

IMPORTANT: For western blots, incubate membrane with diluted primary antibody in 5% w/v BSA, 1X TBS, 0.1% Tween® 20 at 4°C with gentle shaking, overnight.

Applications Key

W: Western Blotting IP: Immunoprecipitation

Cross-Reactivity Key

H: Human M: Mouse R: Rat

Trademarks and Patents

Cell Signaling Technology is a trademark of Cell Signaling Technology, Inc.

All other trademarks are the property of their respective owners. Visit cellsignal.com/trademarks for more information.

Limited Uses

Except as otherwise expressly agreed in a writing signed by a legally authorized representative of CST, the following terms apply to Products provided by CST, its affiliates or its distributors. Any Customer's terms and conditions that are in addition to, or different from, those contained herein, unless separately accepted in writing by a legally authorized representative of CST, are rejected and are of no force or effect.

Products are labeled with For Research Use Only or a similar labeling statement and have not been approved, cleared, or licensed by the FDA or other regulatory foreign or domestic entity, for any purpose. Customer shall not use any Product for any diagnostic or therapeutic purpose, or otherwise in any manner that conflicts with its labeling statement. Products sold or licensed by CST are provided for Customer as the end-user and solely for research and development uses. Any use of Product for diagnostic, prophylactic or therapeutic purposes, or any purchase of Product for resale (alone or as a component) or other commercial purpose, requires a separate license from CST. Customer shall (a) not sell, license, loan, donate or otherwise transfer or make available any Product to any third party, whether alone or in combination with other materials, or use the Products to manufacture any commercial products, (b) not copy, modify, reverse engineer, decompile, disassemble or otherwise attempt to discover the underlying structure or technology of the Products, or use the Products for the purpose of developing any products or services that would compete with CST products or services, (c) not alter or remove from the Products any trademarks, trade names, logos, patent or copyright notices or markings, (d) use the Products solely in accordance with CST Product Terms of Sale and any applicable documentation, and (e) comply with any license, terms of service or similar agreement with respect to any third party products or services used by Customer in connection with the Products.

Orders: 877-616-CELL (2355) [email protected] Support: 877-678-TECH (8324) [email protected] Web: cellsignal.com
For Research Use Only. Not for Use in Diagnostic Procedures.

Revision 1

Cell Signaling Technology Logo
Western blot analysis of extracts from THP-1 cells differentiated with TPA #4174 (80 nM, overnight), untreated (-) or LPS-treated (1 μg/ml, 15 min; +), using Phospho-NF-κB p65 (Ser536) (E1Z1T) Mouse mAb (upper) or NF-κB p65 (D14E12) XP® Rabbit mAb #8242 (lower).
Western Blotting Image 1: Phospho-NF-kappaB p65 (Ser536) (E1Z1T) Mouse Monoclonal Antibody
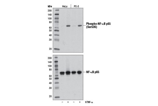
Western blot analysis of extracts from HeLa and PC-3 cells, untreated (-) or treated with Human Tumor Necrosis Factor-α (hTNF-α) #8902 (hTNF-α; 20 ng/ml, 5 min; +), using Phospho-NF-κB p65 (Ser536) (E1Z1T) Mouse mAb (upper) or NF-κB p65 (D14E12) XP® Rabbit mAb #8242 (lower).
Western Blotting Image 2: Phospho-NF-kappaB p65 (Ser536) (E1Z1T) Mouse Monoclonal Antibody
Immunoprecipitation of phospho-NF-κB p65 (Ser536) from HeLa cells treated with Human Tumor Necrosis Factor-α (hTNF-α) #8902 (20 ng/ml, 5 min) using Mouse (G3A1) mAb IgG1 Isotype Control #5415 (lane 2) or Phospho-NF-κB p65 (Ser536) (E1Z1T) Mouse mAb (lane 3). Lane 1 represents 10% input. Western blot was performed using Phospho-NF-κB p65 (Ser536) (93H1) Rabbit mAb #3033.
Immunoprecipitation Image 1: Phospho-NF-kappaB p65 (Ser536) (E1Z1T) Mouse Monoclonal Antibody
Orders: 877-616-CELL (2355) [email protected] Support: 877-678-TECH (8324) [email protected] Web: cellsignal.com
For Research Use Only. Not for Use in Diagnostic Procedures.