Revision 1

#5095

Store at -20C

CST Logo
Orders:

877-616-CELL (2355)

[email protected]

Support:

877-678-TECH (8324)

3 Trask Lane | Danvers | Massachusetts | 01923 | USA

For Research Use Only. Not for Use in Diagnostic Procedures.

Applications:
W

Reactivity:
H

Sensitivity:
Endogenous

MW (kDa):
70-80

Source/Isotype:
Rabbit IgG

UniProt ID:
#P22736

Entrez-Gene Id:
3164

Product Usage Information

Application Dilution
Western Blotting 1:1000

Storage

Supplied in 10 mM sodium HEPES (pH 7.5), 150 mM NaCl, 100 µg/ml BSA, 50% glycerol and less than 0.02% sodium azide. Store at –20°C. Do not aliquot the antibody.

Specificity/Sensitivity

Phospho-Nur77 (Ser351) (D22G5) Rabbit Monoclonal Antibody detects endogenous levels of Nur77 protein only when phosphorylated at Ser351.

Species predicted to react based on 100% sequence homology

Mouse, Rat

Source / Purification

Monoclonal antibody is produced by immunizing animals with a synthetic phosphopeptide corresponding to residues surrounding Ser351 of human Nur77 protein.

Background

Nur77, also known as TR3 and NGFI-B, is an immediate-early response gene and an orphan member of the steroid/thyroid/retinoid receptor superfamily (1-3). Nur77 is composed of an amino-terminal transactivation domain, a central DNA-binding domain and a carboxy-terminal ligand-binding domain. Expression of Nur77 is rapidly induced by a variety of stimuli, including apoptotic, mitogenic and stress signals (1-6). It has been proposed to have many functions related to cell proliferation, differentiation and apoptosis. Nur77 has been extensively studied in T cells where it has been implicated in the process of negative selection and TCR-mediated apoptosis (5,6). Nur77 binds to specific DNA elements leading to the regulation of target genes (7). As a possible mechanism for regulating apoptosis, Nur77 can induce the expression of apoptotic genes such as FasL and TRAIL (8,9). Nur77 is heavily phosphorylated by multiple kinases, which may affect its transactivation activity as well as its subcellular localization (4,10,11). Translocation of Nur77 from the nucleus to the mitochondria can regulate its association with Bcl-2 and control the release of cytochrome c, thereby triggering apoptosis (12,13).
Phosphorylation of Nur77 by Akt or RSK occurs at Ser351 (corresponding to rat Nur77 Ser350 and Ser354 of mouse Nur77), a site within the Nur77 DNA binding domain (14-16). Serine phosphorylation at this site can down regulate transcriptional activity of Nur77 (10,17).

Species Reactivity

Species reactivity is determined by testing in at least one approved application (e.g., western blot).

Western Blot Buffer

IMPORTANT: For western blots, incubate membrane with diluted primary antibody in 5% w/v BSA, 1X TBS, 0.1% Tween® 20 at 4°C with gentle shaking, overnight.

Applications Key

W: Western Blotting

Cross-Reactivity Key

H: Human

Trademarks and Patents

Cell Signaling Technology is a trademark of Cell Signaling Technology, Inc.

All other trademarks are the property of their respective owners. Visit cellsignal.com/trademarks for more information.

Limited Uses

Except as otherwise expressly agreed in a writing signed by a legally authorized representative of CST, the following terms apply to Products provided by CST, its affiliates or its distributors. Any Customer's terms and conditions that are in addition to, or different from, those contained herein, unless separately accepted in writing by a legally authorized representative of CST, are rejected and are of no force or effect.

Products are labeled with For Research Use Only or a similar labeling statement and have not been approved, cleared, or licensed by the FDA or other regulatory foreign or domestic entity, for any purpose. Customer shall not use any Product for any diagnostic or therapeutic purpose, or otherwise in any manner that conflicts with its labeling statement. Products sold or licensed by CST are provided for Customer as the end-user and solely for research and development uses. Any use of Product for diagnostic, prophylactic or therapeutic purposes, or any purchase of Product for resale (alone or as a component) or other commercial purpose, requires a separate license from CST. Customer shall (a) not sell, license, loan, donate or otherwise transfer or make available any Product to any third party, whether alone or in combination with other materials, or use the Products to manufacture any commercial products, (b) not copy, modify, reverse engineer, decompile, disassemble or otherwise attempt to discover the underlying structure or technology of the Products, or use the Products for the purpose of developing any products or services that would compete with CST products or services, (c) not alter or remove from the Products any trademarks, trade names, logos, patent or copyright notices or markings, (d) use the Products solely in accordance with CST Product Terms of Sale and any applicable documentation, and (e) comply with any license, terms of service or similar agreement with respect to any third party products or services used by Customer in connection with the Products.

Orders: 877-616-CELL (2355) [email protected] Support: 877-678-TECH (8324) [email protected] Web: cellsignal.com
For Research Use Only. Not for Use in Diagnostic Procedures.

Revision 1

Cell Signaling Technology Logo
Western blot analysis of extracts from Jurkat cells, untreated or treated with TPA #4174 and calcium ionophore A23187 for 4 hours, using Phospho-Nur77 (Ser351) (D22G5) Rabbit mAb. Antibody phospho-specificity was confirmed by pre-incubating the antibody with either a phosphorylated site-specific peptide to block the signal or a non-phosphorylated site-specific peptide that does not block the signal.
Western Blotting Image 1: Phospho-Nur77 (Ser351) (D22G5) Rabbit Monoclonal Antibody
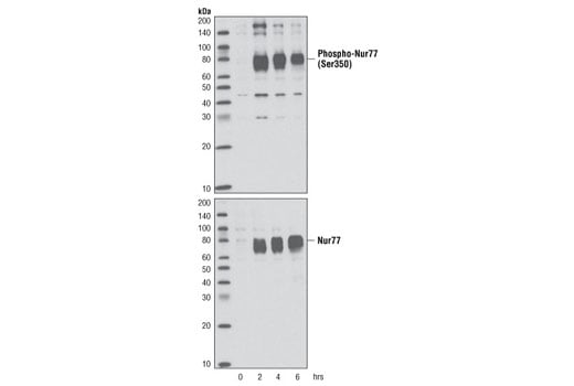
Western blot analysis of extracts from Jurkat cells, untreated or treated with TPA #4174 and calcium ionophore A23187 for the indicated times, using Phospho-Nur77 (Ser351) (D22G5) Rabbit mAb (upper) or Nur77 (D63C5) XP® Rabbit mAb #3960 (lower).
Western Blotting Image 2: Phospho-Nur77 (Ser351) (D22G5) Rabbit Monoclonal Antibody
Orders: 877-616-CELL (2355) [email protected] Support: 877-678-TECH (8324) [email protected] Web: cellsignal.com
For Research Use Only. Not for Use in Diagnostic Procedures.